 
| 产品编号 | bs-1645R | 
| 英文名称 | phospho-Erk1 (Thr202 + Tyr204) Rabbit pAb | 
| 中文名称 | 磷酸化丝裂原活化蛋白激酶1抗体 | 
| 别 名 | Erk1(pT202/pY204); ERK/MAPK(phospho T202/Y204); ERK1(phospho T202); p-ERK1(phospho T202); p44/42 MAP Kinase(phospho-Thr202); ERK; ERK-1; ERT 2; ERT2; Extracellular Signal Regulated Kinase 1; Extracellular signal related kinase 1; Extracellular signal-regulated kinase 1; HGNC6877; HS44KDAP; HUMKER1A; Insulin Stimulated MAP2 Kinase; Insulin-stimulated MAP2 kinase; MAP kinase 1; MAP kinase 3; MAP Kinase; MAP kinase isoform p44; MAPK 1; MAPK 3; MAPK; MAPK1; Mapk3; MGC20180; Microtubule Associated Protein 2 Kinase; Microtubule-associated protein 2 kinase; Mitogen Activated Protein Kinase 3; Mitogen-activated protein kinase 1; Mitogen-activated protein kinase 3; MK03_HUMAN; OTTHUMP00000174538; OTTHUMP00000174541; p44 ERK1; p44 MAPK; p44-ERK1; p44-MAPK; P44ERK1; P44MAPK; PRKM 3; PRKM3; Protein Kinase Mitogen Activated 3. | 
|  | Specific References  (3)     |     bs-1645R has been referenced in 3 publications. 
[IF=3.352] Yusong Miao. et al. Methylsulfonylmethane ameliorates inflammation via NF-κB and ERK/JNK-MAPK signaling pathway in chicken trachea and HD11 cells during Mycoplasma gallisepticum infection. Poultry Sci. 2022 Jan;:101706  WB ;  Chicken.   
[IF=1.713] Jian Wang. et al. Lactobacillus salivarius ameliorated Mycoplasma gallisepticum-induced inflammatory injury and secondary Escherichia coli infection in chickens: Involvement of intestinal microbiota. Vet Immunol Immunop. 2021 Mar;233:110192  WB ;  Chicken.   
[IF=1.713] Jian Wang. et al. A respiratory commensal bacterium acts as a risk factor for Mycoplasma gallisepticum infection in chickens. Vet Immunol Immunop. 2020 Dec;230:110127  WB ;  Chicken.   | 
| 产品类型 | 磷酸化抗体 | 
| 研究领域 | 免疫学 神经生物学 信号转导 干细胞 激酶和磷酸酶 | 
| 抗体来源 | Rabbit | 
| 克隆类型 | Polyclonal | 
| 克 隆 号 | |
| 交叉反应 | Human,Mouse,Rat (predicted: Rabbit,Cow,Chicken,Dog,GuineaPig,Horse) | 
| 产品应用 | IHC-P=1:100-500,IHC-F=1:100-500,IF=1:100-500,Flow-Cyt=2ug/Test not yet tested in other applications. optimal dilutions/concentrations should be determined by the end user. | 
| 理论分子量 | 43 kDa | 
| 检测分子量 | |
| 细胞定位 | 细胞浆 | 
| 性 状 | Liquid | 
| 浓 度 | 1mg/ml | 
| 免 疫 原 | KLH conjugated Synthesised phosphopeptide derived from rat ERK1 around the phosphorylation site of Thr201/204: FL(p-T)E(p-Y)VA | 
| 亚 型 | IgG | 
| 纯化方法 | affinity purified by Protein A | 
| 缓 冲 液 | 0.01M TBS (pH7.4) with 1% BSA, 0.02% Proclin300 and 50% Glycerol. | 
| 保存条件 | Shipped at 4℃. Store at -20℃ for one year. Avoid repeated freeze/thaw cycles. | 
| 注意事项 | This product as supplied is intended for research use only, not for use in human, therapeutic or diagnostic applications. | 
| PubMed | PubMed | 
| 产品介绍 | The protein encoded by this gene is a member of the MAP kinase family. MAP kinases, also known as extracellular signal-regulated kinases (ERKs), act in a signaling cascade that regulates various cellular processes such as proliferation, differentiation, and cell cycle progression in response to a variety of extracellular signals. This kinase is activated by upstream kinases, resulting in its translocation to the nucleus where it phosphorylates nuclear targets. Alternatively spliced transcript variants encoding different protein isoforms have been described. Function: Serine/threonine kinase which acts as an essentialcomponent of the MAP kinase signal transduction pathway. MAPK1/ERK2and MAPK3/ERK1 are the 2 MAPKs which play an important role in theMAPK/ERK cascade. They participate also in a signaling cascadeinitiated by activated KIT and KITLG/SCF. Depending on the cellularcontext, the MAPK/ERK cascade mediates diverse biological functionssuch as cell growth, adhesion, survival and differentiation throughthe regulation of transcription, translation, cytoskeletalrearrangements. The MAPK/ERK cascade plays also a role ininitiation and regulation of meiosis, mitosis, and postmitoticfunctions in differentiated cells by phosphorylating a number oftranscription factors. About 160 substrates have already beendiscovered for ERKs. Many of these substrates are localized in thenucleus, and seem to participate in the regulation of transcriptionupon stimulation. However, other substrates are found in thecytosol as well as in other cellular organelles, and those areresponsible for processes such as translation, mitosis andapoptosis. Moreover, the MAPK/ERK cascade is also involved in theregulation of the endosomal dynamics, including lysosome processingand endosome cycling through the perinuclear recycling compartment(PNRC); as well as in the fragmentation of the Golgi apparatusduring mitosis. The substrates include transcription factors (suchas ATF2, BCL6, ELK1, ERF, FOS, HSF4 or SPZ1), cytoskeletal elements(such as CANX, CTTN, GJA1, MAP2, MAPT, PXN, SORBS3 or STMN1),regulators of apoptosis (such as BAD, BTG2, CASP9, DAPK1, IER3,MCL1 or PPARG), regulators of translation (such as EIF4EBP1) and avariety of other signaling-related molecules (like ARHGEF2, FRS2 orGRB10). Protein kinases (such as RAF1, RPS6KA1/RSK1, RPS6KA3/RSK2,RPS6KA2/RSK3, RPS6KA6/RSK4, SYK, MKNK1/MNK1, MKNK2/MNK2,RPS6KA5/MSK1, RPS6KA4/MSK2, MAPKAPK3 or MAPKAPK5) and phosphatases(such as DUSP1, DUSP4, DUSP6 or DUSP16) are other substrates whichenable the propagation the MAPK/ERK signal to additional cytosolicand nuclear targets, thereby extending the specificity of thecascade. Subunit: Binds both upstream activators and downstream substratesin multimolecular complexes. Found in a complex with at least BRAF,HRAS1, MAP2K1/MEK1, MAPK3 and RGS14. Interacts with ADAM15, ARRB2,CANX, DAPK1 (via death domain), HSF4, IER3, MAP2K1/MEK1, MORG1,NISCH, PEA15, SGK1 and MKNK2 (By similarity). MKNK2 isoform 1binding prevents from dephosphorylation and inactivation. Interactswith TPR (By similarity). Subcellular Location: Cytoplasm (By similarity). Nucleus.Note=Autophosphorylation at Thr-207 promotes nuclear localization(By similarity). PEA15-binding redirects the biological outcome ofMAPK3 kinase-signaling by sequestering MAPK3 into the cytoplasm (Bysimilarity). Isoform 2: Nucleus. Tissue Specificity: Highest levels within the nervous system,expressed in different tissues, mostly in intestine, placenta andlung. Post-translational modifications: Phosphorylated upon FLT3 and KIT signaling. Ligand-activatedALK induces tyrosine phosphorylation (By similarity).Dephosphorylated by PTPRJ at Tyr-205 (By similarity). Duallyphosphorylated on Thr-203 and Tyr-205, which activates the enzyme. Similarity: Belongs to the protein kinase superfamily. CMGCSer/Thr protein kinase family. MAP kinase subfamily. Contains 1 protein kinase domain. Database links: Entrez Gene: 5594 Human Entrez Gene: 5595 Human SwissProt: P27361 Human SwissProt: P28482 Human | 
| 产品图片 | 
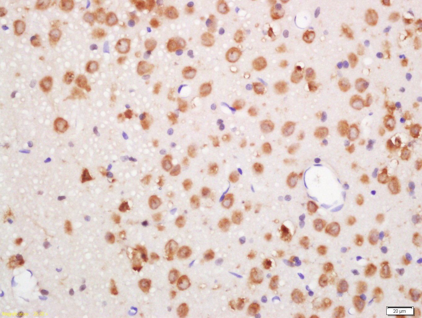
Paraformaldehyde-fixed, paraffin embedded (mouse brain); Antigen retrieval by boiling in sodium citrate buffer (pH6.0) for 15min; Block endogenous peroxidase by 3% hydrogen peroxide for 20 minutes; Blocking buffer (normal goat serum) at 37°C for 30min; Antibody incubation with (phospho-Erk1 (Thr202 + Tyr204)) Polyclonal Antibody, Unconjugated (bs-1645R) at 1:200 overnight at 4°C, followed by operating according to SP Kit(Rabbit) (sp-0023) instructionsand DAB staining.
 
Paraformaldehyde-fixed, paraffin embedded (rat brain); Antigen retrieval by boiling in sodium citrate buffer (pH6.0) for 15min; Block endogenous peroxidase by 3% hydrogen peroxide for 20 minutes; Blocking buffer (normal goat serum) at 37°C for 30min; Antibody incubation with (phospho-Erk1 (Thr202 + Tyr204)) Polyclonal Antibody, Unconjugated (bs-1645R) at 1:200 overnight at 4°C, followed by operating according to SP Kit(Rabbit) (sp-0023) instructionsand DAB staining.
 
Tissue/cell: rat brain tissue; 4% Paraformaldehyde-fixed and paraffin-embedded; 
Antigen retrieval: citrate buffer ( 0.01M, pH 6.0 ), Boiling bathing for 15min; Block endogenous peroxidase by 3% Hydrogen peroxide for 30min; Blocking buffer (normal goat serum,C-0005) at 37℃ for 20 min; 
Incubation: Anti-phospho-Erk1(Thr202+Tyr204) Polyclonal Antibody, Unconjugated(bs-1645R) 1:200, overnight at 4°C, followed by conjugation to the secondary antibody(SP-0023) and DAB(C-0010) staining
 
Blank control:MCF7.  
Primary Antibody (green line): Rabbit Anti-phospho-Erk1 (Thr202 + Tyr204) antibody (bs- 1645R) 
Dilution: 2μg /10^6 cells;  
Isotype Control Antibody (orange line): Rabbit IgG . 
Secondary Antibody : Goat anti-rabbit IgG-FITC
Dilution: 1μg /test. 
Protocol
The cells were fixed with 4% PFA (10min at room temperature)and then permeabilized with 0.1%PBST for 20 min at room temperature. The cells were then incubated in 5%BSA to block non-specific protein-protein interactions for 30 min at room temperature .Cells stained with Primary Antibody for 30 min at room temperature. The secondary antibody used for 40 min at room temperature. Acquisition of 20,000 events was performed.
 
Blank control (blue line): U251 (blue).  
Primary Antibody (green line): Rabbit Anti-phospho-Erk1 (Thr202 + Tyr204) antibody (bs-1645R) 
Dilution: 3μg /10^6 cells;  
Isotype Control Antibody (orange line): Rabbit IgG . 
Secondary Antibody (white blue line): Goat anti-rabbit IgG-PE
Dilution: 1μg /test. 
Protocol
The cells were fixed with 2% paraformaldehyde (10 min)and then permeabilized with 0.1% PBS-Tween for 20 min at room temperature. Cells stained with Primary Antibody for 30 min at room temperature. The cells were then incubated in 1 X PBS/2%BSA/10% goat serum to block non-specific protein-protein interactions followed by the antibody for 15 min at room temperature. The secondary antibody used for 40 min at room temperature. Acquisition of 20,000 events was performed.
 | 
| 1、抗体溶解方法 | |
| 2、抗体修复方式 | |
| 3、常用试剂的配制 | |
| 4、免疫组化操作步骤 | |
| 5、免疫组化问题解答 | |
| 6、Western Blotting 操作步骤 | |
| 7、Western Blotting 问题解答 | |
| 8、关于肽链的设计 | |
| 9、多肽的溶解与保存 | |
| 10、酶标抗体效价测定程序 | |