扫码关注公众号           扫码咨询技术支持           扫码咨询技术服务
  
客服热线:400-901-9800  客服QQ:4009019800  技术答疑  技术支持  质量反馈  关于我们  联系我们
产品中心-北京博奥森生物技术有限公司
首页 > 产品中心 > 一抗 > 产品信息
Lipocalin 2/NGAL Rabbit pAb (bs-1373R)  
订购热线:400-901-9800
订购邮箱:sales@bioss.com.cn
订购QQ:  400-901-9800
技术支持:techsupport@bioss.com.cn
50ul/1180.00元
100ul/1980.00元
200ul/2800.00元
大包装/询价

产品编号 bs-1373R
英文名称 Lipocalin 2/NGAL Rabbit pAb
中文名称 脂质运载蛋白抗体
别    名 Lipocalin 2; Neutrophil Gelatinase associated Lipocalin; 25 kDa alpha 2 microglobulin related subunit of MMP9; alpha 2 microglobulin related protein; HGNC:6526; HNL; Lcn 2; LCN-2; Lcn2; Neutrophil gelatinase associated lipocalin precursor; NGAL; Oncogene 24p3; P25; SV40 induced 24P3 protein. 24p3; 25 kDa alpha-2-microglobulin-related subunit of MMP-9; Lipocalin-2; Migration stimulating factor inhibitor; MSFI; Neutrophil gelatinase associated lipocalin precursor; Neutrophil gelatinase-associated lipocalin; NGAL_HUMAN; Oncogenic lipocalin 24p3; Siderocalin; siderocalin LCN2; SV40 induced 24P3 protein.  
Specific References  (4)     |     bs-1373R has been referenced in 4 publications.
[IF=6.16] Xing, Changhong, et al. "Neuronal Production of Lipocalin-2 as a Help-Me Signal for Glial Activation." Stroke (2014): STROKEAHA-114.  IHC-P ;  Human.  
[IF=4.041] Chen, Yi-Hung. et al. Electroacupuncture improves repeated social defeat stress-elicited social avoidance and anxiety-like behaviors by reducing Lipocalin-2 in the hippocampus. Mol Brain. 2021 Dec;14(1):1-25  IF ;  Mouse.  
[IF=3.934] Wang Z et al. Fetal Bisphenol-A Induced Changes in Murine Behavior and Brain Gene Expression Persisted in Adult-aged OffspringEndocrinology.2020 Dec 1;161(12):bqaa164.  IHC ;  Mouse.  
[IF=3.647] Lin D et al. Aldehyde dehydrogenase 2 regulates autophagy via the Akt-mTOR pathway to mitigate renal ischemia-reperfusion injury in hypothermic machine perfusion. Life Sci . 2020 Jul 15;253:117705.  IHC,WB ;  mouse.  
研究领域 肿瘤  细胞生物  神经生物学  信号转导  细胞凋亡  激酶和磷酸酶  
抗体来源 Rabbit
克隆类型 Polyclonal
克 隆 号
交叉反应 Human
产品应用 IHC-P=1:100-500,IHC-F=1:100-500,IF=1:100-500,ELISA=1:5000-10000
not yet tested in other applications.
optimal dilutions/concentrations should be determined by the end user.
理论分子量 20 kDa
检测分子量
细胞定位 分泌型蛋白 
性    状 Liquid
浓    度 1mg/ml
免 疫 原 KLH conjugated synthetic peptide derived from human Lipocalin 2: 101-198/198 
亚    型 IgG
纯化方法 affinity purified by Protein A
缓 冲 液 0.01M TBS (pH7.4) with 1% BSA, 0.02% Proclin300 and 50% Glycerol.
保存条件 Shipped at 4℃. Store at -20℃ for one year. Avoid repeated freeze/thaw cycles.
注意事项 This product as supplied is intended for research use only, not for use in human, therapeutic or diagnostic applications.
PubMed PubMed
产品介绍 Lipocalin 2 is a member of the lipocalin family which encompass more than 25 members (including proteins like retinol binding protein, a1 microglobulin, b lactoglobulin, apolipoprotein D and odorant binding protein). The members of the lipocalin family are characterized by their ability to bind small lipophilic substances in their hydrophobic core, and thereby serve as transporters of substances.

Function:
Iron-trafficking protein involved in multiple processes such as apoptosis, innate immunity and renal development. Binds iron through association with 2,5-dihydroxybenzoic acid (2,5-DHBA), a siderophore that shares structural similarities with bacterial enterobactin, and delivers or removes iron from the cell, depending on the context. Iron-bound form (holo-24p3) is internalized following binding to the SLC22A17 (24p3R) receptor, leading to release of iron and subsequent increase of intracellular iron concentration. In contrast, association of the iron-free form (apo-24p3) with the SLC22A17 (24p3R) receptor is followed by association with an intracellular siderophore, iron chelation and iron transfer to the extracellular medium, thereby reducing intracellular iron concentration. Involved in apoptosis due to interleukin-3 (IL3) deprivation: iron-loaded form increases intracellular iron concentration without promoting apoptosis, while iron-free form decreases intracellular iron levels, inducing expression of the proapoptotic protein BCL2L11/BIM, resulting in apoptosis. Involved in innate immunity, possibly by sequestrating iron, leading to limit bacterial growth.

Subunit:
Homodimer; disulfide-linked. Heterodimer; disulfide-linked with MMP9.

Subcellular Location:
Secreted. Note=Upon binding to the SLC22A17 (24p3R) receptor, it is internalized.

Tissue Specificity:
Expressed in bone marrow and in tissues that are prone to exposure to microorganism. High expression is found in bone marrow as well as in uterus, prostate, salivary gland, stomach, appendix, colon, trachea and lung. Not found in the small intestine or peripheral blood leukocytes.

Similarity:
Belongs to the calycin superfamily. Lipocalin family.

SWISS:
P80188

Gene ID:
3934

Database links:

Entrez Gene: 3934 Human

Entrez Gene: 16819 Mouse

Entrez Gene: 170496 Rat

Omim: 600181 Human

SwissProt: P80188 Human

SwissProt: P11672 Mouse

SwissProt: P30152 Rat

Unigene: 204238 Human

Unigene: 9537 Mouse

Unigene: 11303 Rat



NGAL在胚胎发育、细胞分化、细胞凋亡、细胞信号转导、脂质代谢及肿瘤的发生发展以及参与炎症免疫反应等多种生命活动过程中发挥着作用,尤其是近年来在消化系统肿瘤的研究中,受到了重视。
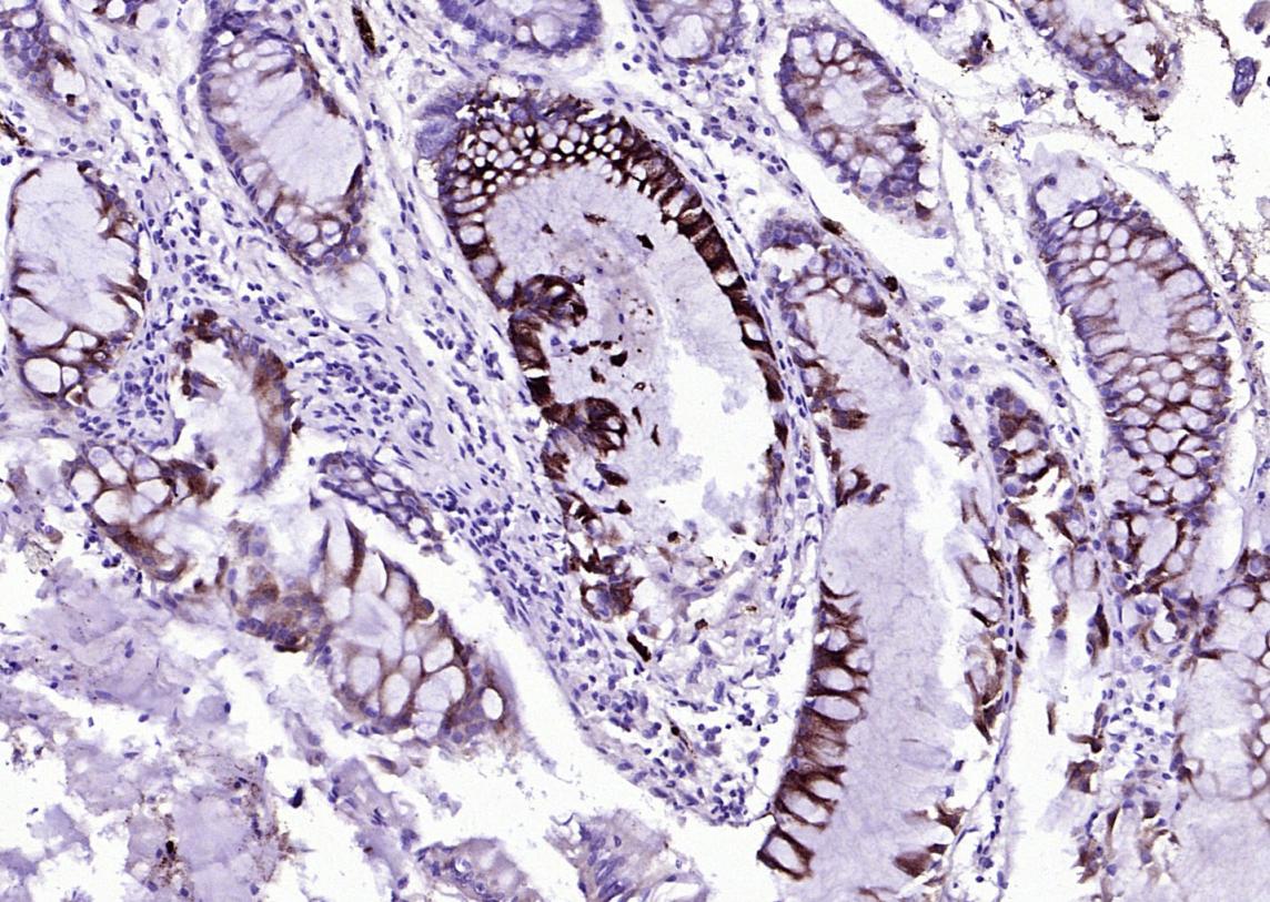
产品图片
Paraformaldehyde-fixed, paraffin embedded Human Colon Cancer; Antigen retrieval by boiling in sodium citrate buffer (pH6.0) for 15 min; The section was incubated with Lipocalin 2/NGAL Polyclonal Antibody, Unconjugated (bs-1373R) at 1:200 overnight at 4°C, followed by conjugation to the bs-0295G-HRP and DAB (C-0010) staining.
版权所有 2004-2026 www.bioss.com.cn 北京博奥森生物技术有限公司
通过国际质量管理体系ISO 9001:2015 GB/T 19001-2016    证书编号: 00124Q34771R2M/1100
通过国际医疗器械-质量管理体系ISO 13485:2016 GB/T 42061-2022     证书编号: CQC24QY20047R0M/1100
京ICP备05066980号-1         京公网安备110107000727号