扫码关注公众号           扫码咨询技术支持           扫码咨询技术服务
  
客服热线:400-901-9800  客服QQ:4009019800  技术答疑  技术支持  质量反馈  关于我们  联系我们
产品中心-北京博奥森生物技术有限公司
首页 > 产品中心 > 一抗 > 产品信息
SRF Rabbit pAb (bs-1401R)  
订购热线:400-901-9800
订购邮箱:sales@bioss.com.cn
订购QQ:  400-901-9800
技术支持:techsupport@bioss.com.cn
50ul/1180.00元
100ul/1980.00元
200ul/2800.00元
大包装/询价

产品编号 bs-1401R
英文名称 SRF Rabbit pAb
中文名称 血清应答因子抗体
别    名 c fos serum response element binding factor; Serum Response Factor SRF; c fos serum response element binding transcription factor; ELK3; ERP; MCM 1; MCM-1; MCM1; OTTHUMP00000039820; SAP2; Serum response factor; SRF; SRF serum response factor c fos serum response element binding transcription factor; SRF_HUMAN.  
研究领域 肿瘤  干细胞  细胞凋亡  转录调节因子  表观遗传学  
抗体来源 Rabbit
克隆类型 Polyclonal
克 隆 号
交叉反应 Human,Mouse (predicted: Rat,Pig,Cow,Dog)
产品应用 WB=1:500-2000,IHC-P=1:100-500,IHC-F=1:100-500,IF=1:100-500,Flow-Cyt=1ug/Test,ICC/IF=1:100-500
not yet tested in other applications.
optimal dilutions/concentrations should be determined by the end user.
理论分子量 56 kDa
检测分子量
细胞定位 细胞核 
性    状 Liquid
浓    度 1mg/ml
免 疫 原 KLH conjugated synthetic peptide derived from human SRF: 101-250/508 
亚    型 IgG
纯化方法 affinity purified by Protein A
缓 冲 液 0.01M TBS (pH7.4) with 1% BSA, 0.02% Proclin300 and 50% Glycerol.
保存条件 Shipped at 4℃. Store at -20℃ for one year. Avoid repeated freeze/thaw cycles.
注意事项 This product as supplied is intended for research use only, not for use in human, therapeutic or diagnostic applications.
PubMed PubMed
产品介绍 This gene encodes a ubiquitous nuclear protein that stimulates both cell proliferation and differentiation. It is a member of the MADS (MCM1, Agamous, Deficiens, and SRF) box superfamily of transcription factors. This protein binds to the serum response element (SRE) in the promoter region of target genes. This protein regulates the activity of many immediate-early genes, for example c-fos, and thereby participates in cell cycle regulation, apoptosis, cell growth, and cell differentiation. This gene is the downstream target of many pathways; for example, the mitogen-activated protein kinase pathway (MAPK) that acts through the ternary complex factors (TCFs). [provided by RefSeq, Jul 2008].

Function:
SRF is a transcription factor that binds to the serum response element (SRE), a short sequence of dyad symmetry located 300 bp to the 5' of the site of transcription initiation of some genes (such as FOS). Required for cardiac differentiation and maturation.

Subunit:
Binds DNA as a multimer, probably a dimer. Interacts with MLLT7/FOXO4, NKX3A and SSRP1. Interacts with ARID2 and SRFBP1. Forms complexes with ARID2, MYOCD, NKX2-5 and SRFBP1. Forms a nuclear ternary complex with MKL1 and SCAI.

Subcellular Location:
Nucleus.

Post-translational modifications:
Phosphorylated by PRKDC.

Similarity:
Contains 1 MADS-box domain.

SWISS:
P11831

Gene ID:
6722

Database links:

Entrez Gene: 6722 Human

Entrez Gene: 20807 Mouse

Entrez Gene: 501099 Rat

Omim: 600589 Human

SwissProt: P11831 Human

SwissProt: Q9JM73 Mouse

Unigene: 520140 Human

Unigene: 45044 Mouse



转录调节因子(Transcriptin Regulators)
血清应答因子(SRF)是一种转录因子蛋白,可以结合启动子DNA序列中的血清应答元件(SRE),调节一系列基因的表达,包括即刻早期基因的表达,如c-fos、fosB、junB、egr-1、egr-2,以及神经元基因nurr1、肌肉基因如肌动蛋白、肌球蛋白基因等.
产品图片
Sample: A431(Human) Cell Lysate at 30 ug Hela(Human) Cell Lysate at 30 ug 293T(Human) Cell Lysate at 30 ug Primary: Anti- SRF (bs-1401R) at 1/1000 dilution Secondary: IRDye800CW Goat Anti-Rabbit IgG at 1/20000 dilution Predicted band size: 56 kD Observed band size: 52 kD
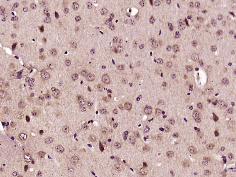
Paraformaldehyde-fixed, paraffin embedded (Mouse brain); Antigen retrieval by boiling in sodium citrate buffer (pH6.0) for 15min; Block endogenous peroxidase by 3% hydrogen peroxide for 20 minutes; Blocking buffer (normal goat serum) at 37°C for 30min; Antibody incubation with (SRF) Polyclonal Antibody, Unconjugated (bs-1401R) at 1:500 overnight at 4°C, followed by a conjugated secondary (sp-0023) for 20 minutes and DAB staining.
Hela cell; 4% Paraformaldehyde-fixed; Triton X-100 at room temperature for 20 min; Blocking buffer (normal goat serum, C-0005) at 37°C for 20 min; Antibody incubation with (SRF) polyclonal Antibody, Unconjugated (bs-1401R) 1:50, 90 minutes at 37°C; followed by a conjugated Goat Anti-Rabbit IgG antibody at 37°C for 90 minutes, DAPI (blue, C02-04002) was used to stain the cell nuclei.
Blank control(black line):Hela. Primary Antibody (green line): Rabbit Anti-SRF antibody (bs-1401R) Dilution:1ug/Test; Secondary Antibody(white blue line): Goat anti-rabbit IgG-FITC Dilution: 0.5ug/Test. Isotype control(orange line): Normal Rabbit IgG Protocol The cells were fixed with 4% PFA (10min at room temperature)and then permeabilized with 90% ice-cold methanol for 20 min at -20℃, The cells were then incubated in 5%BSA to block non-specific protein-protein interactions for 30 min at room temperature .Cells stained with Primary Antibody for 30 min at room temperature. The secondary antibody used for 40 min at room temperature. Acquisition of 20,000 events was performed.
版权所有 2004-2026 www.bioss.com.cn 北京博奥森生物技术有限公司
通过国际质量管理体系ISO 9001:2015 GB/T 19001-2016    证书编号: 00124Q34771R2M/1100
通过国际医疗器械-质量管理体系ISO 13485:2016 GB/T 42061-2022     证书编号: CQC24QY20047R0M/1100
京ICP备05066980号-1         京公网安备110107000727号