扫码关注公众号           扫码咨询技术支持           扫码咨询技术服务
  
客服热线:400-901-9800  客服QQ:4009019800  技术答疑  技术支持  质量反馈  人才招聘  关于我们  联系我们
产品中心-北京博奥森生物技术有限公司
首页 > 产品中心 > 一抗 > 产品信息
LDHA Rabbit pAb (bs-1810R)  
订购热线:400-901-9800
订购邮箱:sales@bioss.com.cn
订购QQ:  400-901-9800
技术支持:techsupport@bioss.com.cn
50ul/1180.00元
100ul/1980.00元
200ul/2800.00元
大包装/询价

产品编号 bs-1810R
英文名称 LDHA Rabbit pAb
中文名称 乳酸脱氢酶抗体
别    名 GSD11; HEL-S-133P; LDHM; PIG19; Ldh1; l7R2; CDK1; LDHA_HUMAN; LDHA; LDH-A; Cell proliferation-inducing gene 19 protein; LDH muscle subunit (LDH-M); Renal carcinoma antigen NY-REN-59; 1.1.1.27; LDHA_MOUSE; Ldh-1; LDHA_RAT;   
Specific References  (1)     |     bs-1810R has been referenced in 1 publications.
[IF=2.136]  Yu CL et al. AMP-activated protein kinase negatively regulates heat treatment-induced lactate secretion in cultured boar sertoli cells. Theriogenology. 2018 Nov;121:35-41.  WB ;  boar.  
研究领域 肿瘤  细胞生物  信号转导  激酶和磷酸酶  肿瘤细胞生物标志物  
抗体来源 Rabbit
克隆类型 Polyclonal
克 隆 号
交叉反应 Mouse,Rat (predicted: Human,Rabbit,Pig,Sheep,Cow)
产品应用 IHC-P=1:400-800,IHC-F=1:400-800,IF=1:100-500,ELISA=1:5000-10000
not yet tested in other applications.
optimal dilutions/concentrations should be determined by the end user.
理论分子量 37 kDa
细胞定位 细胞浆 
性    状 Liquid
浓    度 1mg/ml
免 疫 原 KLH conjugated synthetic peptide derived from human LDHA: 261-361/361 
亚    型 IgG
纯化方法 affinity purified by Protein A
缓 冲 液 0.01M TBS (pH7.4) with 1% BSA, 0.02% Proclin300 and 50% Glycerol.
保存条件 Shipped at 4℃. Store at -20℃ for one year. Avoid repeated freeze/thaw cycles.
注意事项 This product as supplied is intended for research use only, not for use in human, therapeutic or diagnostic applications.
PubMed PubMed
产品介绍 The protein encoded by this gene catalyzes the conversion of L-lactate and NAD to pyruvate and NADH in the final step of anaerobic glycolysis. The protein is found predominantly in muscle tissue and belongs to the lactate dehydrogenase family. Mutations in this gene have been linked to exertional myoglobinuria. Multiple transcript variants encoding different isoforms have been found for this gene. The human genome contains several non-transcribed pseudogenes of this gene. [provided by RefSeq].

Subunit:
Homotetramer.

Subcellular Location:
Cytoplasm.

Post-translational modifications:
ISGylated.

DISEASE:
Glycogen storage disease 11 (GSD11) [MIM:612933]: A metabolic disorder that results in exertional myoglobinuria, pain, cramps and easy fatigue. Note=The disease is caused by mutations affecting the gene represented in this entry.

Similarity:
Belongs to the LDH/MDH superfamily. LDH family.

SWISS:
P00338

Gene ID:
3939

Database links:

Entrez Gene: 3939 Human

Entrez Gene: 16828 Mouse

Entrez Gene: 24533 Rat

Omim: 150000 Human

SwissProt: P00338 Human

SwissProt: P06151 Mouse

SwissProt: P04642 Rat

Unigene: 2795 Human

Unigene: 29324 Mouse

Unigene: 107896 Rat



产品图片
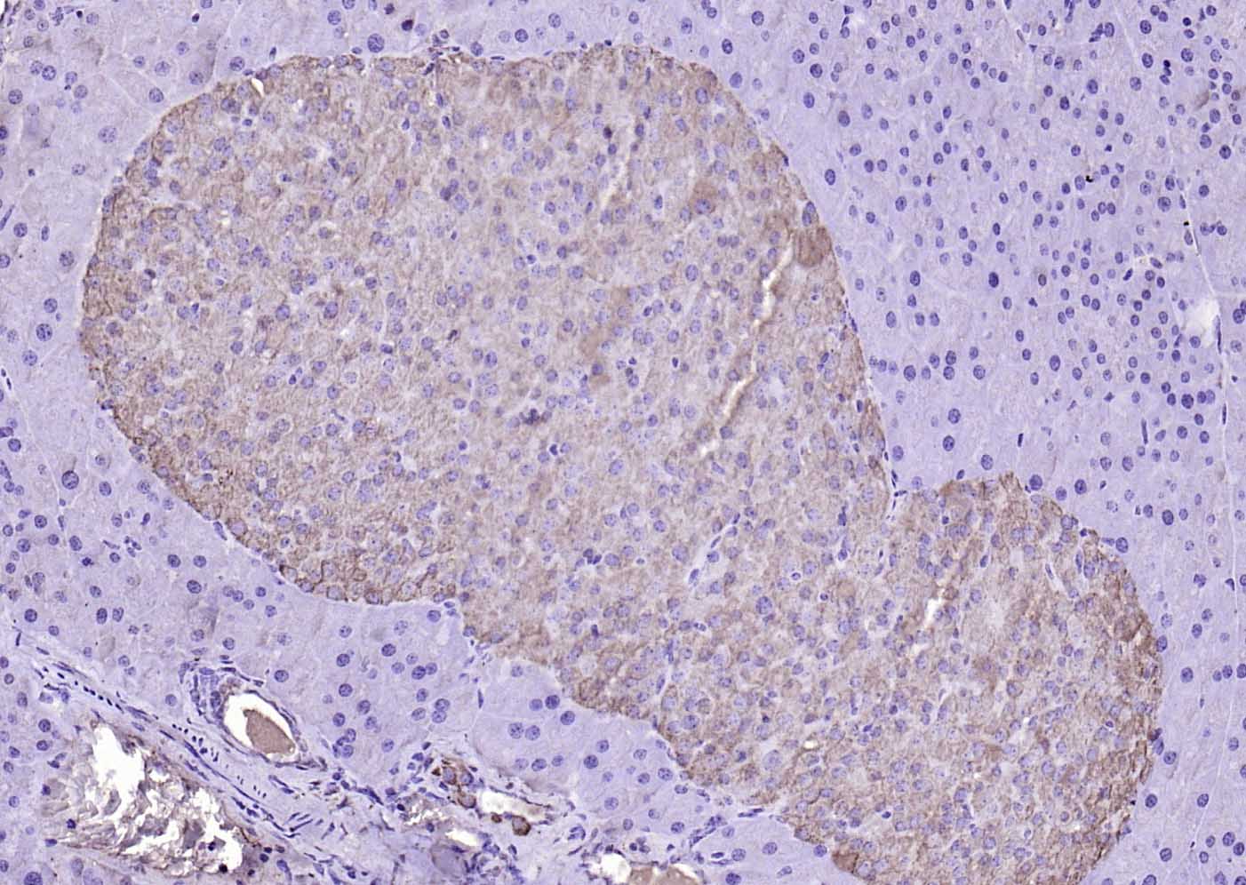
Paraformaldehyde-fixed, paraffin embedded (rat pancreas); Antigen retrieval by boiling in sodium citrate buffer (pH6.0) for 15min; Block endogenous peroxidase by 3% hydrogen peroxide for 20 minutes; Blocking buffer (normal goat serum) at 37°C for 30min; Antibody incubation with (LDHA) Polyclonal Antibody, Unconjugated (bs-1810R) at 1:200 overnight at 4°C, followed by operating according to SP Kit(Rabbit) (sp-0023) instructionsand DAB staining.
Paraformaldehyde-fixed, paraffin embedded (mouse pancreas); Antigen retrieval by boiling in sodium citrate buffer (pH6.0) for 15min; Block endogenous peroxidase by 3% hydrogen peroxide for 20 minutes; Blocking buffer (normal goat serum) at 37°C for 30min; Antibody incubation with (LDHA) Polyclonal Antibody, Unconjugated (bs-1810R) at 1:200 overnight at 4°C, followed by operating according to SP Kit(Rabbit) (sp-0023) instructionsand DAB staining.
版权所有 2004-2026 www.bioss.com.cn 北京博奥森生物技术有限公司
通过国际质量管理体系ISO 9001:2015 GB/T 19001-2016    证书编号: 00124Q34771R2M/1100
通过国际医疗器械-质量管理体系ISO 13485:2016 GB/T 42061-2022     证书编号: CQC24QY20047R0M/1100
京ICP备05066980号-1         京公网安备110107000727号