扫码关注公众号           扫码咨询技术支持           扫码咨询技术服务
  
客服热线:400-901-9800  客服QQ:4009019800  技术答疑  技术支持  质量反馈  关于我们  联系我们
产品中心-北京博奥森生物技术有限公司
首页 > 产品中心 > 一抗 > 产品信息
Mitofilin Rabbit pAb (bs-1824R)  
订购热线:400-901-9800
订购邮箱:sales@bioss.com.cn
订购QQ:  400-901-9800
技术支持:techsupport@bioss.com.cn
50ul/1180.00元
100ul/1980.00元
200ul/2800.00元
大包装/询价

产品编号 bs-1824R
英文名称 Mitofilin Rabbit pAb
中文名称 线粒体内膜蛋白抗体
别    名 Cell proliferation inducing protein 52; Cell proliferation-inducing gene 4/52 protein; HMP; IMMT; IMMT_HUMAN; Inner membrane protein mitochondrial; Inner mitochrondial membrane; MINOS2; Mitochondrial inner membrane organizing system 2; Mitochondrial inner membrane protein; Mitofilin; Motor protein; p87; p87/89; p89; pig4; PIG52; Proliferation-inducing gene 4; MICOS complex subunit MIC60.  
Specific References  (2)     |     bs-1824R has been referenced in 2 publications.
[IF=2.752] Yuliang Wen. et al. Changes in the Mitochondrial Dynamics and Functions Together with the mRNA/miRNA Network in the Heart Tissue Contribute to Hypoxia Adaptation in Tibetan Sheep. Animals-Basel. 2022 Jan;12(5):583  IHC ;  Sheep.  
[IF=2.323] Guan Wang. et al. Effects of Aging on Expression of Mic60 and OPA1 and Mitochondrial Morphology in Myocardium of Tibetan Sheep. Animals-Basel. 2020 Nov;10(11):2160  IHC ;  Sheep.  
研究领域 心血管  信号转导  线粒体  
抗体来源 Rabbit
克隆类型 Polyclonal
克 隆 号
交叉反应 Human,Mouse,Rat (predicted: Cow,Dog)
产品应用 WB=1:500-2000,IHC-P=1:100-500,IHC-F=1:100-500,IF=1:100-500,ICC/IF=1:100-500
not yet tested in other applications.
optimal dilutions/concentrations should be determined by the end user.
理论分子量 84 kDa
检测分子量
细胞定位 细胞浆 细胞膜 线粒体
性    状 Liquid
浓    度 1mg/ml
免 疫 原 KLH conjugated synthetic peptide derived from human Mitofilin: 241-340/758 
亚    型 IgG
纯化方法 affinity purified by Protein A
缓 冲 液 0.01M TBS (pH7.4) with 1% BSA, 0.02% Proclin300 and 50% Glycerol.
保存条件 Shipped at 4℃. Store at -20℃ for one year. Avoid repeated freeze/thaw cycles.
注意事项 This product as supplied is intended for research use only, not for use in human, therapeutic or diagnostic applications.
PubMed PubMed
产品介绍 Mitochondria are the center of cellular energy production and essential metabolic reactions. As double membrane-bound organelles, mitochondria from different species, tissues, and metabolic states are highly polymorphic in nature, yet exhibit common structural features. The ultrastructural variations in mitochondrial architecture occur mainly due to the differences in the amount and shape of cristae. Abundant cristae are found in mitochondria from tissues where energy demand is high. Analysis of the human heart mitochondrial proteome shows that mitofilin is one of the most abundant mitochondrial proteins. It appears to play an important role in the maintenance of cristae morphology. Mitofilin was originally described as heart muscle protein (HMP) because of its high expression in the heart.

Subunit:
Interacts with OPA1, preferentially with the soluble OPA1 form. Component of the MINOS/MitOS complex, that includes IMMT, HSPA9 and CHCHD3 and associates with mitochondrial outer membrane proteins SAMM50, MTX1 and MTX2. Interacts with CHCHD6; the interaction is direct.

Subcellular Location:
Mitochondrion inner membrane.

SWISS:
Q16891

Gene ID:
10989

Database links:

Entrez Gene: 508853 Cow

Entrez Gene: 10989 Human

Entrez Gene: 76614 Mouse

Entrez Gene: 312444 Rat

Omim: 600378 Human

SwissProt: Q16891 Human

SwissProt: Q8CAQ8 Mouse

SwissProt: Q3KR86 Rat

Unigene: 148559 Human

Unigene: 235123 Mouse

Unigene: 47124 Rat



产品图片
Sample: A673(Human) Cell Lysate at 30 ug Primary: Anti-Mitofilin (bs-1824R) at 1/300 dilution Secondary: IRDye800CW Goat Anti-Rabbit IgG at 1/20000 dilution Predicted band size: 68 kD Observed band size: 68 kD
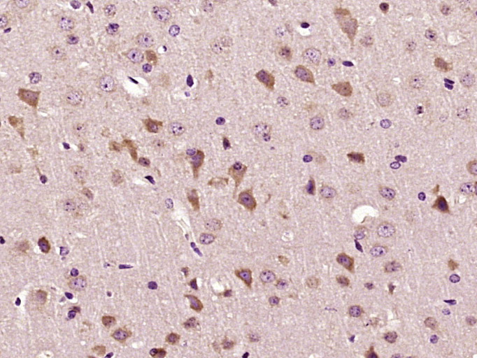
Paraformaldehyde-fixed, paraffin embedded (mouse brain tissue); Antigen retrieval by boiling in sodium citrate buffer (pH6.0) for 15min; Block endogenous peroxidase by 3% hydrogen peroxide for 20 minutes; Blocking buffer (normal goat serum) at 37°C for 30min; Antibody incubation with (Mitofilin) Polyclonal Antibody, Unconjugated (bs-1824R) at 1:400 overnight at 4°C, followed by operating according to SP Kit(Rabbit) (sp-0023) instructionsand DAB staining.
Paraformaldehyde-fixed, paraffin embedded (rat brain tissue); Antigen retrieval by boiling in sodium citrate buffer (pH6.0) for 15min; Block endogenous peroxidase by 3% hydrogen peroxide for 20 minutes; Blocking buffer (normal goat serum) at 37°C for 30min; Antibody incubation with (Mitofilin) Polyclonal Antibody, Unconjugated (bs-1824R) at 1:400 overnight at 4°C, followed by operating according to SP Kit(Rabbit) (sp-0023) instructionsand DAB staining.
Human HepG2 cells fixed with 3.7% Formaldehyde in medium, blocking performed with 10% NGS in 1x PBS buffer + 0.1% Tween20. Incubated with Anti-Mitofilin/IMMT Polyclonal Antibody (bs-1824R) at a 1:10 dilution for 1hr at RT, followed by Anti-Rabbit secondary, Cy3 conjugate at a 1:300 dilution incubated at RT for 1hr. This image was kindly provided by an end-user.
Human HepG2 cells fixed with 3.7% Formaldehyde in medium, blocking performed with 10% NGS in 1x PBS buffer + 0.1% Tween20. Incubated with Anti-Mitofilin/IMMT Polyclonal Antibody (bs-1824R) at a 1:10 dilution for 1hr at RT, followed by Anti-Rabbit secondary, Cy3 conjugate at a 1:300 dilution incubated at RT for 1hr. This image was kindly provided by an end-user.
版权所有 2004-2026 www.bioss.com.cn 北京博奥森生物技术有限公司
通过国际质量管理体系ISO 9001:2015 GB/T 19001-2016    证书编号: 00124Q34771R2M/1100
通过国际医疗器械-质量管理体系ISO 13485:2016 GB/T 42061-2022     证书编号: CQC24QY20047R0M/1100
京ICP备05066980号-1         京公网安备110107000727号