扫码关注公众号           扫码咨询技术支持           扫码咨询技术服务
  
客服热线:400-901-9800  客服QQ:4009019800  技术答疑  技术支持  质量反馈  人才招聘  关于我们  联系我们
产品中心-北京博奥森生物技术有限公司
首页 > 产品中心 > 一抗 > 产品信息
AFP(A2) Mouse mAb (bsm-1621M)  
订购热线:400-901-9800
订购邮箱:sales@bioss.com.cn
订购QQ:  400-901-9800
技术支持:techsupport@bioss.com.cn
50ul/1180.00元
100ul/1980.00元
200ul/2800.00元
200ug(PBS only)/5600.00元
大包装/询价

产品编号 bsm-1621M
英文名称 AFP(A2) Mouse mAb
中文名称 甲胎蛋白单克隆抗体(包被)
别    名 AFPD; FETA; HPAFP; FETA_HUMAN; AFP; Alpha-1-fetoprotein; Alpha-fetoglobulin; alpha fetoprotein; fetoglobulin; alpha-fetoprotein  
Specific References  (12)     |     bsm-1621M has been referenced in 12 publications.
[IF=10.05] Aoxiang Xiao. et al. Ultrasensitive Detection and Cellular Photothermal Therapy via a Self-Photothermal Modulation Biosensor. ADV OPT MATER. 2023 Jan;:2202711  Rat.  
[IF=7.48] Zong, Chen, et al. "Multilayer hemin/G-quadruplex wrapped gold nanoparticles as tag for ultrasensitive multiplex immunoassay by chemiluminescence imaging." Biosensors and Bioelectronics 43 (2013): 372-378.  ELISA ;  
[IF=6.45] Lin, Dajie, et al. "Cascade signal amplification for electrochemical immunosensing by integrating biobarcode probes, surface-initiated enzymatic polymerization and silver nanoparticle deposition." Biosensors and Bioelectronics (2014).  other ;  
[IF=6.408] Chellachamy Anbalagan, Amarnath. et al. Redox-labelled detection probe enabled immunoassay for simultaneous detection of multiple cancer biomarkers. MICROCHIM ACTA. 2023 Mar;190(3):1-9  
[IF=6.277] Zhao CR et al. Highly sensitive and selective electrochemical immunosensors by substrate-enhanced electroless deposition of metal nanoparticles onto three-dimensional Graphene@Ni foams. Science Bulletin.2019.  Other ;  
[IF=6.042] Chen Z et al. Chemical Redox-Cycling for Improving the Sensitivity of Colorimetric ELISA.(2018) Anal. Chem.  ELISA ;  Human.  
[IF=5.88] Zhang, Xin, et al. "Spectrum-Based Electrochemiluminescent Immunoassay with Ternary CdZnSe Nanocrystals as Labels." Analytical Chemistry (2016).  
[IF=5.83] Zong, Chen, et al. "Chemiluminescence imaging immunoassay of multiple tumor markers for cancer screening." Analytical Chemistry 84.5 (2012): 2410-2415.  other ;  Human.  
[IF=5.123] Song X et al. Multiplex immunoassays using surface modification-mediated porous layer open tubular capillary.Anal Chim Acta. 2018 Dec 28;1043:1-10.  LIF detection&ELISA ;  Human.  
[IF=4.52] Zhao, Changrong, et al. "Multiplexed electrochemical immunoassay using streptavidin/nanogold/carbon nanohorn as a signal tag to induce silver deposition." Analytica Chimica Acta (2014).  other ;  
[IF=3.998] A. Ikeda. et al. Follistatin expressed in mechanically-damaged salivary glands of male mice induces proliferation of CD49f + cells. Sci Rep-Uk. 2020 Nov;10(1):1-14  ICC ;  Mouse.  
[IF=2.475] Huang Y et al. Ag@Au Core⁻Shell Porous Nanocages with Outstanding SERS Activity for Highly Sensitive SERS Immunoassay. Sensors (Basel). 2019 Mar 31;19(7). pii: E1554.  ELISA ;  
研究领域 肿瘤  
抗体来源 Mouse
克隆类型 Monoclonal
克 隆 号 A2
交叉反应 Human,Mouse,Rat
产品应用 WB=1:500-2000,IHC-P=1:100-500,IHC-F=1:100-500,IF=1:100-500,ELISA=1:5000-10000
not yet tested in other applications.
optimal dilutions/concentrations should be determined by the end user.
理论分子量 65kDa
检测分子量 70
细胞定位 分泌型蛋白 
性    状 Liquid
浓    度 1mg/ml
免 疫 原 AFP protein: full length 
亚    型 IgG
纯化方法 affinity purified by Protein G
缓 冲 液 0.01M PBS (pH7.4) with 0.02% Proclin300.
保存条件 Shipped at 4℃. Store at -20℃ for one year. Avoid repeated freeze/thaw cycles.
注意事项 This product as supplied is intended for research use only, not for use in human, therapeutic or diagnostic applications.
PubMed PubMed
产品介绍 Alpha 1 Fetoprotein is a major plasma protein produced by the yolk sac and the liver during fetal life. Alpha fetoprotein expression in adults is often associated with hepatoma or teratoma. However, hereditary persistance of alpha-fetoprotein may also be found in individuals with no obvious pathology. The protein is thought to be the fetal counterpart of serum albumin, and the alpha fetoprotein and albumin genes are present in tandem in the same transcriptional orientation on chromosome 4. Alpha fetoprotein is found in monomeric as well as dimeric and trimeric forms, and binds copper, nickel, fatty acids and bilirubin. The level of alpha fetoprotein in amniotic fluid is used to measure renal loss of protein to screen for spina bifida and anencephaly. Expression has been documented in human adrenal, liver, ovary, testis, and pancreas. ESTs have been isolated from normal human brain, liver/spleen, embryo and uterus tissue libraries.

Subunit:
Dimeric and trimeric forms have been found in addition to the monomeric form.

Subcellular Location:
Secreted.

Tissue Specificity:
Plasma. Synthesized by the fetal liver and yolk sac.

Similarity:
Belongs to the ALB/AFP/VDB family.
Contains 3 albumin domains.

Database links:

Entrez Gene: 174 Human

Omim: 104150 Human

SwissProt: P02771 Human

Unigene: 518808 Human



产品图片
25 ug total protein per lane of various lysates (see on figure) probed with AFP(A2) monoclonal antibody, unconjugated (bsm-1621M) at 1:1000 dilution and 4°C overnight incubation. Followed by conjugated secondary antibody incubation at r.t. for 60 min.
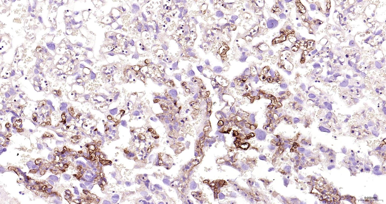
Paraformaldehyde-fixed, paraffin embedded Rat Placenta; Antigen retrieval by boiling in sodium citrate buffer (pH6.0) for 15 min; The section was incubated with AFP(A2) Monoclonal Antibody, Unconjugated (bsm-1621M) at 1:200 overnight at 4°C, followed by conjugation to the bs-40296G-HRP and DAB (C-0010) staining.
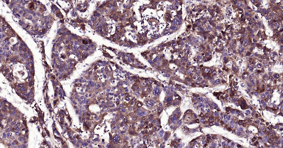
Paraformaldehyde-fixed, paraffin embedded Human Liver Cancer; Antigen retrieval by boiling in sodium citrate buffer (pH6.0) for 15 min; Antibody incubation with AFP(A2) Monoclonal Antibody, Unconjugated(bsm-1621M) at 1:200 overnight at 4°C, followed by conjugation to the bs-40296G-HRP and DAB (C-0010) staining.
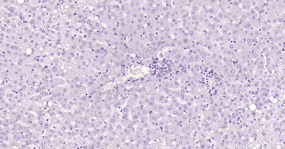
(Negative control)Paraformaldehyde-fixed, paraffin embedded Human Liver; Antigen retrieval by boiling in sodium citrate buffer (pH6.0) for 15 min; Antibody incubation with AFP(A2) Monoclonal Antibody, Unconjugated(bsm-1621M) at 1:500 overnight at 4°C, followed by conjugation to the bs-40296G-HRP and DAB (C-0010) staining.
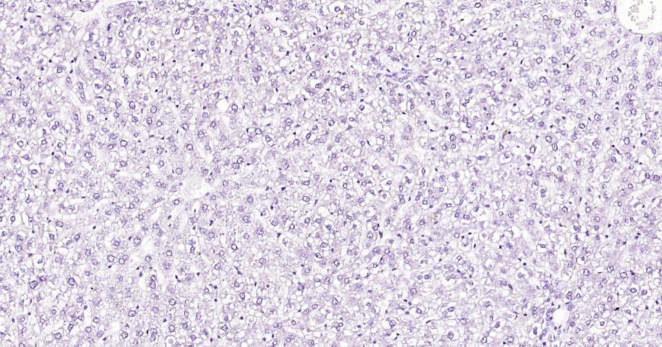
(Negative control)Paraformaldehyde-fixed, paraffin embedded Rat Liver; Antigen retrieval by boiling in sodium citrate buffer (pH6.0) for 15 min; Antibody incubation with AFP(A2) Monoclonal Antibody, Unconjugated(bsm-1621M) at 1:500 overnight at 4°C, followed by conjugation to the bs-40296G-HRP and DAB (C-0010) staining.
Paraformaldehyde-fixed, paraffin embedded Human Placenta; Antigen retrieval by boiling in sodium citrate buffer (pH6.0) for 15 min; The section was incubated with AFP(A2) Monoclonal Antibody, Unconjugated (bsm-1621M) at 1:200 overnight at 4°C. Followed by conjugated Goat Anti-Mouse IgG antibody (Green, bs-0296G-BF488), DAPI (blue, C02-04002) was used to stain the cell nuclei.
Measured by its binding ability in a indirect ELISA. Immobilized Human AFP protein, His Tag (Cat. bs-43140P) at 2 μg/mL (100 μL/well) can bind   Mouse Anti-Human AFP Antibody, the EC50 is 24.94 ng/mL.
版权所有 2004-2026 www.bioss.com.cn 北京博奥森生物技术有限公司
通过国际质量管理体系ISO 9001:2015 GB/T 19001-2016    证书编号: 00124Q34771R2M/1100
通过国际医疗器械-质量管理体系ISO 13485:2016 GB/T 42061-2022     证书编号: CQC24QY20047R0M/1100
京ICP备05066980号-1         京公网安备110107000727号