扫码关注公众号           扫码咨询技术支持           扫码咨询技术服务
  
客服热线:400-901-9800  客服QQ:4009019800  技术答疑  技术支持  质量反馈  人才招聘  关于我们  联系我们
产品中心-北京博奥森生物技术有限公司
首页 > 产品中心 > 一抗 > 产品信息
Notch3 Rabbit pAb (bs-1812R)  
订购热线:400-901-9800
订购邮箱:sales@bioss.com.cn
订购QQ:  400-901-9800
技术支持:techsupport@bioss.com.cn
50ul/1180.00元
100ul/1980.00元
200ul/2800.00元
大包装/询价

产品编号 bs-1812R
英文名称 Notch3 Rabbit pAb
中文名称 跨膜受体蛋白Notch-3抗体
别    名 CADASIL; CADASIL1; CARASIL1; CASIL; FPLD1; IMF2; LMNS; N3; hpbk; NOTC3_HUMAN; NOTCH3; Notch 3; NOTC3_MOUSE; NOTC3_RAT;   
Specific References  (2)     |     bs-1812R has been referenced in 2 publications.
[IF=17.521] Hao Sun. et al. Silencing of NOTCH3 Signaling in Meniscus Smooth Muscle Cells Inhibits Fibrosis and Exacerbates Degeneration in a HEYL-Dependent Manner. Advanced Science. 2023 Apr;:2207020  IHC,IF ;  Human.  
[IF=1.984] Zhan J et al. In Vivo Study on the Effects of Xiaoaiping on the Stemness of Hepatocellular Carcinoma Cells. Evid Based Complement Alternat Med. 2019 Jun 23;2019:4738243.  WB ;  Human.  
研究领域 染色质和核信号  神经生物学  干细胞  
抗体来源 Rabbit
克隆类型 Polyclonal
克 隆 号
交叉反应 Human,Mouse,Rat
产品应用 IHC-P=1:100-500,IHC-F=1:100-500,IF=1:100-500,Flow-Cyt=1ug/Test
not yet tested in other applications.
optimal dilutions/concentrations should be determined by the end user.
理论分子量 255 kDa
细胞定位 细胞核 细胞膜 
性    状 Liquid
浓    度 1mg/ml
免 疫 原 KLH conjugated synthetic peptide derived from mouse Notch3: 2001-2100/2318 
亚    型 IgG
纯化方法 affinity purified by Protein A
缓 冲 液 0.01M TBS (pH7.4) with 1% BSA, 0.02% Proclin300 and 50% Glycerol.
保存条件 Shipped at 4℃. Store at -20℃ for one year. Avoid repeated freeze/thaw cycles.
注意事项 This product as supplied is intended for research use only, not for use in human, therapeutic or diagnostic applications.
PubMed PubMed
产品介绍 This gene encodes the third discovered human homologue of the Drosophilia melanogaster type I membrane protein notch. In Drosophilia, notch interaction with its cell-bound ligands (delta, serrate) establishes an intercellular signalling pathway that plays a key role in neural development. Homologues of the notch-ligands have also been identified in human, but precise interactions between these ligands and the human notch homologues remains to be determined. Mutations in NOTCH3 have been identified as the underlying cause of cerebral autosomal dominant arteriopathy with subcortical infarcts and leukoencephalopathy (CADASIL). [provided by RefSeq, Jul 2008]

Function:
Functions as a receptor for membrane-bound ligands Jagged1, Jagged2 and Delta1 to regulate cell-fate determination. Upon ligand activation through the released notch intracellular domain (NICD) it forms a transcriptional activator complex with RBPJ/RBPSUH and activates genes of the enhancer of split locus. Affects the implementation of differentiation, proliferation and apoptotic programs.

Subunit:
Heterodimer of a C-terminal fragment N(TM) and a N-terminal fragment N(EC) which are probably linked by disulfide bonds. Interacts with MAML1, MAML2 and MAML3 which act as transcriptional coactivators for NOTCH3. Interacts with PSMA1. Interacts with HIF1AN.

Subcellular Location:
Cell membrane; Single-pass type I membrane protein.
Notch 3 intracellular domain: Nucleus. Note=Following proteolytical processing NICD is translocated to the nucleus.

Tissue Specificity:
Ubiquitously expressed in fetal and adult tissues.

Post-translational modifications:
Synthesized in the endoplasmic reticulum as an inactive form which is proteolytically cleaved by a furin-like convertase in the trans-Golgi network before it reaches the plasma membrane to yield an active, ligand-accessible form. Cleavage results in a C-terminal fragment N(TM) and a N-terminal fragment N(EC). Following ligand binding, it is cleaved by TNF-alpha converting enzyme (TACE) to yield a membrane-associated intermediate fragment called notch extracellular truncation (NEXT). This fragment is then cleaved by presenilin dependent gamma-secretase to release a notch-derived peptide containing the intracellular domain (NICD) from the membrane.
Phosphorylated.
Hydroxylated by HIF1AN.

DISEASE:
Cerebral arteriopathy with subcortical infarcts and leukoencephalopathy, autosomal dominant (CADASIL) [MIM:125310]: A cerebrovascular disease characterized by multiple subcortical infarcts, pseudobulbar palsy, dementia, and the presence of granular deposits in small cerebral arteries producing ischemic stroke. Note=The disease is caused by mutations affecting the gene represented in this entry.
Myofibromatosis, infantile 2 (IMF2) [MIM:615293]: A rare mesenchymal disorder characterized by the development of benign tumors in the skin, striated muscles, bones, and, more rarely, visceral organs. Subcutaneous or soft tissue nodules commonly involve the skin of the head, neck, and trunk. Skeletal and muscular lesions occur in about half of the patients. Lesions may be solitary or multicentric, and they may be present at birth or become apparent in early infancy or occasionally in adult life. Visceral lesions are associated with high morbidity and mortality. Note=The disease is caused by mutations affecting the gene represented in this entry.

Similarity:
Belongs to the NOTCH family.
Contains 5 ANK repeats.
Contains 34 EGF-like domains.
Contains 3 LNR (Lin/Notch) repeats.

SWISS:
Q61982

Gene ID:
18131

Database links:

Entrez Gene: 4854 Human

Entrez Gene: 18131 Mouse

Entrez Gene: 56761 Rat

Omim: 600276 Human

SwissProt: Q9UM47 Human

SwissProt: Q61982 Mouse

SwissProt: Q9R172 Rat

Unigene: 8546 Human

Unigene: 439741 Mouse

Unigene: 53876 Rat



Notch3是保守的Ⅰ型跨膜受体,Notch3信号通路在机体发育过程中调控细胞生长、分化和凋亡等多种重要生物学过程。
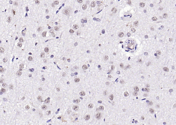
产品图片
Paraformaldehyde-fixed, paraffin embedded (mouse brain); Antigen retrieval by boiling in sodium citrate buffer (pH6.0) for 15min; Block endogenous peroxidase by 3% hydrogen peroxide for 20 minutes; Blocking buffer (normal goat serum) at 37°C for 30min; Antibody incubation with (Notch3) Polyclonal Antibody, Unconjugated (bs-1812R) at 1:200 overnight at 4°C, followed by operating according to SP Kit(Rabbit) (sp-0023) instructionsand DAB staining.
Paraformaldehyde-fixed, paraffin embedded (rat liver tissue); Antigen retrieval by boiling in sodium citrate buffer (pH6.0) for 15min; Block endogenous peroxidase by 3% hydrogen peroxide for 20 minutes; Blocking buffer (normal goat serum) at 37°C for 30min; Antibody incubation with (Notch3) Polyclonal Antibody, Unconjugated (bs-1812R) at 1:400 overnight at 4°C, followed by a conjugated secondary (sp-0023) for 20 minutes and DAB staining.
Paraformaldehyde-fixed, paraffin embedded (mouse brain); Antigen retrieval by boiling in sodium citrate buffer (pH6.0) for 15min; Block endogenous peroxidase by 3% hydrogen peroxide for 20 minutes; Blocking buffer (normal goat serum) at 37°C for 30min; Antibody incubation with (Notch3) Polyclonal Antibody, Unconjugated (bs-1812R) at 1:200 overnight at 4°C, followed by operating according to SP Kit(Rabbit) (sp-0023) instructionsand DAB staining.
Paraformaldehyde-fixed, paraffin embedded (mouse kidney); Antigen retrieval by boiling in sodium citrate buffer (pH6.0) for 15min; Block endogenous peroxidase by 3% hydrogen peroxide for 20 minutes; Blocking buffer (normal goat serum) at 37°C for 30min; Antibody incubation with (Notch3) Polyclonal Antibody, Unconjugated (bs-1812R) at 1:200 overnight at 4°C, followed by operating according to SP Kit(Rabbit) (sp-0023) instructionsand DAB staining.
Paraformaldehyde-fixed, paraffin embedded (rat brain); Antigen retrieval by boiling in sodium citrate buffer (pH6.0) for 15min; Block endogenous peroxidase by 3% hydrogen peroxide for 20 minutes; Blocking buffer (normal goat serum) at 37°C for 30min; Antibody incubation with (Notch3) Polyclonal Antibody, Unconjugated (bs-1812R) at 1:200 overnight at 4°C, followed by operating according to SP Kit(Rabbit) (sp-0023) instructionsand DAB staining.
Blank control: SH-SY5Y. Primary Antibody (green line): Rabbit Anti-Notch3 antibody (bs-1812R) Dilution: 1ug/Test; Secondary Antibody : Goat anti-rabbit IgG-FITC Dilution: 0.5ug/Test. Protocol The cells were fixed with 4% PFA (10min at room temperature)and then permeabilized with 90% ice-cold methanol for 20 min at -20℃.The cells were then incubated in 5%BSA to block non-specific protein-protein interactions for 30 min at room temperature .Cells stained with Primary Antibody for 30 min at room temperature. The secondary antibody used for 40 min at room temperature. Acquisition of 20,000 events was performed.
版权所有 2004-2026 www.bioss.com.cn 北京博奥森生物技术有限公司
通过国际质量管理体系ISO 9001:2015 GB/T 19001-2016    证书编号: 00124Q34771R2M/1100
通过国际医疗器械-质量管理体系ISO 13485:2016 GB/T 42061-2022     证书编号: CQC24QY20047R0M/1100
京ICP备05066980号-1         京公网安备110107000727号