扫码关注公众号           扫码咨询技术支持           扫码咨询技术服务
  
客服热线:400-901-9800  客服QQ:4009019800  技术答疑  技术支持  质量反馈  人才招聘  关于我们  联系我们
产品中心-北京博奥森生物技术有限公司
首页 > 产品中心 > 一抗 > 产品信息
GPR30 Rabbit pAb (bs-1380R)  
订购热线:400-901-9800
订购邮箱:sales@bioss.com.cn
订购QQ:  400-901-9800
技术支持:techsupport@bioss.com.cn
50ul/1180.00元
100ul/1980.00元
200ul/2800.00元
大包装/询价

产品编号 bs-1380R
英文名称 GPR30 Rabbit pAb
中文名称 G蛋白偶联受体30抗体
别    名 CEPR; CMKRL2; DRY12; FEG-1; GPCR-Br; GPER; GPR30; LERGU; LERGU2; LyGPR; mER; 6330420K13Rik; Ceprl; GPR41; GPER1_HUMAN; GPER1; Chemoattractant receptor-like 2; Flow-induced endothelial G-protein coupled receptor 1 (FEG-1); G protein-coupled estrogen receptor 1; G-protein coupled receptor 30; IL8-related receptor DRY12; Lymphocyte-derived G-protein coupled receptor (LYGPR); Membrane estrogen receptor (mER); GPER1_MOUSE; GPER1_RAT; G-protein coupled receptor 41; G protein-coupled receptor 30  
Specific References  (10)     |     bs-1380R has been referenced in 10 publications.
[IF=7.129] Qianfeng Liu. et al. Perfluoroalkyl substances promote breast cancer progression via ERα and GPER mediated PI3K/Akt and MAPK/Erk signaling pathways. ECOTOX ENVIRON SAFE. 2023 Jun;258:114980  WB ;  Human.  
[IF=4.057] Pei H et al. G Protein-Coupled Estrogen Receptor 1 Inhibits Angiotensin II-Induced Cardiomyocyte Hypertrophy via the Regulation of PI3K-Akt-mTOR Signalling and Autophagy. International Journal of Biological Sciences,2018 15(1), 81–92.  ICF ;  Rat.  
[IF=3.889] Ting Chen. et al. Tongmai Yangxin pill alleviates myocardial no-reflow by activating GPER to regulate HIF-1α signaling and downstream potassium channels. PHARM BIOL. 2023;61(1):499-513  WB ;  Rat.  
[IF=3.75] Andressa S. Sousa. et al. Evaluation of coronary function in female rats with severe type 1 diabetes: Effects of combined treatment with insulin and pyridoxamine. MICROVASC RES. 2022 Dec;:104474  WB ;  Rat.  
[IF=3.641] Wenbo Ge. et al. 17β-estradiol protects sheep oviduct epithelial cells against lipopolysaccharide-induced inflammation in vitro. Mol Immunol. 2020 Nov;127:21  IHC ;  Sheep.  
[IF=3.118] Yasuda H et al. (2019). 17-β-estradiol enhances neutrophil extracellular trap formation by interaction with estrogen membrane receptor. Archives of Biochemistry and Biophysics, 663, 64–70.  ICF ;  Human.  
[IF=2.39] Wang, Hao, et al. "Activation of GPR30 inhibits cardiac fibroblast proliferation."Molecular and Cellular Biochemistry: 1-14.  Rat.  
[IF=2.3] Wang, Hao, et al. "Activation of GPR30 improves exercise capacity and skeletal muscle strength in senescent female Fischer344× Brown Norway rats." Biochemical and Biophysical Research Communications (2016).  WB ;  Rat.  
[IF=2.28] Zhao, Zhuo, et al. "GPR30 Decreases Cardiac Chymase/Angiotensin II by Inhibiting Local Mast Cell Number." Biochemical and Biophysical Research Communications (2015).  Rat.  
[IF=1.638] Ge W et al. Androgen receptor, aromatase, estrogen receptor α/β, and G‐protein‐coupled receptor 30 expression in the testes and epididymides of adult sheep. Reproduction in Domestic Animals. 2020.  WB ;  Sheep.  
研究领域 细胞生物  神经生物学  信号转导  细胞膜受体  G蛋白偶联受体  表观遗传学  G蛋白信号  
抗体来源 Rabbit
克隆类型 Polyclonal
交叉反应 Human,Mouse,Rat (predicted: Zebrafish)
产品应用 WB=1:500-2000,IHC-P=1:100-500,IHC-F=1:100-500,IF=1:100-500,Flow-Cyt=1μg/Test
not yet tested in other applications.
optimal dilutions/concentrations should be determined by the end user.
理论分子量 42kDa
检测分子量 58
细胞定位 细胞核 细胞浆 细胞膜 细胞外基质 
性    状 Liquid
浓    度 1mg/ml
免 疫 原 KLH conjugated synthetic peptide derived from human GPR30: 251-375/375 <Cytoplasmic>
亚    型 IgG
纯化方法 affinity purified by Protein A
缓 冲 液 0.01M TBS (pH7.4) with 1% BSA, 0.02% Proclin300 and 50% Glycerol.
保存条件 Shipped at 4℃. Store at -20℃ for one year. Avoid repeated freeze/thaw cycles.
注意事项 This product as supplied is intended for research use only, not for use in human, therapeutic or diagnostic applications.
PubMed PubMed
产品介绍 G protein-coupled receptors (GPRs, or GPCRs) contain 7 hydrophobic transmembrane domains embedded in hydrophilic intra- and extracellular loops and transduce a variety of hormone, endogenous peptide, and neurotransmitter signals into intracellular effects via G proteins. GRP30 is a member of this family and is an orphan receptor. GPR30 expression has been reported in brain, breast carcinoma, blood, bone marrow, CNS, heart, liver, lung, lymph node, placenta, and spleen. In brain, GPR30 is expressed as a 2.8 kb transcript in basal forebrain, frontal cortex, thalamus, hippocampus, caudate and putamen. However, unlike other known G protein-coupled receptors, GPR30 localizes to the endoplasmic reticulum, where it specifically binds estrogen and estrogen derivatives.

Function:
Receptor for estrogen.

Subcellular Location:
Cell membrane. Endoplasmic reticulum membrane. Golgi apparatus membrane. Protein has been detected in the cell membrane, endoplasmic reticulum and Golgi apparatus. It is currently unclear whether this is a cell surface or intracellular receptor.

Tissue Specificity:
Ubiquitously expressed, but is most abundant in placenta. In brain regions, expressed as a 2.8 kb transcript in basal forebrain, frontal cortex, thalamus, hippocampus, caudate and putamen.

Similarity:
Belongs to the G-protein coupled receptor 1 family.

SWISS:
Q99527

Gene ID:
2852

Database links:

Entrez Gene: 2852 Human

Entrez Gene: 76854 Mouse

Entrez Gene: 171104 Rat

Omim: 601805 Human

SwissProt: Q99527 Human

SwissProt: Q8BMP4 Mouse

SwissProt: O08878 Rat

Unigene: 20961 Human

Unigene: 389706 Mouse

Unigene: 9806 Rat




GPR30是一种膜性雌激素蛋白受体又称非基因型雌激素膜性受体GPR30。GPR30受体广泛表达于海马、下丘脑、子宫、卵巢、乳腺、骨和心血管等全身多个系统、器官和组织,在细胞内主要定位于细胞膜、内质网、线粒体和高尔基体。 GPER与雌激素结合, ERK、PI3K/AKT)、 cAMP等第二信使途径发挥快速非基因效应,在神经系统、生殖系统、运动系统和心血管系统中发挥重要的生理作用。
产品图片
25 ug total protein per lane of various lysates (see on figure) probed with GPR30 polyclonal antibody, unconjugated (bs-1380R) at 1:1000 dilution and 4°C overnight incubation. Followed by conjugated secondary antibody incubation at r.t. for 60 min.
Paraformaldehyde-fixed, paraffin embedded Human Placenta; Antigen retrieval by boiling in sodium citrate buffer (pH6.0) for 15 min; The section was incubated with GPR30 Polyclonal Antibody, Unconjugated (bs-1380R) at 1:200 overnight at 4°C, followed by conjugation to the bs-0295G-HRP and DAB (C-0010) staining.
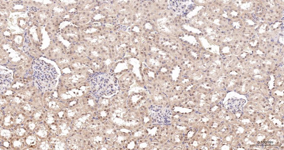
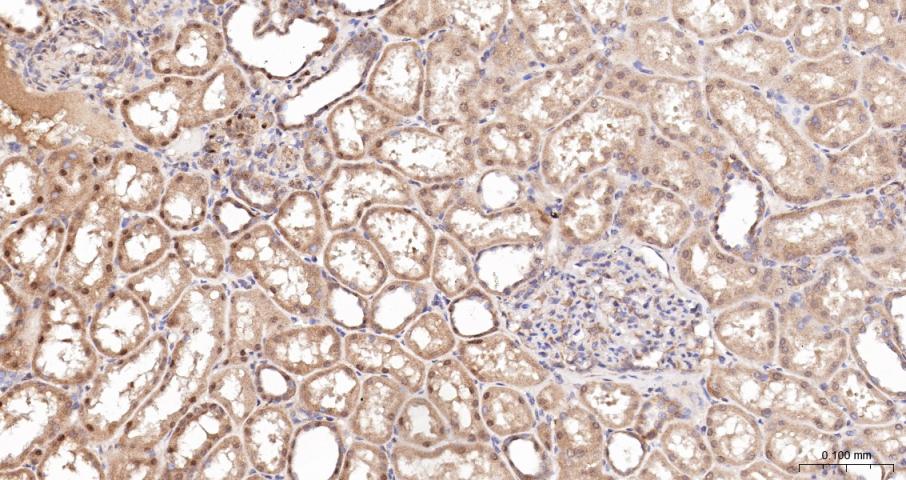
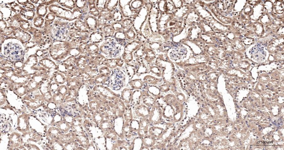
Paraformaldehyde-fixed, paraffin embedded Mouse Kidney; Antigen retrieval by boiling in sodium citrate buffer (pH6.0) for 15 min; The section was incubated with GPR30 Polyclonal Antibody, Unconjugated (bs-1380R) at 1:200 overnight at 4°C, followed by conjugation to the bs-0295G-HRP and DAB (C-0010) staining.
Paraformaldehyde-fixed, paraffin embedded Human Kidney; Antigen retrieval by boiling in sodium citrate buffer (pH6.0) for 15 min; The section was incubated with GPR30 Polyclonal Antibody, Unconjugated (bs-1380R) at 1:200 overnight at 4°C, followed by conjugation to the bs-0295G-HRP and DAB (C-0010) staining.
Paraformaldehyde-fixed, paraffin embedded Rat Kidney; Antigen retrieval by boiling in sodium citrate buffer (pH6.0) for 15 min; The section was incubated with GPR30 Polyclonal Antibody, Unconjugated (bs-1380R) at 1:200 overnight at 4°C, followed by conjugation to the bs-0295G-HRP and DAB (C-0010) staining.
Paraformaldehyde-fixed, paraffin embedded Mouse Kidney; Antigen retrieval by boiling in sodium citrate buffer (pH6.0) for 15 min; The section was incubated with GPR30 Polyclonal Antibody, Unconjugated (bs-1380R) at 1:200 overnight at 4°C. Followed by conjugated Goat Anti-Rabbit IgG antibody (Red, bs-0295G-BF594), DAPI (blue, C02-04002) was used to stain the cell nuclei.
Paraformaldehyde-fixed, paraffin embedded Human Kidney; Antigen retrieval by boiling in sodium citrate buffer (pH6.0) for 15 min; The section was incubated with GPR30 Polyclonal Antibody, Unconjugated (bs-1380R) at 1:200 overnight at 4°C. Followed by conjugated Goat Anti-Rabbit IgG antibody (Red, bs-0295G-BF594), DAPI (blue, C02-04002) was used to stain the cell nuclei.
Paraformaldehyde-fixed, paraffin embedded Rat Kidney; Antigen retrieval by boiling in sodium citrate buffer (pH6.0) for 15 min; The section was incubated with GPR30 Polyclonal Antibody, Unconjugated (bs-1380R) at 1:200 overnight at 4°C. Followed by conjugated Goat Anti-Rabbit IgG antibody (Red, bs-0295G-BF594), DAPI (blue, C02-04002) was used to stain the cell nuclei.
版权所有 2004-2026 www.bioss.com.cn 北京博奥森生物技术有限公司
通过国际质量管理体系ISO 9001:2015 GB/T 19001-2016    证书编号: 00124Q34771R2M/1100
通过国际医疗器械-质量管理体系ISO 13485:2016 GB/T 42061-2022     证书编号: CQC24QY20047R0M/1100
京ICP备05066980号-1         京公网安备110107000727号