扫码关注公众号           扫码咨询技术支持           扫码咨询技术服务
  
客服热线:400-901-9800  客服QQ:4009019800  技术答疑  技术支持  质量反馈  人才招聘  关于我们  联系我们
产品中心-北京博奥森生物技术有限公司
首页 > 产品中心 > 一抗 > 产品信息
Pan Cytokeratin Rabbit pAb (bs-1712R)  
订购热线:400-901-9800
订购邮箱:sales@bioss.com.cn
订购QQ:  400-901-9800
技术支持:techsupport@bioss.com.cn
50ul/1180.00元
100ul/1980.00元
200ul/2800.00元
大包装/询价

产品编号 bs-1712R
英文名称 Pan Cytokeratin Rabbit pAb
中文名称 广谱细胞角蛋白PCK抗体
别    名 CK13; K13; WSN2; K1C16_HUMAN; KRT16; Cytokeratin-16 (CK-16); Keratin-16 (K16); KRT16A; CK14; EBS1; EBS1A; EBS1B; EBS1C; EBS1D; EBS3; EBS4; K14; NFJ; K1C14_HUMAN; KRT14; Cytokeratin-14 (CK-14); Keratin-14 (K14); CK16; FNEPPK; K16; K1CP; NEPPK; PC1; 39.1; C  
Specific References  (18)     |     bs-1712R has been referenced in 18 publications.
[IF=18.952] Mahmoud Labibet al. Tracking the expression of therapeutic protein targets in rare cells by antibody-mediated nanoparticle labelling and magnetic sorting. Nat Biomed Eng . 2020 Jul 27.  FCM ;  Human.  
[IF=9.685] Chen Mingyu. et al. Identification of RAC1 in promoting brain metastasis of lung adenocarcinoma using single-cell transcriptome sequencing. CELL DEATH DIS. 2023 May;14(5):1-14  IHC ;  Mouse.  
[IF=9.417] Yan Wu. et al. A mesenchymal stem cell-derived nanovesicle-biopotentiated bovine serum albumin-bridged gelatin hydrogel for enhanced diabetic wound therapy. MATER DESIGN. 2023 Jun;230:111960  IHC ;  Mouse.  
[IF=7.038] Verdiana Trappetti. et al. Synchrotron Microbeam Radiotherapy for the treatment of lung carcinoma: a pre-clinical study. Int J Radiat Oncol. 2021 Aug;:  WB ;  Rat.  
[IF=6.126] Wakiyama H et al. Increased Immunogenicity of a Minimally Immunogenic Tumor after Cancer-Targeting Near Infrared PhotoimmunotherapyCancers (Basel).2020 Dec 12;12(12):3747.  IHC ;  Mouse.  
[IF=6.126] Yasuhiro Maruoka. et al. Interleukin-15 after Near-Infrared Photoimmunotherapy (NIR-PIT) Enhances T Cell Response against Syngeneic Mouse Tumors. Cancers. 2020 Sep;12(9):2575  IF,IHC ;  Mouse.  
[IF=6.014] Brechbuhl HM et al. Fibroblast subtypes define a metastatic matrisome in breast cancer. JCI Insight. 2020 Feb 27;5(4).  IHC-P ;  Mouse.  
[IF=5.736] Ryuhei Okada. et al. Near-infrared photoimmunotherapy targeting human-EGFR in a mouse tumor model simulating current and future clinical trials. Ebiomedicine. 2021 May;67:103345  IF ;  Mouse.  
[IF=4.966] Hui Ren. et al. Arecoline induces epithelial‐mesenchymal transformation and promotes metastasis of oral cancer by SAA1 expression. Cancer Sci. 2021 Jun; 112(6): 2173–2184  IHC ;  Human.  
[IF=4.086] Yasuhiro Maruoka. et al. Near-Infrared Photoimmunotherapy Combined with CTLA4 Checkpoint Blockade in Syngeneic Mouse Cancer Models. Vaccines-Basel. 2020 Sep;8(3):528  IHC ;  Mouse.  
[IF=3.467] Chuanli Zhang. et al. Establishment of a human meibomian gland carcinoma cell model and analysis of differently expressed genes. Exp Eye Res. 2022 Feb;:108983  IF ;  Human.  
[IF=3.317] Tomchaney, M.. et al. Paradoxical effects of cigarette smoke and COPD on SARS-CoV-2 infection and disease. Bmc Pulm Med. 2021 Dec;21(1):1-14  IF ;  Human, Mouse.  
[IF=2.81] Wang et al. Anti-proliferative activities of finasteride in benign prostate epithelial cells require stromal fibroblasts and c-Jun gene. (2017) PLoS.One. 12:e0172233  IHC-P ;  Mouse.  
[IF=2.75] Li, Yuming, et al. "Identification of apoptotic cells in the thymus of piglets infected with highly pathogenic porcine reproductive and respiratory syndrome virus." Virus Research (2014).  IHC-F ;  Pig.  
[IF=2.47] Chen, Ming, et al. "Periostin activates pathways involved in epithelial-mesenchymal transition in adamantinomatous craniopharyngioma." Journal of the Neurological Sciences (2015).  Human.  
[IF=2.2] Yang, Wei, et al. "lncRNA H19 is involved in TGF-β1-induced epithelial to mesenchymal transition in bovine epithelial cells through PI3K/AKT Signaling Pathway." PeerJ 5 (2017): e3950.  WB ;  Bovine.  
[IF=1.8] Li, Xin, et al. "Enrichment of Oct3/4‐positive cells from a human bronchial epithelial cell line." Apmis 121.7 (2013): 612-625.  WB ;  Human.  
[IF=1.23] Cheng, Pang, et al. "Colocalization of Metastasis-associated proteins 1/2 and Estrogen receptor alpha in rat epididymis." Tissue and Cell (2017).  IF(ICC) ;  Rat.  
研究领域 肿瘤  细胞生物  免疫学  
抗体来源 Rabbit
克隆类型 Polyclonal
克 隆 号
交叉反应 Human,Mouse,Rat (predicted: Rabbit,Pig,Cow,Chicken,Dog,Horse)
产品应用 WB=1:500-2000,IHC-P=1:100-500,IHC-F=1:100-500,IF=1:100-500,Flow-Cyt=1μg /test,ICC/IF=1:100-500
not yet tested in other applications.
optimal dilutions/concentrations should be determined by the end user.
理论分子量 42-64 kDa
检测分子量 46,60
细胞定位 细胞浆 
性    状 Liquid
浓    度 1mg/ml
免 疫 原 KLH conjugated synthetic peptide derived from human Cytokeratin-1: 141-240/644 
亚    型 IgG
纯化方法 affinity purified by Protein A
缓 冲 液 0.01M TBS (pH7.4) with 1% BSA, 0.02% Proclin300 and 50% Glycerol.
保存条件 Shipped at 4℃. Store at -20℃ for one year. Avoid repeated freeze/thaw cycles.
注意事项 This product as supplied is intended for research use only, not for use in human, therapeutic or diagnostic applications.
PubMed PubMed
产品介绍 Cytokeratins are proteins of keratin-containing intermediate filaments found in the intracytoplasmic cytoskeleton of epithelial tissue. The cytokeratins are encoded by a family encompassing 30 genes. Among them, 20 are epithelial genes and the remaining 10 are specific for trichocytes. In the cytoplasm, the keratin filaments conform a complex network which extends from the surface of the nucleus to the cell membrane. Numerous accessory proteins are involved in the genesis and maintenance of such structure. This association between the plasma membrane and the nuclear surface provides important implications for the organization of the cytoplasm and cellular communication mechanisms. Apart from the relatively static functions provided in terms of supporting the nucleus and providing tensile strength to the cell, the cytokeratin networks undergo rapid phosphate exchanges mediated depolymerization, with important implications in the more dynamic cellular processes such as mitosis and post-mitotic period, cell movement and differentiation. Cytokeratins interact with desmosomes and hemidesmosomes, thus collaborating to cell-cell adhesion and basal cell-underlying connective tissue connection.

Subcellular Location:
Cytoplasmic.

Tissue Specificity:
epithelial cells

SWISS:
Q2M2I5

Gene ID:
192666

P-CK广谱细胞角蛋白(AE1/AE3)主要标记角化上皮、复层鳞状上皮、复层上皮、增生的角化上皮和单层上皮,用于鳞癌,各种腺癌 、移行上皮癌,小细胞癌,恶性间皮瘤、生殖细胞肿瘤,部分滑膜肉瘤、平滑肌肉瘤等表达。
产品图片
Sample:Bladder (Mouse) Lysate at 40 ug Primary: Anti-Pan Cytokeratin (bs-1712R) at 1/300 dilution Secondary: IRDye800CW Goat Anti-Rabbit IgG at 1/20000 dilution Predicted band size: 42-64 kD Observed band size: 60 kD
Sample: Lane 1: Hela (Human) Cell Lysate at 30 ug Lane 2: A549 (Human) Cell Lysate at 30 ug Lane 3: A673 (Human) Cell Lysate at 30 ug Primary: Anti-Pan Cytokeratin (bs-1712R) at 1/1000 dilution Secondary: IRDye800CW Goat Anti-Rabbit IgG at 1/20000 dilution Predicted band size: 42-64 kD Observed band size: 46,60 kD
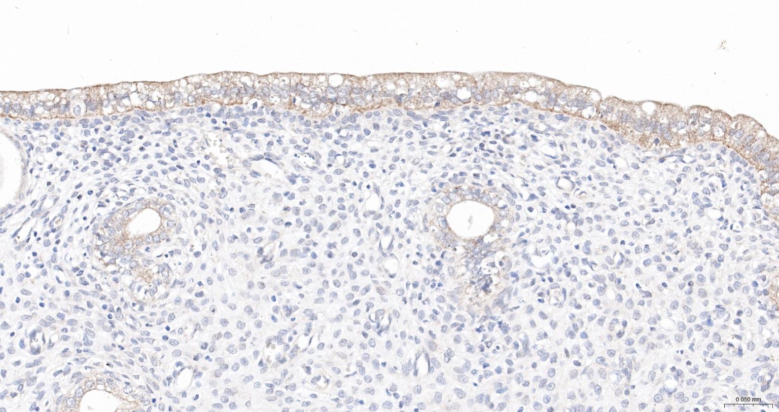
Paraformaldehyde-fixed, paraffin embedded (Human kidney); Antigen retrieval by boiling in sodium citrate buffer (pH6.0) for 15min; Block endogenous peroxidase by 3% hydrogen peroxide for 20 minutes; Blocking buffer (normal goat serum) at 37°C for 30min; Antibody incubation with (Pan Cytokeratin) Polyclonal Antibody, Unconjugated (bs-1712R) at 1:200 overnight at 4°C, followed by operating according to SP Kit(Rabbit) (sp-0023) instructionsand DAB staining.
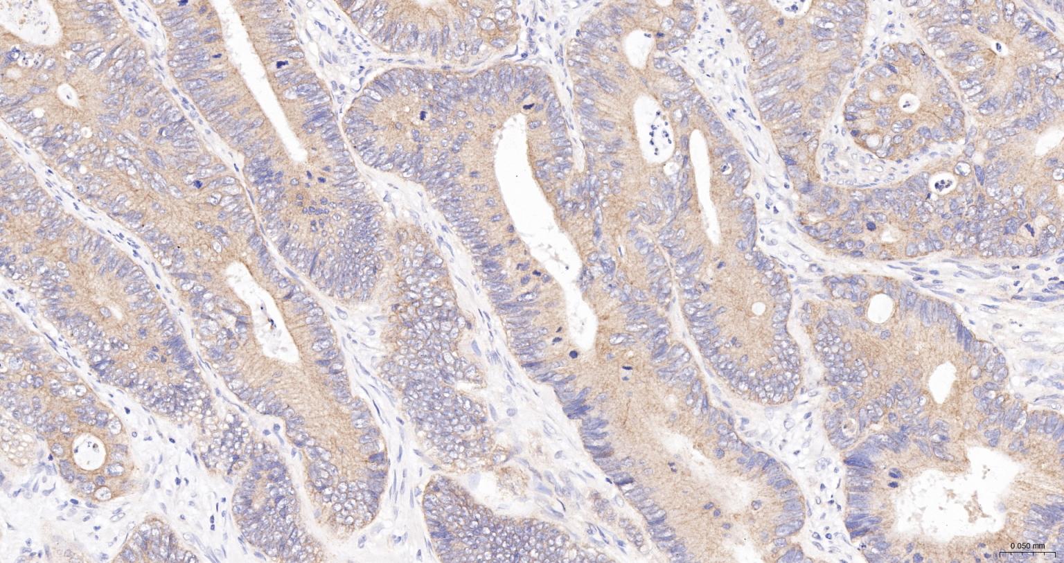
Paraformaldehyde-fixed, paraffin embedded (Human stomach carcinoma); Antigen retrieval by boiling in sodium citrate buffer (pH6.0) for 15min; Block endogenous peroxidase by 3% hydrogen peroxide for 20 minutes; Blocking buffer (normal goat serum) at 37°C for 30min; Antibody incubation with (Pan Cytokeratin) Polyclonal Antibody, Unconjugated (bs-1712R) at 1:400 overnight at 4°C, followed by operating according to SP Kit(Rabbit) (sp-0023) instructionsand DAB staining.
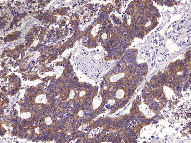
Paraformaldehyde-fixed, paraffin embedded Human Prostate Cancer; Antigen retrieval by boiling in sodium citrate buffer (pH6.0) for 15 min; The section was incubated with Pan Cytokeratin Polyclonal Antibody, Unconjugated (bs-1712R) at 1:200 overnight at 4°C, followed by conjugation to the bs-0295G-HRP and DAB (C-0010) staining.
Paraformaldehyde-fixed, paraffin embedded Human Breast Cancer; Antigen retrieval by boiling in sodium citrate buffer (pH6.0) for 15 min; The section was incubated with Pan Cytokeratin Polyclonal Antibody, Unconjugated (bs-1712R) at 1:200 overnight at 4°C, followed by conjugation to the bs-0295G-HRP and DAB (C-0010) staining.
Paraformaldehyde-fixed, paraffin embedded Human Colon Cancer; Antigen retrieval by boiling in sodium citrate buffer (pH6.0) for 15 min; The section was incubated with Pan Cytokeratin Polyclonal Antibody, Unconjugated (bs-1712R) at 1:200 overnight at 4°C, followed by conjugation to the bs-0295G-HRP and DAB (C-0010) staining.
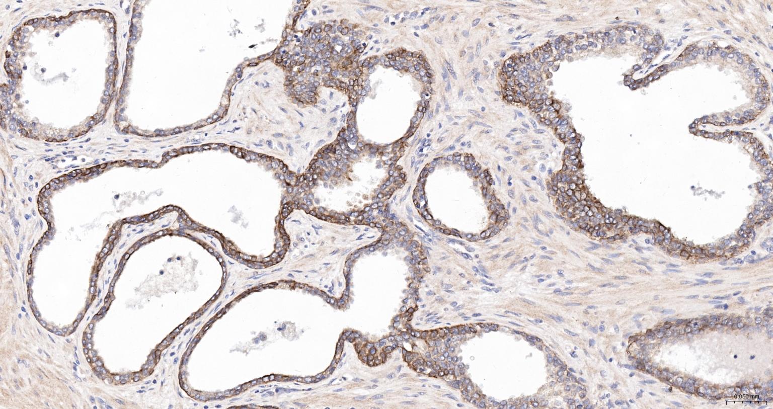
Paraformaldehyde-fixed, paraffin embedded Rat Uterus; Antigen retrieval by boiling in sodium citrate buffer (pH6.0) for 15 min; The section was incubated with Pan Cytokeratin Polyclonal Antibody, Unconjugated (bs-1712R) at 1:200 overnight at 4°C, followed by conjugation to the bs-0295G-HRP and DAB (C-0010) staining.
Paraformaldehyde-fixed, paraffin embedded (human cervical carcinoma); Antigen retrieval by boiling in sodium citrate buffer (pH6.0) for 15min; Block endogenous peroxidase by 3% hydrogen peroxide for 20 minutes; Blocking buffer (normal goat serum) at 37°C for 30min; Antibody incubation with (Pan Cytokeratin) Polyclonal Antibody, Unconjugated (bs-1712R) at 1:200 overnight at 4°C, followed by operating according to SP Kit(Rabbit) (sp-0023) instructionsand DAB staining.
Paraformaldehyde-fixed, paraffin embedded (human breast carcinoma); Antigen retrieval by boiling in sodium citrate buffer (pH6.0) for 15min; Block endogenous peroxidase by 3% hydrogen peroxide for 20 minutes; Blocking buffer (normal goat serum) at 37°C for 30min; Antibody incubation with (Pan Cytokeratin) Polyclonal Antibody, Unconjugated (bs-1712R) at 1:200 overnight at 4°C, followed by operating according to SP Kit(Rabbit) (sp-0023) instructionsand DAB staining.
Paraformaldehyde-fixed, paraffin embedded (rat uterus); Antigen retrieval by boiling in sodium citrate buffer (pH6.0) for 15min; Block endogenous peroxidase by 3% hydrogen peroxide for 20 minutes; Blocking buffer (normal goat serum) at 37°C for 30min; Antibody incubation with (Pan Cytokeratin) Polyclonal Antibody, Unconjugated (bs-1712R) at 1:200 overnight at 4°C, followed by operating according to SP Kit(Rabbit) (sp-0023) instructionsand DAB staining.
Paraformaldehyde-fixed, paraffin embedded (human cervical cancer); Antigen retrieval by boiling in sodium citrate buffer (pH6.0) for 15min; Block endogenous peroxidase by 3% hydrogen peroxide for 20 minutes; Blocking buffer (normal goat serum) at 37°C for 30min; Antibody incubation with (Pan Cytokeratin) Polyclonal Antibody, Unconjugated (bs-1712R ) at 1:200 overnight at 4°C, followed by operating according to SP Kit(Rabbit) (sp-0023) instructionsand DAB staining.
Paraformaldehyde-fixed, paraffin embedded (human liver); Antigen retrieval by boiling in sodium citrate buffer (pH6.0) for 15min; Block endogenous peroxidase by 3% hydrogen peroxide for 20 minutes; Blocking buffer (normal goat serum) at 37°C for 30min; Antibody incubation with (Pan Cytokeratin) Polyclonal Antibody, Unconjugated (bs-1712R) at 1:200 overnight at 4°C, followed by operating according to SP Kit(Rabbit) (sp-0023) instructionsand DAB staining.
Paraformaldehyde-fixed, paraffin embedded (Rat bladder); Antigen retrieval by boiling in sodium citrate buffer (pH6.0) for 15min; Block endogenous peroxidase by 3% hydrogen peroxide for 20 minutes; Blocking buffer (normal goat serum) at 37°C for 30min; Antibody incubation with (Pan Cytokeratin) Polyclonal Antibody, Unconjugated (bs-1712R) at 1:400 overnight at 4°C, followed by operating according to SP Kit(Rabbit) (sp-0023) instructionsand DAB staining.
Hela cell; 4% Paraformaldehyde-fixed; Triton X-100 at room temperature for 20 min; Blocking buffer (normal goat serum, C-0005) at 37°C for 20 min; Antibody incubation with (Pan Cytokeratin) polyclonal Antibody, Unconjugated (bs-1712R) 1:100, 90 minutes at 37°C; followed by a conjugated Goat Anti-Rabbit IgG antibody at 37°C for 90 minutes, DAPI (blue, C02-04002) was used to stain the cell nuclei.
Paraformaldehyde-fixed, paraffin embedded Human Breast Cancer; Antigen retrieval by boiling in sodium citrate buffer (pH6.0) for 15 min; The section was incubated with Pan Cytokeratin Polyclonal Antibody, Unconjugated (bs-1712R) at 1:200 overnight at 4°C. Followed by conjugated Goat Anti-Rabbit IgG antibody (Red, bs-0295G-BF594), DAPI (blue, C02-04002) was used to stain the cell nuclei.
Paraformaldehyde-fixed, paraffin embedded Human Prostate; Antigen retrieval by boiling in sodium citrate buffer (pH6.0) for 15 min; The section was incubated with Pan Cytokeratin Polyclonal Antibody, Unconjugated (bs-1712R) at 1:200 overnight at 4°C. Followed by conjugated Goat Anti-Rabbit IgG antibody (Red, bs-0295G-BF594), DAPI (blue, C02-04002) was used to stain the cell nuclei.
Paraformaldehyde-fixed, paraffin embedded Rat Uterus; Antigen retrieval by boiling in sodium citrate buffer (pH6.0) for 15 min; The section was incubated with Pan Cytokeratin Polyclonal Antibody, Unconjugated (bs-1712R) at 1:200 overnight at 4°C. Followed by conjugated Goat Anti-Rabbit IgG antibody (Red, bs-0295G-BF594), DAPI (blue, C02-04002) was used to stain the cell nuclei.
Paraformaldehyde-fixed, paraffin embedded Rat Bladder; Antigen retrieval by boiling in sodium citrate buffer (pH6.0) for 15 min; The section was incubated with Pan Cytokeratin Polyclonal Antibody, Unconjugated (bs-1712R) at 1:200 overnight at 4°C. Followed by conjugated Goat Anti-Rabbit IgG antibody (Red, bs-0295G-BF594), DAPI (blue, C02-04002) was used to stain the cell nuclei.
Paraformaldehyde-fixed, paraffin embedded (human colon carcinoma); Antigen retrieval by boiling in sodium citrate buffer (pH6.0) for 15min; Blocking buffer (normal goat serum) at 37°C for 30min; Antibody incubation with (Pan Cytokeratin) Polyclonal Antibody, Unconjugated (bs-1712R) at 1:200 overnight at 4°C, followed by a conjugated Goat Anti-Rabbit IgG antibody (bs-0295G-AF488) for 90 minutes, and DAPI for nuclei staining.
Blank control(black line):A549. Primary Antibody (green line): Rabbit Anti-Pan Cytokeratin antibody (bs-1712R) Dilution:1ug/Test; Secondary Antibody(white blue line): Goat anti-rabbit IgG-AF488 Dilution: 0.5ug/Test. Isotype control(orange line): Normal Rabbit IgG Protocol The cells were fixed with 4% PFA (10min at room temperature)and then permeabilized with 90% ice-cold methanol for 20 min at -20℃, The cells were then incubated in 5%BSA to block non-specific protein-protein interactions for 30 min at room temperature .Cells stained with Primary Antibody for 30 min at room temperature. The secondary antibody used for 40 min at room temperature. Acquisition of 20,000 events was performed.
Blank control:Hela. Primary Antibody (green line): Rabbit Anti-Pan Cytokeratin antibody (bs-1712R) Dilution: 2ug/Test; Secondary Antibody : Goat anti-rabbit IgG-FITC Dilution: 0.5ug/Test. Protocol The cells were fixed with 4% PFA (10min at room temperature)and then permeabilized with 0.1% PBST for 20 min at room temperature.The cells were then incubated in 5%BSA to block non-specific protein-protein interactions for 30 min at room temperature .Cells stained with Primary Antibody for 30 min at room temperature. The secondary antibody used for 40 min at room temperature. Acquisition of 20,000 events was performed.
版权所有 2004-2026 www.bioss.com.cn 北京博奥森生物技术有限公司
通过国际质量管理体系ISO 9001:2015 GB/T 19001-2016    证书编号: 00124Q34771R2M/1100
通过国际医疗器械-质量管理体系ISO 13485:2016 GB/T 42061-2022     证书编号: CQC24QY20047R0M/1100
京ICP备05066980号-1         京公网安备110107000727号