扫码关注公众号           扫码咨询技术支持           扫码咨询技术服务
  
客服热线:400-901-9800  客服QQ:4009019800  技术答疑  技术支持  质量反馈  关于我们  联系我们
产品中心-北京博奥森生物技术有限公司
首页 > 产品中心 > 一抗 > 产品信息
HFH4 Rabbit pAb (bs-1775R)  
订购热线:400-901-9800
订购邮箱:sales@bioss.com.cn
订购QQ:  400-901-9800
技术支持:techsupport@bioss.com.cn
50ul/1180.00元
100ul/1980.00元
200ul/2800.00元
大包装/询价

产品编号 bs-1775R
英文名称 HFH4 Rabbit pAb
中文名称 叉头蛋白J1抗体
别    名 Forkhead box protein J1; FOXJ-1; winged helix; FOXJ1; FKHL13; HFH-4; HFH4; MGC35202; forkhead box J1; Forkhead Homologue 4; Forkhead related protein FKHL13; Fox J1; Hepatocyte nuclear factor 3 forkhead homolog 4; HNF-3/forkhead homolog 4; FOXJ1_HUMAN.  
研究领域 肿瘤  转录调节因子  
抗体来源 Rabbit
克隆类型 Polyclonal
克 隆 号
交叉反应 Human,Mouse,Rat (predicted: Rabbit,Cow,Dog)
产品应用 WB=1:500-2000,IHC-P=1:100-500,IHC-F=1:100-500,IF=1:100-500,Flow-Cyt=0.2ug/test
not yet tested in other applications.
optimal dilutions/concentrations should be determined by the end user.
理论分子量 46 kDa
检测分子量
细胞定位 细胞核 
性    状 Liquid
浓    度 1mg/ml
免 疫 原 KLH conjugated synthetic peptide derived from human FOXJ1: 161-260/421 
亚    型 IgG
纯化方法 affinity purified by Protein A
缓 冲 液 0.01M TBS (pH7.4) with 1% BSA, 0.02% Proclin300 and 50% Glycerol.
保存条件 Shipped at 4℃. Store at -20℃ for one year. Avoid repeated freeze/thaw cycles.
注意事项 This product as supplied is intended for research use only, not for use in human, therapeutic or diagnostic applications.
PubMed PubMed
产品介绍 This gene encodes a member of the forkhead family of transcription factors. Similar genes in zebrafish and mouse have been shown to regulate the transcription of genes that control the production of motile cilia. The mouse ortholog also functions in the determination of left-right asymmetry. Polymorphisms in this gene are associated with systemic lupus erythematosus and allergic rhinitis.[provided by RefSeq, Sep 2009]

Function:
May play an important role in cell fate determination during lung development and in spermatogenesis.

Subcellular Location:
Nucleus.

Tissue Specificity:
Testis, oviduct, lung and brain cortex.

DISEASE:
Genetic variations in FOXJ1 may be associated with susceptibility to allergic rhinitis (ALRH) [MIM:607154]. Allergic rhinitis is a common disease of complex inheritance and is characterized by mucosal inflammation caused by allergen exposure.

Similarity:
Contains 1 fork-head DNA-binding domain.

SWISS:
Q92949

Gene ID:
2302

Database links:

Entrez Gene: 2302 Human

Entrez Gene: 15223 Mouse

Entrez Gene: 116557 Rat

Omim: 602291 Human

SwissProt: Q92949 Human

SwissProt: Q61660 Mouse

SwissProt: Q63247 Rat

Unigene: 651204 Human

Unigene: 378938 Mouse

Unigene: 202954 Rat



产品图片
Sample: Testis (Mouse) Lysate at 40 ug Testis (Rat) Lysate at 40 ug Primary: Anti-HFH4 (bs-1775R) at 1/1000 dilution Secondary: IRDye800CW Goat Anti-Rabbit IgG at 1/20000 dilution Predicted band size: 46 kD Observed band size: 50 kD
Sample: Lane 1: Mouse Testis Lysates Lane 2: Mouse Brain Lysates Lane 3: Rat Testis Lysates Lane 4: Rat Brain Lysates Lane 5: Human HepG2 cell Lysates Primary: Anti-HFH4 (bs-1775R) at 1/1000 dilution Secondary: IRDye800CW Goat Anti-Rabbit IgG at 1/20000 dilution Predicted band size: 46kDa Observed band size: 50kDa
Paraformaldehyde-fixed, paraffin embedded (human brain glioma); Antigen retrieval by boiling in sodium citrate buffer (pH6.0) for 15min; Block endogenous peroxidase by 3% hydrogen peroxide for 20 minutes; Blocking buffer (normal goat serum) at 37°C for 30min; Antibody incubation with (HFH4) Polyclonal Antibody, Unconjugated (bs-1775R) at 1:400 overnight at 4°C, followed by operating according to SP Kit(Rabbit) (sp-0023) instructionsand DAB staining.
Paraformaldehyde-fixed, paraffin embedded (mouse testis tissue); Antigen retrieval by boiling in sodium citrate buffer (pH6.0) for 15min; Block endogenous peroxidase by 3% hydrogen peroxide for 20 minutes; Blocking buffer (normal goat serum) at 37°C for 30min; Antibody incubation with (HFH4) Polyclonal Antibody, Unconjugated (bs-1775R) at 1:400 overnight at 4°C, followed by operating according to SP Kit(Rabbit) (sp-0023) instructionsand DAB staining.
Paraformaldehyde-fixed, paraffin embedded (Rat brain); Antigen retrieval by boiling in sodium citrate buffer (pH6.0) for 15min; Block endogenous peroxidase by 3% hydrogen peroxide for 20 minutes; Blocking buffer (normal goat serum) at 37°C for 30min; Antibody incubation with (HFH4) Polyclonal Antibody, Unconjugated (bs-1775R) at 1:400 overnight at 4°C, followed by operating according to SP Kit(Rabbit) (sp-0023) instructionsand DAB staining.
Paraformaldehyde-fixed, paraffin embedded (mouse brain); Antigen retrieval by boiling in sodium citrate buffer (pH6.0) for 15min; Block endogenous peroxidase by 3% hydrogen peroxide for 20 minutes; Blocking buffer (normal goat serum) at 37°C for 30min; Antibody incubation with (HFH4) Polyclonal Antibody, Unconjugated (bs-1775R) at 1:200 overnight at 4°C, followed by operating according to SP Kit(Rabbit) (sp-0023) instructionsand DAB staining.
Paraformaldehyde-fixed, paraffin embedded (rat testis); Antigen retrieval by boiling in sodium citrate buffer (pH6.0) for 15min; Block endogenous peroxidase by 3% hydrogen peroxide for 20 minutes; Blocking buffer (normal goat serum) at 37°C for 30min; Antibody incubation with (HFH4) Polyclonal Antibody, Unconjugated (bs-1775R) at 1:200 overnight at 4°C, followed by operating according to SP Kit(Rabbit) (sp-0023) instructionsand DAB staining.
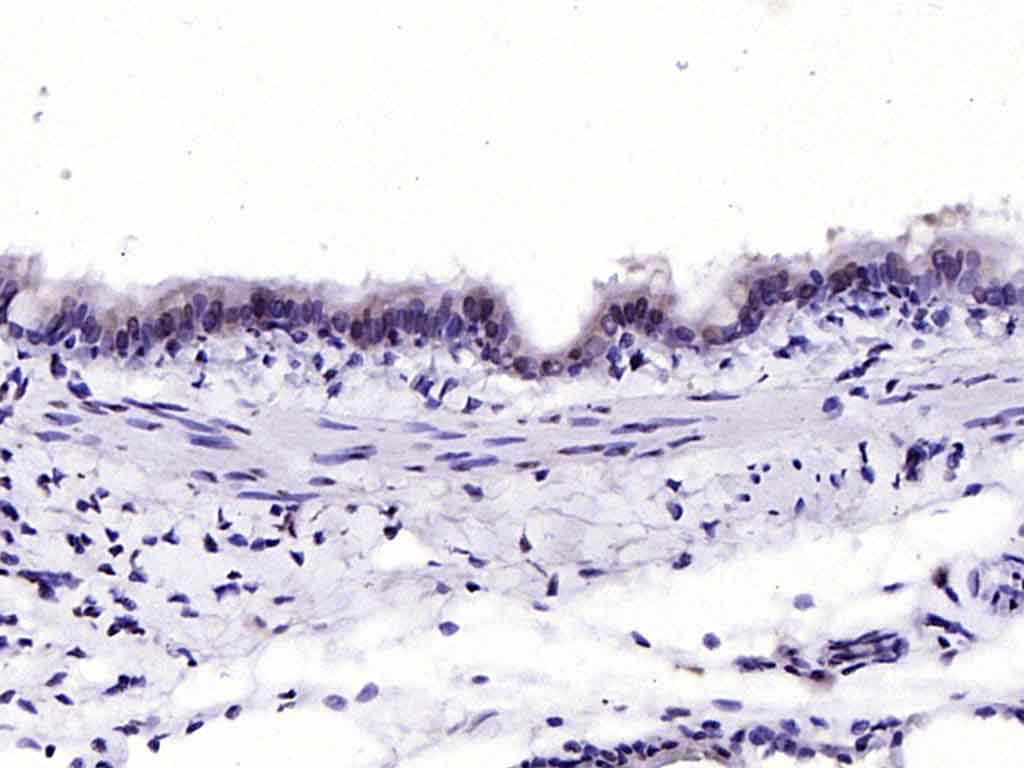
Paraformaldehyde-fixed, paraffin embedded (rat lung); Antigen retrieval by boiling in sodium citrate buffer (pH6.0) for 15min; Block endogenous peroxidase by 3% hydrogen peroxide for 20 minutes; Blocking buffer (normal goat serum) at 37°C for 30min; Antibody incubation with (HFH4) Polyclonal Antibody, Unconjugated (bs-1775R) at 1:200 overnight at 4°C, followed by operating according to SP Kit(Rabbit) (sp-0023) instructionsand DAB staining.
Paraformaldehyde-fixed, paraffin embedded (rat brain); Antigen retrieval by boiling in sodium citrate buffer (pH6.0) for 15min; Block endogenous peroxidase by 3% hydrogen peroxide for 20 minutes; Blocking buffer (normal goat serum) at 37°C for 30min; Antibody incubation with (HFH4) Polyclonal Antibody, Unconjugated (bs-1775R) at 1:200 overnight at 4°C, followed by operating according to SP Kit(Rabbit) (sp-0023) instructionsand DAB staining.
Paraformaldehyde-fixed, paraffin embedded (Mouse brain); Antigen retrieval by boiling in sodium citrate buffer (pH6.0) for 15min; Block endogenous peroxidase by 3% hydrogen peroxide for 20 minutes; Blocking buffer (normal goat serum) at 37°C for 30min; Antibody incubation with (HFH4) Polyclonal Antibody, Unconjugated (bs-1775R) at 1:400 overnight at 4°C, followed by operating according to SP Kit(Rabbit) (sp-0023) instructionsand DAB staining.
Paraformaldehyde-fixed, paraffin embedded (Rat brain); Antigen retrieval by boiling in sodium citrate buffer (pH6.0) for 15min; Block endogenous peroxidase by 3% hydrogen peroxide for 20 minutes; Blocking buffer (normal goat serum) at 37°C for 30min; Antibody incubation with (FOXJ1) Polyclonal Antibody, Unconjugated (bs-1775R) at 1:400 overnight at 4°C, followed by a conjugated secondary antibody (bs-0295G-FITC) for 90 minutes, and DAPI for nuclei staining.
U-937 cells were fixed with 4% PFA for 10min at room temperature,permeabilized with 90% ice-cold methanol for 20 min at room temperature, and incubated in 5% BSA blocking buffer for 30 min at room temperature. Cells were then stained with HFH4 Antibody(bs-1775R)at 1:500 dilution in blocking buffer and incubated for 30 min at room temperature, washed twice with 2%BSA in PBS, followed by secondary antibody incubation for 40 min at room temperature. Acquisitions of 20,000 events were performed. Cells stained with primary antibody (green), and isotype control (orange).
版权所有 2004-2026 www.bioss.com.cn 北京博奥森生物技术有限公司
通过国际质量管理体系ISO 9001:2015 GB/T 19001-2016    证书编号: 00124Q34771R2M/1100
通过国际医疗器械-质量管理体系ISO 13485:2016 GB/T 42061-2022     证书编号: CQC24QY20047R0M/1100
京ICP备05066980号-1         京公网安备110107000727号