扫码关注公众号           扫码咨询技术支持           扫码咨询技术服务
  
客服热线:400-901-9800  客服QQ:4009019800  技术答疑  技术支持  质量反馈  关于我们  联系我们
产品中心-北京博奥森生物技术有限公司
首页 > 产品中心 > 一抗 > 产品信息
liver FABP Rabbit pAb (bs-0897R)  
订购热线:400-901-9800
订购邮箱:sales@bioss.com.cn
订购QQ:  400-901-9800
技术支持:techsupport@bioss.com.cn
50ul/1180.00元
100ul/1980.00元
200ul/2800.00元
大包装/询价

产品编号 bs-0897R
英文名称 liver FABP Rabbit pAb
中文名称 肝脏型脂肪酸结合蛋白抗体
别    名 FABP 1; FABP1; FABPL; Fatty Acid Binding Protein 1; Fatty acid-binding protein 1; Fatty acid binding protein 1 liver; Fatty Acid Binding Protein; Fatty acid-binding protein liver; Fatty acid-binding protein; liver; Liver-type fatty acid-binding protein; L FABP; L-FABP; FABPL_HUMAN..  
Specific References  (2)     |     bs-0897R has been referenced in 2 publications.
[IF=9.988] Hao Ni. et al. Long term toxicities following developmental exposure to perfluorooctanoic acid: Roles of peroxisome proliferation activated receptor alpha. ENVIRON POLLUT. 2023 Jan;317:120722  WB ;  Chicken.  
[IF=7.129] Qixuan Dong. et al. Hexafluoropropylene oxide tetramer acid (HFPO-TeA)-induced developmental toxicities in chicken embryo: Peroxisome proliferator-activated receptor Alpha (PPARα) is involved. ECOTOX ENVIRON SAFE. 2023 Mar;253:114671  WB ;  Chicken.  
研究领域 肿瘤  细胞生物  信号转导  新陈代谢  
抗体来源 Rabbit
克隆类型 Polyclonal
克 隆 号
交叉反应 Human,Mouse,Rat (predicted: Pig,Chicken)
产品应用 IHC-P=1:100-500,IHC-F=1:100-500,IF=1:100-500
not yet tested in other applications.
optimal dilutions/concentrations should be determined by the end user.
理论分子量 14 kDa
检测分子量
细胞定位 细胞浆 
性    状 Liquid
浓    度 1mg/ml
免 疫 原 KLH conjugated synthetic peptide derived from chicken LFABP: 21-127/127 
亚    型 IgG
纯化方法 affinity purified by Protein A
缓 冲 液 0.01M TBS (pH7.4) with 1% BSA, 0.02% Proclin300 and 50% Glycerol.
保存条件 Shipped at 4℃. Store at -20℃ for one year. Avoid repeated freeze/thaw cycles.
注意事项 This product as supplied is intended for research use only, not for use in human, therapeutic or diagnostic applications.
PubMed PubMed
产品介绍 This gene encodes the fatty acid binding protein found in liver. Fatty acid binding proteins are a family of small, highly conserved, cytoplasmic proteins that bind long-chain fatty acids and other hydrophobic ligands. This protein and FABP6 (the ileal fatty acid binding protein) are also able to bind bile acids. It is thought that FABPs roles include fatty acid uptake, transport, and metabolism. [provided by RefSeq, Mar 2011]

Function:
Binds free fatty acids and their coenzyme A derivatives, bilirubin, and some other small molecules in the cytoplasm. May be involved in intracellular lipid transport.

Subcellular Location:
Cytoplasm.

Similarity:
Belongs to the calycin superfamily. Fatty-acid binding protein (FABP) family.

Database links:

Entrez Gene: 2168 Human

Entrez Gene: 14080 Mouse

Entrez Gene: 24360 Rat

Omim: 134650 Human

SwissProt: P07148 Human

SwissProt: P12710 Mouse

SwissProt: P02692 Rat

Unigene: 380135 Human

Unigene: 22126 Mouse

Unigene: 36412 Rat



肝脏型脂肪酸结合蛋白家族是脂质结合蛋白超家族成员,是一族多源性的小分子多肽蛋白,存在于脊椎动物和非脊椎动物的细胞内,在细胞内长链脂肪酸的摄取、转运及代谢调节中发挥着重要作用。
LFABP广泛存在于哺乳动物的小肠、肝、心、脑、骨骼肌等多种细胞内,其主要作用是调节脂肪酸的摄取和胞内运输,可将脂肪酸从细胞膜上运送到脂肪酸氧化和甘油三酯及磷脂合成的场所。
产品图片
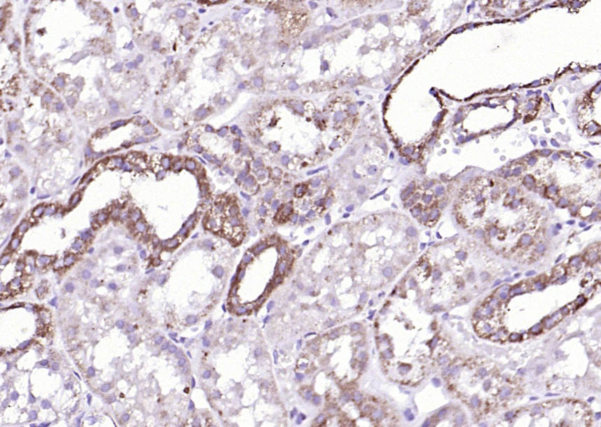
Paraformaldehyde-fixed, paraffin embedded (Human kidney); Antigen retrieval by boiling in sodium citrate buffer (pH6.0) for 15min; Block endogenous peroxidase by 3% hydrogen peroxide for 20 minutes; Blocking buffer (normal goat serum) at 37°C for 30min; Antibody incubation with (liver FABP) Polyclonal Antibody, Unconjugated (bs-0897R) at 1:200 overnight at 4°C, followed by operating according to SP Kit(Rabbit) (sp-0023) instructionsand DAB staining.
Paraformaldehyde-fixed, paraffin embedded (Human stomach); Antigen retrieval by boiling in sodium citrate buffer (pH6.0) for 15min; Block endogenous peroxidase by 3% hydrogen peroxide for 20 minutes; Blocking buffer (normal goat serum) at 37°C for 30min; Antibody incubation with (liver FABP) Polyclonal Antibody, Unconjugated (bs-0897R) at 1:200 overnight at 4°C, followed by operating according to SP Kit(Rabbit) (sp-0023) instructionsand DAB staining.
Paraformaldehyde-fixed, paraffin embedded (mouse kidney); Antigen retrieval by boiling in sodium citrate buffer (pH6.0) for 15min; Block endogenous peroxidase by 3% hydrogen peroxide for 20 minutes; Blocking buffer (normal goat serum) at 37°C for 30min; Antibody incubation with (liver FABP) Polyclonal Antibody, Unconjugated (bs-0897R) at 1:200 overnight at 4°C, followed by operating according to SP Kit(Rabbit) (sp-0023) instructionsand DAB staining
Paraformaldehyde-fixed, paraffin embedded (human liver); Antigen retrieval by boiling in sodium citrate buffer (pH6.0) for 15min; Block endogenous peroxidase by 3% hydrogen peroxide for 20 minutes; Blocking buffer (normal goat serum) at 37°C for 30min; Antibody incubation with (liver FABP) Polyclonal Antibody, Unconjugated (bs-0897R) at 1:200 overnight at 4°C, followed by operating according to SP Kit(Rabbit) (sp-0023) instructionsand DAB staining.
Paraformaldehyde-fixed, paraffin embedded (human liver carcinoma); Antigen retrieval by boiling in sodium citrate buffer (pH6.0) for 15min; Block endogenous peroxidase by 3% hydrogen peroxide for 20 minutes; Blocking buffer (normal goat serum) at 37°C for 30min; Antibody incubation with (liver FABP) Polyclonal Antibody, Unconjugated (bs-0897R) at 1:200 overnight at 4°C, followed by operating according to SP Kit(Rabbit) (sp-0023) instructionsand DAB staining.
Paraformaldehyde-fixed, paraffin embedded (rat kidney); Antigen retrieval by boiling in sodium citrate buffer (pH6.0) for 15min; Block endogenous peroxidase by 3% hydrogen peroxide for 20 minutes; Blocking buffer (normal goat serum) at 37°C for 30min; Antibody incubation with (liver FABP) Polyclonal Antibody, Unconjugated (bs-0897R) at 1:200 overnight at 4°C, followed by operating according to SP Kit(Rabbit) (sp-0023) instructionsand DAB staining。
版权所有 2004-2026 www.bioss.com.cn 北京博奥森生物技术有限公司
通过国际质量管理体系ISO 9001:2015 GB/T 19001-2016    证书编号: 00124Q34771R2M/1100
通过国际医疗器械-质量管理体系ISO 13485:2016 GB/T 42061-2022     证书编号: CQC24QY20047R0M/1100
京ICP备05066980号-1         京公网安备110107000727号