扫码关注公众号           扫码咨询技术支持           扫码咨询技术服务
  
客服热线:400-901-9800  客服QQ:4009019800  技术答疑  技术支持  质量反馈  关于我们  联系我们
产品中心-北京博奥森生物技术有限公司
首页 > 产品中心 > 一抗 > 产品信息
Oct-3/Oct-4 Rabbit pAb (bs-1111R)  
订购热线:400-901-9800
订购邮箱:sales@bioss.com.cn
订购QQ:  400-901-9800
技术支持:techsupport@bioss.com.cn
50ul/1180.00元
100ul/1980.00元
200ul/2800.00元
大包装/询价

产品编号 bs-1111R
英文名称 Oct-3/Oct-4 Rabbit pAb
中文名称 胚胎干细胞关键蛋白抗体
别    名 POU domain, class 5, transcription factor 1; Oct-3/4; Oct-4A; Oct4A; Oct 4A; Octamer-binding transcription factor 3; Octamer-4; Octamer-3; Oct-3; NF-A3; Otf-3; Otf3; MGC22487; Oct 3; Oct 4; OCT3; Oct4; Octamer binding protein 3; Octamer binding protein 4; Octamer binding transcription factor 3; Octamer-binding protein 3; Octamer-binding protein 4; OTF 3; OTF 4; OTF-3; OTF3; OTF4; PO5F1_HUMAN; POU class 5 homeobox 1; POU domain class 5 transcription factor 1; POU domain transcription factor OCT4; POU type homeodomain containing DNA binding protein; POU5F1; POU5F1.  
Specific References  (5)     |     bs-1111R has been referenced in 5 publications.
[IF=18.952] Mahmoud Labibet al. Tracking the expression of therapeutic protein targets in rare cells by antibody-mediated nanoparticle labelling and magnetic sorting. Nat Biomed Eng . 2020 Jul 27.  FCM ;  Human.  
[IF=4.626] Jiaming Fu. et al. mTORC1 coordinates NF-κB signaling pathway to promote chondrogenic differentiation of tendon cells in heterotopic ossification. BONE. 2022 Oct;163:116507  IF ;  Mouse.  
[IF=3.082] Ya Fang Wuet al. Growth and Stem Cell Characteristics of Tendon-Derived Cells with Different Initial Seeding Densities: An In Vitro Study in MouseFlexor Tendon Cells. Stem Cells Dev . 2020 Aug 1;29(15):1016-1025.  ICC ;  mouse.  
[IF=2.705] Wang EX et al. Stem cells from trabecular meshwork cells can secrete extracellular matrix. Biochem Biophys Res Commun. 2020 Mar 5;523(2):522-526.  ICF ;  cattle.  
[IF=1.706] Shan et al. Wnt/β-catenin pathway is required for epithelial to mesenchymal transition in CXCL12 over expressed breast cancer cells. (2016) Int.J.Clin.Exp.Pathol. 8:12357-67  WB ;  Human.  
研究领域 细胞生物  免疫学  染色质和核信号  干细胞  表观遗传学  
抗体来源 Rabbit
克隆类型 Polyclonal
克 隆 号
交叉反应 Human,Mouse,Rat (predicted: Pig,Cow,Dog)
产品应用 WB=1:500-2000,IHC-P=1:100-500,IHC-F=1:100-500,IF=1:100-500,Flow-Cyt=1ug/Test
not yet tested in other applications.
optimal dilutions/concentrations should be determined by the end user.
理论分子量 39 kDa
检测分子量
细胞定位 细胞核 
性    状 Liquid
浓    度 1mg/ml
免 疫 原 KLH conjugated synthetic peptide derived from human OCT4: 201-300/360 
亚    型 IgG
纯化方法 affinity purified by Protein A
缓 冲 液 0.01M TBS (pH7.4) with 1% BSA, 0.02% Proclin300 and 50% Glycerol.
保存条件 Shipped at 4℃. Store at -20℃ for one year. Avoid repeated freeze/thaw cycles.
注意事项 This product as supplied is intended for research use only, not for use in human, therapeutic or diagnostic applications.
PubMed PubMed
产品介绍 Expression of the POU-domain transcription factor Octamer-4 (Oct-4) is widely regarded as a hallmark of pluripotent stem cells. The relationship of Oct-4 to pluripotent stem cells is indicated by its tightly restricted expression to undifferentiated pluripotent stem cells. Upon differentiation to somatic lineages, the expression of Oct-4 disappears rapidly. Unlike the majority of pluripotent stem cell markers, the biological role of Oct-4 has been well characterized. Studies performed in mice point to the critical role of Oct-4 in the establishment and/or maintenance of pluripotent stem cells in an uncommitted state.

Function:
Transcription factor that binds to the octamer motif (5'-ATTTGCAT-3'). Forms a trimeric complex with SOX2 on DNA and controls the expression of a number of genes involved in embryonic development such as YES1, FGF4, UTF1 and ZFP206. Critical for early embryogenesis and for embryonic stem cell pluripotency.

Subunit:
Interacts with UBE2I and ZSCAN10. Interacts with PKM2. Interacts with WWP2.

Subcellular Location:
Cytoplasm. Nucleus. Note=Expressed in a diffuse and slightly punctuate pattern.

Tissue Specificity:
Expressed in developing brain. Highest levels found in specific cell layers of the cortex, the olfactory bulb, the hippocampus and the cerebellum. Low levels of expression in adult tissues.

Post-translational modifications:
Sumoylation enhances the protein stability, DNA binding and transactivation activity. Sumoylation is required for enhanced YES1 expression.
Ubiquitinated; undergoes 'Lys-63'-linked polyubiquitination by WWP2 leading to proteasomal degradation.
ERK1/2-mediated phosphorylation at Ser-111 promotes nuclear exclusion and proteasomal degradation. Phosphorylation at Thr-235 and Ser-236 decrease DNA-binding and alters ability to activate transcription.

Similarity:
Belongs to the POU transcription factor family. Class-5 subfamily.
Contains 1 homeobox DNA-binding domain.
Contains 1 POU-specific domain.

SWISS:
Q01860

Gene ID:
5460

Database links:

Entrez Gene: 5460 Human

Entrez Gene: 282316 Cow

Entrez Gene: 18999 Mouse

Entrez Gene: 100127461 Pig

Entrez Gene: 294562 Rat

Omim: 164177 Human

SwissProt: O97552 Cow

SwissProt: Q01860 Human

SwissProt: P20263 Mouse

SwissProt: Q9TSV5 Pig

Unigene: 249184 Human

Unigene: 632482 Human

Unigene: 646545 Human

Unigene: 17031 Mouse

Unigene: 161748 Rat



产品图片
Sample: Embryo (Mouse)Lysate at 40 ug Testis (Mouse) Lysate at 40 ug NIH/3T3 (Mouse) Cell Lysate at 40 ug Hela(Human) Cell Lysate at 40 ug Rsc96(Rat) Cell Lysate at 40 ug 293T(Human) Cell Lysate at 40 ug SP2/0(Mouse) Cell Lysate at 40 ug HL-60(Human) Cell Lysate at 40 ug Primary: Anti-Oct-3/Oct-4 (bs-1111R) at 1/300 dilution Secondary: IRDye800CW Goat Anti-Rabbit IgG at 1/20000 dilution Predicted band size: 39 kD Observed band size: 39 kD
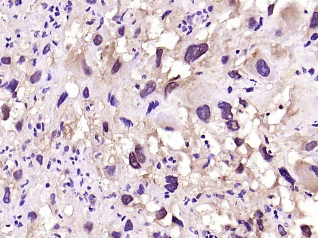
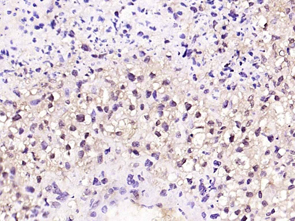
Paraformaldehyde-fixed, paraffin embedded (mouse placenta); Antigen retrieval by boiling in sodium citrate buffer (pH6.0) for 15min; Block endogenous peroxidase by 3% hydrogen peroxide for 20 minutes; Blocking buffer (normal goat serum) at 37°C for 30min; Antibody incubation with (Oct-3) Polyclonal Antibody, Unconjugated (bs-1111R) at 1:200 overnight at 4°C, followed by operating according to SP Kit(Rabbit) (sp-0023) instructionsand DAB staining.
Paraformaldehyde-fixed, paraffin embedded (rat placenta); Antigen retrieval by boiling in sodium citrate buffer (pH6.0) for 15min; Block endogenous peroxidase by 3% hydrogen peroxide for 20 minutes; Blocking buffer (normal goat serum) at 37°C for 30min; Antibody incubation with (Oct-3) Polyclonal Antibody, Unconjugated (bs-1111R) at 1:200 overnight at 4°C, followed by operating according to SP Kit(Rabbit) (sp-0023) instructionsand DAB staining.
Tissue/cell: mouse tooth germ tissue; 4% Paraformaldehyde-fixed and paraffin-embedded; Antigen retrieval: citrate buffer ( 0.01M, pH 6.0 ), Boiling bathing for 15min; Block endogenous peroxidase by 3% Hydrogen peroxide for 30min; Blocking buffer (normal goat serum,C-0005) at 37℃ for 20 min; Incubation: Anti-Oct-3/Oct-4 Polyclonal Antibody, Unconjugated(bs-1111R) 1:100, overnight at 4°C, followed by conjugation to the secondary antibody(SP-0023) and DAB(C-0010) staining
Blank control:Hela. Primary Antibody (green line): Rabbit Anti-Oct-3 antibody (bs-1111R) Dilution: 1μg /10^6 cells; Isotype Control Antibody (orange line): Rabbit IgG . Secondary Antibody : Goat anti-rabbit IgG-AF647 Dilution: 1μg /test. Protocol The cells were fixed with 4% PFA (10min at room temperature)and then permeabilized with 90% ice-cold methanol for 20 min at-20℃.The cells were then incubated in 5%BSA to block non-specific protein-protein interactions for 30 min at room temperature .Cells stained with Primary Antibody for 30 min at room temperature. The secondary antibody used for 40 min at room temperature. Acquisition of 20,000 events was performed.
版权所有 2004-2026 www.bioss.com.cn 北京博奥森生物技术有限公司
通过国际质量管理体系ISO 9001:2015 GB/T 19001-2016    证书编号: 00124Q34771R2M/1100
通过国际医疗器械-质量管理体系ISO 13485:2016 GB/T 42061-2022     证书编号: CQC24QY20047R0M/1100
京ICP备05066980号-1         京公网安备110107000727号