扫码关注公众号           扫码咨询技术支持           扫码咨询技术服务
  
客服热线:400-901-9800  客服QQ:4009019800  技术答疑  技术支持  质量反馈  关于我们  联系我们
产品中心-北京博奥森生物技术有限公司
首页 > 产品中心 > 一抗 > 产品信息
MASP2 Rabbit pAb (bs-1980R)  
订购热线:400-901-9800
订购邮箱:sales@bioss.com.cn
订购QQ:  400-901-9800
技术支持:techsupport@bioss.com.cn
50ul/1180.00元
100ul/1980.00元
200ul/2800.00元
大包装/询价

产品编号 bs-1980R
英文名称 MASP2 Rabbit pAb
中文名称 甘露聚糖结合凝集素丝氨酸肽酶2抗体
别    名 mannan-binding lectin serine peptidase 2; MAP19; MASP-2; Mannose-binding protein-associated serine protease 2; MBL-associated serine protease 2; MASP1P1; sMAP; Small MBL associated protein.(Contains: Mannan-binding lectin serine protease 2 A chain; Mannan-binding lectin serine protease 2 B chain).  
研究领域 激酶和磷酸酶  
抗体来源 Rabbit
克隆类型 Polyclonal
克 隆 号
交叉反应 Human,Mouse,Rat (predicted: Horse)
产品应用 WB=1:500-2000,IHC-P=1:100-500,IHC-F=1:100-500,IF=1:100-500
not yet tested in other applications.
optimal dilutions/concentrations should be determined by the end user.
理论分子量 74 kDa
检测分子量
细胞定位 分泌型蛋白 
性    状 Liquid
浓    度 1mg/ml
免 疫 原 KLH conjugated synthetic peptide derived from human MASP2: 351-450/686 
亚    型 IgG
纯化方法 affinity purified by Protein A
缓 冲 液 0.01M TBS (pH7.4) with 1% BSA, 0.02% Proclin300 and 50% Glycerol.
保存条件 Shipped at 4℃. Store at -20℃ for one year. Avoid repeated freeze/thaw cycles.
注意事项 This product as supplied is intended for research use only, not for use in human, therapeutic or diagnostic applications.
PubMed PubMed
产品介绍 MASP2, MBL associated serine protease 2, is a serum protease that plays an important role in the activation of the complement system via mannose-binding lectin (MBL). Binding of MBL to carbohydrate groups triggers MASP2 activation by auto-catalytic cleavage which leads to cleavage of C2 and C4, leading to their activation and to the formation of C3 convertase. MASP2 also binds to L-Ficolin and H-Ficolin, and when the complex binds pathogens the MASP is activated. Low MBL levels in serum are associated with increased susceptibility to infection, and an Asp105Gly mutation in MASP2 is associated with low MASP2 levels in serum. Reduced functional levels of MBL are also postulated to be associated with generation of autoantibodies in systemic lupus erythematosus, acting through a decreased clearance of apoptotic material. A truncated form of MASP2 that constitutes the amino 185 residues, Map19 is also a component of the MBL-MASP-1 complex.

Function:
Serum protease that plays an important role in the activation of the complement system via mannose-binding lectin. After activation by auto-catalytic cleavage it cleaves C2 and C4, leading to their activation and to the formation of C3 convertase.

Subunit:
Homodimer; disulfide-linked. Binds MBL2. Isoform 2 binds to MASP1. Binds SERPING1. Dimerization and MBL2 binding requires calcium ions.

Subcellular Location:
Secreted.

Tissue Specificity:
Plasma.

Post-translational modifications:
The iron and 2-oxoglutarate dependent 3-hydroxylation of aspartate and asparagine is (R) stereospecific within EGF domains.
Activated by cleavage after Arg-444. The uncleaved zymogen is inactive towards synthetic substrates, but has sufficient activity to effect autocatalytic cleavage.

DISEASE:
Defects in MASP2 are the cause of MASP2 deficiency (MASPD) [MIM:613791]. MASPD is a disorder that results in autoimmune manifestations, recurrent severe infections, and chronic inflammatory disease.

Similarity:
Belongs to the peptidase S1 family.
Contains 2 CUB domains.
Contains 1 EGF-like domain.
Contains 1 peptidase S1 domain.
Contains 2 Sushi (CCP/SCR) domains.

SWISS:
O00187

Gene ID:
10747

Database links:

Entrez Gene: 10747 Human

Omim: 605102 Human

SwissProt: O00187 Human

Unigene: 655645 Human



甘露糖结合凝集素(MBL)是补体系统的原有成分,是由肝脏合成的C型凝集素并游离在血清中,也是钙依赖性糖结合蛋白。
MBL可识别和结合病原微生物表面的甘露糖、岩藻糖和N-乙酰葡糖胺等糖结构并首先与病原微生物的糖类配体结合,随后构象发生变化,激活与之相关联的MBL相关的丝氨酸蛋白激酶(MASP),两种MASP(MASP1、MASP2)具有与活化的C1s类似的生物学活性,其中MASP2可水解C4和C2分子,MASP1则可直接切割C3,而形成C3转化酶,以至补体顺序激活,这是补体激活的MBL途径,这种补体顺序的被激活在机体的固有性免疫防御中发挥重要作用。
产品图片
Sample: Plasma(Rat) Lysate at 40 ug Primary: Anti-MASP2 (bs-1980R) at 1/1000 dilution Secondary: IRDye800CW Goat Anti-Rabbit IgG at 1/20000 dilution Predicted band size: 74 kD Observed band size: 75 kD
Sample: Lung (Mouse) Lysate at 40 ug Cerebrum (Mouse) Lysate at 40 ug Primary: Anti- MASP2 (bs-1980R) at 1/300 dilution Secondary: IRDye800CW Goat Anti-Rabbit IgG at 1/20000 dilution Predicted band size: 74 kD Observed band size: 74 kD
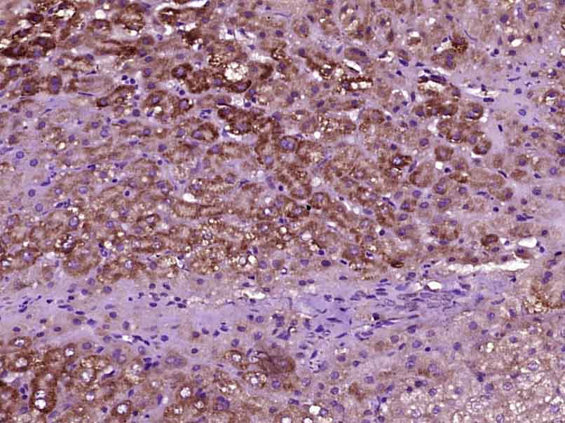
Paraformaldehyde-fixed, paraffin embedded (Human liver); Antigen retrieval by boiling in sodium citrate buffer (pH6.0) for 15min; Block endogenous peroxidase by 3% hydrogen peroxide for 20 minutes; Blocking buffer (normal goat serum) at 37°C for 30min; Antibody incubation with (MASP2) Polyclonal Antibody, Unconjugated (bs-1980R) at 1:400 overnight at 4°C, followed by operating according to SP Kit(Rabbit) (sp-0023) instructionsand DAB staining.
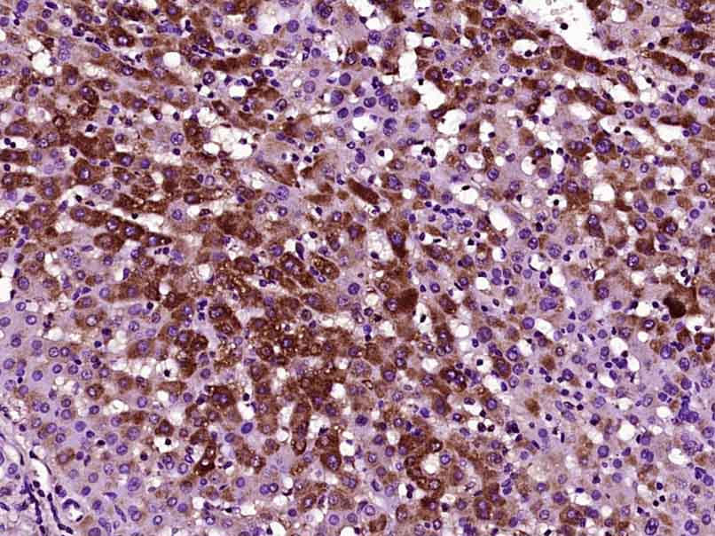
Paraformaldehyde-fixed, paraffin embedded (Human liver carcinoma); Antigen retrieval by boiling in sodium citrate buffer (pH6.0) for 15min; Block endogenous peroxidase by 3% hydrogen peroxide for 20 minutes; Blocking buffer (normal goat serum) at 37°C for 30min; Antibody incubation with (MASP2) Polyclonal Antibody, Unconjugated (bs-1980R) at 1:400 overnight at 4°C, followed by operating according to SP Kit(Rabbit) (sp-0023) instructionsand DAB staining.
版权所有 2004-2026 www.bioss.com.cn 北京博奥森生物技术有限公司
通过国际质量管理体系ISO 9001:2015 GB/T 19001-2016    证书编号: 00124Q34771R2M/1100
通过国际医疗器械-质量管理体系ISO 13485:2016 GB/T 42061-2022     证书编号: CQC24QY20047R0M/1100
京ICP备05066980号-1         京公网安备110107000727号