扫码关注公众号           扫码咨询技术支持           扫码咨询技术服务
  
客服热线:400-901-9800  客服QQ:4009019800  技术答疑  技术支持  质量反馈  人才招聘  关于我们  联系我们
产品中心-北京博奥森生物技术有限公司
首页 > 产品中心 > 一抗 > 产品信息
CCL20 Rabbit pAb (bs-1268R)  
订购热线:400-901-9800
订购邮箱:sales@bioss.com.cn
订购QQ:  400-901-9800
技术支持:techsupport@bioss.com.cn
50ul/1180.00元
100ul/1980.00元
200ul/2800.00元
大包装/询价

产品编号 bs-1268R
英文名称 CCL20 Rabbit pAb
中文名称 巨噬细胞炎性蛋白MIP-3a抗体
别    名 CKb4; Exodus; LARC; MIP-3-alpha; MIP-3a; MIP3A; SCYA20; ST38; MIP-3[a]; exodus-1; CCL20_HUMAN; CCL20; Beta-chemokine exodus-1; CC chemokine LARC; Liver and activation-regulated chemokine; Macrophage inflammatory protein 3 alpha (MIP-3-alpha); Small-induci  
Specific References  (4)     |     bs-1268R has been referenced in 4 publications.
[IF=5.714] Tianming Li. et al. IL-17D affects the chemokines and chemokine receptors of intestinal epithelial cells under hyperoxia. INT IMMUNOPHARMACOL. 2022 Dec;113:109386  IHC ;  Rat, Human.  
[IF=3.401] Mitchell Corey Sanders. et al. Protecting human amnion and chorion matrices (HACM) during processing: Performance enhancement in a Diabetic Mouse Model and Human Co-culture System. WOUND REPAIR REGEN. 2023 May;:  IHC ;  Mouse.  
[IF=1.06] Qin, Shan-Yu, et al. "Role and recruitment of Th9 cells in liver cirrhosis patients." Asian Pacific Journal of Tropical Biomedicine (2016).  IHC-P ;  Human.  
[IF=0] Liu et al. Clara cell 10-kDa protein inhibits T(H)17 responses through modulating dendritic cells in the setting of allergic rhinitis. (2013) J.Allergy.Clin.Immunol. 131:387-94.e1-12  IHC ;  Mouse.  
研究领域 细胞生物  免疫学  
抗体来源 Rabbit
克隆类型 Polyclonal
克 隆 号
交叉反应 Human (predicted: Mouse,Rat)
产品应用 IHC-P=1:100-500,IHC-F=1:100-500,IF=1:100-500
not yet tested in other applications.
optimal dilutions/concentrations should be determined by the end user.
理论分子量 8.6 kDa
细胞定位 分泌型蛋白 
性    状 Liquid
浓    度 1mg/ml
免 疫 原 KLH conjugated synthetic peptide derived from human CCL20: 31-97/97 
亚    型 IgG
纯化方法 affinity purified by Protein A
缓 冲 液 0.01M TBS (pH7.4) with 1% BSA, 0.02% Proclin300 and 50% Glycerol.
保存条件 Shipped at 4℃. Store at -20℃ for one year. Avoid repeated freeze/thaw cycles.
注意事项 This product as supplied is intended for research use only, not for use in human, therapeutic or diagnostic applications.
PubMed PubMed
产品介绍 This antimicrobial gene belongs to the subfamily of small cytokine CC genes. Cytokines are a family of secreted proteins involved in immunoregulatory and inflammatory processes. The CC cytokines are proteins characterized by two adjacent cysteines. The protein encoded by this gene displays chemotactic activity for lymphocytes and can repress proliferation of myeloid progenitors. Two transcript variants encoding different isoforms have been found for this gene. [provided by RefSeq, Sep 2014]

Function:
Chemotactic factor that attracts lymphocytes and, slightly, neutrophils, but not monocytes. Inhibits proliferation of myeloid progenitors in colony formation assays. May be involved in formation and function of the mucosal lymphoid tissues by attracting lymphocytes and dendritic cells towards epithelial cells. C-terminal processed forms have been shown to be equally chemotactically active for leukocytes. Possesses antibacterial activity E.coli ATCC 25922 and S.aureus ATCC 29213.

Subunit:
Binds to and activate CCR6.

Subcellular Location:
Secreted.

Tissue Specificity:
Expressed predominantly in the liver, lymph nodes, appendix, peripheral blood lymphocytes, and fetal lung. Low levels seen in thymus, prostate, testis, small intestine and colon.

Post-translational modifications:
C-terminal processed forms which lack 1, 3 or 6 amino acids are produced by proteolytic cleavage after secretion from peripheral blood monocytes.

Similarity:
Belongs to the intercrine beta (chemokine CC) family.

SWISS:
P78556

Gene ID:
6364

Database links:

Entrez Gene: 6364 Human

Entrez Gene: 20297 Mouse

Entrez Gene: 29538 Rat

Omim: 601960 Human

SwissProt: P78556 Human

SwissProt: O89093 Mouse

SwissProt: P97884 Rat

Unigene: 75498 Human

Unigene: 116739 Mouse

Unigene: 10722 Rat



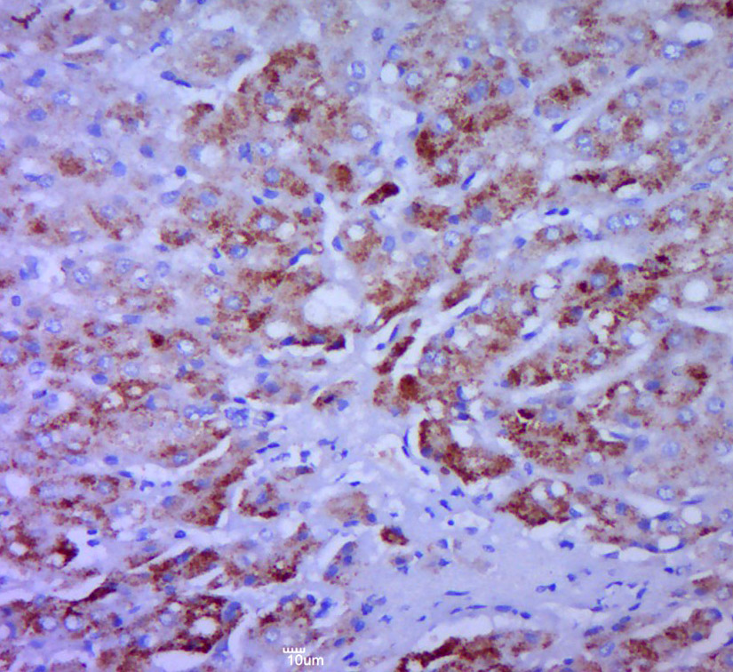
产品图片
Paraformaldehyde-fixed, paraffin embedded (human liver carcinoma); Antigen retrieval by boiling in sodium citrate buffer (pH6.0) for 15min; Block endogenous peroxidase by 3% hydrogen peroxide for 20 minutes; Blocking buffer (normal goat serum) at 37°C for 30min; Antibody incubation with (CCL20) Polyclonal Antibody, Unconjugated (bs-1268R) at 1:400 overnight at 4°C, followed by a conjugated secondary (sp-0023) for 20 minutes and DAB staining.
版权所有 2004-2026 www.bioss.com.cn 北京博奥森生物技术有限公司
通过国际质量管理体系ISO 9001:2015 GB/T 19001-2016    证书编号: 00124Q34771R2M/1100
通过国际医疗器械-质量管理体系ISO 13485:2016 GB/T 42061-2022     证书编号: CQC24QY20047R0M/1100
京ICP备05066980号-1         京公网安备110107000727号