扫码关注公众号           扫码咨询技术支持           扫码咨询技术服务
  
客服热线:400-901-9800  客服QQ:4009019800  技术答疑  技术支持  质量反馈  人才招聘  关于我们  联系我们
产品中心-北京博奥森生物技术有限公司
首页 > 产品中心 > 一抗 > 产品信息
CNTF Rabbit pAb (bs-1272R)  
订购热线:400-901-9800
订购邮箱:sales@bioss.com.cn
订购QQ:  400-901-9800
技术支持:techsupport@bioss.com.cn
50ul/1180.00元
100ul/1980.00元
200ul/2800.00元
大包装/询价

产品编号 bs-1272R
英文名称 CNTF Rabbit pAb
中文名称 睫状神经营养因子抗体
别    名 HCNTF; CNTF_HUMAN; CNTF; Q6NTB0_HUMAN; CNTF_MOUSE; CNTF_RAT;   
Specific References  (4)     |     bs-1272R has been referenced in 4 publications.
[IF=5.32] Yang, Xu, et al. "Reversal of Bone Cancer Pain by HSV-1-Mediated Silencing of CNTF in an Afferent Area of the Spinal Cord Associated with AKT-ERK Signal Inhibition." Current Gene Therapy 14.5 (2014): 377-388.  
[IF=3.244] Fu XM et al. The Combination of Adipose-derived Schwann-like Cells and Acellular Nerve Allografts PromotesSciatic Nerve Regeneration and Repair through the JAK2/STAT3 Signaling Pathway in Rats. Neuroscience. 2019 Nov 1;422:134-145.  ICF&WB ;  Rat.  
[IF=2.784] Xiong LL et al. Tree shrew neural stem cell transplantation promotes functional recovery of tree shrews with a hemi‑sectioned spinal cord injury by upregulating nerve growth factor expression. Int J Mol Med. 2018 Jun;41(6):3267-3277.  IF ;  tree shrews.  
[IF=1.94] De Nan. et al. In Vitro Study of Adipose-Derived Mesenchymal Stem Cells Transduced with Lentiviral Vector Carrying the Brain-Derived Neurotrophic Factor Gene. Int J Stem Cells. 2020; 13(3): 386–393  WB ;  Mouse.  
研究领域 发育生物学  神经生物学  干细胞  
抗体来源 Rabbit
克隆类型 Polyclonal
克 隆 号
交叉反应 Rat,Rabbit (predicted: Human,Mouse,Pig)
产品应用 IHC-P=1:100-500,IHC-F=1:100-500,IF=1:100-500
not yet tested in other applications.
optimal dilutions/concentrations should be determined by the end user.
理论分子量 23 kDa
细胞定位 细胞浆 
性    状 Liquid
浓    度 1mg/ml
免 疫 原 KLH conjugated synthetic peptide derived from human CNTF: 21-150/200 
亚    型 IgG
纯化方法 affinity purified by Protein A
缓 冲 液 0.01M TBS (pH7.4) with 1% BSA, 0.02% Proclin300 and 50% Glycerol.
保存条件 Shipped at 4℃. Store at -20℃ for one year. Avoid repeated freeze/thaw cycles.
注意事项 This product as supplied is intended for research use only, not for use in human, therapeutic or diagnostic applications.
PubMed PubMed
产品介绍 The protein encoded by this gene is a polypeptide hormone whose actions appear to be restricted to the nervous system where it promotes neurotransmitter synthesis and neurite outgrowth in certain neuronal populations. The protein is a potent survival factor for neurons and oligodendrocytes and may be relevant in reducing tissue destruction during inflammatory attacks. In addition to the predominant monocistronic transcript originating from this locus, the gene is also transcribed as a readthrough transcript with the upstream Zfp91 gene. The resulting protein is an isoform of Zfp91 and does not include Cntf sequence. Readthrough transcription of Zfp91 and Cntf has been observed in human and mouse.

Function:
CNTF is a survival factor for various neuronal cell types. Seems to prevent the degeneration of motor axons after axotomy.

Subunit:
Belongs to the CNTF family.

Subcellular Location:
Cytoplasm.

Tissue Specificity:
Nervous system.

Similarity:
Belongs to the CNTF family.

SWISS:
Q6NTB0

Gene ID:
1270

Database links:

Entrez Gene: 1270 Human

Entrez Gene: 12803 Mouse

Entrez Gene: 25707 Rat

Omim: 118945 Human

SwissProt: P26441 Human

SwissProt: Q6NTB0 Human

SwissProt: P51642 Mouse

SwissProt: P20294 Rat

Unigene: 524920 Human

Unigene: 715806 Human

Unigene: 290924 Mouse

Unigene: 6067 Rat



神经干细胞标志物
有学者认为:睫状神经营养因子能促进运动神经轴突再生,CNTF可以阻止损伤后的运动神经元的退形性变性,目前CNTF对神经营养作用还在深入的研究中。
产品图片
Tissue/cell: rabbit brain tissue; 4% Paraformaldehyde-fixed and paraffin-embedded; Antigen retrieval: citrate buffer ( 0.01M, pH 6.0 ), Boiling bathing for 15min; Block endogenous peroxidase by 3% Hydrogen peroxide for 30min; Blocking buffer (normal goat serum,C-0005) at 37℃ for 20 min; Incubation: Anti-CNTF Polyclonal Antibody, Unconjugated(bs-1272R) 1:200, overnight at 4°C, followed by conjugation to the secondary antibody(SP-0023) and DAB(C-0010) staining
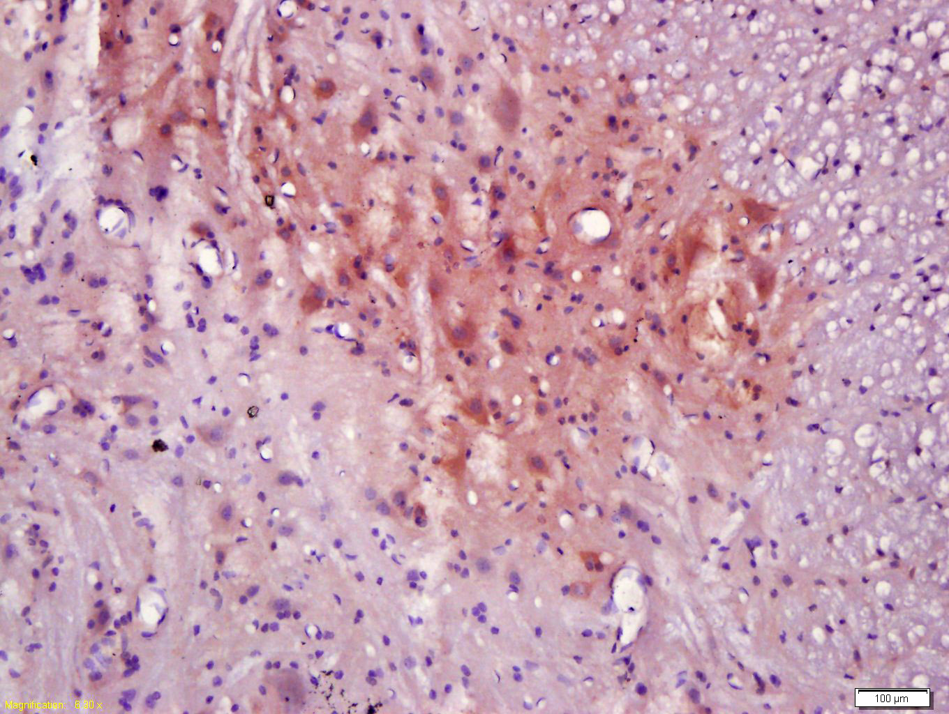
Tissue/cell: rat brain tissue; 4% Paraformaldehyde-fixed and paraffin-embedded; Antigen retrieval: citrate buffer ( 0.01M, pH 6.0 ), Boiling bathing for 15min; Block endogenous peroxidase by 3% Hydrogen peroxide for 30min; Blocking buffer (normal goat serum,C-0005) at 37℃ for 20 min; Incubation: Anti-CNTF Polyclonal Antibody, Unconjugated(bs-1272R) 1:200, overnight at 4°C, followed by conjugation to the secondary antibody(SP-0023) and DAB(C-0010) staining
Tissue/cell: rat spinal cord tissue; 4% Paraformaldehyde-fixed and paraffin-embedded; Antigen retrieval: citrate buffer ( 0.01M, pH 6.0 ), Boiling bathing for 15min; Block endogenous peroxidase by 3% Hydrogen peroxide for 30min; Blocking buffer (normal goat serum,C-0005) at 37℃ for 20 min; Incubation: Anti-CNTF Polyclonal Antibody, Unconjugated(bs-1272R) 1:200, overnight at 4°C, followed by conjugation to the secondary antibody(SP-0023) and DAB(C-0010) staining
Tissue/cell: rat brain tissue;4% Paraformaldehyde-fixed and paraffin-embedded; Antigen retrieval: citrate buffer ( 0.01M, pH 6.0 ), Boiling bathing for 15min; Blocking buffer (normal goat serum,C-0005) at 37℃ for 20 min; Incubation: Anti-CNTF Polyclonal Antibody, Unconjugated(bs-1272R) 1:200, overnight at 4°C; The secondary antibody was Goat Anti-Rabbit IgG, Cy3 conjugated(bs-0295G-Cy3)used at 1:200 dilution for 40 minutes at 37°C. DAPI(5ug/ml,blue,C-0033) was used to stain the cell nuclei
版权所有 2004-2026 www.bioss.com.cn 北京博奥森生物技术有限公司
通过国际质量管理体系ISO 9001:2015 GB/T 19001-2016    证书编号: 00124Q34771R2M/1100
通过国际医疗器械-质量管理体系ISO 13485:2016 GB/T 42061-2022     证书编号: CQC24QY20047R0M/1100
京ICP备05066980号-1         京公网安备110107000727号