扫码关注公众号           扫码咨询技术支持           扫码咨询技术服务
  
客服热线:400-901-9800  客服QQ:4009019800  技术答疑  技术支持  质量反馈  人才招聘  关于我们  联系我们
产品中心-北京博奥森生物技术有限公司
首页 > 产品中心 > 一抗 > 产品信息
Visfatin Rabbit pAb (bs-0273R)  
订购热线:400-901-9800
订购邮箱:sales@bioss.com.cn
订购QQ:  400-901-9800
技术支持:techsupport@bioss.com.cn
50ul/1180.00元
100ul/1980.00元
200ul/2800.00元
大包装/询价

产品编号 bs-0273R
英文名称 Visfatin Rabbit pAb
中文名称 内脂素/内脏脂肪素/前B细胞克隆增强因子1抗体
别    名 1110035O14Rik; PBEF; PBEF1; VF; VISFATIN; NAmPRTase; NAMPT_HUMAN; NAMPT; Pre-B-cell colony-enhancing factor 1 (Pre-B cell-enhancing factor); 2.4.2.12; NAMPT_MOUSE; Pre-B-cell colony-enhancing factor 1 homolog (PBEF); NAMPT_RAT;   
研究领域 神经生物学  糖尿病  内分泌病  
抗体来源 Rabbit
克隆类型 Polyclonal
克 隆 号
交叉反应 Human,Rat (predicted: Mouse,Cow,Chicken,Dog,Horse,Monkey)
产品应用 IHC-P=1:100-500,IHC-F=1:100-500,IF=1:100-500,Flow-Cyt=1ug/Test
not yet tested in other applications.
optimal dilutions/concentrations should be determined by the end user.
理论分子量 55 kDa
细胞定位 细胞核 细胞浆 
性    状 Liquid
浓    度 1mg/ml
免 疫 原 KLH conjugated synthetic peptide derived from human Visfatin-2: 401-491/491 
亚    型
纯化方法 affinity purified by Protein A
缓 冲 液 0.01M TBS (pH7.4) with 1% BSA, 0.02% Proclin300 and 50% Glycerol.
保存条件 Shipped at 4℃. Store at -20℃ for one year. Avoid repeated freeze/thaw cycles.
注意事项 This product as supplied is intended for research use only, not for use in human, therapeutic or diagnostic applications.
PubMed PubMed
产品介绍 This gene encodes a protein that catalyzes the condensation of nicotinamide with 5-phosphoribosyl-1-pyrophosphate to yield nicotinamide mononucleotide, one step in the biosynthesis of nicotinamide adenine dinucleotide. The protein belongs to the nicotinic acid phosphoribosyltransferase (NAPRTase) family and is thought to be involved in many important biological processes, including metabolism, stress response and aging. This gene has a pseudogene on chromosome 10. [provided by RefSeq, Feb 2011].

Function:
Catalyzes the condensation of nicotinamide with 5-phosphoribosyl-1-pyrophosphate to yield nicotinamide mononucleotide, an intermediate in the biosynthesis of NAD. It is the rate limiting component in the mammalian NAD biosynthesis pathway.

Subunit:
Homodimer.

Subcellular Location:
Cytoplasm. Nucleus.

Tissue Specificity:
Expressed in large amounts in bone marrow, liver tissue, and muscle. Also present in heart, placenta, lung, and kidney tissues.

Similarity:
Belongs to the NAPRTase family.

SWISS:
P43490

Gene ID:
10135

Database links:

Entrez Gene: 10135 Human

Entrez Gene: 59027 Mouse

Entrez Gene: 297508 Rat

Omim: 608764 Human

SwissProt: P43490 Human

SwissProt: Q99KQ4 Mouse

SwissProt: Q80Z29 Rat

Unigene: 489615 Human

Unigene: 202727 Mouse

Unigene: 203508 Rat



一种新的脂肪因子-visfatin (前B细胞克隆增强因子-2)是新近发现的主要由人和小鼠内脏脂肪组织分泌的一种脂肪细胞因子,其结构与pre-B细胞集落增强因子相似.它能够发挥类似胰岛素的作用,与Ⅱ型糖尿病相关联,降低血糖,促进糖摄取,可结合并活化胰岛素受体,激活胰岛素信号通路.内脏脂肪因子-Visfatin与肥胖密切相关并能够促进脂肪细胞的分化,还能促进血管平滑肌细胞成熟.
Visfatin的表达受炎症反应因子和多种激素的调节.PBEF-1可能是联系机体糖脂代谢的重要分子,它的发现可为揭示糖尿病与肥胖的发生发展机制提供新的研究思路,为代谢综合征的治疗提供新方案.
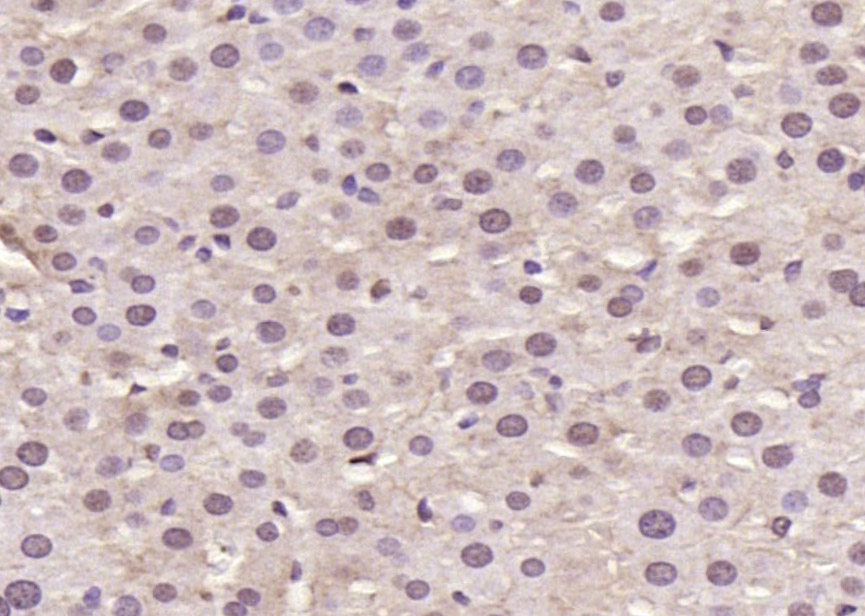
产品图片
Paraformaldehyde-fixed, paraffin embedded (Human kidney); Antigen retrieval by boiling in sodium citrate buffer (pH6.0) for 15min; Block endogenous peroxidase by 3% hydrogen peroxide for 20 minutes; Blocking buffer (normal goat serum) at 37°C for 30min; Antibody incubation with (Visfatin) Polyclonal Antibody, Unconjugated (bs-0273R) at 1:200 overnight at 4°C, followed by operating according to SP Kit(Rabbit) (sp-0023) instructionsand DAB staining.
Paraformaldehyde-fixed, paraffin embedded (rat liver); Antigen retrieval by boiling in sodium citrate buffer (pH6.0) for 15min; Block endogenous peroxidase by 3% hydrogen peroxide for 20 minutes; Blocking buffer (normal goat serum) at 37°C for 30min; Antibody incubation with (Visfatin) Polyclonal Antibody, Unconjugated (bs-0273R) at 1:200 overnight at 4°C, followed by operating according to SP Kit(Rabbit) (sp-0023) instructionsand DAB staining.
Blank control: HepG2. Primary Antibody (green line): Rabbit Anti-Visfatin antibody (bs-0273R) Dilution: 1ug/Test; Secondary Antibody : Goat anti-rabbit IgG-FITC Dilution: 0.5ug/Test. Protocol The cells were fixed with 4% PFA (10min at room temperature)and then permeabilized with 90% ice-cold methanol for 20 min at -20℃.The cells were then incubated in 5%BSA to block non-specific protein-protein interactions for 30 min at room temperature .Cells stained with Primary Antibody for 30 min at room temperature. The secondary antibody used for 40 min at room temperature. Acquisition of 20,000 events was performed.
版权所有 2004-2026 www.bioss.com.cn 北京博奥森生物技术有限公司
通过国际质量管理体系ISO 9001:2015 GB/T 19001-2016    证书编号: 00124Q34771R2M/1100
通过国际医疗器械-质量管理体系ISO 13485:2016 GB/T 42061-2022     证书编号: CQC24QY20047R0M/1100
京ICP备05066980号-1         京公网安备110107000727号