扫码关注公众号           扫码咨询技术支持           扫码咨询技术服务
  
客服热线:400-901-9800  客服QQ:4009019800  技术答疑  技术支持  质量反馈  人才招聘  关于我们  联系我们
产品中心-北京博奥森生物技术有限公司
首页 > 产品中心 > 一抗 > 产品信息
LAMP1 Rabbit pAb (bs-1970R)  
订购热线:400-901-9800
订购邮箱:sales@bioss.com.cn
订购QQ:  400-901-9800
技术支持:techsupport@bioss.com.cn
50ul/1180.00元
100ul/1980.00元
200ul/2800.00元
大包装/询价

产品编号 bs-1970R
英文名称 LAMP1 Rabbit pAb
中文名称 溶酶体相关膜蛋白1(CD107)抗体
别    名 CD107a; LAMPA; LGP120; LGP-120; LGP-A; Lamp-1; P2B; Perk; LAMP1_HUMAN; LAMP1; Lysosome-associated membrane protein 1; CD107 antigen-like family member A; LAMP1_MOUSE; 120 kDa lysosomal membrane glycoprotein; Lysosomal membrane glycoprotein A (LGP-A); LAMP1_RAT; 120 kDa lysosomal membrane glycoprotein (LGP-120); lysosome associated membrane protein 1; lysosomal associated membrane protein 1; lysosomal-associated membrane protein 1  
Specific References  (16)     |     bs-1970R has been referenced in 16 publications.
[IF=9.11] Sun, Ming-Xia, et al. "Porcine reproductive and respiratory syndrome virus induces autophagy to promote virus replication." Autophagy 8.10 (2012): 1434-1447.  IF(ICC) ;  Monkey.  
[IF=8.4] Dixit, Saurabh, et al. "Caveolin-mediated endocytosis of the Chlamydia M278 outer membrane peptide encapsulated in poly (lactic acid)-Poly (ethylene glycol) nanoparticles by mouse primary dendritic cells enhances specific immune effectors mediated by MHC class II and CD4+ T cells." Biomaterials (2017).  IF(ICC) ;  Mouse.  
[IF=8.322] Peng, Jialing. et al. Morphine-induced microglial immunosuppression via activation of insufficient mitophagy regulated by NLRX1. J NEUROINFLAMM. 2022 Dec;19(1):1-21  ICC ;  Mouse.  
[IF=6.854] Goreczny et al. Hic-5 regulates fibrillar adhesion formation to control tumor extracellular matrix remodeling through interaction with tensin1. (2018) Oncogene. 37:1699-1713  IHC ;  Human.  
[IF=6.43] Pan, Pan, et al. "Black Raspberries Enhance Natural Killer Cell Infiltration into the Colon and Suppress the Progression of Colorectal Cancer." Frontiers in Immunology 8 (2017): 997.  IHC-P ;  Mouse.  
[IF=6.388] Lili Fan. et al. Homoplantaginin attenuates high glucose-induced vascular endothelial cell apoptosis through promoting autophagy via the AMPK/TFEB pathway. PHYTOTHER RES. 2023 Mar;:  WB ;  Human.  
[IF=5.55] Bechor, Sapir, et al. "Adipose tissue conditioned media support macrophage lipid-droplet biogenesis by interfering with autophagic flux." Biochimica et Biophysica Acta (BBA)-Molecular and Cell Biology of Lipids (2017).  WB ;  Mouse.  
[IF=4.966] Hirohito Hirata. et al. PMEPA1 and NEDD4 control the proton production of osteoclasts by regulating vesicular trafficking. Faseb J. 2021 Feb;35(2):e21281  IF ;  Mouse.  
[IF=4.37] Guo, Hong, et al. "Niemann Pick type C2 deficiency impairs autophagy-lysosomal activity, mitochondrial function, and TLR signaling in adipocytes."Journal of Lipid Research (2016): jlr-M066522.  WB ;  Mouse.  
[IF=4.362] Zhou Wen. et al. Enhanced Autolysosomal Function Ameliorates the Inflammatory Response Mediated by the NLRP3 Inflammasome in Alzheimer’s Disease. Front Aging Neurosci. 2021 Feb;13:46  WB,IF,IHC ;  Mouse.  
[IF=4.128] Shiro Jimi. et al. Intracellular Survival of Biofilm-Forming MRSA OJ-1 by Escaping from the Lysosome and Autophagosome in J774A Cells Cultured in Overdosed Vancomycin. Microorganisms. 2022 Feb;10(2):348  IHC ;  Mouse.  
[IF=3.752] Colin T. Shearn. et al. The autophagic protein p62 is a target of reactive aldehydes in human and murine cholestatic liver disease. PLOS ONE. 2022 Nov;17(11):e0276879  IHC ;  Human, Mouse.  
[IF=3.098] Mingxing Fang. et al. SOX11 and FAK participate in the stretch‑induced mechanical injury to alveolar type 2 epithelial cells. Int J Mol Med. 2021 Jan;47(1):361-373  IF ;  Mouse.  
[IF=2.375] Shu-wen Xu. et al. Cigarette smoke extract-induced inflammatory response via inhibition of the TFEB-mediated autophagy in NR8383 cells. EXP LUNG RES. 2023 Jan 13  IF ;  Rat.  
[IF=2.342] Xiaoshuang Zuo. et al. Photobiomodulation and diffusing optical fiber on spinal cord’s impact on nerve cells from normal spinal cord tissue in piglets. 2021 Jan 02  IHC ;  Pig.  
[IF=1.69] Jeong, Keun-Yeong, et al. "Combination of macrophage inflammatory protein 1 alpha with existing therapies to enhance the antitumor effects on murine hepatoma." Journal of Radiation Research (2014): rru077.  WB ;  Mouse.  
研究领域 肿瘤  免疫学  神经生物学  信号转导  干细胞  细胞类型标志物  新陈代谢  细胞膜蛋白  
抗体来源 Rabbit
克隆类型 Polyclonal
交叉反应 Human
产品应用 WB=1:500-2000,IHC-P=1:100-500,IHC-F=1:100-500,IF=1:100-500,Flow-Cyt=2ug/Test,ICC/IF=1:50-200
not yet tested in other applications.
optimal dilutions/concentrations should be determined by the end user.
理论分子量 42kDa
检测分子量 95
细胞定位 细胞浆 细胞膜 
性    状 Liquid
浓    度 1mg/ml
免 疫 原 KLH conjugated synthetic peptide derived from human LAMP-1: 301-417/417 
亚    型 IgG
纯化方法 affinity purified by Protein A
缓 冲 液 0.01M TBS (pH7.4) with 1% BSA, 0.02% Proclin300 and 50% Glycerol.
保存条件 Shipped at 4℃. Store at -20℃ for one year. Avoid repeated freeze/thaw cycles.
注意事项 This product as supplied is intended for research use only, not for use in human, therapeutic or diagnostic applications.
PubMed PubMed
产品介绍 Lysosome associated membrane protein (LAMP1), also known as lgp120 or lgpA, is a type 1 integral membrane protein that is transported from trans Golgi networks to endosomes and then lysosomes. Upon cell activation, LAMP1 transfer to the plasma membrane is dependent on a carboxyl terminal tyrosine based motif (YXXI). Perturbation in the spacing between the tyrosine based motif relative to the membrane abolishes lysosome localization of LAMP1. This mutant protein then cycles between the plasma membrane and the endosome. Cell surface LAMP1 and LAMP2 have been shown to promote adhesion of human peripheral blood mononuclear cells (PBMC) to vascular endothelium, therefore they are possibly involved in the adhesion of PBMCs to the site of inflammation.

Function:
Presents carbohydrate ligands to selectins. Also mplicated in tumor cell metastasis.

Subcellular Location:
Cell membrane; Single-pass type I membrane protein. Endosome membrane; Single-pass type I membrane protein. Lysosome membrane; Single-pass type I membrane protein. Note=This protein shuttles between lysosomes, endosomes, and the plasma membrane.

Post-translational modifications:
O- and N-glycosylated; some of the 18 N-linked glycans are polylactosaminoglycans.

Similarity:
Belongs to the LAMP family.

SWISS:
P11279

Gene ID:
3916

Database links:

Entrez Gene: 3916 Human

Entrez Gene: 16783 Mouse

Entrez Gene: 25328 Rat

Omim: 153330 Human

SwissProt: P11279 Human

SwissProt: P11438 Mouse

SwissProt: P14562 Rat

Unigene: 494419 Human

Unigene: 16716 Mouse

Unigene: 475822 Mouse

Unigene: 40177 Rat



CD107a可很好的反映NK细胞活性,其表达水平的上调与NK分泌细胞因子的增多及NK对靶细胞的杀伤作用的增强高度相关,采用流式检测,CD107a还可鉴定出一群无细胞因子分泌的活性NK细胞。
产品图片
Sample: Lane 1: Human HT-1080 cell lysates Lane 2: Human HeLa cell lysates Lane 3: Human JAR cell lysates Primary: Anti-LAMP1 (bs-1970R) at 1/1000 dilution Secondary: IRDye800CW Goat Anti-Rabbit IgG at 1/20000 dilution Predicted band size: kDa Observed band size: 95 kDa
Paraformaldehyde-fixed, paraffin embedded Human Small Intestine; Antigen retrieval by boiling in sodium citrate buffer (pH6.0) for 15 min; Antibody incubation with LAMP1 Polyclonal Antibody, Unconjugated (bs-1970R) at 1:200 overnight at 4°C, followed by conjugation to the bs-0295G-HRP and DAB (C-0010) staining.
Paraformaldehyde-fixed, paraffin embedded Human Kidney; Antigen retrieval by boiling in sodium citrate buffer (pH6.0) for 15 min; Antibody incubation with LAMP1 Polyclonal Antibody, Unconjugated (bs-1970R) at 1:200 overnight at 4°C, followed by conjugation to the bs-0295G-HRP and DAB (C-0010) staining.
Paraformaldehyde-fixed, paraffin embedded Human Spleen; Antigen retrieval by boiling in sodium citrate buffer (pH6.0) for 15 min; Antibody incubation with LAMP1 Polyclonal Antibody, Unconjugated (bs-1970R) at 1:200 overnight at 4°C, followed by conjugation to the bs-0295G-HRP and DAB (C-0010) staining.
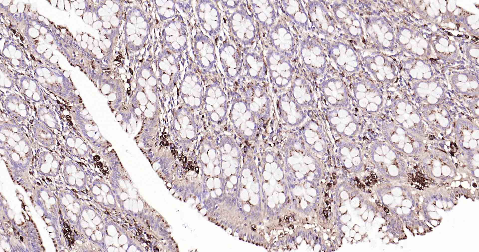
Paraformaldehyde-fixed, paraffin embedded Human Colon; Antigen retrieval by boiling in sodium citrate buffer (pH6.0) for 15 min; Antibody incubation with LAMP1 Polyclonal Antibody, Unconjugated (bs-1970R) at 1:200 overnight at 4°C, followed by conjugation to the bs-0295G-HRP and DAB (C-0010) staining.
Paraformaldehyde-fixed, paraffin embedded Human Testicles; Antigen retrieval by boiling in sodium citrate buffer (pH6.0) for 15 min; Antibody incubation with LAMP1 Polyclonal Antibody, Unconjugated (bs-1970R) at 1:200 overnight at 4°C, followed by conjugation to the bs-0295G-HRP and DAB (C-0010) staining.
Paraformaldehyde-fixed, paraffin embedded Human Tonsil; Antigen retrieval by boiling in sodium citrate buffer (pH6.0) for 15 min; Antibody incubation with LAMP1 Polyclonal Antibody, Unconjugated (bs-1970R) at 1:200 overnight at 4°C, followed by conjugation to the bs-0295G-HRP and DAB (C-0010) staining.
Paraformaldehyde-fixed, paraffin embedded Human Liver Cancer; Antigen retrieval by boiling in sodium citrate buffer (pH6.0) for 15 min; Antibody incubation with LAMP1 Polyclonal Antibody, Unconjugated (bs-1970R) at 1:200 overnight at 4°C, followed by conjugation to the bs-0295G-HRP and DAB (C-0010) staining.
Paraformaldehyde-fixed, paraffin embedded Human Lung Cancer; Antigen retrieval by boiling in sodium citrate buffer (pH6.0) for 15 min; Antibody incubation with LAMP1 Polyclonal Antibody, Unconjugated (bs-1970R) at 1:200 overnight at 4°C, followed by conjugation to the bs-0295G-HRP and DAB (C-0010) staining.
Paraformaldehyde-fixed, paraffin embedded Human Lung; Antigen retrieval by boiling in sodium citrate buffer (pH6.0) for 15 min; Antibody incubation with LAMP1 Polyclonal Antibody, Unconjugated (bs-1970R) at 1:200 overnight at 4°C, followed by conjugation to the bs-0295G-HRP and DAB (C-0010) staining.
Paraformaldehyde-fixed, paraffin embedded Human Heart; Antigen retrieval by boiling in sodium citrate buffer (pH6.0) for 15 min; Antibody incubation with LAMP1 Polyclonal Antibody, Unconjugated (bs-1970R) at 1:100 overnight at 4°C, followed by conjugation to the bs-0295G-HRP and DAB (C-0010) staining.
Paraformaldehyde-fixed, paraffin embedded Human Liver; Antigen retrieval by boiling in sodium citrate buffer (pH6.0) for 15 min; Antibody incubation with LAMP1 Polyclonal Antibody, Unconjugated (bs-1970R) at 1:100 overnight at 4°C, followed by conjugation to the bs-0295G-HRP and DAB (C-0010) staining.
4% Paraformaldehyde-fixed MCF-7 (H) cell; Triton X-100 at r.t. for 20 min; Antibody incubation with (LAMP1) polyclonal Antibody, unconjugated (bs-1970R) 1:200, 90 min at 37°C; followed by conjugated Goat Anti-Rabbit IgG antibody (green, bs-0295G-FITC) at 37°C for 90 min, DAPI (blue, C02-04002) was used to stain the cell nuclei. PBS instead of the primary antibody was used as the blank control.
Blank control:Jurkat. Primary Antibody (green line): Rabbit Anti-LAMP1 antibody (bs-1970R) Dilution: 2ug/Test; Secondary Antibody (white blue line) : Goat anti-rabbit IgG-FITC Dilution: 0.5ug/Test. Isotype control(orange line):Normal Rabbit IgG Protocol The cells were incubated in 5%BSA to block non-specific protein-protein interactions for 30 min at room temperature .Cells stained with Primary Antibody for 30 min at room temperature. The secondary antibody used for 40 min at room temperature. Acquisition of 20,000 events was performed.
版权所有 2004-2026 www.bioss.com.cn 北京博奥森生物技术有限公司
通过国际质量管理体系ISO 9001:2015 GB/T 19001-2016    证书编号: 00124Q34771R2M/1100
通过国际医疗器械-质量管理体系ISO 13485:2016 GB/T 42061-2022     证书编号: CQC24QY20047R0M/1100
京ICP备05066980号-1         京公网安备110107000727号