扫码关注公众号           扫码咨询技术支持           扫码咨询技术服务
  
客服热线:400-901-9800  客服QQ:4009019800  技术答疑  技术支持  质量反馈  关于我们  联系我们
产品中心-北京博奥森生物技术有限公司
首页 > 产品中心 > 一抗 > 产品信息
PLAUR Rabbit pAb (bs-1927R)  
订购热线:400-901-9800
订购邮箱:sales@bioss.com.cn
订购QQ:  400-901-9800
技术支持:techsupport@bioss.com.cn
50ul/1180.00元
100ul/1980.00元
200ul/2800.00元
大包装/询价

产品编号 bs-1927R
英文名称 PLAUR Rabbit pAb
中文名称 尿激酶型纤溶酶原激活因子受体(CD87)抗体
别    名 Plasminogen activator, urokinase receptor; Urokinase plasminogen activator surface receptor; Monocyte activation antigen Mo3; U-PAR; U PAR; UPAR; MO3; MO 3; CD 87; CD87; Monocyte activation antigen Mo3; u plasminogen activator receptor; UPA receptor; Urinary plasminogen activator receptor; URKR; Urokinase plasminogen activator receptor;  
Specific References  (2)     |     bs-1927R has been referenced in 2 publications.
[IF=4.344] Daisuke Ito. et al. Systemic and topical administration of spermidine accelerates skin wound healing. Cell Commun Signal. 2021 Dec;19(1):1-12  WB ;  Mouse.  
[IF=3.263] Makuszewska, Maria. et al. Enhanced Expression of Plasminogen Activators and Inhibitor in the Healing of Tympanic Membrane Perforation in Rats. JARO-J ASSOC RES OTO. 2023 Feb;:1-12  IF,WB ;  Rat.  
研究领域 肿瘤  心血管  细胞生物  免疫学  信号转导  细胞膜受体  
抗体来源 Rabbit
克隆类型 Polyclonal
克 隆 号
交叉反应 Mouse,Rat (predicted: Human,Sheep,Cow,Dog)
产品应用 WB=1:500-2000,IHC-P=1:100-500,IHC-F=1:100-500,IF=1:100-500
not yet tested in other applications.
optimal dilutions/concentrations should be determined by the end user.
理论分子量 31 kDa
检测分子量
细胞定位 细胞膜 分泌型蛋白 
性    状 Liquid
浓    度 1mg/ml
免 疫 原 KLH conjugated synthetic peptide derived from human PLAUR: 201-300/335 
亚    型 IgG
纯化方法 affinity purified by Protein A
缓 冲 液 0.01M TBS (pH7.4) with 1% BSA, 0.02% Proclin300 and 50% Glycerol.
保存条件 Shipped at 4℃. Store at -20℃ for one year. Avoid repeated freeze/thaw cycles.
注意事项 This product as supplied is intended for research use only, not for use in human, therapeutic or diagnostic applications.
PubMed PubMed
产品介绍 This gene encodes the receptor for urokinase plasminogen activator and, given its role in localizing and promoting plasmin formation, likely influences many normal and pathological processes related to cell-surface plasminogen activation and localized degradation of the extracellular matrix. It binds both the proprotein and mature forms of urokinase plasminogen activator and permits the activation of the receptor-bound pro-enzyme by plasmin. The protein lacks transmembrane or cytoplasmic domains and may be anchored to the plasma membrane by a glycosyl-phosphatidylinositol(GPI) moiety following cleavage of the nascent polypeptide near its carboxy-terminus. However, a soluble protein is also produced in some cell types. Alternative splicing results in multiple transcript variants encoding different isoforms. The proprotein experiences several post-translational cleavage reactions that have not yet been fully defined. [provided by RefSeq].

Function:
Acts as a receptor for urokinase plasminogen activator. Plays a role in localizing and promoting plasmin formation. Mediates the proteolysis-independent signal transduction activation effects of U-PA. It is subject to negative-feedback regulation by U-PA which cleaves it into an inactive form.

Subcellular Location:
Isoform 1: Cell membrane; Lipid-anchor, GPI-anchor. Isoform 2: Secreted (Probable).

Tissue Specificity:
Expressed in neurons of the rolandic area of the brain (at protein level). Expressed in the brain.

Similarity:
Contains 3 UPAR/Ly6 domains.

SWISS:
Q03405

Gene ID:
5329

Database links:

Entrez Gene: 5329 Human

Entrez Gene: 18793 Mouse

Entrez Gene: 50692 Rat

SwissProt: Q03405 Human

SwissProt: P35456 Mouse

SwissProt: P49616 Rat



产品图片
Sample: bone (Mouse) Lysate at 40 ug Primary: Anti-uPA Receptor (bs-1927R) at 1/300 dilution Secondary: IRDye800CW Goat Anti-Rabbit IgG at 1/20000 dilution Predicted band size: 31 kD Observed band size: 48 kD
Sample: Lane 1: Cerebrum (Mouse) Tissue Lysate at 40 ug Lane 2: Cerebrum (Rat) Tissue Lysate at 40 ug Primary: Anti-uPA Receptor (bs-1927R) at 1/1000 dilution Secondary: IRDye800CW Goat Anti-Rabbit IgG at 1/20000 dilution Predicted band size: 31 kD Observed band size: 48 kD
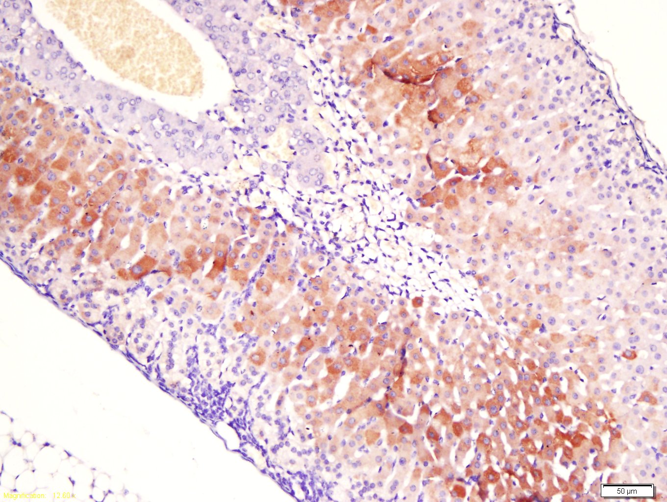
Tissue/cell: mouse adrenal gland; 4% Paraformaldehyde-fixed and paraffin-embedded; Antigen retrieval: citrate buffer ( 0.01M, pH 6.0 ), Boiling bathing for 15min; Block endogenous peroxidase by 3% Hydrogen peroxide for 30min; Blocking buffer (normal goat serum,C-0005) at 37℃ for 20 min; Incubation: Anti-uPA Receptor Polyclonal Antibody, Unconjugated(bs-1927R) 1:500, overnight at 4°C, followed by conjugation to the secondary antibody(SP-0023) and DAB(C-0010) staining
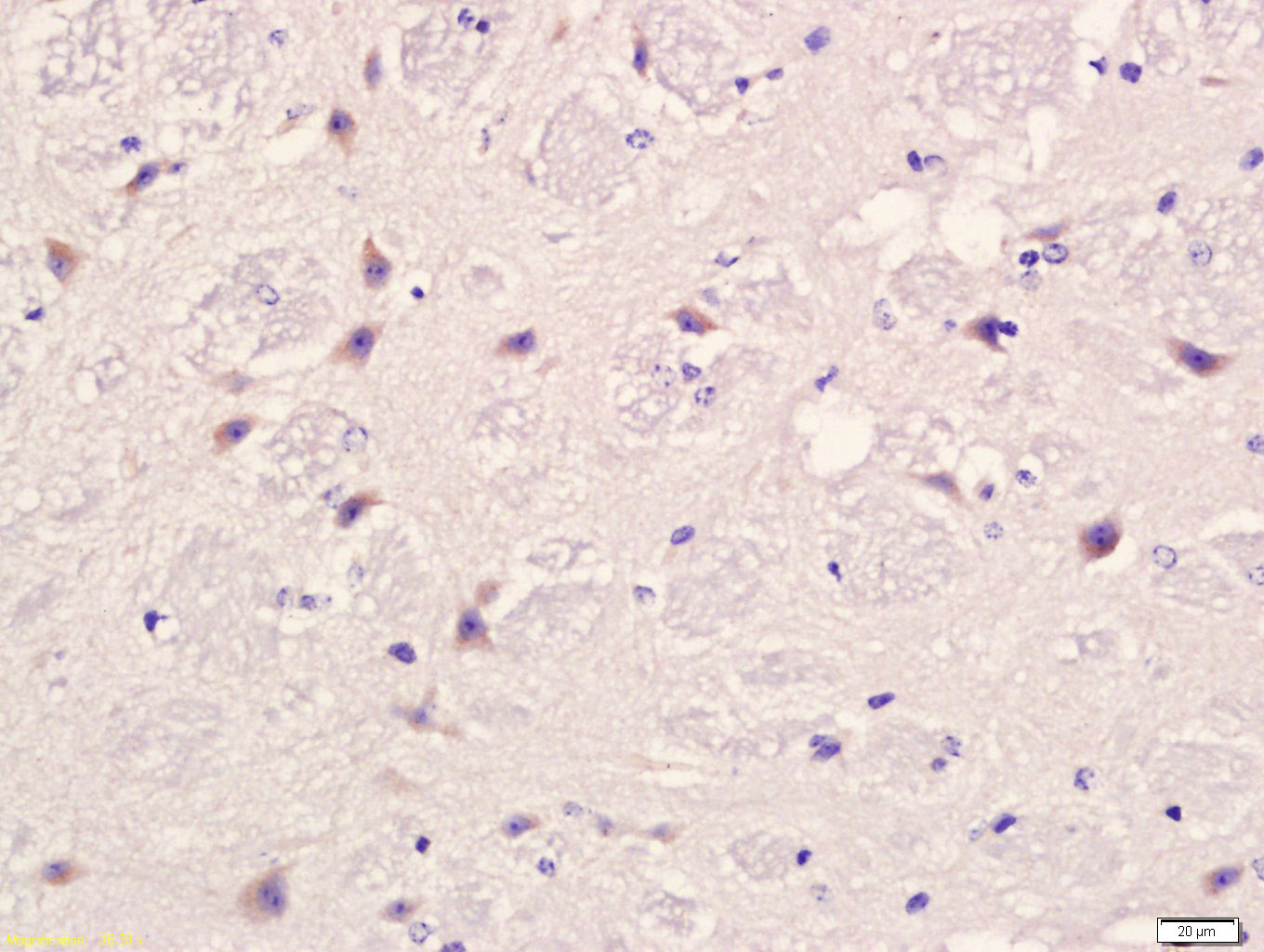
Tissue/cell: mouse brain tissue; 4% Paraformaldehyde-fixed and paraffin-embedded; Antigen retrieval: citrate buffer ( 0.01M, pH 6.0 ), Boiling bathing for 15min; Block endogenous peroxidase by 3% Hydrogen peroxide for 30min; Blocking buffer (normal goat serum,C-0005) at 37℃ for 20 min; Incubation: Anti-uPA Receptor Polyclonal Antibody, Unconjugated(bs-1927R) 1:500, overnight at 4°C, followed by conjugation to the secondary antibody(SP-0023) and DAB(C-0010) staining
版权所有 2004-2026 www.bioss.com.cn 北京博奥森生物技术有限公司
通过国际质量管理体系ISO 9001:2015 GB/T 19001-2016    证书编号: 00124Q34771R2M/1100
通过国际医疗器械-质量管理体系ISO 13485:2016 GB/T 42061-2022     证书编号: CQC24QY20047R0M/1100
京ICP备05066980号-1         京公网安备110107000727号