扫码关注公众号           扫码咨询技术支持           扫码咨询技术服务
  
客服热线:400-901-9800  客服QQ:4009019800  技术答疑  技术支持  质量反馈  人才招聘  关于我们  联系我们
产品中心-北京博奥森生物技术有限公司
首页 > 产品中心 > 一抗 > 产品信息
Dynamin 2 Rabbit pAb (bs-0574R)  
订购热线:400-901-9800
订购邮箱:sales@bioss.com.cn
订购QQ:  400-901-9800
技术支持:techsupport@bioss.com.cn
50ul/1180.00元
100ul/1980.00元
200ul/2800.00元
大包装/询价

产品编号 bs-0574R
英文名称 Dynamin 2 Rabbit pAb
中文名称 酶动力蛋白2抗体
别    名 CMT2M; CMTDI1; CMTDIB; DI-CMTB; DYN2; DYNII; LCCS5; Udnm; b2b2159Clo; DYIIAAB; DYN2_HUMAN; DNM2; Dynamin 2; Dynamin II; 3.6.5.5; DYN2_MOUSE; Dynamin UDNM; DYN2_RAT; cytoskeletal protein  
研究领域 细胞生物  免疫学  神经生物学  信号转导  细胞类型标志物  
抗体来源 Rabbit
克隆类型 Polyclonal
交叉反应 Rat (predicted: Human,Mouse,Cow)
产品应用 IHC-P=1:100-500,IHC-F=1:100-500,IF=1:100-500
not yet tested in other applications.
optimal dilutions/concentrations should be determined by the end user.
理论分子量 98kDa
细胞定位 细胞浆 细胞膜 
性    状 Liquid
浓    度 1mg/ml
免 疫 原 KLH conjugated synthetic peptide derived from human Dynamin 2: 61-150/870 
亚    型 IgG
纯化方法 affinity purified by Protein A
缓 冲 液 0.01M TBS (pH7.4) with 1% BSA, 0.02% Proclin300 and 50% Glycerol.
保存条件 Shipped at 4℃. Store at -20℃ for one year. Avoid repeated freeze/thaw cycles.
注意事项 This product as supplied is intended for research use only, not for use in human, therapeutic or diagnostic applications.
PubMed PubMed
产品介绍 Dynamin 2 is a microtubule-associated force-producing protein involved in building microtubule bundles, and it is able to bind and hydrolyze GTP. It is ubiquitously expressed and is likely to be involved in vesicular trafficking processes, especially endocytosis.

Function:
Microtubule-associated force-producing protein involved in producing microtubule bundles and able to bind and hydrolyze GTP. Most probably involved in vesicular trafficking processes, in particular endocytosis.

Subcellular Location:
Cytoplasm. Cytoplasm > cytoskeleton. Cell junction > synapse > postsynaptic cell membrane > postsynaptic density. Cell junction > synapse. Microtubule-associated. Also found in the postsynaptic density of neuronal cells.

DISEASE:
Defects in DNM2 are a cause of centronuclear myopathy autosomal dominant (ADCNM) [MIM:160150]; also known as autosomal dominant myotubular myopathy. Centronuclear myopathies (CNMs) are congenital muscle disorders characterized by progressive muscular weakness and wasting involving mainly limb girdle, trunk, and neck muscles. It may also affect distal muscles. Weakness may be present during childhood or adolescence or may not become evident until the third decade of life. Ptosis is a frequent clinical feature. CNMs comprise a wide spectrum of phenotypes, ranging from severe neonatal to mild late-onset familial forms. The most prominent histopathologic features include high frequency of centrally located nuclei in muscle fibers not secondary to regeneration, radial arrangement of sarcoplasmic strands around the central nuclei, and predominance and hypotrophy of type 1 fibers.

Similarity:
Belongs to the dynamin family.
Contains 1 GED domain.
Contains 1 PH domain.


SWISS:
P50570

Gene ID:
1785

Database links:

Entrez Gene: 1785 Human

Entrez Gene: 13430 Mouse

Entrez Gene: 25751 Rat

Omim: 602378 Human

SwissProt: P50570 Human

SwissProt: P39054 Mouse

SwissProt: P39052 Rat

Unigene: 211463 Human

Unigene: 433257 Mouse

Unigene: 11231 Rat



发动蛋白是一种胞质溶胶蛋白, 又称:酶动力蛋白。 能够同GTP结合并将GTP水解。 发动蛋白2(Dynamin 2)是大的鸟苷三磷酸酶(GTPases)和eNOS存在相同的膜区室。研究显示Dynamin 2能与eNOS直接作用增强eNOS的活性。Dynamin 2参与Caveolae 的内陷活动、小囊的形成与运输以及受体介导的胞吞作用。
Dynamin 2能和牛主动脉的内皮细胞溶菌产物的eNOS免疫共沉淀。Ca2+转运体刺激的的内皮细胞增强了发动蛋白免疫共沉淀作用,说明蛋白间的相互作用能够被细胞内的ca2+瞬变所触发。
研究发现发动蛋白2的富脯氨酸结构能和eNOS 还原酶结构的FAD部分相互作用,通过促进电子在eNOS还原酶结构的FAD和FMN间相互转移,正性调节eNOS的活性。
近期又有研究显示Dynamin 2能和Caveolin-1发生直接作用.
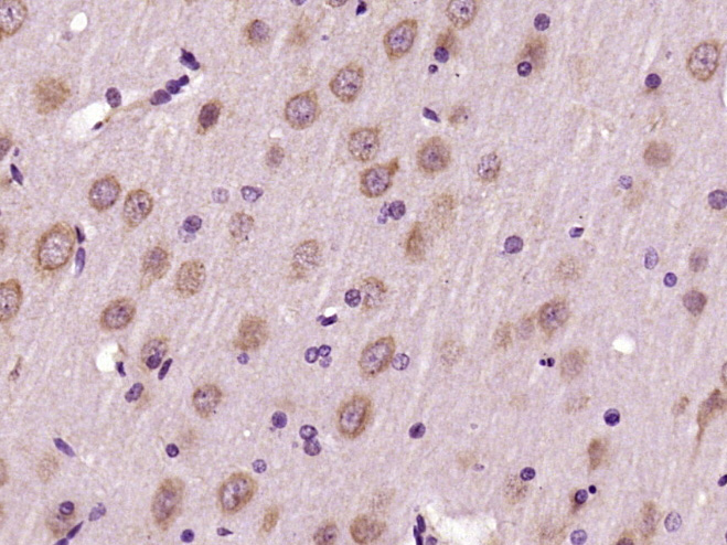
产品图片
Paraformaldehyde-fixed, paraffin embedded (Rat brain); Antigen retrieval by boiling in sodium citrate buffer (pH6.0) for 15min; Block endogenous peroxidase by 3% hydrogen peroxide for 20 minutes; Blocking buffer (normal goat serum) at 37°C for 30min; Antibody incubation with (DNM2) Polyclonal Antibody, Unconjugated (bs-0574R) at 1:400 overnight at 4°C, followed by operating according to SP Kit(Rabbit) (sp-0023) instructionsand DAB staining.
版权所有 2004-2026 www.bioss.com.cn 北京博奥森生物技术有限公司
通过国际质量管理体系ISO 9001:2015 GB/T 19001-2016    证书编号: 00124Q34771R2M/1100
通过国际医疗器械-质量管理体系ISO 13485:2016 GB/T 42061-2022     证书编号: CQC24QY20047R0M/1100
京ICP备05066980号-1         京公网安备110107000727号