扫码关注公众号           扫码咨询技术支持           扫码咨询技术服务
  
客服热线:400-901-9800  客服QQ:4009019800  技术答疑  技术支持  质量反馈  人才招聘  关于我们  联系我们
产品中心-北京博奥森生物技术有限公司
首页 > 产品中心 > 一抗 > 产品信息
MTOR Rabbit pAb (bs-1992R)  
订购热线:400-901-9800
订购邮箱:sales@bioss.com.cn
订购QQ:  400-901-9800
技术支持:techsupport@bioss.com.cn
50ul/1180.00元
100ul/1980.00元
200ul/2800.00元
大包装/询价

产品编号 bs-1992R
英文名称 MTOR Rabbit pAb
中文名称 雷帕霉素靶蛋白抗体
别    名 FRAP; FRAP1; FRAP2; RAFT1; RAPT1; SKS; 2610315D21Rik; flat; MTOR_HUMAN; MTOR; FK506-binding protein 12-rapamycin complex-associated protein 1; FKBP12-rapamycin complex-associated protein; Mammalian target of rapamycin (mTOR); Mechanistic target of rapamycin; Rapamycin and FKBP12 target 1; Rapamycin target protein 1; Tyrosine-protein kinase mTOR; 2.7.11.1; MTOR_MOUSE; Rapamycin target protein 1 (RAPT1); MTOR_RAT; mechanistic target of rapamycin kinase; FK506 binding protein 12-rapamycin associated protein 1; mechanistic target of rapamycin (serine/threonine kinase); FK506 binding protein 12-rapamycin associated protein 2; rapamycin target protein; FKBP12-rapamycin complex-associated protein 1; FKBP-rapamycin associated protein; rapamycin associated protein FRAP2; dJ576K7.1 (FK506 binding protein 12-rapamycin associated protein 1); mammalian target of rapamycin  
Specific References  (55)     |     bs-1992R has been referenced in 55 publications.
[IF=10.753] Lu Yu. et al. Chronic arsenic exposure induces ferroptosis via enhancing ferritinophagy in chicken livers. SCI TOTAL ENVIRON. 2023 May;:164172  WB ;  Chicken.  
[IF=10.041] Peidong You. et al. Targeting and promoting atherosclerosis regression using hybrid membrane coated nanomaterials via alleviated inflammation and enhanced autophagy. Appl Mater Today. 2022 Mar;26:101386  WB ;  Mouse.  
[IF=8.886] Bolin Cai. et al. LncEDCH1 improves mitochondrial function to reduce muscle atrophy by interacting with sarcoplasmic/endoplasmic reticulum calcium ATPase 2. Mol Ther-Nucl Acids. 2021 Dec;:  WB ;  Chicken.  
[IF=8.469] Cai, Bolin. et al. Long noncoding RNA ZFP36L2-AS functions as a metabolic modulator to regulate muscle development. CELL DEATH DIS. 2022 Apr;13(4):1-12  WB ;  Chicken.  
[IF=7.666] Jinhui Ma. et al. Extracellular Vesicles from BMSCs Prevent Glucocorticoid-Induced BMECs Injury by Regulating Autophagy via the PI3K/Akt/mTOR Pathway. CELLS-BASEL. 2022 Jan;11(13):2104  WB ;  Mouse.  
[IF=7.65] Wang Y et al. Targeting the miR-122/PKM2 autophagy axis relieves arsenic stress。 Journal of Hazardous Materials. 2019 Sep.  WB ;  Chicken.  
[IF=7.561] Qihong Zhang. et al. ACSL1 Inhibits ALV-J Replication by IFN-Ⅰ Signaling and PI3K/Akt Pathway. Front Immunol. 2021; 12: 774323  WB ;  Chicken.  
[IF=7.31] Wei Ruyuan. et al. Silencing TUFM Inhibits Development of Monocrotaline-Induced Pulmonary Hypertension by Regulating Mitochondrial Autophagy via AMPK/mTOR Signal Pathway. OXID MED CELL LONGEV. 2022;2022:4931611  WB ;  Rat, Human.  
[IF=6.814] Guo-Jian Jiang. et al. Ultraviolet B irradiation induces senescence of human corneal endothelial cells in vitro by DNA damage response and oxidative stress. J PHOTOCH PHOTOBIO B. 2022 Oct;235:112568  WB ;  Human.  
[IF=6.792] Yu Wang. et al. Environmentally relevant concentration of sulfamethoxazole-induced oxidative stress-cascaded damages in the intestine of grass carp and the therapeutic application of exogenous lycopene. Environ Pollut. 2021 Apr;274:116597  WB ;  Fish.  
[IF=6.304] Xiaowen Sun. et al. miR-378-3p maintains the size of mouse primordial follicle pool by regulating cell autophagy and apoptosis. Cell Death Dis. 2020 Sep;11(9):1-14  WB ;  Mouse.  
[IF=6.048] He Zhang. et al. Feeding frequency affects glucose and lipid metabolism through SIRT1/AMPK pathway in growing pigs with the same amount of daily feed. J Nutr Biochem. 2021 Nov;:108919  WB ;  Pig.  
[IF=5.988] Dongfang Lv. et al. Mailuoshutong pill for varicocele-associated male infertility-Phytochemical characterisation and multitarget mechanism.. FRONT PHARMACOL. 2022 Sep;13:961011-961011  WB ;  Rat.  
[IF=5.878] Lingling Dong. et al. Anti-inflammatory effect of Rhein on ulcerative colitis via inhibiting PI3K/Akt/mTOR signaling pathway and regulating gut microbiota. 2022 Mar 01  WB ;  Mouse.  
[IF=5.715]   WB ;  fish.  
[IF=5.714] Zhao H et al. The cardiotoxicity of the common carp (Cyprinus carpio) exposed to environmentally relevant concentrations of arsenic and subsequently relieved by zinc supplementation. Environmental Pollution.2019 Oct; 253:741-748.  WB ;  Carp.  
[IF=5.561] Xinyang Fan. et al. CEBPA-Regulated Expression of SOCS1 Suppresses Milk Protein Synthesis through mTOR and JAK2-STAT5 Signaling Pathways in Buffalo Mammary Epithelial Cells. FOODS. 2023 Jan;12(4):708  WB ;  Bovine.  
[IF=5.223] Xinyang Fan. et al. MiR-190a regulates milk protein biosynthesis through the mTOR and JAK2–STAT5 signaling pathways by targeting PTHLH in buffalo mammary epithelial cells. J FUNCT FOODS. 2023 Mar;102:105451  WB ;  Bovine.  
[IF=5.168] Guo-Jian Jiang. et al. Carteolol triggers senescence via activation of β-arrestin–ERK–NOX4–ROS pathway in human corneal endothelial cells in vitro. CHEM-BIOL INTERACT. 2023 Apr;:110511  WB ;  Human.  
[IF=4.872] Mingkun Zhu. et al. MAPK, AKT/FoxO3a and mTOR pathways are involved in cadmium regulating the cell cycle, proliferation and apoptosis of chicken follicular granulosa cells. Ecotox Environ Safe. 2021 May;214:112091  WB ;  Chicken.  
[IF=4.872] Yajing Wang. et al. Long-term exposure to the fluoride blocks the development of chondrocytes in the ducks: The molecular mechanism of fluoride regulating autophagy and apoptosis. Ecotox Environ Safe. 2021 Jul;217:112225  WB ;  Duck.  
[IF=4.872] Shaofeng Wu. et al. Protective effects of curcumin on ATO-induced nephrotoxicity in ducks in relation to suppressed autophagy, apoptosis and dyslipidemia by regulating oxidative stress. Ecotox Environ Safe. 2021 Aug;219:112350  WB ;  Duck.  
[IF=4.87] Wang et al. Protective effects of melatonin against nicotine-induced disorder of mouse early folliculogenesis. (2018) Aging.(Albany.NY). 10:463-480  WB ;  Mouse.  
[IF=4.831] Shi L et al. Clioquinol improves motor and non-motor deficits in MPTP-induced monkey model of Parkinson's disease through AKT/mTOR pathway. Aging (Albany NY) . 2020 May 18;12(10):9515-9533.  WB ;  Monkey.  
[IF=4.545] Xiao Y et al. Electroacupuncture preconditioning attenuates myocardial ischemia-reperfusion injury by inhibiting mitophagy mediated by the mTORC1-ULK1-FUNDC1 pathway. Biomed Pharmacother . 2020 Jul;127:110148.  WB ;  rat.  
[IF=4.44] Madka, Venkateshwar, et al. "Targeting mTOR and p53 signaling inhibits muscle invasive bladder cancer in vivo." Cancer Prevention Research 9.1 (2016): 53-62.  IHC-P ;  Mouse.  
[IF=4.414] Liu, Zhan. et al. Kaemperfol Protects Dopaminergic Neurons by Promoting mTOR-Mediated Autophagy in Parkinson’s Disease Models. NEUROCHEM RES. 2022 Dec;:1-17  WB ;  Mouse, Rat.  
[IF=4.412] Yaocheng Cui. et al. Notch3-Mediated mTOR Signaling Pathway Is Involved in High Glucose-Induced Autophagy in Bovine Kidney Epithelial Cells. MOLECULES. 2022 Jan;27(10):3121  WB ;  Bovine.  
[IF=4.2] Li Li. et al. Regulation of TREM2 on BV2 inflammation through PI3K/AKT/mTOR pathway. BIOTECHNOL GENET ENG. 2023 Apr 26  WB ;  Mouse.  
[IF=4.125] Minghui Zhang. et al. Comparative Transcriptomic Analysis of Mammary Gland Tissues Reveals the Critical Role of GPR110 in Palmitic Acid-Stimulated Milk Protein and Fat Synthesis. BRIT J NUTR. 2023 Mar;:1-32  WB ;  Mouse.  
研究领域 肿瘤  心血管  细胞生物  免疫学  染色质和核信号  细胞周期蛋白  转录调节因子  表观遗传学  
抗体来源 Rabbit
克隆类型 Polyclonal
交叉反应 Human,Mouse,Rat (predicted: Rabbit,Sheep,Cow,Chicken,Dog,Horse,Goat)
产品应用 WB=1:500-2000,IHC-P=1:100-500,IHC-F=1:100-500,IF=1:100-500,Flow-Cyt=1μg /test,ICC/IF=1:100-500
not yet tested in other applications.
optimal dilutions/concentrations should be determined by the end user.
理论分子量 289kDa
检测分子量 35
细胞定位 细胞浆 
性    状 Liquid
浓    度 1mg/ml
免 疫 原 KLH conjugated synthetic peptide derived from human mTOR: 2401-2549/2549 
亚    型 IgG
纯化方法 affinity purified by Protein A
缓 冲 液 0.01M TBS (pH7.4) with 1% BSA, 0.02% Proclin300 and 50% Glycerol.
保存条件 Shipped at 4℃. Store at -20℃ for one year. Avoid repeated freeze/thaw cycles.
注意事项 This product as supplied is intended for research use only, not for use in human, therapeutic or diagnostic applications.
PubMed PubMed
产品介绍 mTOR is one of a family of proteins involved in cell cycle progression, DNA recombination, and DNA damage detection. In rat, it is a 289-kDa protein (symbolized RAFT1) with significant homology to the Saccharomyces cerevisiae protein TOR1 and has been shown to associate with the immunophilin FKBP12 in a rapamycin dependent fashion. The FKBP12-rapamycin complex is known to inhibit progression through the G1 cell cycle stage by interfering with mitogenic signaling pathways involved in G1 progression in several cell types, as well as in yeast. The binding of FRAP to FKBP12-rapamycin correlated with the ability of these ligands to inhibit cell cycle progression.

Function:
Serine/threonine protein kinase which is a central regulator of cellular metabolism, growth and survival in response to hormones, growth factors, nutrients, energy and stress signals. Functions as part of 2 structurally and functionally distinct signaling complexes mTORC1 and mTORC2 (mTOR complex 1 and 2). Activated mTORC1 up-regulates protein synthesis by phosphorylating key regulators of mRNA translation and ribosome synthesis. This includes phosphorylation of EIF4EBP1 and release of its inhibition toward the elongation initiation factor 4E (eiF4E). Moreover, phosphorylates and activates RPS6KB1 and RPS6KB2 that promote protein synthesis by modulating the activity of their downstream targets including ribosomal protein S6, eukaryotic translation initiation factor EIF4B and the inhibitor of translation initiation PDCD4. Regulates ribosome synthesis by activating RNA polymerase III-dependent transcription through phosphorylation and inhibition of MAF1 a RNA polymerase III-repressor. In parallel to protein synthesis, also regulates lipid synthesis through SREBF1/SREBP1 and LPIN1. To maintain energy homeostasis mTORC1 may also regulate mitochondrial biogenesis through regulation of PPARGC1A. mTORC1 also negatively regulates autophagy through phosphorylation of ULK1. Under nutrient sufficiency, phosphorylates ULK1 at 'Ser-758', disrupting the interaction with AMPK and preventing activation of ULK1. Also prevents autophagy through phosphorylation of the autophagy inhibitor DAP. mTORC1 exerts a feedback control on upstream growth factor signaling that includes phosphorylation and activation of GRB10 a INSR-dependent signaling suppressor. Among other potential targets mTORC1 may phosphorylate CLIP1 and regulate microtubules. As part of the mTORC2 complex MTOR may regulate other cellular processes including survival and organization of the cytoskeleton. Plays a critical role in the phosphorylation at 'Ser-473' of AKT1, a pro-survival effector of phosphoinositide 3-kinase, facilitating its activation by PDK1. mTORC2 may regulate the actin cytoskeleton, through phosphorylation of PRKCA, PXN and activation of the Rho-type guanine nucleotide exchange factors RHOA and RAC1A or RAC1B. mTORC2 also regulates the phosphorylation of SGK1 at 'Ser-422'.

Subunit:
Part of the mammalian target of rapamycin complex 1 (mTORC1) which contains MTOR, MLST8, RPTOR, AKT1S1/PRAS40 and DEPTOR. Part of the mammalian target of rapamycin complex 2 (mTORC2) which contains MTOR, MLST8, PRR5, RICTOR, MAPKAP1 and DEPTOR. Interacts with PPAPDC3 and PML (By similarity). Interacts with PRR5 and RICTOR; the interaction is direct within the mTORC2 complex (By similarity). Interacts with UBQLN1 (By similarity). Interacts with TTI1 and TELO2 (By similarity). Interacts with CLIP1; phosphorylates and regulates CLIP1 (By similarity).

Subcellular Location:
Endoplasmic reticulum membrane; Peripheral membrane protein; Cytoplasmic side. Golgi apparatus membrane; Peripheral membrane protein; Cytoplasmic side. Mitochondrion outer membrane; Peripheral membrane protein; Cytoplasmic side. Lysosome. Cytoplasm (By similarity). Nucleus, PML body (By similarity). Note=Shuttles between cytoplasm and nucleus. Accumulates in the nucleus in response to hypoxia (By similarity). Targeting to lysosomes depends on amino acid availability and RRAGA and RRAGB.

Tissue Specificity:
Expressed in numerous tissues, with highest levels in testis.

Post-translational modifications:
Phosphorylated. Autophosphorylates when part of mTORC1 or mTORC2. Phosphorylation at Ser-1261 promotes autophosphorylation.

Similarity:
Belongs to the PI3/PI4-kinase family.
Contains 1 FAT domain.
Contains 1 FATC domain.
Contains 7 HEAT repeats.
Contains 1 PI3K/PI4K domain.

SWISS:
P42345

Gene ID:
2475

Database links:

Entrez Gene: 2475 Human

Entrez Gene: 56717 Mouse

Entrez Gene: 56718 Rat

Omim: 601231 Human

SwissProt: P42345 Human

SwissProt: Q9JLN9 Mouse

SwissProt: P42346 Rat

Unigene: 338207 Human

Unigene: 21158 Mouse

Unigene: 11008 Rat




mTOR蛋白是一种丝氨酸/苏氨酸蛋白激酶(Ser/Thr),是调节细胞生长和增殖的重要信号转导分子,在细胞的生长、分化、增殖、迁移和存活上扮演了重要的角色。由于mTOR信号通路在细胞周期进程中发挥了重要作用,细胞周期进程调节异常与许多疾病尤其是癌症的发生、发展有关,mTOR信号通路的失调可引起多种肿瘤的发生。
产品图片
Sample: Lane 1: Recombinant human MTOR protein, N-His(bs-42341P) Primary: Anti-MTOR (bs-1992R) at 1/1000 dilution Secondary: IRDye800CW Goat Anti-Rabbit IgG at 1/20000 dilution Predicted band size: 289 kDa Observed band size: 35 kDa
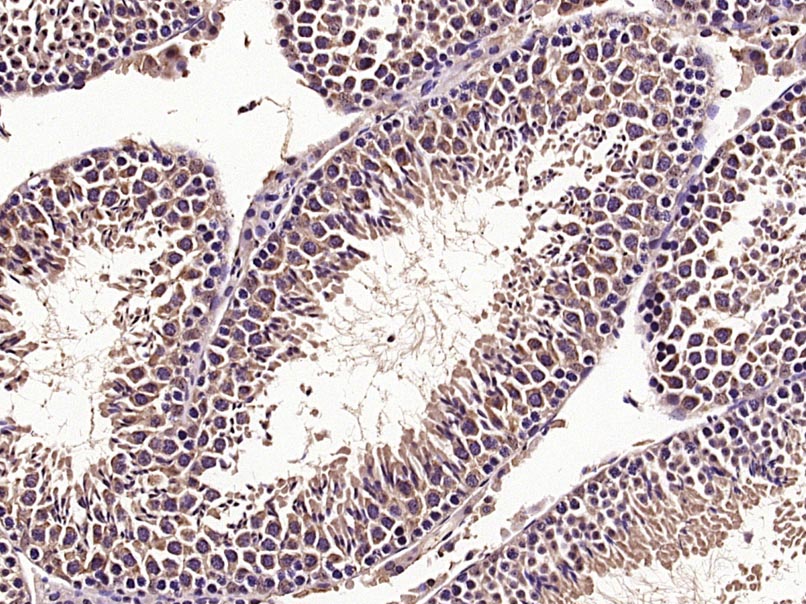
Paraformaldehyde-fixed, paraffin embedded (Mouse testis); Antigen retrieval by microwave in sodium citrate buffer (pH6.0) ; Block endogenous peroxidase by 3% hydrogen peroxide for 30 minutes; Blocking buffer (3% BSA) at RT for 30min; Antibody incubation with (MTOR) Polyclonal Antibody, Unconjugated (bs-1992R) at 1:400 overnight at 4℃, followed by conjugation to the secondary antibody (labeled with HRP)and DAB staining.
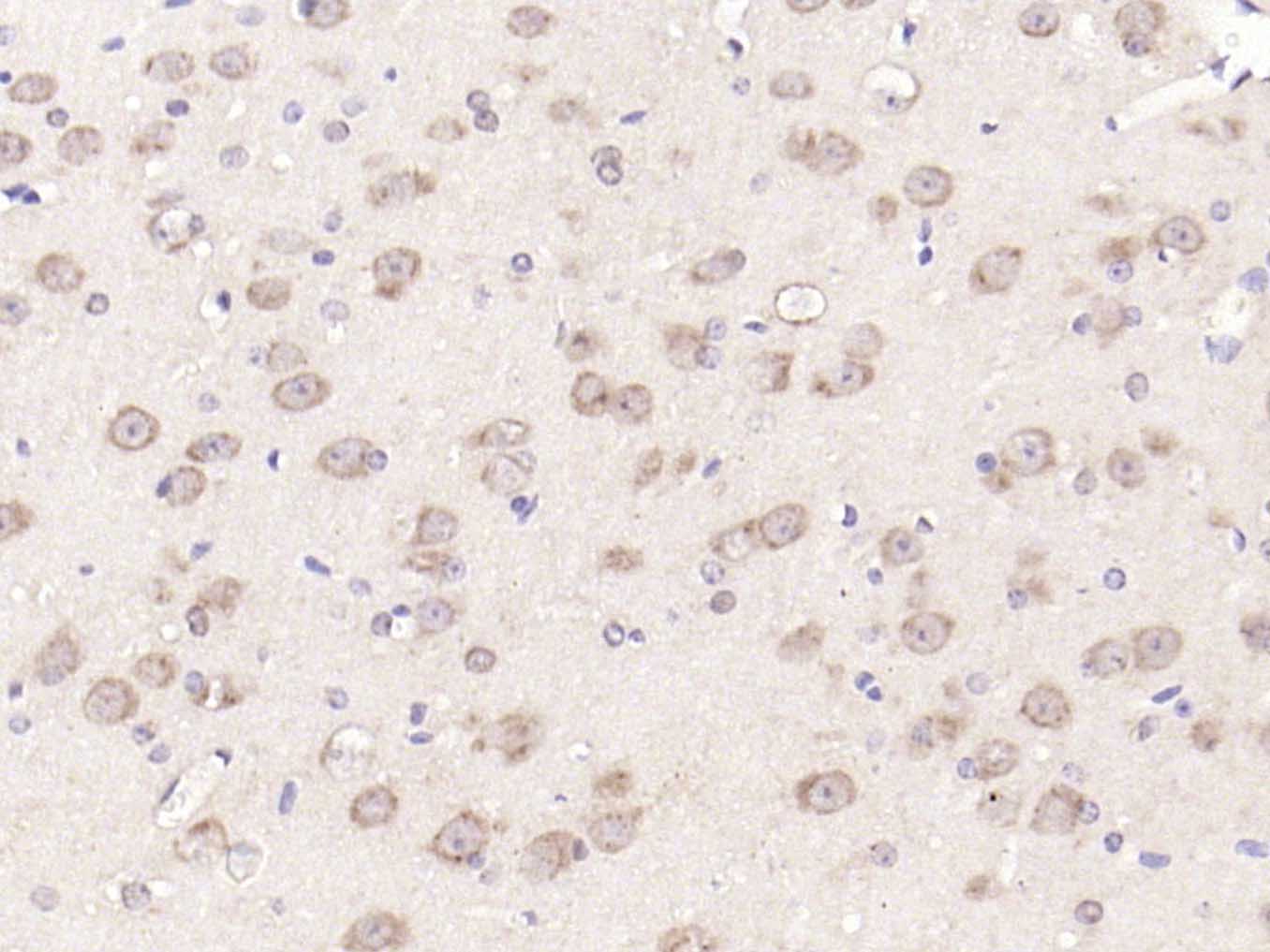
Paraformaldehyde-fixed, paraffin embedded (Rat brain); Antigen retrieval by microwave in sodium citrate buffer (pH6.0) ; Block endogenous peroxidase by 3% hydrogen peroxide for 30 minutes; Blocking buffer (3% BSA) at RT for 30min; Antibody incubation with (MTOR) Polyclonal Antibody, Unconjugated (bs-1992R) at 1:400 overnight at 4℃, followed by conjugation to the secondary antibody (labeled with HRP)and DAB staining.
Paraformaldehyde-fixed, paraffin embedded (mouse brain); Antigen retrieval by boiling in sodium citrate buffer (pH6.0) for 15min; Block endogenous peroxidase by 3% hydrogen peroxide for 20 minutes; Blocking buffer (normal goat serum) at 37°C for 30min; Antibody incubation with (MTOR) Polyclonal Antibody, Unconjugated (bs-1992R) at 1:200 overnight at 4°C, followed by operating according to SP Kit(Rabbit) (sp-0023) instructionsand DAB staining.
Paraformaldehyde-fixed, paraffin embedded (rat brain); Antigen retrieval by boiling in sodium citrate buffer (pH6.0) for 15min; Block endogenous peroxidase by 3% hydrogen peroxide for 20 minutes; Blocking buffer (normal goat serum) at 37°C for 30min; Antibody incubation with (MTOR) Polyclonal Antibody, Unconjugated (bs-1992R) at 1:200 overnight at 4°C, followed by operating according to SP Kit(Rabbit) (sp-0023) instructionsand DAB staining.
Paraformaldehyde-fixed, paraffin embedded (Rat testis); Antigen retrieval by microwave in sodium citrate buffer (pH6.0) ; Block endogenous peroxidase by 3% hydrogen peroxide for 30 minutes; Blocking buffer (3% BSA) at RT for 30min; Antibody incubation with (MTOR) Polyclonal Antibody, Unconjugated (bs-1992R) at 1:400 overnight at 4℃, followed by conjugation to the secondary antibody (labeled with HRP)and DAB staining.
Tissue/cell:Hela cell; 4% Paraformaldehyde-fixed; Triton X-100 at room temperature for 20 min; Blocking buffer (normal goat serum, C-0005) at 37°C for 20 min; Antibody incubation with (MTOR) polyclonal Antibody, Unconjugated (bs-1992R) 1:100, 90 minutes at 37°C; followed by a FITC conjugated Goat Anti-Rabbit IgG antibody at 37°C for 90 minutes, DAPI (blue, C02-04002) was used to stain the cell nuclei.
Blank control (blue line): Hela(fixed with 70% ethanol (Overnight at 4℃) and then permeabilized with 90% ice-cold methanol for 30 min on ice.) Primary Antibody (green line): Rabbit Anti-MOTR antibody (bs-1992R), Dilution: 1μg /10^6 cells. Isotype Control Antibody (orange line): Rabbit IgG. Secondary Antibody (white blue line): Goat anti-rabbit IgG-FITC, Dilution: 1μg /test.
版权所有 2004-2026 www.bioss.com.cn 北京博奥森生物技术有限公司
通过国际质量管理体系ISO 9001:2015 GB/T 19001-2016    证书编号: 00124Q34771R2M/1100
通过国际医疗器械-质量管理体系ISO 13485:2016 GB/T 42061-2022     证书编号: CQC24QY20047R0M/1100
京ICP备05066980号-1         京公网安备110107000727号