扫码关注公众号           扫码咨询技术支持           扫码咨询技术服务
  
客服热线:400-901-9800  客服QQ:4009019800  技术答疑  技术支持  质量反馈  关于我们  联系我们
产品中心-北京博奥森生物技术有限公司
首页 > 产品中心 > 一抗 > 产品信息
Notch1 Rabbit pAb (bs-1335R)  
订购热线:400-901-9800
订购邮箱:sales@bioss.com.cn
订购QQ:  400-901-9800
技术支持:techsupport@bioss.com.cn
50ul/1180.00元
100ul/1980.00元
200ul/2800.00元
大包装/询价

产品编号 bs-1335R
英文名称 Notch1 Rabbit pAb
中文名称 跨膜受体蛋白Notch-1抗体
别    名 Neurogenic locus notch homolog protein 1; Notch 1 extracellular truncation; Notch 1 intracellular domain; hN1; Lin-12; LIN12; MIS6; Motch A; mT14; Neurogenic locus notch homolog protein 1; Neurogenic locus notch protein homolog; NICD; Notch1 intracellular domain; NOTC1_HUMAN; Notch 1; NOTCH; Notch gene homolog 1(Drosophila); Notch homolog 1 translocation associated(Drosophila); Notch homolog 1, translocation-associated(Drosophila); NOTCH, Drosophila, homolog of, 1; p300; TAN 1; TAN1; Translocation Associated Notch Homolog; Translocation Associated Notch Homolog; Translocation associated notch protein TAN 1; Translocation-associated notch protein TAN-1.  
Specific References  (11)     |     bs-1335R has been referenced in 11 publications.
[IF=8.724] Yong Tang. et al. Phosphorylation inhibition of protein-tyrosine phosphatase 1B tyrosine-152 induces bone regeneration coupled with angiogenesis for bone tissue engineering. Bioact Mater. 2021 Jul;6:2039  IF,IHC ;  Mouse.  
[IF=7.233] Chen X et al. A photothermal-triggered nitric oxide nanogenerator combined with siRNA for precise therapy of osteoarthritis by suppressing macrophage inflammation.Nanoscale. 2019 Apr 4;11(14):6693-6709.  IHC-P&IF ;  Mouse.  
[IF=6.799] Brenda L. K. Coles. et al. A microfluidic platform enables comprehensive gene expression profiling of mouse retinal stem cells. Lab Chip. 2021 Oct;:  IHC ;  Human.  
[IF=6.183] Zou et al. Hydroxylase Activity of ASPH Promotes Hepatocellular Carcinoma Metastasis Through Epithelial-to-Mesenchymal Transition Pathway. (2018) EBioMedicine. 31:287-298  WB ;  Human.  
[IF=4.315] Zhang Y et al. The Notch signaling pathway inhibitor Dapt alleviates autism-like behavior, autophagy and dendritic spine density abnormalities in a valproic acid-induced animal model of autism. Prog Neuropsychopharmacol Biol Psychiatry. 2019 May 7;94:109644.  WB ;  Rat.  
[IF=3.811] Sun Z et al. Glioblastoma Stem Cell-Derived Exosomes Enhance Stemness and Tumorigenicity of Glioma Cells by Transferring Notch1 Protein. Cell Mol Neurobiol. 2019 Dec 18.  WB ;  Human&Mouse.  
[IF=3.368] Hisashi Yoshioka. et al. Senescent cell removal via JAG1‐NOTCH1 signalling in the epidermis. 2021 May 03  IHC ;  Human.  
[IF=2.705] Wang EX et al. Stem cells from trabecular meshwork cells can secrete extracellular matrix. Biochem Biophys Res Commun. 2020 Mar 5;523(2):522-526.  ICF ;  cattle.  
[IF=2.3] Wang, Shan, et al. "Prognostic implication of NOTCH1 in early stage oral squamous cell cancer with occult metastases." Clinical Oral Investigations (2017): 1-8.  IHC-P ;  Human.  
[IF=1.984] Zhan J et al. In Vivo Study on the Effects of Xiaoaiping on the Stemness of Hepatocellular Carcinoma Cells. Evid Based Complement Alternat Med. 2019 Jun 23;2019:4738243.  WB ;  Human.  
[IF=0] Bulnes et al. Association of Notch-1, osteopontin and stem-like cells in ENU-glioma malignant process. (2018) Oncotarget. 9:31330-31341  IHC ;  Rat.  
研究领域 细胞生物  发育生物学  神经生物学  信号转导  干细胞  表观遗传学  
抗体来源 Rabbit
克隆类型 Polyclonal
克 隆 号
交叉反应 Human,Mouse,Rat
产品应用 WB=1:500-2000,IHC-P=1:100-500,IHC-F=1:100-500,IF=1:100-500
not yet tested in other applications.
optimal dilutions/concentrations should be determined by the end user.
理论分子量 271 kDa
检测分子量
细胞定位 细胞核 细胞膜 
性    状 Liquid
浓    度 1mg/ml
免 疫 原 KLH conjugated synthetic peptide derived from human C-terminal sequence of Notch 1 extracellular truncation and Notch 1 intracellular domain : 2101-2300/2555 
亚    型 IgG
纯化方法 affinity purified by Protein A
缓 冲 液 0.01M TBS (pH7.4) with 1% BSA, 0.02% Proclin300 and 50% Glycerol.
保存条件 Shipped at 4℃. Store at -20℃ for one year. Avoid repeated freeze/thaw cycles.
注意事项 This product as supplied is intended for research use only, not for use in human, therapeutic or diagnostic applications.
PubMed PubMed
产品介绍 This gene encodes a member of the Notch family. Members of this Type 1 transmembrane protein family share structural characteristics including an extracellular domain consisting of multiple epidermal growth factor-like (EGF) repeats, and an intracellular domain consisting of multiple, different domain types. Notch family members play a role in a variety of developmental processes by controlling cell fate decisions. The Notch signaling network is an evolutionarily conserved intercellular signaling pathway which regulates interactions between physically adjacent cells. In Drosophilia, notch interaction with its cell-bound ligands (delta, serrate) establishes an intercellular signaling pathway that plays a key role in development. Homologues of the notch-ligands have also been identified in human, but precise interactions between these ligands and the human notch homologues remain to be determined. This protein is cleaved in the trans-Golgi network, and presented on the cell surface as a heterodimer. This protein functions as a receptor for membrane bound ligands, and may play multiple roles during development. [provided by RefSeq, Jul 2008].

Function:
Functions as a receptor for membrane-bound ligands Jagged1, Jagged2 and Delta1 to regulate cell-fate determination. Upon ligand activation through the released notch intracellular domain (NICD) it forms a transcriptional activator complex with RBPJ/RBPSUH and activates genes of the enhancer of split locus. Affects the implementation of differentiation, proliferation and apoptotic programs. May be important for normal lymphocyte function. In altered form, may contribute to transformation or progression in some T-cell neoplasms. Involved in the maturation of both CD4+ and CD8+ cells in the thymus. May be important for follicular differentiation and possibly cell fate selection within the follicle. During cerebellar development, may function as a receptor for neuronal DNER and may be involved in the differentiation of Bergmann glia.

Subunit:
Heterodimer of a C-terminal fragment N(TM) and an N-terminal fragment N(EC) which are probably linked by disulfide bonds. Interacts with DNER, DTX1, DTX2 and RBPJ/RBPSUH. Also interacts with MAML1, MAML2 and MAML3 which act as transcriptional coactivators for NOTCH1. The activated membrane-bound form interacts with AAK1 which promotes NOTCH1 stabilization. Forms a trimeric complex with FBXW7 and SGK1. Interacts with HIF1AN. HIF1AN negatively regulates the function of notch intracellular domain (NICD), accelerating myogenic differentiation.

Subcellular Location:
Cell membrane and Nucleus. Following proteolytical processing NICD is translocated to the nucleus.

Tissue Specificity:
In fetal tissues most abundant in spleen, brain stem and lung. Also present in most adult tissues where it is found mainly in lymphoid tissues.

Post-translational modifications:
Synthesized in the endoplasmic reticulum as an inactive form which is proteolytically cleaved by a furin-like convertase in the trans-Golgi network before it reaches the plasma membrane to yield an active, ligand-accessible form. Cleavage results in a C-terminal fragment N(TM) and a N-terminal fragment N(EC). Following ligand binding, it is cleaved by TNF-alpha converting enzyme (TACE) to yield a membrane-associated intermediate fragment called notch extracellular truncation (NEXT). This fragment is then cleaved by presenilin dependent gamma-secretase to release a notch-derived peptide containing the intracellular domain (NICD) from the membrane.
Phosphorylated.
O-glycosylated on the EGF-like domains. Contains both O-linked fucose and O-linked glucose.
Ubiquitinated; undergoes 'Lys-29'-linked polyubiquitination catalyzed by ITCH.

DISEASE:
Defects in NOTCH1 are a cause of bicuspid aortic valve (BAV) [MIM:109730]. A common defect in the aortic valve in which two rather than three leaflets are present. It is often associated with aortic valve calcification and insufficiency. In extreme cases, the blood flow may be so restricted that the left ventricle fails to grow, resulting in hypoplastic left heart syndrome.

Similarity:
Belongs to the NOTCH family.
Contains 5 ANK repeats.
Contains 36 EGF-like domains.
Contains 3 LNR (Lin/Notch) repeats.

SWISS:
P46531

Gene ID:
4851

Database links:

Entrez Gene: 4851 Human

Entrez Gene: 18128 Mouse

Entrez Gene: 25496 Rat

Omim: 190198 Human

SwissProt: P46531 Human

SwissProt: Q01705 Mouse

SwissProt: Q07008 Rat

Unigene: 495473 Human

Unigene: 290610 Mouse

Unigene: 25046 Rat



Notch 1蛋白是一个进化上保守的跨膜受体家族,广泛分布和表达在多个物种之中。研究发现Notchl作为一条信号转导途径,不仅对正常组织、细胞的分化、发育起重要作用,而且和一些肿瘤的发生和生长相关,有学者发现Notchl在许多实体瘤中异常表达,如:如宫颈癌、子宫内膜癌、肾癌、肺癌、乳腺癌、神经母细胞瘤等。因此Notchl作为一种预防和治疗肿瘤的新途径越来越受到人们的重视。
产品图片
Sample: Lane 1: Molt-4 (Human) Cell Lysate at 30 ug Lane 2: MCF-7 (Human) Cell Lysate at 30 ug Primary: Anti-Notch1 (bs-1335R) at 1/1000 dilution Secondary: IRDye800CW Goat Anti-Rabbit IgG at 1/20000 dilution Predicted band size: 270/110/120 kD Observed band size: 270/110 kD
Sample: Lane 1: MCF-7 (Human) Cell Lysate at 30 ug Lane 2: A549 (Human) Cell Lysate at 30 ug Primary: Anti-Notch1 (bs-1335R) at 1/1000 dilution Secondary: IRDye800CW Goat Anti-Rabbit IgG at 1/20000 dilution Predicted band size: 270/120/110 kD Observed band size: 270/110 kD
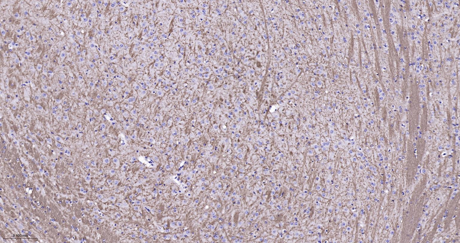
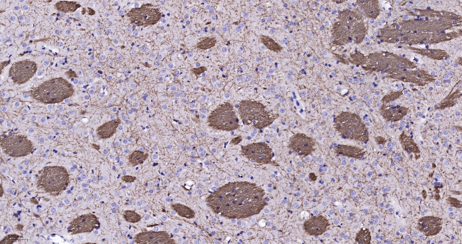
Paraformaldehyde-fixed, paraffin embedded (rat brain); Antigen retrieval by boiling in sodium citrate buffer (pH6.0) for 15min; Block endogenous peroxidase by 3% hydrogen peroxide for 20 minutes; Blocking buffer (normal goat serum) at 37°C for 30min; Antibody incubation with (Notch1) Polyclonal Antibody, Unconjugated (bs-1335R) at 1:200 overnight at 4°C, followed by operating according to SP Kit(Rabbit) (sp-0023) instructionsand DAB staining.
Paraformaldehyde-fixed, paraffin embedded (rat colon); Antigen retrieval by boiling in sodium citrate buffer (pH6.0) for 15min; Block endogenous peroxidase by 3% hydrogen peroxide for 20 minutes; Blocking buffer (normal goat serum) at 37°C for 30min; Antibody incubation with (Notch1) Polyclonal Antibody, Unconjugated (bs-1335R) at 1:200 overnight at 4°C, followed by operating according to SP Kit(Rabbit) (sp-0023) instructionsand DAB staining.
Paraformaldehyde-fixed, paraffin embedded (mouse stomach); Antigen retrieval by boiling in sodium citrate buffer (pH6.0) for 15min; Block endogenous peroxidase by 3% hydrogen peroxide for 20 minutes; Blocking buffer (normal goat serum) at 37°C for 30min; Antibody incubation with (Notch1) Polyclonal Antibody, Unconjugated (bs-1335R) at 1:200 overnight at 4°C, followed by operating according to SP Kit(Rabbit) (sp-0023) instructionsand DAB staining.
Paraformaldehyde-fixed, paraffin embedded (mouse testis); Antigen retrieval by boiling in sodium citrate buffer (pH6.0) for 15min; Block endogenous peroxidase by 3% hydrogen peroxide for 20 minutes; Blocking buffer (normal goat serum) at 37°C for 30min; Antibody incubation with (Notch1) Polyclonal Antibody, Unconjugated (bs-1335R) at 1:200 overnight at 4°C, followed by operating according to SP Kit(Rabbit) (sp-0023) instructionsand DAB staining.
Paraformaldehyde-fixed, paraffin embedded (rat stomach); Antigen retrieval by boiling in sodium citrate buffer (pH6.0) for 15min; Block endogenous peroxidase by 3% hydrogen peroxide for 20 minutes; Blocking buffer (normal goat serum) at 37°C for 30min; Antibody incubation with (Notch1) Polyclonal Antibody, Unconjugated (bs-1335R) at 1:200 overnight at 4°C, followed by operating according to SP Kit(Rabbit) (sp-0023) instructionsand DAB staining.
Paraformaldehyde-fixed, paraffin embedded (rat brain); Antigen retrieval by boiling in sodium citrate buffer (pH6.0) for 15min; Block endogenous peroxidase by 3% hydrogen peroxide for 20 minutes; Blocking buffer (normal goat serum) at 37°C for 30min; Antibody incubation with (Notch1) Polyclonal Antibody, Unconjugated (bs-1335R) at 1:200 overnight at 4°C, followed by operating according to SP Kit(Rabbit) (sp-0023) instructionsand DAB staining.
Paraformaldehyde-fixed, paraffin embedded (rat stomach); Antigen retrieval by boiling in sodium citrate buffer (pH6.0) for 15min; Block endogenous peroxidase by 3% hydrogen peroxide for 20 minutes; Blocking buffer (normal goat serum) at 37°C for 30min; Antibody incubation with (Notch1) Polyclonal Antibody, Unconjugated (bs-1335R) at 1:200 overnight at 4°C, followed by operating according to SP Kit(Rabbit) (sp-0023) instructionsand DAB staining.
Paraformaldehyde-fixed, paraffin embedded (Rat brain); Antigen retrieval by boiling in sodium citrate buffer (pH6.0) for 15min; Block endogenous peroxidase by 3% hydrogen peroxide for 20 minutes; Blocking buffer (normal goat serum) at 37°C for 30min; Antibody incubation with (Notch1) Polyclonal Antibody, Unconjugated (bs-1335R) at 1:400 overnight at 4°C, followed by a conjugated secondary antibody (sp-0023) for 20 minutes and DAB staining.
Tissue/cell: Human endometrium carcinoma; 4% Paraformaldehyde-fixed and paraffin-embedded; Antigen retrieval: citrate buffer ( 0.01M, pH 6.0 ), Boiling bathing for 15min; Block endogenous peroxidase by 3% Hydrogen peroxide for 30min; Blocking buffer (normal goat serum,C-0005) at 37℃ for 20 min; Incubation: Anti-Notch1 Polyclonal Antibody, Unconjugated(bs-1335R) 1:200, overnight at 4°C, followed by conjugation to the secondary antibody(SP-0023) and DAB(C-0010) staining
Tissue/cell: human stomach tissue; 4% Paraformaldehyde-fixed and paraffin-embedded; Antigen retrieval: citrate buffer ( 0.01M, pH 6.0 ), Boiling bathing for 15min; Block endogenous peroxidase by 3% Hydrogen peroxide for 30min; Blocking buffer (normal goat serum,C-0005) at 37℃ for 20 min; Incubation: Anti-Notch1 Polyclonal Antibody, Unconjugated(bs-1335R) 1:500, overnight at 4°C, followed by conjugation to the secondary antibody(SP-0023) and DAB(C-0010) staining
版权所有 2004-2026 www.bioss.com.cn 北京博奥森生物技术有限公司
通过国际质量管理体系ISO 9001:2015 GB/T 19001-2016    证书编号: 00124Q34771R2M/1100
通过国际医疗器械-质量管理体系ISO 13485:2016 GB/T 42061-2022     证书编号: CQC24QY20047R0M/1100
京ICP备05066980号-1         京公网安备110107000727号