扫码关注公众号           扫码咨询技术支持           扫码咨询技术服务
  
客服热线:400-901-9800  客服QQ:4009019800  技术答疑  技术支持  质量反馈  关于我们  联系我们
产品中心-北京博奥森生物技术有限公司
首页 > 产品中心 > 一抗 > 产品信息
CRIM1 Rabbit pAb (bs-2034R)  
订购热线:400-901-9800
订购邮箱:sales@bioss.com.cn
订购QQ:  400-901-9800
技术支持:techsupport@bioss.com.cn
50ul/1180.00元
100ul/1980.00元
200ul/2800.00元
大包装/询价

产品编号 bs-2034R
英文名称 CRIM1 Rabbit pAb
中文名称 富含半胱氨酸运动神经元蛋白1抗体
别    名 Cysteine-rich motor neuron 1 protein; CRIM-1; Cysteine-rich repeat-containing protein S52; Processed cysteine-rich motor neuron 1protein; CRIM 1; CRIM1; Cysteine rich motor neuron 1 protein; Cysteine rich repeat containing protein S52; Cysteine rich transmembrane BMP regulator 1(chordin like); Cysteine rich transmembrane BMP regulator 1; MGC138194; Processed cysteine rich motor neuron 1 protein; S52; CRIM1_HUMAN.  
Specific References  (2)     |     bs-2034R has been referenced in 2 publications.
[IF=4.556] Diqi Yang. et al. Essential Role of CRIM1 on Endometrial Receptivity in Goat. Int J Mol Sci. 2021 Jan;22(10):5323  WB ;  Goat.  
[IF=3.39] Zeng, Hui, et al. "CRIM1, a newfound cancer-related player, regulates the adhesion and migration of lung cancer cells." Growth Factors (2016): 1-9.  WB ;  Human.  
研究领域 心血管  细胞生物  染色质和核信号  神经生物学  信号转导  血管内皮细胞  细胞骨架  细胞外基质  
抗体来源 Rabbit
克隆类型 Polyclonal
克 隆 号
交叉反应 Human,Mouse,Rat
产品应用 WB=1:500-2000,IHC-P=1:100-500,IHC-F=1:100-500,IF=1:100-500
not yet tested in other applications.
optimal dilutions/concentrations should be determined by the end user.
理论分子量 110 kDa
检测分子量
细胞定位 细胞膜 分泌型蛋白 
性    状 Liquid
浓    度 1mg/ml
免 疫 原 KLH conjugated synthetic peptide derived from mouse CRIM1: 901-1028/1028 
亚    型 IgG
纯化方法 affinity purified by Protein A
缓 冲 液 0.01M TBS (pH7.4) with 1% BSA, 0.02% Proclin300 and 50% Glycerol.
保存条件 Shipped at 4℃. Store at -20℃ for one year. Avoid repeated freeze/thaw cycles.
注意事项 This product as supplied is intended for research use only, not for use in human, therapeutic or diagnostic applications.
PubMed PubMed
产品介绍 CRIM1 interacts with BMP4 (bone morphogenic protein 4) and BMP7 and modulates BMP activity by affecting their processing and delivery to the cell surface. By interacting with growth factors implicated in motor neuron differentiation and survival, it may play a role in CNS development. It may also play a role in capillary formation and maintenance during angiogenesis.

Function:
May play a role in CNS development by interacting with growth factors implicated in motor neuron differentiation and survival.
May play a role in capillary formation and maintenance during angiogenesis.
Modulates BMP activity by affecting its processing and delivery to the cell surface.

Subcellular Location:
Secreted and Cell membrane.

Tissue Specificity:
Expressed in pancreas, kidney, skeletal muscle, lung, placenta, brain, heart, spleen, liver and small intestine. Expressed in blood vessels (at protein level).

Post-translational modifications:
N-glycosylated.

Similarity:
Contains 4 antistasin-like domains. Contains 1 IGFBP N-terminal domain. Contains 6 VWFC domains.

SWISS:
Q9JLL0

Gene ID:
50766

Database links:

Entrez Gene: 51232 Human

Entrez Gene: 50766 Mouse

Omim: 606189 Human

SwissProt: Q9NZV1 Human

SwissProt: Q9JLL0 Mouse

Unigene: 699247 Human



产品图片
Sample: Lane 1: Mouse Testis tissue lysates Lane 2: Rat Testis tissue lysates Lane 3: Human Jurkat cell lysates Primary: Anti-CRIM1 (bs-2034R) at 1/1000 dilution Secondary: IRDye800CW Goat Anti-Rabbit IgG at 1/20000 dilution Predicted band size: 110 kDa Observed band size: 140 kDa
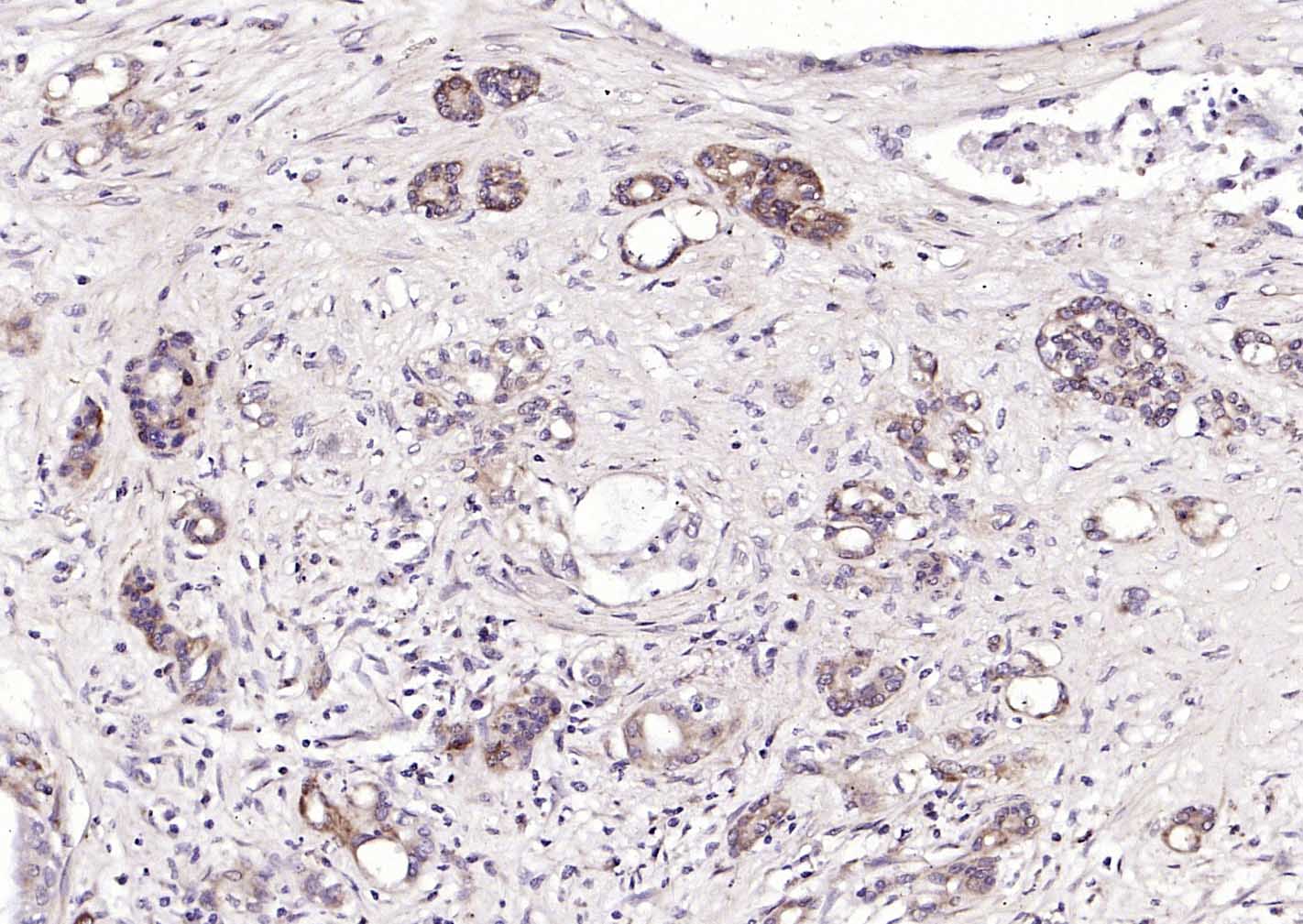
Paraformaldehyde-fixed, paraffin embedded (human pancreatic cancer); Antigen retrieval by boiling in sodium citrate buffer (pH6.0) for 15min; Block endogenous peroxidase by 3% hydrogen peroxide for 20 minutes; Blocking buffer (normal goat serum) at 37°C for 30min; Incubation with (CRIM1) Polyclonal Antibody, Unconjugated (bs-2034R) at 1:200 overnight at 4°C, followed by operating according to SP Kit(Rabbit) (sp-0023) instructionsand DAB staining.
Paraformaldehyde-fixed, paraffin embedded (human pancreas); Antigen retrieval by boiling in sodium citrate buffer (pH6.0) for 15min; Block endogenous peroxidase by 3% hydrogen peroxide for 20 minutes; Blocking buffer (normal goat serum) at 37°C for 30min; Incubation with (CRIM1) Polyclonal Antibody, Unconjugated (bs-2034R) at 1:200 overnight at 4°C, followed by operating according to SP Kit(Rabbit) (sp-0023) instructionsand DAB staining.
Paraformaldehyde-fixed, paraffin embedded (human placenta); Antigen retrieval by boiling in sodium citrate buffer (pH6.0) for 15min; Block endogenous peroxidase by 3% hydrogen peroxide for 20 minutes; Blocking buffer (normal goat serum) at 37°C for 30min; Incubation with (CRIM1) Polyclonal Antibody, Unconjugated (bs-2034R) at 1:200 overnight at 4°C, followed by operating according to SP Kit(Rabbit) (sp-0023) instructionsand DAB staining.
Paraformaldehyde-fixed, paraffin embedded (human kidney); Antigen retrieval by boiling in sodium citrate buffer (pH6.0) for 15min; Block endogenous peroxidase by 3% hydrogen peroxide for 20 minutes; Blocking buffer (normal goat serum) at 37°C for 30min; Incubation with (CRIM1) Polyclonal Antibody, Unconjugated (bs-2034R) at 1:200 overnight at 4°C, followed by operating according to SP Kit(Rabbit) (sp-0023) instructionsand DAB staining.
Paraformaldehyde-fixed, paraffin embedded (human skeletal muscle); Antigen retrieval by boiling in sodium citrate buffer (pH6.0) for 15min; Block endogenous peroxidase by 3% hydrogen peroxide for 20 minutes; Blocking buffer (normal goat serum) at 37°C for 30min; Incubation with (CRIM1) Polyclonal Antibody, Unconjugated (bs-2034R) at 1:200 overnight at 4°C, followed by operating according to SP Kit(Rabbit) (sp-0023) instructionsand DAB staining.
Paraformaldehyde-fixed, paraffin embedded (human colon carcinoma); Antigen retrieval by boiling in sodium citrate buffer (pH6.0) for 15min; Block endogenous peroxidase by 3% hydrogen peroxide for 20 minutes; Blocking buffer (normal goat serum) at 37°C for 30min; Incubation with (CRIM1) Polyclonal Antibody, Unconjugated (bs-2034R) at 1:200 overnight at 4°C, followed by operating according to SP Kit(Rabbit) (sp-0023) instructionsand DAB staining.
Paraformaldehyde-fixed, paraffin embedded (human liver carcinoma); Antigen retrieval by boiling in sodium citrate buffer (pH6.0) for 15min; Block endogenous peroxidase by 3% hydrogen peroxide for 20 minutes; Blocking buffer (normal goat serum) at 37°C for 30min; Incubation with (CRIM1) Polyclonal Antibody, Unconjugated (bs-2034R) at 1:200 overnight at 4°C, followed by operating according to SP Kit(Rabbit) (sp-0023) instructionsand DAB staining.
版权所有 2004-2026 www.bioss.com.cn 北京博奥森生物技术有限公司
通过国际质量管理体系ISO 9001:2015 GB/T 19001-2016    证书编号: 00124Q34771R2M/1100
通过国际医疗器械-质量管理体系ISO 13485:2016 GB/T 42061-2022     证书编号: CQC24QY20047R0M/1100
京ICP备05066980号-1         京公网安备110107000727号