扫码关注公众号           扫码咨询技术支持           扫码咨询技术服务
  
客服热线:400-901-9800  客服QQ:4009019800  技术答疑  技术支持  质量反馈  关于我们  联系我们
产品中心-北京博奥森生物技术有限公司
首页 > 产品中心 > 一抗 > 产品信息
KIF14 Rabbit pAb (bs-2494R)  
订购热线:400-901-9800
订购邮箱:sales@bioss.com.cn
订购QQ:  400-901-9800
技术支持:techsupport@bioss.com.cn
50ul/1180.00元
100ul/1980.00元
200ul/2800.00元
大包装/询价

产品编号 bs-2494R
英文名称 KIF14 Rabbit pAb
中文名称 驱动蛋白家族Member14蛋白抗体
别    名 KIAA0042; KIF 14; KIF14; KIF14_HUMAN; Kinesin Family Member 14; Kinesin like protein KIF14; Kif14 protein; Kinesin-like protein KIF14; MGC142302.  
研究领域 细胞生物  信号转导  细胞类型标志物  细胞骨架  
抗体来源 Rabbit
克隆类型 Polyclonal
克 隆 号
交叉反应 Rat (predicted: Human,Mouse,Rabbit,Cow,Dog,Horse)
产品应用 IHC-P=1:100-500,IHC-F=1:100-500,IF=1:100-500
not yet tested in other applications.
optimal dilutions/concentrations should be determined by the end user.
理论分子量 186 kDa
检测分子量
细胞定位 细胞核 细胞浆 
性    状 Liquid
浓    度 1mg/ml
免 疫 原 KLH conjugated synthetic peptide derived from human KIF14: 455-550/1648 
亚    型 IgG
纯化方法 affinity purified by Protein A
缓 冲 液 0.01M TBS (pH7.4) with 1% BSA, 0.02% Proclin300 and 50% Glycerol.
保存条件 Shipped at 4℃. Store at -20℃ for one year. Avoid repeated freeze/thaw cycles.
注意事项 This product as supplied is intended for research use only, not for use in human, therapeutic or diagnostic applications.
PubMed PubMed
产品介绍 KIF14 is a member of the kinesin superfamily of microtubule-associated motors (see MIM 148760) that play important roles in intracellular transport and cell division (Nakagawa et al., 1997 [PubMed 9275178]).[supplied by OMIM, Mar 2008]

Function:
Plays an essential role in cytokinesis.

Subunit:
Directly interacts with PRC1 within a complex also containing KIF4A, KIF20A and KIF23. Directly interacts with CIT depending on the activation state of the kinase (stronger interaction with the kinase-dead form). Interacts with ARRB2; the interaction is detected in the nucleus upon OR1D2 stimulation.

Subcellular Location:
Nucleus. Cytoplasm. Cytoplasm, cytoskeleton, spindle. Note=Nuclear localization observed during interphase in PubMed:16431929 or triggered by entry into mitosis in PubMed:16648480. Cytoplasmic in interphase (PubMed:16648480) and metaphase cells (PubMed:16431929). From prophase to metaphase, accumulates at the developing spindle poles and their associated microtubules. During anaphase, accumulates at the spindle midzone. Localization to the central spindle and midbody during anaphase is dependent upon PRC1 and CIT presence. In cells ready to undergo abscission, concentrates at the contractile ring.

Similarity:
Belongs to the kinesin-like protein family.
Contains 1 FHA domain.
Contains 1 kinesin-motor domain.

SWISS:
Q15058

Gene ID:
9928

Database links:

Entrez Gene: 9928 Human

Omim: 611279 Human

SwissProt: Q15058 Human

Unigene: 3104 Human



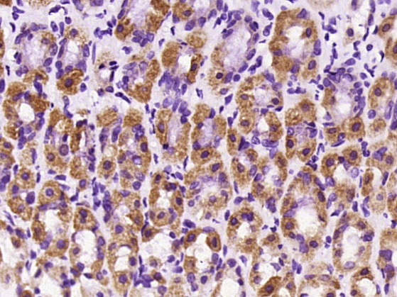
产品图片
Paraformaldehyde-fixed, paraffin embedded (Rat stomach); Antigen retrieval by boiling in sodium citrate buffer (pH6.0) for 15min; Block endogenous peroxidase by 3% hydrogen peroxide for 20 minutes; Blocking buffer (normal goat serum) at 37°C for 30min; Antibody incubation with (KIF14) Polyclonal Antibody, Unconjugated (bs-2494R) at 1:400 overnight at 4°C, followed by operating according to SP Kit(Rabbit) (sp-0023) instructionsand DAB staining.
版权所有 2004-2026 www.bioss.com.cn 北京博奥森生物技术有限公司
通过国际质量管理体系ISO 9001:2015 GB/T 19001-2016    证书编号: 00124Q34771R2M/1100
通过国际医疗器械-质量管理体系ISO 13485:2016 GB/T 42061-2022     证书编号: CQC24QY20047R0M/1100
京ICP备05066980号-1         京公网安备110107000727号