扫码关注公众号           扫码咨询技术支持           扫码咨询技术服务
  
客服热线:400-901-9800  客服QQ:4009019800  技术答疑  技术支持  质量反馈  关于我们  联系我们
产品中心-北京博奥森生物技术有限公司
首页 > 产品中心 > 一抗 > 产品信息
GRP75 Rabbit pAb (bs-1469R)  
订购热线:400-901-9800
订购邮箱:sales@bioss.com.cn
订购QQ:  400-901-9800
技术支持:techsupport@bioss.com.cn
50ul/1180.00元
100ul/1980.00元
200ul/2800.00元
大包装/询价

产品编号 bs-1469R
英文名称 GRP75 Rabbit pAb
中文名称 G蛋白偶联受体75抗体
别    名 G protein-coupled receptor75; 75 kDa glucose regulated protein; 75 kDa glucose-regulated protein; CSA; Glucose Regulated Protein; Grp 75; GRP75; Heat shock 70kD protein 9; heat shock 70kDa protein 9; Heat shock 70kDa protein 9B; Heat shock protein 74 kDa A; Heat shock protein A; Heat shock protein cognate 74; Hsc74; Hsp74; Hsp74a; HSPA9; Hspa9a; HSPA9B; MGC4500; Mortalin 2; Mortalin; Mortalin perinuclear; Mortalin2; MOT 2; MOT; MOT2; Mthsp70; p66 mortalin; P66 MOT; PBP74; Peptide binding protein 74; Stress 70 protein mitochondrial; Stress 70 protein mitochondrial precursor.  
Specific References  (4)     |     bs-1469R has been referenced in 4 publications.
[IF=5.396] Yi Zhao. et al. Role of mitochondria-endoplasmic reticulum coupling in lycopene preventing DEHP-induced hepatotoxicity. Food Funct. 2021 Sep;:  WB ;  mouse.  
[IF=5.19] Peng Junjun. et al. Mitochondria-associated endoplasmic reticulum membranes participate mitochondrial dysfunction and endoplasmic reticulum stress caused by copper in duck kidney. ENVIRON SCI POLLUT R. 2023 May;:1-12  WB ;  Duck.  
[IF=4.155] Junjun Peng. et al. Endoplasmic reticulum-mitochondria coupling attenuates vanadium-induced apoptosis via IP3R in duck renal tubular epithelial cells. J INORG BIOCHEM. J Inorg Biochem. 2022 Apr;:111809  WB ;  Duck.  
[IF=3.387] Kitamura Nao. et al. Protein phosphatase 6 promotes neurite outgrowth by promoting mTORC2 activity in N2a cells. J Biochem. 2021 Jul;:  IF ;  Mouse.  
研究领域 肿瘤  免疫学  信号转导  细胞膜受体  转运蛋白  G蛋白偶联受体  新陈代谢  G蛋白信号  
抗体来源 Rabbit
克隆类型 Polyclonal
克 隆 号
交叉反应 Human,Mouse,Rat (predicted: Rabbit,Pig,Cow,Dog,Horse)
产品应用 WB=1:500-2000,IHC-P=1:100-500,IHC-F=1:100-500,IF=1:100-500
not yet tested in other applications.
optimal dilutions/concentrations should be determined by the end user.
理论分子量 70 kDa
检测分子量
细胞定位 细胞核 细胞浆 
性    状 Liquid
浓    度 1mg/ml
免 疫 原 KLH conjugated synthetic peptide derived from human GRP75: 561-679/679 
亚    型 IgG
纯化方法 affinity purified by Protein A
缓 冲 液 0.01M TBS (pH7.4) with 1% BSA, 0.02% Proclin300 and 50% Glycerol.
保存条件 Shipped at 4℃. Store at -20℃ for one year. Avoid repeated freeze/thaw cycles.
注意事项 This product as supplied is intended for research use only, not for use in human, therapeutic or diagnostic applications.
PubMed PubMed
产品介绍 This gene encodes a member of the heat shock protein 70 gene family. The encoded protein is primarily localized to the mitochondria but is also found in the endoplasmic reticulum, plasma membrane and cytoplasmic vesicles. This protein is a heat-shock cognate protein. This protein plays a role in cell proliferation, stress response and maintenance of the mitochondria. A pseudogene of this gene is found on chromosome 2.

Function:
Implicated in the control of cell proliferation and cellular aging. May also act as a chaperone.

Subunit:
Interacts with FXN. Interacts with HSCB. Component of the MINOS/MitOS complex, that includes IMMT, HSPA9 and CHCHD3 and associates with mitochondrial outer membrane proteins SAMM50, MTX1 and MTX2.

Subcellular Location:
Mitochondrion. Nucleus, nucleolus.

Post-translational modifications:
Phosphorylated upon DNA damage, probably by ATM or ATR.

Similarity:
Belongs to the heat shock protein 70 family.

SWISS:
P38646

Gene ID:
3313

Database links:

Entrez Gene: 3313 Human

Entrez Gene: 15526 Mouse

Entrez Gene: 291671 Rat

Omim: 600548 Human

SwissProt: P38646 Human

SwissProt: P38647 Mouse

SwissProt: P48721 Rat

Unigene: 184233 Human

Unigene: 209419 Mouse

Unigene: 7535 Rat



信号传导(Signaling Intermediates)
葡萄糖调节蛋白75
产品图片
Sample: Lane 1: Mouse Liver tissue lysates Lane 2: Mouse Testis tissue lysates Lane 3: Mouse Cerebrum tissue lysates Lane 4: Rat Liver tissue lysates Lane 5: Rat Testis tissue lysates Lane 6: Rat Cerebrum tissue lysates Lane 7: Rat Pancreas tissue lysates Lane 8: Human K562 cell lysates Lane 9: Human MCF-7 cell lysates Lane 10: Human Jurkat cell lysates Lane 11: Human HeLa cell lysates Lane 12: Human HepG2 cell lysates Primary: Anti-GRP75 (bs-1469R) at 1/1000 dilution Secondary: IRDye800CW Goat Anti-Rabbit IgG at 1/20000 dilution Predicted band size: 70 kDa Observed band size: 72 kDa
Paraformaldehyde-fixed, paraffin embedded (mouse brain); Antigen retrieval by boiling in sodium citrate buffer (pH6.0) for 15min; Block endogenous peroxidase by 3% hydrogen peroxide for 20 minutes; Blocking buffer (normal goat serum) at 37°C for 30min; Incubation with (GRP75) Polyclonal Antibody, Unconjugated (bs-1469R) at 1:200 overnight at 4°C, followed by operating according to SP Kit(Rabbit) (sp-0023) instructionsand DAB staining.
Paraformaldehyde-fixed, paraffin embedded (human brain); Antigen retrieval by boiling in sodium citrate buffer (pH6.0) for 15min; Block endogenous peroxidase by 3% hydrogen peroxide for 20 minutes; Blocking buffer (normal goat serum) at 37°C for 30min; Incubation with (GRP75) Polyclonal Antibody, Unconjugated (bs-1469R) at 1:200 overnight at 4°C, followed by operating according to SP Kit(Rabbit) (sp-0023) instructionsand DAB staining.
Paraformaldehyde-fixed, paraffin embedded (rat brain); Antigen retrieval by boiling in sodium citrate buffer (pH6.0) for 15min; Block endogenous peroxidase by 3% hydrogen peroxide for 20 minutes; Blocking buffer (normal goat serum) at 37°C for 30min; Incubation with (GRP75) Polyclonal Antibody, Unconjugated (bs-1469R) at 1:200 overnight at 4°C, followed by operating according to SP Kit(Rabbit) (sp-0023) instructionsand DAB staining.
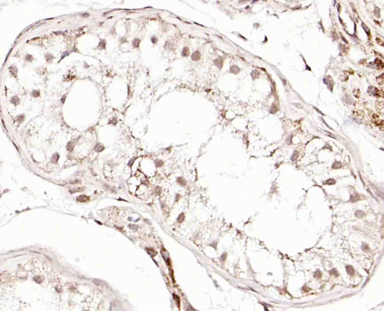
Paraformaldehyde-fixed, paraffin embedded (human testis); Antigen retrieval by boiling in sodium citrate buffer (pH6.0) for 15min; Block endogenous peroxidase by 3% hydrogen peroxide for 20 minutes; Blocking buffer (normal goat serum) at 37°C for 30min; Incubation with (GRP75) Polyclonal Antibody, Unconjugated (bs-1469R) at 1:200 overnight at 4°C, followed by operating according to SP Kit(Rabbit) (sp-0023) instructionsand DAB staining.
Paraformaldehyde-fixed, paraffin embedded (mouse testis); Antigen retrieval by boiling in sodium citrate buffer (pH6.0) for 15min; Block endogenous peroxidase by 3% hydrogen peroxide for 20 minutes; Blocking buffer (normal goat serum) at 37°C for 30min; Incubation with (GRP75) Polyclonal Antibody, Unconjugated (bs-1469R) at 1:200 overnight at 4°C, followed by operating according to SP Kit(Rabbit) (sp-0023) instructionsand DAB staining.
Paraformaldehyde-fixed, paraffin embedded (rat testis); Antigen retrieval by boiling in sodium citrate buffer (pH6.0) for 15min; Block endogenous peroxidase by 3% hydrogen peroxide for 20 minutes; Blocking buffer (normal goat serum) at 37°C for 30min; Incubation with (GRP75) Polyclonal Antibody, Unconjugated (bs-1469R) at 1:200 overnight at 4°C, followed by operating according to SP Kit(Rabbit) (sp-0023) instructionsand DAB staining.
版权所有 2004-2026 www.bioss.com.cn 北京博奥森生物技术有限公司
通过国际质量管理体系ISO 9001:2015 GB/T 19001-2016    证书编号: 00124Q34771R2M/1100
通过国际医疗器械-质量管理体系ISO 13485:2016 GB/T 42061-2022     证书编号: CQC24QY20047R0M/1100
京ICP备05066980号-1         京公网安备110107000727号