扫码关注公众号           扫码咨询技术支持           扫码咨询技术服务
  
客服热线:400-901-9800  客服QQ:4009019800  技术答疑  技术支持  质量反馈  关于我们  联系我们
产品中心-北京博奥森生物技术有限公司
首页 > 产品中心 > 一抗 > 产品信息
phospho-JNK1 + 2 + 3 (Thr183+Tyr185) Rabbit pAb (bs-1640R)  
订购热线:400-901-9800
订购邮箱:sales@bioss.com.cn
订购QQ:  400-901-9800
技术支持:techsupport@bioss.com.cn
50ul/1180.00元
100ul/1980.00元
200ul/2800.00元
大包装/询价

产品编号 bs-1640R
英文名称 phospho-JNK1 + 2 + 3 (Thr183+Tyr185) Rabbit pAb
中文名称 磷酸化氨基末端激酶1/2/3抗体
别    名 JNK1+JNK2+JNK3(phospho T183+T183); JNK1(phospho T183+Y185); p-JNK1(phospho T183+Y185); MAPK8(phospho T183/Y185); JNK1+JNK2+JNK3(phospho Thr183+Tyr185); JNK1+2+3(phospho Thr183+Tyr185); p-JNK; c Jun N terminal kinase 1; C-JUN kinase 1; EC 2.7.11.24; JAK 1A; JAK1A; JNK 1; JNK 46; JNK; JNK1A2; JNK21B1/2; MAP kinase 8; MAPK 8; MAPK8; Mitogen activated protein kinase 8; p54 gamma; PRKM 8; PRKM8; Protein kinase JNK1; Protein kinase, mitogen-activated, 8; SAPK 1; SAPK gamma; SAPK1; Stress activated protein kinase JNK1; Stress-activated protein kinase JNK1; Tyrosine protein kinase JAK1; AI849689; MK08_HUMAN.  
Specific References  (58)     |     bs-1640R has been referenced in 58 publications.
[IF=9.381] Zhaomin Zheng. et al. New insight into the structure-dependent two-way immunomodulatory effects of water-soluble yeast β-glucan in macrophages. CARBOHYD POLYM. 2022 Sep;291:119569  WB ;  Mouse.  
[IF=7.59] Muzhe Li. et al. STS load PCL- MECM based hydrogel hybrid scaffold promote meniscal regeneration via modulating macrophage phenotype polarization. BIOMATER SCI-UK. 2023 Jan;:  WB ;  Rabbit.  
[IF=6.953] Jinshan Wu. et al. Protection by Hosta ventricosa polysaccharides against oxidative damage induced by t-BHP in HepG2 cells via the JNK/Nrf2 pathway. Int J Biol Macromol. 2022 May;208:453  WB ;  Human.  
[IF=6.656] Mingjuan Yang. et al. Rosmarinic acid potentiates and detoxifies tacrine in combination for Alzheimer's disease. PHYTOMEDICINE. 2022 Dec;:154600  WB ;  Mouse.  
[IF=5.923] Junfeng Ke. et al. CTI-2 Inhibits Metastasis and Epithelial-Mesenchymal Transition of Breast Cancer Cells by Modulating MAPK Signaling Pathway. Int J Mol Sci. 2021 Jan;22(22):12229  WB,IF ;  Human.  
[IF=5.285] Huawei Liu. et al. Integrated multi-omics reveals the beneficial role of chlorogenic acid in improving the growth performance and immune function of immunologically-stressed broilers. ANIM NUTR. 2023 May;:  WB ;  Chicken.  
[IF=5.085] Yinna Song. et al. RBM39 Alters Phosphorylation of c-Jun and Binds to Viral RNA to Promote PRRSV Proliferation. Front Immunol. 2021; 12: 664417  WB ;  Human.  
[IF=5.039] Wang Y et al. Aspirin inhibits inflammation and scar formation in the injury tendon healing through regulating JNK/STAT‐3 signalling pathway. Cell Prolif. 2019 Jun 21:e12650.  WB ;  Rat.  
[IF=4.882] Huang D et al. Strontium-substituted sub-micron bioactive glasses inhibit ostoclastogenesis through suppression of RANKL-induced signaling pathway. Regen Biomater. 2020 Jun;7(3):303-311.  WB ;  Mouse.  
[IF=4.868] Wang G et al. Protective Effect of Methane-Rich Saline on Acetic Acid-Induced Ulcerative Colitis via Blockingthe TLR4/NF-κB/MAPK Pathway and Promoting IL-10/JAK1/STAT3-Mediated Anti-inflammatory Response. Oxid Med Cell Longev. 2019 Apr 28;2019:7850324.  WB ;  Mouse.  
[IF=4.75] Rosenzweig, Derek H., Sing J. Ou, and Thomas M. Quinn. ʺP38 mitogen activated protein kinase promotes dedifferentiation of primary articular chondrocytes in monolayer culture.ʺ Journal of Cellular and Molecular Medicine (2013).  WB ;  Bovine.  
[IF=4.55] Ning, Chong, et al. "Chicory inulin ameliorates type 2 diabetes mellitus and suppresses JNK and MAPK pathways in vivo and in vitro." Molecular Nutrition & Food Research (2017).  WB ;  Rat.  
[IF=4.55] Ning, Chong, et al. "Chicory inulin ameliorates type 2 diabetes mellitus and suppresses JNK and MAPK pathways in vivo and in vitro." Molecular Nutrition & Food Research (2017).  WB ;  Rat.  
[IF=4.486] Jianye Yang. et al. Astragalus polysaccharide attenuates LPS-related inflammatory osteolysis by suppressing osteoclastogenesis by reducing the MAPK signalling pathway. 2021 Jun 02  WB ;  Mouse.  
[IF=4.42] Yu, Haijie, et al. "Gypenoside Protects Cardiomyocytes against Ischemia-Reperfusion Injury via the Inhibition of Mitogen-Activated Protein Kinase Mediated Nuclear Factor Kappa B Pathway In Vitro and In Vivo." Frontiers in Pharmacology 7 (2016).  WB ;  Rat.  
[IF=4.26] Rosenzweig, Derek H., et al. "Mechanical injury of bovine cartilage explants induces depth-dependent, transient changes in MAP kinase activity associated with apoptosis." Osteoarthritis and Cartilage (2012).  WB ;  Bovine.  
[IF=4.225] Qihe Tang. et al. Bergenin Monohydrate Attenuates Inflammatory Response via MAPK and NF-κB Pathways Against Klebsiella pneumonia Infection. Front Pharmacol. 2021; 12: 651664  WB ;  Mosue.  
[IF=3.943] Xiuhong Wang. et al. Protective effect of combination of anakinra and MCC950 against acute lung injury is achieved through suppression of the NF-κB-mediated-MAPK and NLRP3-caspase pathways. Int Immunopharmacol. 2021 Aug;97:107506  WB ;  Mouse.  
[IF=3.829] Wen, Yukang. et al. Incomplete autophagy promotes the proliferation of Mycoplasma hyopneumoniae through the JNK and Akt pathways in porcine alveolar macrophages. VET RES. 2022 Dec;53(1):1-15  WB ;  Pig.  
[IF=3.829] Zhang Xiangjun. et al. DAD3 targets ACE2 to inhibit the MAPK and NF-κB signalling pathways and protect against LPS-induced inflammation in bovine mammary epithelial cells. VET RES. 2022 Dec;53(1):1-13  WB ;  Bovine.  
[IF=3.738] Lili Liu. et al. Rutin Ameliorates Cadmium-Induced Necroptosis in the Chicken Liver via Inhibiting Oxidative Stress and MAPK/NF-κB Pathway. 2021 Jun 06  WB ;  Chicken.  
[IF=3.701] Tian Yu. et al. Protective effects of selenium-enriched peptides from Cardamine violifolia on d-galactose-induced brain aging by alleviating oxidative stress, neuroinflammation, and neuron apoptosis. J Funct Foods. 2020 Dec;75:104277  WB ;  Rat.  
[IF=3.69] Sukfan P. Kwong. et al. PORIMIN: The key to (+)-Usnic acid-induced liver toxicity and oncotic cell death in normal human L02 liver cells. J Ethnopharmacol. 2021 Apr;270:113873  WB ;  Human.  
[IF=3.641] Wenbo Ge. et al. 17β-estradiol protects sheep oviduct epithelial cells against lipopolysaccharide-induced inflammation in vitro. Mol Immunol. 2020 Nov;127:21  WB ;  Sheep.  
[IF=3.585] Deng Z et al. M1 macrophage mediated increased reactive oxygen species (ROS) influence wound healing via the MAPK signaling in vitro and in vivo. Toxicol Appl Pharmacol. 2019 Mar 1;366:83-95.  IHC-P ;  Human.  
[IF=3.388] Xiao et al. Fingolimod Suppresses a Cascade of Core Vicious Cycle in Dry Eye NOD Mouse Model: Involvement of Sphingosine-1-Phosphate Receptors in Infiltrating Leukocytes. (2017) Invest.Ophthalmol.Vis.Sci. 58:6123-6132  IF ;  Mouse.  
[IF=3.36] Iriyama et al. Direct effect of dasatinib on signal transduction pathways associated with a rapid mobilization of cytotoxic lymphocytes. (2016) Cancer.Med. 5:3223-3234  FC/FACS ;  Human.  
[IF=3.322] Shu Zeng. et al. Inhibition of mGluR5 ameliorates lipid accumulation and inflammation in HepG2 cells. BIOCHEM BIOPH RES CO. 2023 Apr;653:1  WB ;  Human.  
[IF=3.31] Król, Magdalena, et al. "Macrophages Mediate a Switch between Canonical and Non-Canonical Wnt Pathways in Canine Mammary Tumors." PloS one 9.1 (2014): e83995.  WB ;  Dog.  
[IF=3.244] Zhou L et al. JLX001 Ameliorates Ischemia/Reperfusion Injury by Reducing Neuronal Apoptosis Via Downregulating JNK Signaling Pathway. Neuroscience 418 (2019) 189–204.  WB ;  Rat.  
产品类型 磷酸化抗体 
研究领域 肿瘤  免疫学  信号转导  转录调节因子  
抗体来源 Rabbit
克隆类型 Polyclonal
克 隆 号
交叉反应 Human,Mouse,Rat (predicted: Pig,Cow,Dog)
产品应用 WB=1:500-2000,IHC-P=1:100-500,IHC-F=1:100-500,IF=1:100-500,Flow-Cyt=1μg /test
not yet tested in other applications.
optimal dilutions/concentrations should be determined by the end user.
理论分子量 42 kDa
检测分子量
细胞定位 细胞核 细胞浆 
性    状 Liquid
浓    度 1mg/ml
免 疫 原 KLH conjugated Synthesised phosphopeptide derived from human JNK1 around the phosphorylation site of Thr183/Tyr185: MM(p-T)P(p-Y)VV 
亚    型 IgG
纯化方法 affinity purified by Protein A
缓 冲 液 0.01M TBS (pH7.4) with 1% BSA, 0.02% Proclin300 and 50% Glycerol.
保存条件 Shipped at 4℃. Store at -20℃ for one year. Avoid repeated freeze/thaw cycles.
注意事项 This product as supplied is intended for research use only, not for use in human, therapeutic or diagnostic applications.
PubMed PubMed
产品介绍 JNK1 (MAPK8) is a member of the MAP kinase family. MAP kinases act as an integration point for multiple biochemical signals, and are involved in a wide variety of cellular processes such as proliferation, differentiation, transcription regulation and development. This kinase is activated by various cell stimuli, and targets specific transcription factors, and thus mediates immediate-early gene expression in response to cell stimuli. The activation of this kinase by tumor-necrosis factor alpha (TNF-alpha) is found to be required for TNF-alpha induced apoptosis. This kinase is also involved in UV radiation induced apoptosis, which is thought to be related to cytochrome c-mediated cell death pathway. Studies of the mouse counterpart of this gene suggested that this kinase play a key role in T cell proliferation, apoptosis and differentiation. Four alternatively spliced transcript variants encoding distinct isoforms have been reported. JNK1 is activated by threonine and tyrosine phosphorylation by either of two dual specificity kinases, MAP2K4 and MAP2K7. The JNK pathway is critically involved in diabetes and levels are abnormally elevated in obesity. The cell-permeable JNK inhibitory peptide may have promise as a therapeutic agent for diabetes.

Subunit:
Interacts with MECOM and DCLK2. Binds to at least four scaffolding proteins, MAPK8IP1/JIP-1, MAPK8IP2/JIP-2, MAPK8IP3/JIP-3/JSAP1 and SPAG9/MAPK8IP4/JIP-4. These proteins also bind other components of the JNK signaling pathway. Interacts with NFATC4. Interacts with ATF7; the interaction does not phosphorylate ATF7 but acts as a docking site for ATF7-associated partners such as JUN. Interacts with BCL10. Interacts with CTNNB1 and GSK3B.

Subcellular Location:
Cytoplasm. Nucleus.

Post-translational modifications:
Dually phosphorylated on Thr-183 and Tyr-185 by MAP2K7 and MAP2K4, which activates the enzyme. Autophosphorylated in vitro.

Similarity:
Belongs to the protein kinase superfamily. CMGC Ser/Thr protein kinase family. MAP kinase subfamily.
Contains 1 protein kinase domain.

SWISS:
P45983

Gene ID:
5599

Database links:

Entrez Gene: 5599 Human

Entrez Gene: 5601 Human

Entrez Gene: 26419 Mouse

Entrez Gene: 26420 Mouse

Omim: 601158 Human

Omim: 602896 Human

SwissProt: P45983 Human

SwissProt: P45984 Human



磷酸化抗体
产品图片
Sample: Heart(Mouse) Lysate at 40 ug Heart(Rat) Lysate at 40 ug Primary: Anti-phospho-JNK1+2+3(Thr183+Tyr185) (bs-1640R) at 1/500 dilution Secondary: IRDye800CW Goat Anti-Rabbit IgG at 1/20000 dilution Predicted band size: 46'54 kD Observed band size: 54 kD
Sample: Lane 1: Cerebrum (Rat) Lysate at 40 ug Lane 2: Cerebrum (Mouse) Lysate at 40 ug Lane 3: Cerebellum (Rat) Lysate at 40 ug Lane 4: Cerebellum (Mouse) Lysate at 40 ug Lane 5: Heart (Rat) Lysate at 40 ug Lane 6: Heart (Mouse) Lysate at 40 ug Lane 7: Kidney (Mouse) Lysate at 40 ug Primary: Anti-phospho-JNK1 + 2 + 3 (Thr183+Tyr185) (bs-1640R) at 1/1000 dilution Secondary: IRDye800CW Goat Anti-Rabbit IgG at 1/20000 dilution Predicted band size: 46/54 kD Observed band size: 52 kD
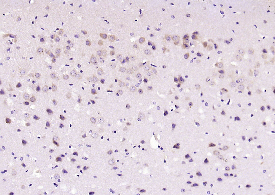
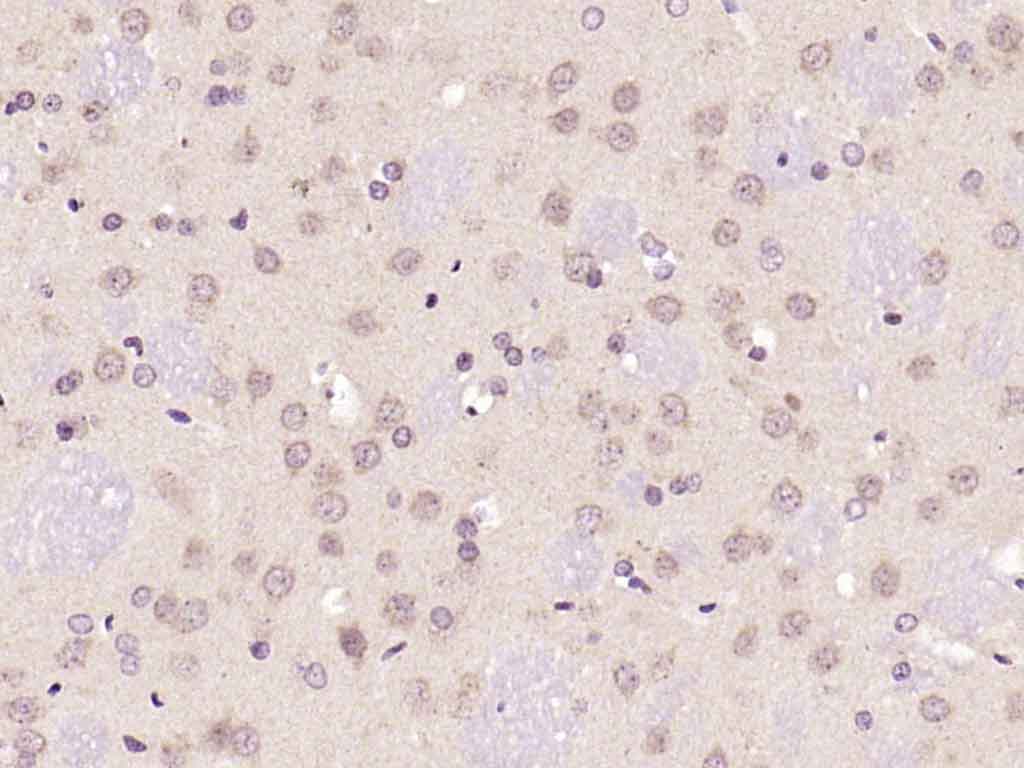
Paraformaldehyde-fixed, paraffin embedded (human brain glioma); Antigen retrieval by boiling in sodium citrate buffer (pH6.0) for 15min; Block endogenous peroxidase by 3% hydrogen peroxide for 20 minutes; Blocking buffer (normal goat serum) at 37°C for 30min; Antibody incubation with (MAPK8) Polyclonal Antibody, Unconjugated (bs-1640R) at 1:400 overnight at 4°C, followed by operating according to SP Kit(Rabbit) (sp-0023) instructionsand DAB staining.
Paraformaldehyde-fixed, paraffin embedded (rat brain tissue); Antigen retrieval by boiling in sodium citrate buffer (pH6.0) for 15min; Block endogenous peroxidase by 3% hydrogen peroxide for 20 minutes; Blocking buffer (normal goat serum) at 37°C for 30min; Antibody incubation with (MAPK8) Polyclonal Antibody, Unconjugated (bs-1640R) at 1:400 overnight at 4°C, followed by operating according to SP Kit(Rabbit) (sp-0023) instructionsand DAB staining.
Paraformaldehyde-fixed, paraffin embedded (rat brain); Antigen retrieval by boiling in sodium citrate buffer (pH6.0) for 15min; Block endogenous peroxidase by 3% hydrogen peroxide for 20 minutes; Blocking buffer (normal goat serum) at 37°C for 30min; Antibody incubation with (phospho-JNK1 + 2 + 3 (Thr183+Tyr185)) Polyclonal Antibody, Unconjugated (bs-1640R) at 1:200 overnight at 4°C, followed by operating according to SP Kit(Rabbit) (sp-0023) instructionsand DAB staining.
Paraformaldehyde-fixed, paraffin embedded (rat brain); Antigen retrieval by boiling in sodium citrate buffer (pH6.0) for 15min; Block endogenous peroxidase by 3% hydrogen peroxide for 20 minutes; Blocking buffer (normal goat serum) at 37°C for 30min; Antibody incubation with (phospho-JNK1 + 2 + 3 (Thr183+Tyr185)) Polyclonal Antibody, Unconjugated (bs-1640R) at 1:200 overnight at 4°C, followed by operating according to SP Kit(Rabbit) (sp-0023) instructionsand DAB staining.
Paraformaldehyde-fixed, paraffin embedded (mouse brain); Antigen retrieval by boiling in sodium citrate buffer (pH6.0) for 15min; Block endogenous peroxidase by 3% hydrogen peroxide for 20 minutes; Blocking buffer (normal goat serum) at 37°C for 30min; Antibody incubation with (phospho-JNK1 + 2 + 3 (Thr183+Tyr185)) Polyclonal Antibody, Unconjugated (bs-1640R) at 1:200 overnight at 4°C, followed by operating according to SP Kit(Rabbit) (sp-0023) instructionsand DAB staining.
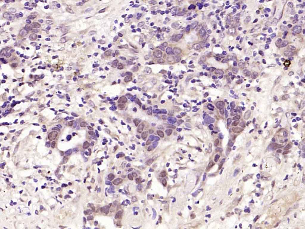
Paraformaldehyde-fixed, paraffin embedded (human colon carcinoma); Antigen retrieval by boiling in sodium citrate buffer (pH6.0) for 15min; Block endogenous peroxidase by 3% hydrogen peroxide for 20 minutes; Blocking buffer (normal goat serum) at 37°C for 30min; Antibody incubation with (phospho-JNK1 + 2 + 3 (Thr183+Tyr185)) Polyclonal Antibody, Unconjugated (bs-1640R) at 1:200 overnight at 4°C, followed by operating according to SP Kit(Rabbit) (sp-0023) instructionsand DAB staining.
Paraformaldehyde-fixed, paraffin embedded (rat cerebellum); Antigen retrieval by boiling in sodium citrate buffer (pH6.0) for 15min; Block endogenous peroxidase by 3% hydrogen peroxide for 20 minutes; Blocking buffer (normal goat serum) at 37°C for 30min; Antibody incubation with (phospho-JNK1 + 2 + 3 (Thr183+Tyr185)) Polyclonal Antibody, Unconjugated (bs-1640R) at 1:200 overnight at 4°C, followed by operating according to SP Kit(Rabbit) (sp-0023) instructionsand DAB staining.
Paraformaldehyde-fixed, paraffin embedded (rat kidney); Antigen retrieval by boiling in sodium citrate buffer (pH6.0) for 15min; Block endogenous peroxidase by 3% hydrogen peroxide for 20 minutes; Blocking buffer (normal goat serum) at 37°C for 30min; Antibody incubation with (phospho-JNK1 + 2 + 3 (Thr183+Tyr185)) Polyclonal Antibody, Unconjugated (bs-1640R) at 1:200 overnight at 4°C, followed by operating according to SP Kit(Rabbit) (sp-0023) instructionsand DAB staining.
Paraformaldehyde-fixed, paraffin embedded (mouse heart); Antigen retrieval by boiling in sodium citrate buffer (pH6.0) for 15min; Block endogenous peroxidase by 3% hydrogen peroxide for 20 minutes; Blocking buffer (normal goat serum) at 37°C for 30min; Antibody incubation with (phospho-JNK1 + 2 + 3 (Thr183+Tyr185)) Polyclonal Antibody, Unconjugated (bs-1640R) at 1:200 overnight at 4°C, followed by operating according to SP Kit(Rabbit) (sp-0023) instructionsand DAB staining.
Paraformaldehyde-fixed, paraffin embedded (mouse cerebellum); Antigen retrieval by boiling in sodium citrate buffer (pH6.0) for 15min; Block endogenous peroxidase by 3% hydrogen peroxide for 20 minutes; Blocking buffer (normal goat serum) at 37°C for 30min; Antibody incubation with (phospho-JNK1 + 2 + 3 (Thr183+Tyr185)) Polyclonal Antibody, Unconjugated (bs-1640R) at 1:200 overnight at 4°C, followed by operating according to SP Kit(Rabbit) (sp-0023) instructionsand DAB staining.
Paraformaldehyde-fixed, paraffin embedded (mouse brain); Antigen retrieval by boiling in sodium citrate buffer (pH6.0) for 15min; Block endogenous peroxidase by 3% hydrogen peroxide for 20 minutes; Blocking buffer (normal goat serum) at 37°C for 30min; Antibody incubation with (phospho-JNK1 + 2 + 3 (Thr183+Tyr185)) Polyclonal Antibody, Unconjugated (bs-1640R) at 1:200 overnight at 4°C, followed by operating according to SP Kit(Rabbit) (sp-0023) instructionsand DAB staining.
Paraformaldehyde-fixed, paraffin embedded (mouse kidney); Antigen retrieval by boiling in sodium citrate buffer (pH6.0) for 15min; Block endogenous peroxidase by 3% hydrogen peroxide for 20 minutes; Blocking buffer (normal goat serum) at 37°C for 30min; Antibody incubation with (phospho-JNK1 + 2 + 3 (Thr183+Tyr185)) Polyclonal Antibody, Unconjugated (bs-1640R) at 1:200 overnight at 4°C, followed by operating according to SP Kit(Rabbit) (sp-0023) instructionsand DAB staining.
Paraformaldehyde-fixed, paraffin embedded (mouse brain); Antigen retrieval by boiling in sodium citrate buffer (pH6.0) for 15min; Block endogenous peroxidase by 3% hydrogen peroxide for 20 minutes; Blocking buffer (normal goat serum) at 37°C for 30min; Antibody incubation with (phospho-JNK1 + 2 + 3 (Thr183+Tyr185)) Polyclonal Antibody, Unconjugated (bs-1640R) at 1:200 overnight at 4°C, followed by operating according to SP Kit(Rabbit) (sp-0023) instructionsand DAB staining.
Paraformaldehyde-fixed, paraffin embedded (human gastric carcinoma); Antigen retrieval by boiling in sodium citrate buffer (pH6.0) for 15min; Block endogenous peroxidase by 3% hydrogen peroxide for 20 minutes; Blocking buffer (normal goat serum) at 37°C for 30min; Antibody incubation with (phospho-JNK1 + 2 + 3 (Thr183+Tyr185)) Polyclonal Antibody, Unconjugated (bs-1640R) at 1:200 overnight at 4°C, followed by operating according to SP Kit(Rabbit) (sp-0023) instructionsand DAB staining.
Paraformaldehyde-fixed, paraffin embedded (human brain); Antigen retrieval by boiling in sodium citrate buffer (pH6.0) for 15min; Block endogenous peroxidase by 3% hydrogen peroxide for 20 minutes; Blocking buffer (normal goat serum) at 37°C for 30min; Antibody incubation with (phospho-JNK1 + 2 + 3 (Thr183+Tyr185)) Polyclonal Antibody, Unconjugated (bs-1640R) at 1:200 overnight at 4°C, followed by operating according to SP Kit(Rabbit) (sp-0023) instructionsand DAB staining.
Paraformaldehyde-fixed, paraffin embedded (rat cerebellum); Antigen retrieval by boiling in sodium citrate buffer (pH6.0) for 15min; Block endogenous peroxidase by 3% hydrogen peroxide for 20 minutes; Blocking buffer (normal goat serum) at 37°C for 30min; Antibody incubation with (phospho-JNK1 + 2 + 3 (Thr183+Tyr185)) Polyclonal Antibody, Unconjugated (bs-1640R) at 1:200 overnight at 4°C, followed by operating according to SP Kit(Rabbit) (sp-0023) instructionsand DAB staining.
Paraformaldehyde-fixed, paraffin embedded (rat brain); Antigen retrieval by boiling in sodium citrate buffer (pH6.0) for 15min; Block endogenous peroxidase by 3% hydrogen peroxide for 20 minutes; Blocking buffer (normal goat serum) at 37°C for 30min; Antibody incubation with (phospho-JNK1 + 2 + 3 (Thr183+Tyr185)) Polyclonal Antibody, Unconjugated (bs-1640R) at 1:200 overnight at 4°C, followed by operating according to SP Kit(Rabbit) (sp-0023) instructionsand DAB staining.
Paraformaldehyde-fixed, paraffin embedded (Mouse brain); Antigen retrieval by boiling in sodium citrate buffer (pH6.0) for 15min; Block endogenous peroxidase by 3% hydrogen peroxide for 20 minutes; Blocking buffer (normal goat serum) at 37°C for 30min; Antibody incubation with (JNK1 + 2 + 3 (Thr183+Tyr185)) Polyclonal Antibody, Unconjugated (bs-1640R) at 1:500 overnight at 4°C, followed by a conjugated secondary (sp-0023) for 20 minutes and DAB staining.
Paraformaldehyde-fixed, paraffin embedded (Human breast cancer); Antigen retrieval by boiling in sodium citrate buffer (pH6.0) for 15min; Block endogenous peroxidase by 3% hydrogen peroxide for 20 minutes; Blocking buffer (normal goat serum) at 37°C for 30min; Antibody incubation with (MAPK8) Polyclonal Antibody, Unconjugated (bs-1640R) at 1:400 overnight at 4°C, followed by operating according to SP Kit(Rabbit) (sp-0023) instructions and DAB staining.
Blank control: K562. Primary Antibody (green line): Rabbit Anti-phospho-JNK1 + 2 + 3 (Thr183+Tyr185) antibody (bs-1640R) Dilution: 1μg /10^6 cells; Isotype Control Antibody (orange line): Rabbit IgG . Secondary Antibody : Goat anti-rabbit IgG-FITC Dilution: 1μg /test. Protocol The cells were fixed with 4% PFA (10min at room temperature)and then permeabilized with 90% ice-cold methanol for 20 min at-20℃. The cells were then incubated in 5%BSA to block non-specific protein-protein interactions for 30 min at room temperature .Cells stained with Primary Antibody for 30 min at room temperature. The secondary antibody used for 40 min at room temperature. Acquisition of 20,000 events was performed.
Blank control: K562. Primary Antibody (green line): Rabbit Anti-phospho-JNK1 + 2 + 3 (Thr183+Tyr185) antibody (bs-1640R) Dilution: 1μg /10^6 cells; Isotype Control Antibody (orange line): Rabbit IgG . Secondary Antibody : Goat anti-rabbit IgG-FITC Dilution: 1μg /test. Protocol The cells were fixed with 4% PFA (10min at room temperature)and then permeabilized with 90% ice-cold methanol for 20 min at-20℃. The cells were then incubated in 5%BSA to block non-specific protein-protein interactions for 30 min at room temperature .Cells stained with Primary Antibody for 30 min at room temperature. The secondary antibody used for 40 min at room temperature. Acquisition of 20,000 events was performed.
Blank control: mouse splenocytes(blue) Isotype Control Antibody: Rabbit IgG(orange) ; Secondary Antibody: Goat anti-rabbit IgG-FITC(white blue), Dilution: 1:100 in 1 X PBS containing 0.5% BSA ; Primary Antibody Dilution: 1μl in 100 μL1X PBS containing 0.5% BSA(green).
Blank control: Jurkat. Primary Antibody (green line): Rabbit Anti-phospho-JNK1 + 2 + 3 (Thr183+Tyr185) antibody (bs-1640R) Dilution: 1μg /10^6 cells; Isotype Control Antibody (orange line): Rabbit IgG . Secondary Antibody : Goat anti-rabbit IgG-AF647 Dilution: 1μg /test. Protocol The cells were fixed with 4% PFA (10min at room temperature)and then permeabilized with 90% ice-cold methanol for 20 min at-20℃. The cells were then incubated in 5%BSA to block non-specific protein-protein interactions for 30 min at room temperature .Cells stained with Primary Antibody for 30 min at room temperature. The secondary antibody used for 40 min at room temperature. Acquisition of 20,000 events was performed.
Blank control: Jurkat. Primary Antibody (green line): Rabbit Anti-phospho-JNK1 + 2 + 3 (Thr183+Tyr185) antibody (bs-1640R) Dilution: 1μg /10^6 cells; Isotype Control Antibody (orange line): Rabbit IgG . Secondary Antibody : Goat anti-rabbit IgG-AF647 Dilution: 1μg /test. Protocol The cells were fixed with 4% PFA (10min at room temperature)and then permeabilized with 90% ice-cold methanol for 20 min at-20℃. The cells were then incubated in 5%BSA to block non-specific protein-protein interactions for 30 min at room temperature .Cells stained with Primary Antibody for 30 min at room temperature. The secondary antibody used for 40 min at room temperature. Acquisition of 20,000 events was performed.
版权所有 2004-2026 www.bioss.com.cn 北京博奥森生物技术有限公司
通过国际质量管理体系ISO 9001:2015 GB/T 19001-2016    证书编号: 00124Q34771R2M/1100
通过国际医疗器械-质量管理体系ISO 13485:2016 GB/T 42061-2022     证书编号: CQC24QY20047R0M/1100
京ICP备05066980号-1         京公网安备110107000727号