扫码关注公众号           扫码咨询技术支持           扫码咨询技术服务
  
客服热线:400-901-9800  客服QQ:4009019800  技术答疑  技术支持  质量反馈  关于我们  联系我们
产品中心-北京博奥森生物技术有限公司
首页 > 产品中心 > 一抗 > 产品信息
P4HB Rabbit pAb (bs-1476R)  
订购热线:400-901-9800
订购邮箱:sales@bioss.com.cn
订购QQ:  400-901-9800
技术支持:techsupport@bioss.com.cn
50ul/1180.00元
100ul/1980.00元
200ul/2800.00元
大包装/询价

产品编号 bs-1476R
英文名称 P4HB Rabbit pAb
中文名称 蛋白质二硫键异构酶抗体
别    名 Cellular thyroid hormone binding protein; Cellular thyroid hormone-binding protein; Collagen prolyl 4 hydroxylase beta; Disulphide Isomerase; DSI; EC 5.3.4.1; Endoplasmic reticulum resident protein 59; ER protein 59; ERBA2L; ERp59; GIT; Gltathione insulin transhydrogenase; Glutathione insulin transhydrogenase; P4Hbeta; p55; PDI; PDIA1; PDIA1_HUMAN; PDIR; PHDB; PO4DB; PO4HB; Procollagen proline 2 oxoglutarate 4 dioxygenase(proline 4 hydroxylase) beta polypeptide(protein disulfide isomerase associated 1); Procollagen proline 2 oxoglutarate 4 dioxygenase beta subunit; PROHB; Prolyl 4 hydroxylase beta polypeptide; Prolyl 4 hydroxylase beta subunit; Prolyl 4 hydroxylase subunit beta; Prolyl 4-hydroxylase subunit beta; Protein disulfide isomerase associated 1; Protein disulfide isomerase, family A, member 1; Protein disulfide isomerase/oxidoreductase; Protein disulfide-isomerase; Protocollagen hydroxylase; Thbp; Thyroid hormone binding protein p55; Thyroid hormone binding protein p55 cellular; V erb a avian erythroblastic leukemia viral oncogene homolog 2 like.  
研究领域 细胞生物  信号转导  激酶和磷酸酶  
抗体来源 Rabbit
克隆类型 Polyclonal
克 隆 号
交叉反应 Human,Mouse (predicted: Rat,Rabbit,Cow,Chicken,Horse)
产品应用 WB=1:500-2000,IHC-P=1:100-500,IHC-F=1:100-500,IF=1:100-500
not yet tested in other applications.
optimal dilutions/concentrations should be determined by the end user.
理论分子量 55 kDa
检测分子量
细胞定位 细胞浆 
性    状 Liquid
浓    度 1mg/ml
免 疫 原 KLH conjugated synthetic peptide derived from human PDI: 21-150/508 
亚    型 IgG
纯化方法 affinity purified by Protein A
缓 冲 液 0.01M TBS (pH7.4) with 1% BSA, 0.02% Proclin300 and 50% Glycerol.
保存条件 Shipped at 4℃. Store at -20℃ for one year. Avoid repeated freeze/thaw cycles.
注意事项 This product as supplied is intended for research use only, not for use in human, therapeutic or diagnostic applications.
PubMed PubMed
产品介绍 The three dimensional structure of many extracellular proteins is stabilized by the formation of disulphide bonds. Studies suggest that a microsomal enzyme known as Protein Disulphide Isomerase (PDI) is involved in disulphide-bond formation and isomerization, as well as the reduction of disulphide bonds in proteins. PDI, which catalyses disulphide interchange between thiols and protein dilsulphides, has also been referred to as thiol:protein-disulphide oxidoreductase and as glutathione:insulin transhydrogenase because of its role in reduction of disulphide bonds. The highly conserved sequence Lys-Asp-Glu-Leu (KDEL) is present at the carboxy-terminus of PDI and other soluble endoplasmic reticulum (ER) resident proteins including the 78 and 94 kDa glucose regulated proteins (GRP78 and GRP94 respectively). The presence of carboxy-terminal KDEL appears to be necessary for ER retention and appears to be sufficient to reduce the secretion of proteins from the ER. This retention is reported to be mediated by a KDEL receptor.

Function:
This multifunctional protein catalyzes the formation, breakage and rearrangement of disulfide bonds. At the cell surface, seems to act as a reductase that cleaves disulfide bonds of proteins attached to the cell. May therefore cause structural modifications of exofacial proteins. Inside the cell, seems to form/rearrange disulfide bonds of nascent proteins. At high concentrations, functions as a chaperone that inhibits aggregation of misfolded proteins. At low concentrations, facilitates aggregation (anti-chaperone activity). May be involved with other chaperones in the structural modification of the TG precursor in hormone biogenesis. Also acts a structural subunit of various enzymes such as prolyl 4-hydroxylase and microsomal triacylglycerol transfer protein MTTP.

Subunit:
Homodimer. Monomers and homotetramers may also occur. Also constitutes the structural subunit of prolyl 4-hydroxylase and of the microsomal triacylglycerol transfer protein MTTP in mammalian cells. Stabilizes both enzymes and retain them in the ER without contributing to the catalytic activity (By similarity). Binds UBQLN1. Binds to CD4, and upon HIV-1 binding to the cell membrane, is part of a P4HB/PDI-CD4-CXCR4-gp120 complex.

Subcellular Location:
Endoplasmic reticulum lumen. Melanosome. Cell membrane; Peripheral membrane protein (Potential). Note=Highly abundant. In some cell types, seems to be also secreted or associated with the plasma membrane, where it undergoes constant shedding and replacement from intracellular sources (Probable). Localizes near CD4-enriched regions on lymphoid cell surfaces. Identified by mass spectrometry in melanosome fractions from stage I to stage IV.

Tissue Specificity:
Detected in the flagellum and head region of spermatozoa (at protein level).

Similarity:
Belongs to the protein disulfide isomerase family.
Contains 2 thioredoxin domains.

SWISS:
P07237

Gene ID:
5034

Database links:

Entrez Gene: 5034 Human

Entrez Gene: 18453 Mouse

Entrez Gene: 25506 Rat

Omim: 176790 Human

SwissProt: P07237 Human

SwissProt: P09103 Mouse

SwissProt: P04785 Rat

Unigene: 464336 Human

Unigene: 708779 Human

Unigene: 16660 Mouse

Unigene: 392196 Mouse

Unigene: 4234 Rat



蛋白质二硫键异构酶(PDI,Protein Disulfide lsomerase)是一种亚基分子量为57kD的二聚体蛋白,一般认为它参与细胞内蛋白质天然二硫键的形成,它催化蛋白质巯基和二硫键的交换反应.
产品图片
Sample: ASPC-1 Cell (Human) Lysate at 40 ug PANC-1 Cell (Human) Lysate at 40 ug Primary: Anti- P4HB (bs-1476R) at 1/300 dilution Secondary: IRDye800CW Goat Anti-Rabbit IgG at 1/20000 dilution Predicted band size: 55 kD Observed band size: 55 kD
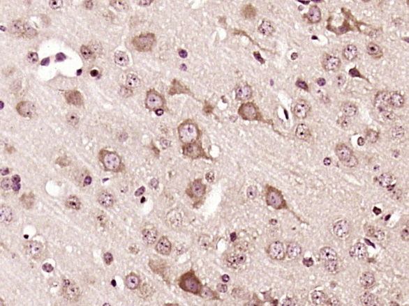
Paraformaldehyde-fixed, paraffin embedded (Mouse brain); Antigen retrieval by boiling in sodium citrate buffer (pH6.0) for 15min; Block endogenous peroxidase by 3% hydrogen peroxide for 20 minutes; Blocking buffer (normal goat serum) at 37°C for 30min; Antibody incubation with (P4HB) Polyclonal Antibody, Unconjugated (bs-1476R) at 1:400 overnight at 4°C, followed by a conjugated secondary antibody (sp-0023) for 20 minutes and DAB staining.
版权所有 2004-2026 www.bioss.com.cn 北京博奥森生物技术有限公司
通过国际质量管理体系ISO 9001:2015 GB/T 19001-2016    证书编号: 00124Q34771R2M/1100
通过国际医疗器械-质量管理体系ISO 13485:2016 GB/T 42061-2022     证书编号: CQC24QY20047R0M/1100
京ICP备05066980号-1         京公网安备110107000727号