扫码关注公众号           扫码咨询技术支持           扫码咨询技术服务
  
客服热线:400-901-9800  客服QQ:4009019800  技术答疑  技术支持  质量反馈  关于我们  联系我们
产品中心-北京博奥森生物技术有限公司
首页 > 产品中心 > 一抗 > 产品信息
KLK9 Rabbit pAb (bs-1967R)  
订购热线:400-901-9800
订购邮箱:sales@bioss.com.cn
订购QQ:  400-901-9800
技术支持:techsupport@bioss.com.cn
50ul/1180.00元
100ul/1980.00元
200ul/2800.00元
大包装/询价

产品编号 bs-1967R
英文名称 KLK9 Rabbit pAb
中文名称 激肽释放酶9抗体(舒血管素9)
别    名 Kallikrein 8; Kallikrein 9; Kallikrein L3; Kallikrein Like 3; Kallikrein like protein 3; kallikrein related peptidase 9; Kallikrein-9; Kallikrein-like protein 3; Kallikrein8; Kallikrein9; KLK 8; KLK 9; KLK L3; KLK-L3; KLK8; KLK9; KLK9_HUMAN; KLKL 3; KLKL3.  
研究领域 肿瘤  细胞生物  信号转导  激酶和磷酸酶  细胞骨架  细胞外基质  
抗体来源 Rabbit
克隆类型 Polyclonal
克 隆 号
交叉反应 Mouse (predicted: Human,Rat,Horse)
产品应用 IHC-P=1:100-500,IHC-F=1:100-500,IF=1:100-500
not yet tested in other applications.
optimal dilutions/concentrations should be determined by the end user.
理论分子量 26 kDa
检测分子量
细胞定位 分泌型蛋白 
性    状 Liquid
浓    度 1mg/ml
免 疫 原 KLH conjugated synthetic peptide derived from human KLK9: 51-150/250 
亚    型 IgG
纯化方法 affinity purified by Protein A
缓 冲 液 0.01M TBS (pH7.4) with 1% BSA, 0.02% Proclin300 and 50% Glycerol.
保存条件 Shipped at 4℃. Store at -20℃ for one year. Avoid repeated freeze/thaw cycles.
注意事项 This product as supplied is intended for research use only, not for use in human, therapeutic or diagnostic applications.
PubMed PubMed
产品介绍 Kallikrein 9, also known as Kallikrein-Like 3 (KLK-L3), is a chymotrypsin-like serine proteinase. Kallikrein 9 was discovered as the locus for kallikreins on chromosome 19 was more fully mapped and found by similarity to the other tissue kallikreins. Kallikrein 9 has been found in the ovary, thymus, testis, prostate, skin, breast and neuronal tissues and is made by many cell lines in culture. Kallikrein 9 levels in breast cancer and uterine cancer patients have been reported to drop as the disease progresses, thus hK9 might be considered a favorable prognostic marker. Different splice variants of hK9 have been reported, although it is not yet known if they produce functional proteins. The full length Kallikrein 9 encodes for a 250 amino acid protein, with a predicted mass of 27.5 kDa and a pI of 7.53. The 234 amino acid form predicts a protein of 26 kDa with a pI of 9.76 and this quite basic pI might give the shorter form a very different function or localization. The shorter sequence also diverges before the catalytic serine residue, making it unlikely to be proteolytically active. Pre-pro-kallikrein 9 has the 17 amino acid signal sequence is removed before secretion, and the Pro-kallikrein 9 is activated to Kallikrein 9 by removal of the 5 amino acid propeptide domain.

Subcellular Location:
Secreted (Probable).

Tissue Specificity:
Skin, thymus, trachea, cerebellum and spinal cord.

Similarity:
Belongs to the peptidase S1 family. Kallikrein subfamily.
Contains 1 peptidase S1 domain.

SWISS:
Q9UKQ9

Gene ID:
284366

Database links:

Entrez Gene: 284366 Human

Omim: 605504 Human

SwissProt: Q9UKQ9 Human

Unigene: 448942 Human



KLK9目前认为是卵巢癌 宫颈癌 子宫内膜癌等其他肿瘤,很有意义的标志物。激肽释放酶KLK是激肽系统的主要限速酶,它是一组存在于多数组织和体液中的丝氨酸蛋白酶,是一种肽链内切酶。KLK又称血管舒缓素,包括15个家族成员。在不同的组织中广泛表达,具有蛋白水解酶的活性。它特异性的在碳末端切割底物肽,可裂解激肽原释放具有活性的激肽,由激肽发挥对心血管系统及肾脏功能的调节作用。
组织KLK是一个大的基因家族,主要分布在肺、肾、血管、脑、肾上腺组织,为一种中等大小的糖蛋白。
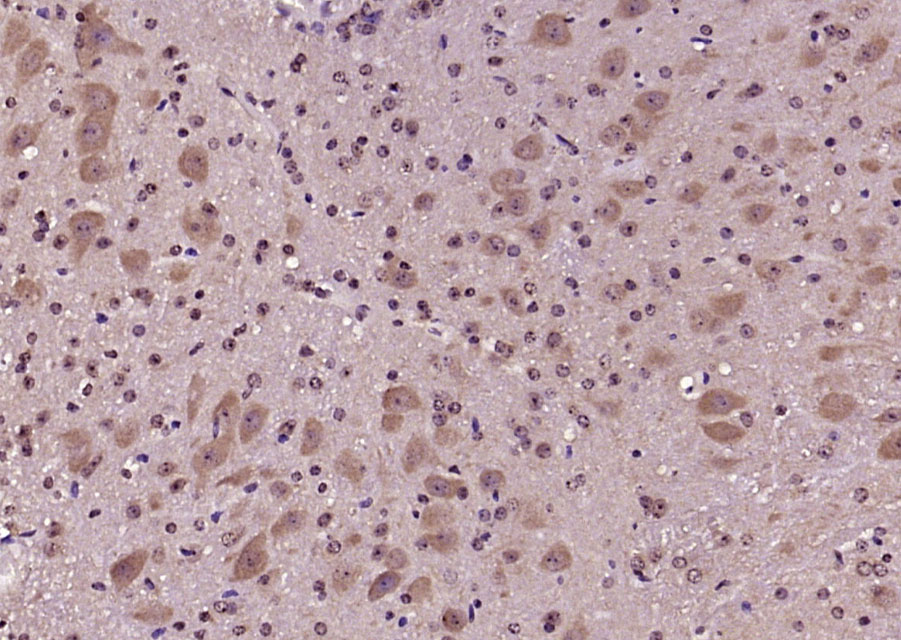
产品图片
Paraformaldehyde-fixed, paraffin embedded (mouse cerebellum); Antigen retrieval by boiling in sodium citrate buffer (pH6.0) for 15min; Block endogenous peroxidase by 3% hydrogen peroxide for 20 minutes; Blocking buffer (normal goat serum) at 37°C for 30min; Antibody incubation with (KLK9) Polyclonal Antibody, Unconjugated (bs-1967R) at 1:200 overnight at 4°C, followed by operating according to SP Kit(Rabbit) (sp-0023) instructionsand DAB staining.
版权所有 2004-2026 www.bioss.com.cn 北京博奥森生物技术有限公司
通过国际质量管理体系ISO 9001:2015 GB/T 19001-2016    证书编号: 00124Q34771R2M/1100
通过国际医疗器械-质量管理体系ISO 13485:2016 GB/T 42061-2022     证书编号: CQC24QY20047R0M/1100
京ICP备05066980号-1         京公网安备110107000727号