 
| 产品编号 | bs-2047R | 
| 英文名称 | CPT1A Rabbit pAb | 
| 中文名称 | 肉毒碱棕榈酰基转移酶1A抗体 | 
| 别 名 | CPT 1; CPT1A; CPTI-L; CPT1-L; carnitine palmitoyl transferase 1; Carnitine O-palmitoyltransferase 1, liver isoform; CPT I; Carnitine palmitoyltransferase 1A; carnitine O-palmitoyltransferase 1, liver isoform isoform 1; CPT1A_HUMAN. | 
|  | Specific References  (11)     |     bs-2047R has been referenced in 11 publications. | 
| 研究领域 | 肿瘤 免疫学 信号转导 激酶和磷酸酶 线粒体 | 
| 抗体来源 | Rabbit | 
| 克隆类型 | Polyclonal | 
| 克 隆 号 | |
| 交叉反应 | Human,Mouse,Rat | 
| 产品应用 | IHC-P=1:100-500,IHC-F=1:100-500,IF=1:100-500 not yet tested in other applications. optimal dilutions/concentrations should be determined by the end user. | 
| 理论分子量 | 86 kDa | 
| 检测分子量 | |
| 细胞定位 | 细胞浆 线粒体 | 
| 性 状 | Liquid | 
| 浓 度 | 1mg/ml | 
| 免 疫 原 | KLH conjugated synthetic peptide derived from human CPT1A: 1-100/773 | 
| 亚 型 | IgG | 
| 纯化方法 | affinity purified by Protein A | 
| 缓 冲 液 | 0.01M TBS (pH7.4) with 1% BSA, 0.02% Proclin300 and 50% Glycerol. | 
| 保存条件 | Shipped at 4℃. Store at -20℃ for one year. Avoid repeated freeze/thaw cycles. | 
| 注意事项 | This product as supplied is intended for research use only, not for use in human, therapeutic or diagnostic applications. | 
| PubMed | PubMed | 
| 产品介绍 | The mitochondrial oxidation of long-chain fatty acids is nitiated by the sequential action of carnitine palmitoyltransferase I (which is located in the outer membrane and is detergent-labile) and carnitine palmitoyltransferase II (which is located in the inner membrane and is detergent-stable), together with a carnitine-acylcarnitine translocase. CPT I is the key enzyme in the carnitine-dependent transport across the mitochondrial inner membrane and its deficiency results in a decreased rate of fatty acid beta-oxidation. Alternatively spliced transcript variants encoding different isoforms have been found for this gene. [provided by RefSeq, Jul 2008]. Function: Catalyzes the transfer of the acyl group of long-chain fatty acid-CoA conjugates onto carnitine, an essential step for the mitochondrial uptake of long-chain fatty acids and their subsequent beta-oxidation in the mitochondrion. Plays an important role in triglyceride metabolism. Subunit: Homohexamer and homotrimer. Identified in a complex that contains at least CPT1A, ACSL1 and VDAC1. Also identified in complexes with ACSL1 and VDAC2 and VDAC3. Subcellular Location: Mitochondrion outer membrane; Multi-pass membrane protein. Tissue Specificity: Strong expression in kidney and heart, and lower in liver and skeletal muscle. DISEASE: Carnitine palmitoyltransferase 1A deficiency (CPT1AD) [MIM:255120]: Rare autosomal recessive metabolic disorder of long-chain fatty acid oxidation characterized by severe episodes of hypoketotic hypoglycemia usually occurring after fasting or illness. Onset is in infancy or early childhood. Note=The disease is caused by mutations affecting the gene represented in this entry. Similarity: Belongs to the carnitine/choline acetyltransferase family. SWISS: P50416 Gene ID: 1374 Database links: Entrez Gene: 1374 Human Entrez Gene: 12894 Mouse Omim: 600528 Human SwissProt: P50416 Human SwissProt: P97742 Mouse Unigene: 503043 Human Unigene: 18522 Mouse Unigene: 2856 Rat | 
| 产品图片 | 
Paraformaldehyde-fixed, paraffin embedded Human Breast Cancer; Antigen retrieval by boiling in sodium citrate buffer (pH6.0) for 15 min; Antibody incubation with CPT1A Polyclonal Antibody, Unconjugated (bs-2047R) at 1:200 overnight at 4°C, followed by conjugation to the bs-0295G-HRP and DAB (C-0010) staining.
 
Paraformaldehyde-fixed, paraffin embedded Human Ovarian Cancer; Antigen retrieval by boiling in sodium citrate buffer (pH6.0) for 15 min; Antibody incubation with CPT1A Polyclonal Antibody, Unconjugated (bs-2047R) at 1:200 overnight at 4°C, followed by conjugation to the bs-0295G-HRP and DAB (C-0010) staining.
 
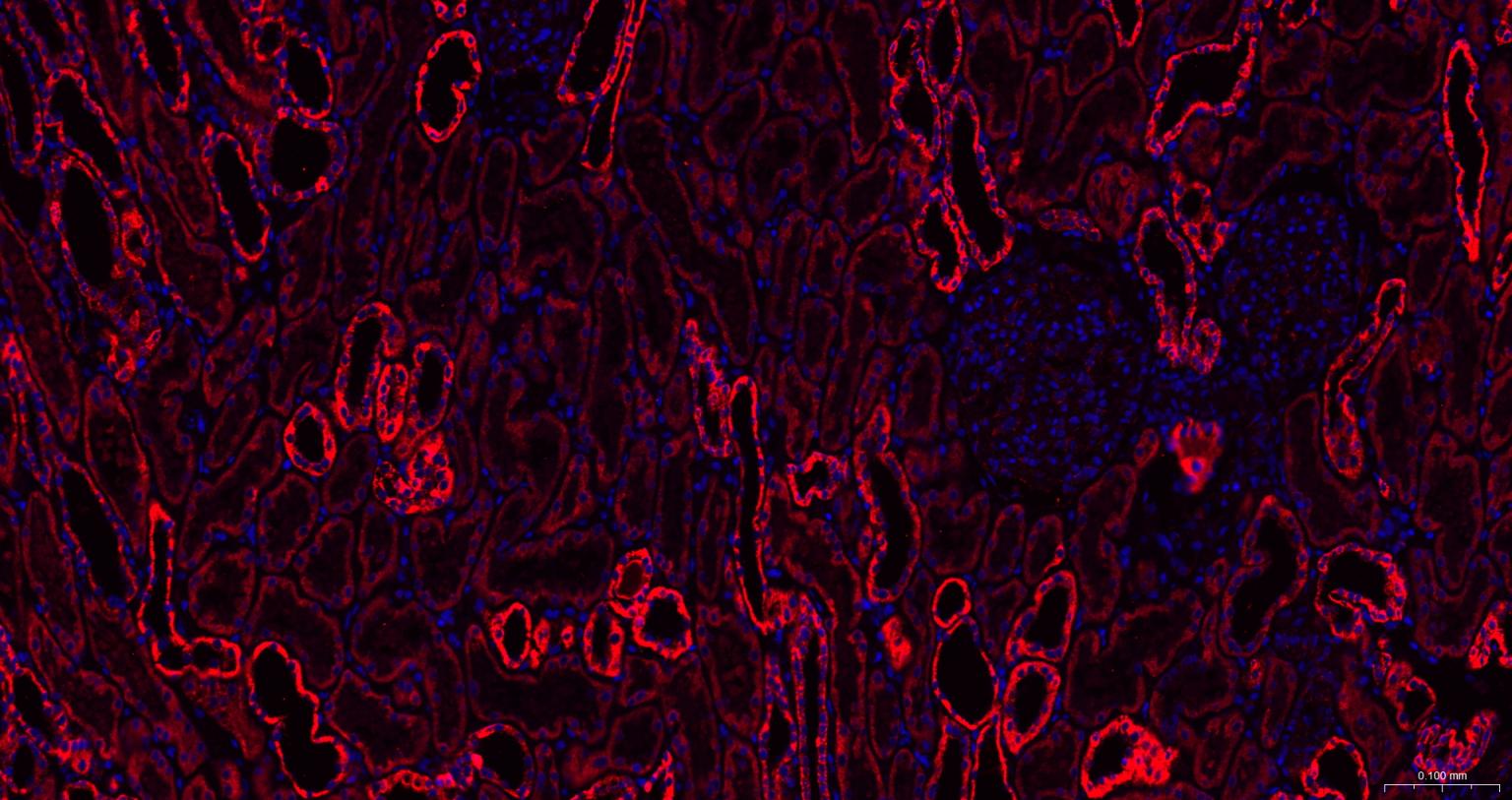
Paraformaldehyde-fixed, paraffin embedded Human Kidney; Antigen retrieval by boiling in sodium citrate buffer (pH6.0) for 15 min; Antibody incubation with CPT1A Polyclonal Antibody, Unconjugated (bs-2047R) at 1:200 overnight at 4°C, followed by conjugation to the bs-0295G-HRP and DAB (C-0010) staining.
 
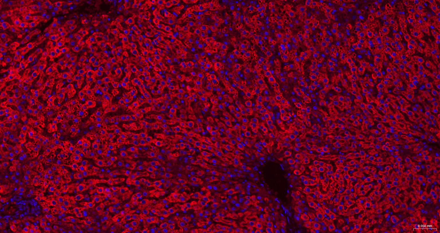
Paraformaldehyde-fixed, paraffin embedded Human Liver; Antigen retrieval by boiling in sodium citrate buffer (pH6.0) for 15 min; Antibody incubation with CPT1A Polyclonal Antibody, Unconjugated (bs-2047R) at 1:200 overnight at 4°C, followed by conjugation to the bs-0295G-HRP and DAB (C-0010) staining.
 
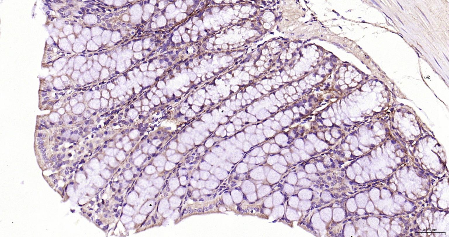
Paraformaldehyde-fixed, paraffin embedded Human Colon; Antigen retrieval by boiling in sodium citrate buffer (pH6.0) for 15 min; Antibody incubation with CPT1A Polyclonal Antibody, Unconjugated (bs-2047R) at 1:200 overnight at 4°C, followed by conjugation to the bs-0295G-HRP and DAB (C-0010) staining.
 
Paraformaldehyde-fixed, paraffin embedded Mouse Colon; Antigen retrieval by boiling in sodium citrate buffer (pH6.0) for 15 min; Antibody incubation with CPT1A Polyclonal Antibody, Unconjugated (bs-2047R) at 1:200 overnight at 4°C, followed by conjugation to the bs-0295G-HRP and DAB (C-0010) staining.
 
Paraformaldehyde-fixed, paraffin embedded Rat Colon; Antigen retrieval by boiling in sodium citrate buffer (pH6.0) for 15 min; Antibody incubation with CPT1A Polyclonal Antibody, Unconjugated (bs-2047R) at 1:200 overnight at 4°C, followed by conjugation to the bs-0295G-HRP and DAB (C-0010) staining.
 | 
| 1、抗体溶解方法 | |
| 2、抗体修复方式 | |
| 3、常用试剂的配制 | |
| 4、免疫组化操作步骤 | |
| 5、免疫组化问题解答 | |
| 6、Western Blotting 操作步骤 | |
| 7、Western Blotting 问题解答 | |
| 8、关于肽链的设计 | |
| 9、多肽的溶解与保存 | |
| 10、酶标抗体效价测定程序 | |