扫码关注公众号           扫码咨询技术支持           扫码咨询技术服务
  
客服热线:400-901-9800  客服QQ:4009019800  技术答疑  技术支持  质量反馈  关于我们  联系我们
产品中心-北京博奥森生物技术有限公司
首页 > 产品中心 > 一抗 > 产品信息
SFRP1 Rabbit pAb (bs-1303R)  
订购热线:400-901-9800
订购邮箱:sales@bioss.com.cn
订购QQ:  400-901-9800
技术支持:techsupport@bioss.com.cn
50ul/1180.00元
100ul/1980.00元
200ul/2800.00元
大包装/询价

产品编号 bs-1303R
英文名称 SFRP1 Rabbit pAb
中文名称 分泌型卷曲相关蛋白1抗体
别    名 Secreted frizzled related protein 1; Frizzled related protein 1; FRP 1; SARP 2; SARP-2; Secreted apoptosis related protein 2; Secreted Apoptosis-related Protein 2; Secreted frizzled related protein; Secreted Frizzled-related Protein 1; Secreted frizzled-related protein; SFRP 1; sFRP-1; SFRP1; SFRP1_HUMAN; SFRP1; FRP; FRP-1; FRP1; FrzA; SARP2.  
Specific References  (3)     |     bs-1303R has been referenced in 3 publications.
[IF=2.942] Shi M et al. MicroRNA-27a targets Sfrp1 to induce renal fibrosis in diabetic nephropathy by activating Wnt/β-Catenin signalling. Biosci Rep. 2020 Jun 26;40(6):BSR20192794.  WB&ICF ;  Rat.  
[IF=1.52] Wang, Kun, et al. "MiR-27a regulates Wnt/beta-catenin signaling through targeting SFRP1 in glioma." NeuroReport 26.12 (2015): 695-702.  WB ;  Human.  
[IF=1.257] Hai Zhao. et al. Oxidative stress caused by a dysregulated Wnt/β-catenin signalling pathway is involved in abnormal placenta formation in pregnant mice with chronic fatigue syndrome. Zygote. 2020 Oct;:1-8  WB,IHC ;  Mouse.  
研究领域 细胞生物  神经生物学  信号转导  干细胞  
抗体来源 Rabbit
克隆类型 Polyclonal
克 隆 号
交叉反应 Human,Mouse,Rat
产品应用 WB=1:500-2000,IHC-P=1:100-500,IHC-F=1:100-500,IF=1:100-500
not yet tested in other applications.
optimal dilutions/concentrations should be determined by the end user.
理论分子量 33 kDa
检测分子量
细胞定位 分泌型蛋白 
性    状 Liquid
浓    度 1mg/ml
免 疫 原 KLH conjugated synthetic peptide derived from human SFRP1: 201-314/314 
亚    型 IgG
纯化方法 affinity purified by Protein A
缓 冲 液 0.01M TBS (pH7.4) with 1% BSA, 0.02% Proclin300 and 50% Glycerol.
保存条件 Shipped at 4℃. Store at -20℃ for one year. Avoid repeated freeze/thaw cycles.
注意事项 This product as supplied is intended for research use only, not for use in human, therapeutic or diagnostic applications.
PubMed PubMed
产品介绍 This gene encodes a member of the SFRP family that contains a cysteine-rich domain homologous to the putative Wnt-binding site of Frizzled proteins. Members of this family act as soluble modulators of Wnt signaling; epigenetic silencing of SFRP genes leads to deregulated activation of the Wnt-pathway which is associated with cancer. This gene may also be involved in determining the polarity of photoreceptor cells in the retina. [provided by RefSeq, Sep 2009]

Function:
Soluble frizzled-related proteins (sFRPS) function as modulators of Wnt signaling through direct interaction with Wnts. They have a role in regulating cell growth and differentiation in specific cell types. SFRP1 decreases intracellular beta-catenin levels (By similarity). Has antiproliferative effects on vascular cells, in vitro and in vivo, and can induce, in vivo, an angiogenic response. In vascular cell cycle, delays the G1 phase and entry into the S phase (By similarity). In kidney development, inhibits tubule formation and bud growth in metanephroi (By similarity). Inhibits WNT1/WNT4-mediated TCF-dependent transcription.

Subunit:
Interacts with WNT1, WNT2 and FRZD6. Interacts with WNT4 and WNT8.

Subcellular Location:
Secreted. Note=Cell membrane or extracellular matrix-associated. Released by heparin-binding.

Tissue Specificity:
Widely expressed. Absent from lung, liver and peripheral blood leukocytes. Highest levels in heart and fetal kidney. Also expressed in testis, ovary, fetal brain and lung, leiomyomal cells, myometrial cells and vascular smooth muscle cells. Expressed in foreskin fibroblasts and in keratinocytes.

Similarity:
Belongs to the secreted frizzled-related protein (sFRP) family.
Contains 1 FZ (frizzled) domain.
Contains 1 NTR domain.

SWISS:
Q8N474

Gene ID:
6422

Database links:

Entrez Gene: 6422 Human

Entrez Gene: 20377 Mouse

Omim: 604156 Human

SwissProt: Q8N474 Human

SwissProt: Q8C4U3 Mouse

Unigene: 213424 Human

Unigene: 281691 Mouse



分泌型卷曲相关蛋白1是近来发现的新的抑癌基因, 是Wnt信号通道的拮抗通路蛋白,SFRP1能够阻断某些发生在癌症初期与之相关的细胞生长基因的信号通路。
有学者认为:该基因有去甲基化酶的作用,可以阻断与甲基化进程相关酶的活性,进而抑制肿瘤基因的改变,SFRP1的作用还有待于更进一步的研究。
产品图片
Sample:Liver(Mouse) lysate at 30ug; Primary: Anti-SFRP1 (bs-1303R) at 1:300 dilution; Secondary: HRP conjugated Goat-Anti-Rabbit IgG(bs-0295G-HRP) at 1: 5000 dilution; Predicted band size : 33 kD Observed band size :33 kD
Paraformaldehyde-fixed, paraffin embedded (Human stomach); Antigen retrieval by boiling in sodium citrate buffer (pH6.0) for 15min; Block endogenous peroxidase by 3% hydrogen peroxide for 20 minutes; Blocking buffer (normal goat serum) at 37°C for 30min; Antibody incubation with (SFRP1) Polyclonal Antibody, Unconjugated (bs-1303R) at 1:200 overnight at 4°C, followed by operating according to SP Kit(Rabbit) (sp-0023) instructionsand DAB staining.
Paraformaldehyde-fixed, paraffin embedded (Human kidney); Antigen retrieval by boiling in sodium citrate buffer (pH6.0) for 15min; Block endogenous peroxidase by 3% hydrogen peroxide for 20 minutes; Blocking buffer (normal goat serum) at 37°C for 30min; Antibody incubation with (SFRP1) Polyclonal Antibody, Unconjugated (bs-1303R) at 1:200 overnight at 4°C, followed by operating according to SP Kit(Rabbit) (sp-0023) instructionsand DAB staining.
Paraformaldehyde-fixed, paraffin embedded (rat brain); Antigen retrieval by boiling in sodium citrate buffer (pH6.0) for 15min; Block endogenous peroxidase by 3% hydrogen peroxide for 20 minutes; Blocking buffer (normal goat serum) at 37°C for 30min; Antibody incubation with (SFRP1) Polyclonal Antibody, Unconjugated (bs-1303R) at 1:200 overnight at 4°C, followed by operating according to SP Kit(Rabbit) (sp-0023) instructionsand DAB staining.
Paraformaldehyde-fixed, paraffin embedded (mouse brain); Antigen retrieval by boiling in sodium citrate buffer (pH6.0) for 15min; Block endogenous peroxidase by 3% hydrogen peroxide for 20 minutes; Blocking buffer (normal goat serum) at 37°C for 30min; Antibody incubation with (SFRP1) Polyclonal Antibody, Unconjugated (bs-1303R) at 1:200 overnight at 4°C, followed by operating according to SP Kit(Rabbit) (sp-0023) instructionsand DAB staining.
Paraformaldehyde-fixed, paraffin embedded (rat stomach); Antigen retrieval by boiling in sodium citrate buffer (pH6.0) for 15min; Block endogenous peroxidase by 3% hydrogen peroxide for 20 minutes; Blocking buffer (normal goat serum) at 37°C for 30min; Antibody incubation with (SFRP1) Polyclonal Antibody, Unconjugated (bs-1303R) at 1:200 overnight at 4°C, followed by operating according to SP Kit(Rabbit) (sp-0023) instructionsand DAB staining.
Paraformaldehyde-fixed, paraffin embedded (Mouse brain); Antigen retrieval by boiling in sodium citrate buffer (pH6.0) for 15min; Block endogenous peroxidase by 3% hydrogen peroxide for 20 minutes; Blocking buffer (normal goat serum) at 37°C for 30min; Antibody incubation with (SFRP1) Polyclonal Antibody, Unconjugated (bs-1303R) at 1:400 overnight at 4°C, followed by operating according to SP Kit(Rabbit) (sp-0023) instructionsand DAB staining.
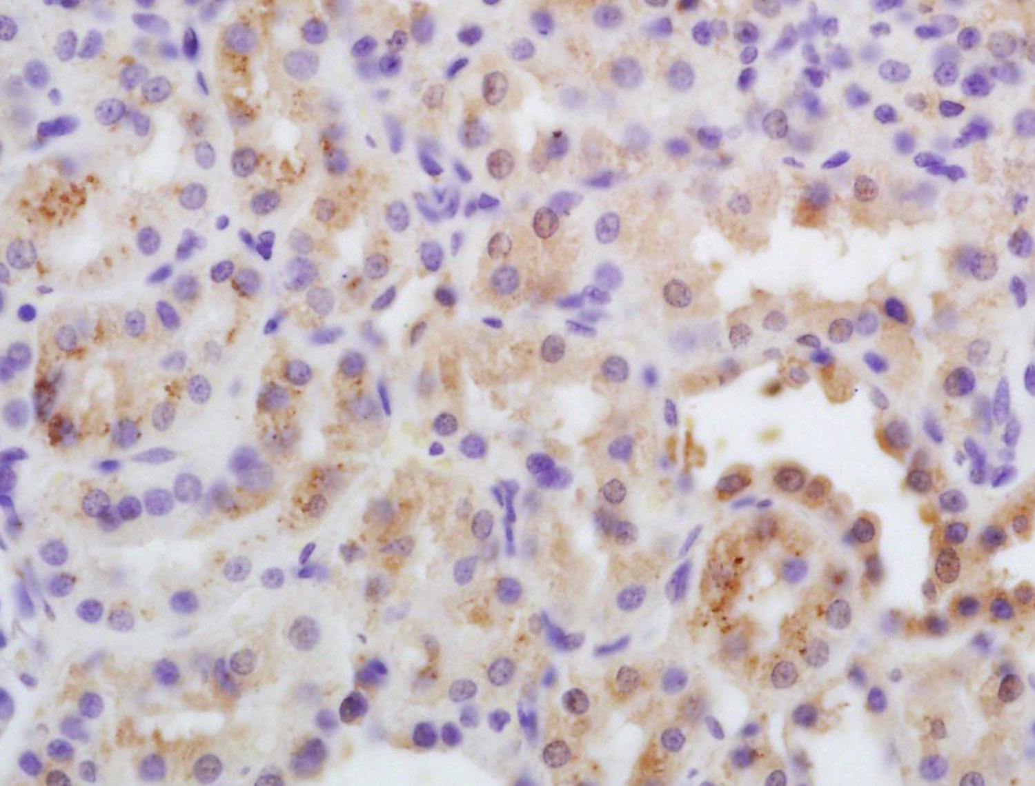
Tissue/cell: rat kidney tissue; 4% Paraformaldehyde-fixed and paraffin-embedded; Antigen retrieval: citrate buffer ( 0.01M, pH 6.0 ), Boiling bathing for 15min; Block endogenous peroxidase by 3% Hydrogen peroxide for 30min; Blocking buffer (normal goat serum,C-0005) at 37℃ for 20 min; Incubation: Anti-SFRP1 Polyclonal Antibody, Unconjugated(bs-1303R) 1:200, overnight at 4°C, followed by conjugation to the secondary antibody(SP-0023) and DAB(C-0010) staining
版权所有 2004-2026 www.bioss.com.cn 北京博奥森生物技术有限公司
通过国际质量管理体系ISO 9001:2015 GB/T 19001-2016    证书编号: 00124Q34771R2M/1100
通过国际医疗器械-质量管理体系ISO 13485:2016 GB/T 42061-2022     证书编号: CQC24QY20047R0M/1100
京ICP备05066980号-1         京公网安备110107000727号