扫码关注公众号           扫码咨询技术支持           扫码咨询技术服务
  
客服热线:400-901-9800  客服QQ:4009019800  技术答疑  技术支持  质量反馈  关于我们  联系我们
产品中心-北京博奥森生物技术有限公司
首页 > 产品中心 > 一抗 > 产品信息
KAT3A / CBP Rabbit pAb (bs-1397R)  
订购热线:400-901-9800
订购邮箱:sales@bioss.com.cn
订购QQ:  400-901-9800
技术支持:techsupport@bioss.com.cn
50ul/1180.00元
100ul/1980.00元
200ul/2800.00元
大包装/询价

产品编号 bs-1397R
英文名称 KAT3A / CBP Rabbit pAb
中文名称 CREB结合蛋白抗体
别    名 CBP; CBP_HUMAN; CREB binding protein; CREB-binding protein; CREBBP; Cyclic AMP responsive enhancer binding protein; Cyclic AMP-responsive enhancer binding protein; KAT3A; RSTS; RTS; Rubinstein Taybi syndrome; Rubinstein-Taybi syndrome.  
Specific References  (1)     |     bs-1397R has been referenced in 1 publications.
[IF=3.53] Lee M-S, Kim JH, Lee J-S, Yun SJ, Kim W-J, et al. (2015) Prognostic Significance of CREB-Binding Protein and CD81 Expression in Primary High Grade Non-Muscle Invasive Bladder Cancer: Identification of Novel Biomarkers for Bladder Cancer Using Antibody Microarray. PLoS ONE 10(4): e0125405.  WB ;  Human.  
研究领域 细胞生物  神经生物学  信号转导  细胞凋亡  转录调节因子  激酶和磷酸酶  
抗体来源 Rabbit
克隆类型 Polyclonal
克 隆 号
交叉反应 Human (predicted: Mouse,Rat,Cow,Chicken,Dog,Horse)
产品应用 IHC-P=1:100-500,IHC-F=1:100-500,IF=1:100-500,Flow-Cyt=1ug/test
not yet tested in other applications.
optimal dilutions/concentrations should be determined by the end user.
理论分子量 265 kDa
检测分子量
细胞定位 细胞核 细胞浆 
性    状 Liquid
浓    度 1mg/ml
免 疫 原 KLH conjugated synthetic peptide derived from human CBP: 1-200/2442 
亚    型 IgG
纯化方法 affinity purified by Protein A
缓 冲 液 0.01M TBS (pH7.4) with 1% BSA, 0.02% Proclin300 and 50% Glycerol.
保存条件 Shipped at 4℃. Store at -20℃ for one year. Avoid repeated freeze/thaw cycles.
注意事项 This product as supplied is intended for research use only, not for use in human, therapeutic or diagnostic applications.
PubMed PubMed
产品介绍 This gene is ubiquitously expressed and is involved in the transcriptional coactivation of many different transcription factors. First isolated as a nuclear protein that binds to cAMP-response element binding protein (CREB), this gene is now known to play critical roles in embryonic development, growth control, and homeostasis by coupling chromatin remodeling to transcription factor recognition. The protein encoded by this gene has intrinsic histone acetyltransferase activity and also acts as a scaffold to stabilize additional protein interactions with the transcription complex. This protein acetylates both histone and non-histone proteins. This protein shares regions of very high sequence similarity with protein p300 in its bromodomain, cysteine-histidine-rich regions, and histone acetyltransferase domain. Mutations in this gene cause Rubinstein-Taybi syndrome (RTS). Chromosomal translocations involving this gene have been associated with acute myeloid leukemia. Alternative splicing results in multiple transcript variants encoding different isoforms. [provided by RefSeq, Feb 2009].

Function:
Acetylates histones, giving a specific tag for transcriptional activation. Also acetylates non-histone proteins, like NCOA3 and FOXO1. Binds specifically to phosphorylated CREB and enhances its transcriptional activity toward cAMP-responsive genes. Acts as a coactivator of ALX1 in the presence of EP300.

Subunit:
Found in a complex containing NCOA2; NCOA3; IKKA; IKKB and IKBKG. Probably part of a complex with HIF1A and EP300. Interacts with GATA1; the interaction results in acetylation and enhancement of transcriptional activity of GATA1. Interacts with MAF AND ZCCHC12. Interacts with DAXX; the interaction is dependent on CBP sumoylation and results in suppression of the transcriptional activiy via recruitment of HDAC2 to DAAX. Interacts with phosphorylated CREB1. Interacts with CITED4 (C-terminal region). Interacts (via the TAZ-type 1 domain) with HIF1A. Interacts with SRCAP, CARM1, ELF3, MLLT7/FOXO4, N4BP2, NCOA1, NCOA3, NCOA6, PCAF, DDX5, DDX17, PELP1, PML, SMAD1, SMAD2, SMAD3, SPIB and TRERF1. Interacts with HTLV-1 Tax and p30II. Interacts with HIV-1 Tat. Interacts with KLF1; the interaction results in acetylation of KLF1 and enhancement of its transcriptional activity. Interacts with MTDH. Interacts with NFATC4. Interacts with MAFG; the interaction acetylates MAFG in the basic region and stimulates NFE2 transcriptional activity through increasing its DNA-binding activity. Interacts with IRF2; the interaction acetylates IRF2 and regulates its activity on the H4 promoter. Interacts (via N-terminus) with SS18L1/CREST (via C-terminus). Interacts with MECOM. Interacts with CITED1 (via C-terminus). Interacts with FOXO1; the interaction acetylates FOXO1 and inhibits its transcriptional activity.

Subcellular Location:
Cytoplasm. Nucleus. Note=Recruited to nuclear bodies by SS18L1/CREST. In the presence of ALX1 relocalizes from the cytoplasm to the nucleus.

Post-translational modifications:
Methylation of the KIX domain by CARM1 blocks association with CREB. This results in the blockade of CREB signaling, and in activation of apoptotic response.
Phosphorylated upon DNA damage, probably by ATM or ATR. Phosphorylated by CHUK/IKKA at Ser-1382 and Ser-1386; these phosphorylations promote cell growth by switching the binding preference of CREBBP from TP53 to NF-kappa-B.
Sumoylation negatively regulates transcriptional activity via the recruitment of DAAX.

DISEASE:
Note=Chromosomal aberrations involving CREBBP may be a cause of acute myeloid leukemias. Translocation t(8;16)(p11;p13) with KAT6A; translocation t(11;16)(q23;p13.3) with MLL/HRX; translocation t(10;16)(q22;p13) with KAT6B. KAT6A-CREBBP may induce leukemia by inhibiting RUNX1-mediated transcription.
Defects in CREBBP are a cause of Rubinstein-Taybi syndrome type 1 (RSTS1) [MIM:180849]. RSTS1 is an autosomal dominant disorder characterized by craniofacial abnormalities, broad thumbs, broad big toes, mental retardation and a propensity for development of malignancies.

Similarity:
Contains 1 bromo domain.
Contains 1 KIX domain.
Contains 2 TAZ-type zinc fingers.
Contains 1 ZZ-type zinc finger.

SWISS:
Q92793

Gene ID:
1387

Database links:

Entrez Gene: 1387 Human

Entrez Gene: 12914 Mouse

Omim: 600140 Human

SwissProt: Q92793 Human

SwissProt: P45481 Mouse

Unigene: 459759 Human

Unigene: 132238 Mouse

Unigene: 392384 Mouse



转录调节因子(Transcriptin Regulators)
CREB结合蛋白(CBP)在环腺苷酸应答元件结合蛋白CREB,核受体信号转导子和转录激活子STATl等转录因子的激活过程中, CBP是必不可少的激活蛋白.
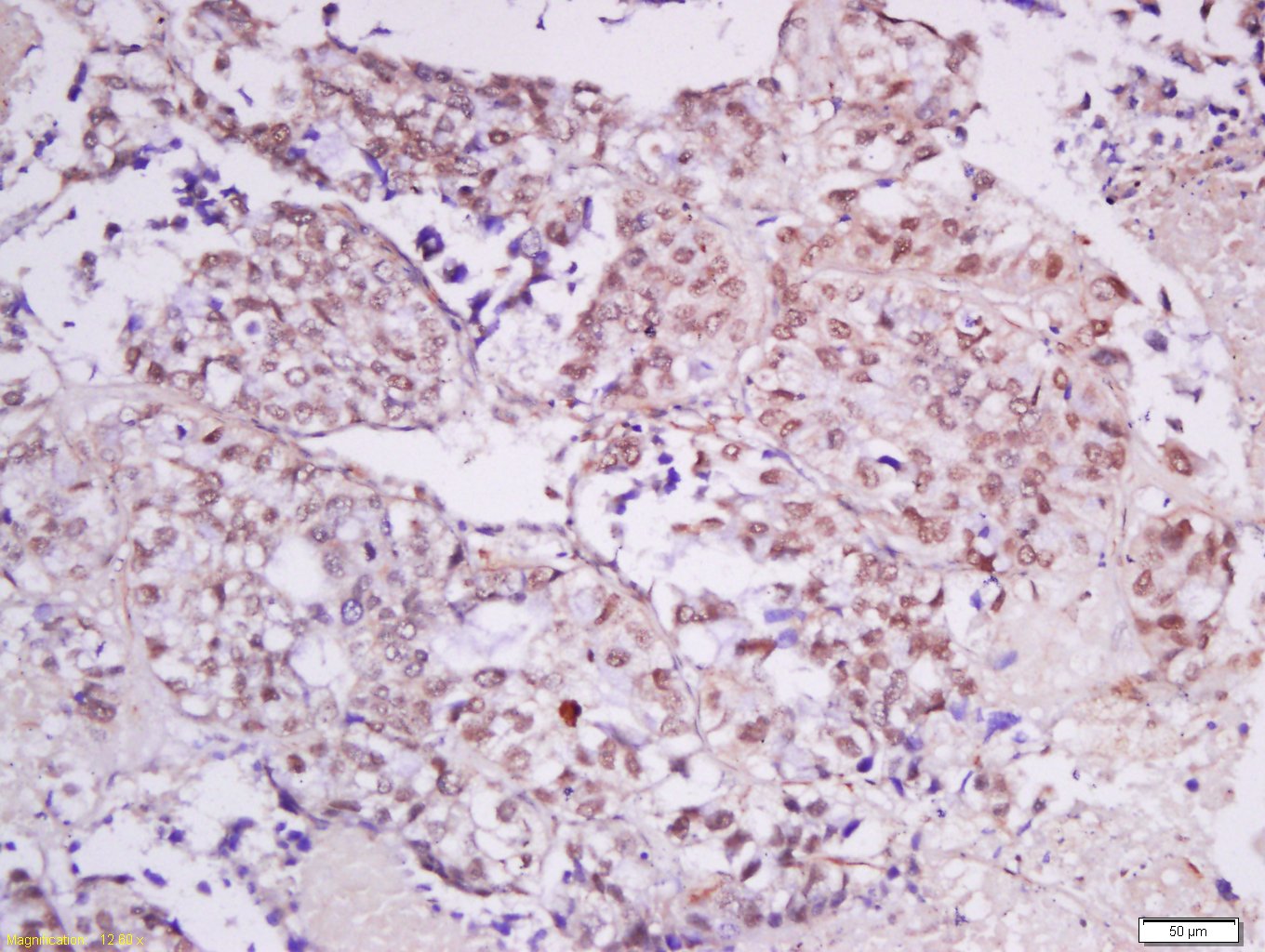
产品图片
Paraformaldehyde-fixed, paraffin embedded (Human lung cancer); Antigen retrieval by boiling in sodium citrate buffer (pH6.0) for 15min; Block endogenous peroxidase by 3% hydrogen peroxide for 20 minutes; Blocking buffer (normal goat serum) at 37°C for 30min; Antibody incubation with (CBP) Polyclonal Antibody, Unconjugated (bs-1397R) at 1:500 overnight at 4°C, followed by a conjugated secondary (sp-0023) for 20 minutes and DAB staining.
Blank control:A549. Primary Antibody (green line): Rabbit Anti-CBP antibody (bs-1397R) Dilution: 1μg /10^6 cells; Isotype Control Antibody (orange line): Rabbit IgG . Secondary Antibody : Goat anti-rabbit IgG-PE Dilution: 1μg /test. Protocol The cells were fixed with 4% PFA (10min at room temperature)and then permeabilized with 20% PBST for 20 min at-20℃. The cells were then incubated in 5%BSA to block non-specific protein-protein interactions for 30 min at at room temperature .Cells stained with Primary Antibody for 30 min at room temperature. The secondary antibody used for 40 min at room temperature. Acquisition of 20,000 events was performed.
版权所有 2004-2026 www.bioss.com.cn 北京博奥森生物技术有限公司
通过国际质量管理体系ISO 9001:2015 GB/T 19001-2016    证书编号: 00124Q34771R2M/1100
通过国际医疗器械-质量管理体系ISO 13485:2016 GB/T 42061-2022     证书编号: CQC24QY20047R0M/1100
京ICP备05066980号-1         京公网安备110107000727号