扫码关注公众号           扫码咨询技术支持           扫码咨询技术服务
  
客服热线:400-901-9800  客服QQ:4009019800  技术答疑  技术支持  质量反馈  关于我们  联系我们
产品中心-北京博奥森生物技术有限公司
首页 > 产品中心 > 一抗 > 产品信息
AIF1 / Iba1 Rabbit pAb (bs-1363R)  
订购热线:400-901-9800
订购邮箱:sales@bioss.com.cn
订购QQ:  400-901-9800
技术支持:techsupport@bioss.com.cn
50ul/1180.00元
100ul/1980.00元
200ul/2800.00元
大包装/询价

产品编号 bs-1363R
英文名称 AIF1 / Iba1 Rabbit pAb
中文名称 离子钙接头蛋白抗体
别    名 AIF 1; AIF1; AIF1 protein; IBa1; iba-1; IBa 1; allograft inflammatory factor 1; Allograft inflammatory factor 1 splice variant G; balloon angioplasty responsive transcription; BART 1; G1; G1 putative splice variant of allograft inflamatory factor 1; IBA 1; IBA1; interferon gamma responsive transcript; Ionized calcium binding adapter molecule 1; ionized calcium-binding adapter molecule; IRT 1; IRT1; Microglia response factor; MRF1; Protein G1.  
Specific References  (34)     |     bs-1363R has been referenced in 34 publications.
[IF=32.086] Yuxin Liu. et al. Ferromagnetic flexible electronics for brain-wide selective neural recording. ADV MATER. 2022 Nov;:2208251  IF ;  Rat.  
[IF=10.588] Haiyang Zhang. et al. Co-exposure of chronic stress and alumina nanoparticles aggravates hippocampal microglia pyroptosis by activating cathepsin B/NLRP3 signaling pathway. J HAZARD MATER. 2022 Aug;436:129093  IHC ;  Rat.  
[IF=8.823] Wang Shang. et al. Early activation of Toll-like receptor-3 reduces the pathological progression of Alzheimer’s disease in APP/PS1 mouse. ALZHEIMERS RES THER. 2023 Dec;15(1):1-17  WB ;  Mouse.  
[IF=6.208] Guang-Sheng Li. et al. Neurovascular Unit Compensation from Adjacent Level May Contribute to Spontaneous Functional Recovery in Experimental Cervical Spondylotic Myelopathy. INT J MOL SCI. 2023 Jan;24(4):3408  IHC ;  Rat.  
[IF=6.208] Longcong Dong. et al. Shared Genes of PPARG and NOS2 in Alzheimer’s Disease and Ulcerative Colitis Drive Macrophages and Microglia Polarization: Evidence from Bioinformatics Analysis and Following Validation. INT J MOL SCI. 2023 Jan;24(6):5651  IF ;  Mouse.  
[IF=6.023] Tong Wang. et al. Reactive astrocytes induced by 2-chloroethanol modulate microglia polarization through IL-1β, TNF-α, and iNOS upregulation. Food Chem Toxicol. 2021 Sep;:112550  IF ;  rat.  
[IF=5.923] Liang Hu. et al. Transient Activation of Hedgehog Signaling Inhibits Cellular Senescence and Inflammation in Radiated Swine Salivary Glands through Preserving Resident Macrophages. Int J Mol Sci. 2021 Jan;22(24):13493  WB ;  Pig.  
[IF=5.793] Kong F et al. Forsythoside B attenuates memory impairment and neuroinflammation via inhibition on NF-κB signaling in Alzheimer's disease. J Neuroinflammation . 2020 Oct 15;17(1):305.  IHC ;  Mouse.  
[IF=5.793] Fan’ge Kong. et al. Forsythoside B attenuates memory impairment and neuroinflammation via inhibition on NF-κB signaling in Alzheimer’s disease. J Neuroinflamm. 2020 Dec;17(1):1-15  IHC ;  Mouse.  
[IF=5.23] Hsu, Shih-Tien, et al. "Effects of Taxol on Regeneration in a Rat Sciatic Nerve Transection Model." Scientific Reports 7 (2017): 42280.  IHC-F ;  Rat.  
[IF=5.195] Shan Luo. et al. Application of omics technology to investigate the mechanism underlying the role of San Hua Tang in regulating microglia polarization and blood-brain barrier protection following ischemic stroke. J ETHNOPHARMACOL. 2023 May;:116640  IF ;  Rat.  
[IF=4.831] Lushuang Xie. et al. Inflammatory factors and amyloid β-induced microglial polarization promote inflammatory crosstalk with astrocytes.. Aging-Us. 2020 Nov 30; 12(22): 22538–22549  IHC ;  Rat.  
[IF=4.8] Ko, Chien-Hsin, et al. "Biodegradable Bisvinyl Sulfonemethyl-crosslinked Gelatin Conduit Promotes Regeneration after Peripheral Nerve Injury in Adult Rats." Scientific reports 7.1 (2017): 17489.  IF(ICC) ;  Rat.  
[IF=4.451] Meilan Xue. et al. Neuroprotective effect of fucoidan by regulating gut-microbiota-brain axis in alcohol withdrawal mice. J Funct Foods. 2021 Nov;86:104726  WB ;  mouse.  
[IF=4.12] Ji et al. TFP5 peptide, derived from CDK5-activating cofactor p35, provides neuroprotection in early-stage of adult ischemic stroke. (2017) Sci.Rep. 7:40013  WB ;  Rat.  
[IF=4.074] Dingkang Xu. et al. Sphingosine‐1‐phosphate receptor 3 is implicated in BBB injury via the CCL2‐CCR2 axis following acute intracerebral hemorrhage. 2021 Feb 28  IHC ;  Human.  
[IF=3.83] Kouam et al. Induction of Mkp-1 and Nuclear Translocation of Nrf2 by Limonoids from Khaya grandifoliola C.DC Protect L-02 Hepatocytes against Acetaminophen-Induced Hepatotoxicity. (2017) Front.Pharmacol. 8:653  WB ;  Human.  
[IF=3.82] Fu, Juanli, et al. "The acute exposure of tetrachloro-p-benzoquinone (aka chloranil) triggers inflammation and neurological dysfunction via Toll-like receptor 4 signaling: The protective role of melatonin preconditioning." Toxicology (2017).  IHC-P ;  Mouse.  
[IF=3.61] Qinrui Hu. et al. Neuroprotection of boropinol-B in Cerebral Ischemia-reperfusion Injury by Inhibiting Inflammation and Apoptosis. BRAIN RES. 2022 Oct;:148132  IF ;  Rat.  
[IF=3.548] Yang W et al. The role of protein disulphide-isomerase A3 as autoantigen in the pathogenesis of autoimmune thyroiditis and related brain damage in adult mice. Clin Immunol. 2020 Jan 23;212:108350.  IHF-F ;  Mouse.  
[IF=3.056] Yanan Shen. et al. Phosphatase and Tensin Homolog Deleted on Chromosome Ten Knockdown Attenuates Cognitive Deficits by Inhibiting Microglia-mediated Neuroinflammation in the Hippocampus in a Mouse Model of Perioperative Neurocognitive Disorder. Neuroscience. 2021 Aug;468:199  WB ;  Mouse.  
[IF=3.038] Pengfei Fu. et al. Baicalein Ameliorates Epilepsy Symptoms in a Pilocarpine-Induced Rat Model by Regulation of IGF1R. Neurochem Res. 2020 Dec;45(12):3021-3033  IF ;  Rat.  
[IF=2.866] Wei, Ying. et al. Astrocyte Activation, but not Microglia, Is Associated with the Experimental Mouse Model of Schizophrenia Induced by Chronic Ketamine. J MOL NEUROSCI. 2022 Jul;:1-14  WB ;  Mouse.  
[IF=2.86] Hu. et al. Levo-Corydalmine Alleviates Neuropathic Cancer Pain Induced by Tumor Compression via the CCL2/CCR2 Pathway  IF(IHC-P) ;  Mouse.  
[IF=2.86] Hu. et al. Levo-Corydalmine Alleviates Neuropathic Cancer Pain Induced by Tumor Compression via the CCL2/CCR2 Pathway  Mouse.  
[IF=2.667] Liao CF et al. Effects of endogenous inflammation signals elicited by nerve growth factor, interferon-γ, and interleukin-4 on peripheral nerve regeneration. J Biol Eng. 2019 Nov 13;13:86.  IHF-F ;  Rat.  
[IF=2.21] Can Sezer. et al. Neuroprotective Effects of Milrinone on Acute Traumatic Brain İnjury. WORLD NEUROSURG. 2022 Nov;:  IHC ;  Mouse.  
[IF=2.14] Ogawa, Takashi, et al. "Spontaneous cutaneous soft tissue sarcoma with differentiation into fibroblasts in a Sprague–Dawley rat." Journal of Toxicologic Pathology 0 (2016).  IHC-P ;  Rat.  
[IF=1.797] Ya‐Zhou Lu. et al. The seed oil of Paeonia ludlowii ameliorates Aβ25‐35‐induced Alzheimer's disease in rats. 2021 Mar 30  IHC ;  Rat.  
[IF=1.756] Yue J et al. Activation of leukocyte immunoglobulin-like receptor B2 signaling pathway in cortical lesions of pediatric patients with focal cortical dysplasia type IIb and tuberous sclerosis complex. Brain Dev. 2019 Sep 5. pii: S0387-7604(19)30240-2.  IHF ;  Human.  
研究领域 细胞生物  免疫学  神经生物学  
抗体来源 Rabbit
克隆类型 Polyclonal
克 隆 号
交叉反应 Human,Mouse,Rat
产品应用 WB=1:500-1000,IHC-P=1:100-500,IHC-F=1:100-500,IF=1:100-500
not yet tested in other applications.
optimal dilutions/concentrations should be determined by the end user.
理论分子量 16 kDa
检测分子量
细胞定位 细胞浆 细胞膜 
性    状 Liquid
浓    度 1mg/ml
免 疫 原 KLH conjugated synthetic peptide derived from human Iba1: 51-147/147 
亚    型 IgG
纯化方法 affinity purified by Protein A
缓 冲 液 0.01M TBS (pH7.4) with 1% BSA, 0.02% Proclin300 and 50% Glycerol.
保存条件 Shipped at 4℃. Store at -20℃ for one year. Avoid repeated freeze/thaw cycles.
注意事项 This product as supplied is intended for research use only, not for use in human, therapeutic or diagnostic applications.
PubMed PubMed
产品介绍 Allograft Inflammatory Factor-1 (AIF1)or ionized calcium-binding adaptor molecule 1 (Iba1) is expressed selectively in microglia/macrophages and is a Ca2+-binding peptide produced by activated monocytes and microglial cells. It has been suggested that AIF1 expression is associated with chronic inflammatory processes. AIF1 is expressed by activated monocytes and might participate in a variety of pathogenic processes in the mammalian brain and in chronic transplant rejection. It has been shown to be expressed early and persistently in chronically rejecting cardiac allografts but not in cardiac syngrafts and host hearts.

Function:
Actin-binding protein that enhances membrane ruffling and RAC activation. Enhances the actin-bundling activity of LCP1. Binds calcium. Plays a role in RAC signaling and in phagocytosis. May play a role in macrophage activation and function. Promotes the proliferation of vascular smooth muscle cells and of T-lymphocytes. Enhances lymphocyte migration. Plays a role in vascular inflammation.

Subunit:
Homodimer (Potential). Monomer. Interacts with LCP1.

Subcellular Location:
Cytoplasm, cytoskeleton. Cell projection, ruffle membrane; Peripheral membrane protein; Cytoplasmic side. Note=Associated with the actin cytoskeleton at membrane ruffles and at sites of phagocytosis.

Tissue Specificity:
Detected in T-lymphocytes and peripheral blood mononuclear cells.

Similarity:
Contains 2 EF-hand domains.

SWISS:
P55008

Gene ID:
199

Database links:

Entrez Gene: 199 Human

Entrez Gene: 11629 Mouse

Entrez Gene: 29427 Rat

Omim: 601833 Human

SwissProt: P55008 Human

SwissProt: O70200 Mouse

SwissProt: P55009 Rat

Unigene: 76364 Human

Unigene: 10747 Mouse

Unigene: 32080 Rat



离子钙接头蛋白主要在小胶质细胞表达.
产品图片
25 ug total protein per lane of various lysates (see on figure) probed with AIF1 (9A3) polyclonal antibody, unconjugated (bs-1363R) at 1:1000 dilution and 4°C overnight incubation. Followed by conjugated secondary antibody incubation at r.t. for 60 min.
Paraformaldehyde-fixed, paraffin embedded Mouse Spleen; Antigen retrieval by boiling in sodium citrate buffer (pH6.0) for 15 min; Antibody incubation with AIF1 (9A3) Polyclonal Antibody, Unconjugated(bs-1363R) at 1:200 overnight at 4°C, followed by conjugation to the SP Kit(Rabbit, SP-0023) and DAB (C-0010) staining.
Paraformaldehyde-fixed, paraffin embedded Mouse Cerebrum; Antigen retrieval by boiling in sodium citrate buffer (pH6.0) for 15 min; Antibody incubation with AIF1 (9A3) Polyclonal Antibody, Unconjugated(bs-1363R) at 1:200 overnight at 4°C, followed by conjugation to the SP Kit(Rabbit, SP-0023) and DAB (C-0010) staining.
Paraformaldehyde-fixed, paraffin embedded Human Spleen; Antigen retrieval by boiling in sodium citrate buffer (pH6.0) for 15 min; Antibody incubation with AIF1 (9A3) Polyclonal Antibody, Unconjugated(bs-1363R) at 1:200 overnight at 4°C, followed by conjugation to the SP Kit(Rabbit, SP-0023) and DAB (C-0010) staining
Paraformaldehyde-fixed, paraffin embedded Human Colon Cancer; Antigen retrieval by boiling in sodium citrate buffer (pH6.0) for 15 min; Antibody incubation with AIF1 (9A3) Polyclonal Antibody, Unconjugated(bs-1363R) at 1:200 overnight at 4°C, followed by conjugation to the SP Kit(Rabbit, SP-0023) and DAB (C-0010) staining.
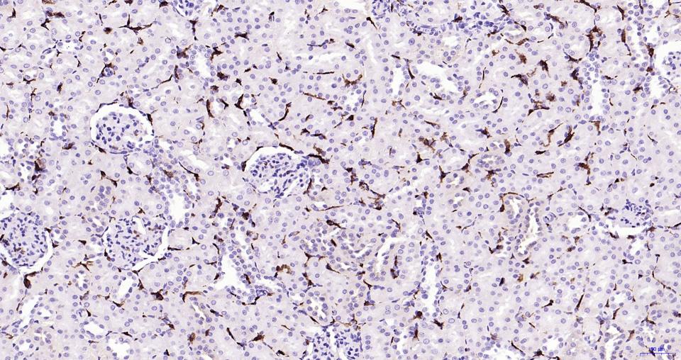
Paraformaldehyde-fixed, paraffin embedded Rat Kidney; Antigen retrieval by boiling in sodium citrate buffer (pH6.0) for 15 min; Antibody incubation with AIF1 (9A3) Polyclonal Antibody, Unconjugated(bs-1363R) at 1:200 overnight at 4°C, followed by conjugation to the SP Kit(Rabbit, SP-0023) and DAB (C-0010) staining.
araformaldehyde-fixed, paraffin embedded rat brain; Antigen retrieval by boiling in sodium citrate buffer (pH6.0) for 15 min; Antibody incubation with AIF1 (9A3) Polyclonal Antibody, Unconjugated(bs-1363R) at 1:200 overnight at 4°C, followed by conjugation to the SP Kit(Rabbit, SP-0023) and DAB (C-0010) staining.
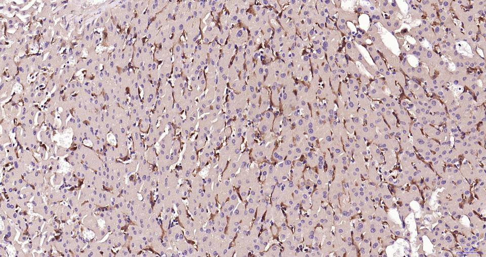
Paraformaldehyde-fixed, paraffin embedded Rat liver; Antigen retrieval by boiling in sodium citrate buffer (pH6.0) for 15 min; Antibody incubation with AIF1 (9A3) Polyclonal Antibody, Unconjugated(bs-1363R) at 1:200 overnight at 4°C, followed by conjugation to the SP Kit(Rabbit, SP-0023) and DAB (C-0010) staining.
Paraformaldehyde-fixed, paraffin embedded Mouse Small Intestine; Antigen retrieval by boiling in sodium citrate buffer (pH6.0) for 15 min; Antibody incubation with AIF1 (9A3) Polyclonal Antibody, Unconjugated(bs-1363R) at 1:200 overnight at 4°C, followed by conjugation to the SP Kit(Rabbit, SP-0023) and DAB (C-0010) staining.
Paraformaldehyde-fixed, paraffin embedded Mouse Liver; Antigen retrieval by boiling in sodium citrate buffer (pH6.0) for 15 min; Antibody incubation with AIF1 (9A3) Polyclonal Antibody, Unconjugated(bs-1363R) at 1:200 overnight at 4°C, followed by conjugation to the SP Kit(Rabbit, SP-0023) and DAB (C-0010) staining.
Paraformaldehyde-fixed, paraffin embedded Human Cerebrum; Antigen retrieval by boiling in sodium citrate buffer (pH6.0) for 15 min; Antibody incubation with AIF1 (9A3) Polyclonal Antibody, Unconjugated(bs-1363R) at 1:200 overnight at 4°C, followed by conjugation to the SP Kit(Rabbit, SP-0023) and DAB (C-0010) staining.
Paraformaldehyde-fixed, paraffin embedded Human Liver; Antigen retrieval by boiling in sodium citrate buffer (pH6.0) for 15 min; Antibody incubation with AIF1 (9A3) Polyclonal Antibody, Unconjugated(bs-1363R) at 1:200 overnight at 4°C, followed by conjugation to the SP Kit(Rabbit, SP-0023) and DAB (C-0010) staining.
Paraformaldehyde-fixed, paraffin embedded Rat small Intestine;; Antigen retrieval by boiling in sodium citrate buffer (pH6.0) for 15 min; Antibody incubation with AIF1 (9A3) Polyclonal Antibody, Unconjugated(bs-1363R) at 1:200 overnight at 4°C, followed by conjugation to the SP Kit(Rabbit, SP-0023) and DAB (C-0010) staining.
Paraformaldehyde-fixed, paraffin embedded Rat Spleen; Antigen retrieval by boiling in sodium citrate buffer (pH6.0) for 15 min; Antibody incubation with AIF1 (9A3) Polyclonal Antibody, Unconjugated(bs-1363R) at 1:200 overnight at 4°C, followed by conjugation to the SP Kit(Rabbit, SP-0023) and DAB (C-0010) staining.
Paraformaldehyde-fixed, paraffin embedded Human Left Parietal Lobe; Antigen retrieval by boiling in sodium citrate buffer (pH6.0) for 15 min; The section was incubated with AIF1 / Iba1 Polyclonal Antibody, Unconjugated (bs-1363R) at 1:200 overnight at 4°C. Followed by conjugated Goat Anti-Rabbit IgG antibody (Red, bs-0295G-BF594), DAPI (blue, C02-04002) was used to stain the cell nuclei.
Paraformaldehyde-fixed, paraffin embedded Rat Cerebrum; Antigen retrieval by boiling in sodium citrate buffer (pH6.0) for 15 min; The section was incubated with AIF1 / Iba1 Polyclonal Antibody, Unconjugated (bs-1363R) at 1:200 overnight at 4°C. Followed by conjugated Goat Anti-Rabbit IgG antibody (Red, bs-0295G-BF594), DAPI (blue, C02-04002) was used to stain the cell nuclei.
Paraformaldehyde-fixed, paraffin embedded Mouse Cerebrum; Antigen retrieval by boiling in sodium citrate buffer (pH6.0) for 15 min; The section was incubated with AIF1 / Iba1 Polyclonal Antibody, Unconjugated (bs-1363R) at 1:200 overnight at 4°C. Followed by conjugated Goat Anti-Rabbit IgG antibody (Red, bs-0295G-BF594), DAPI (blue, C02-04002) was used to stain the cell nuclei.
版权所有 2004-2026 www.bioss.com.cn 北京博奥森生物技术有限公司
通过国际质量管理体系ISO 9001:2015 GB/T 19001-2016    证书编号: 00124Q34771R2M/1100
通过国际医疗器械-质量管理体系ISO 13485:2016 GB/T 42061-2022     证书编号: CQC24QY20047R0M/1100
京ICP备05066980号-1         京公网安备110107000727号