扫码关注公众号           扫码咨询技术支持           扫码咨询技术服务
  
客服热线:400-901-9800  客服QQ:4009019800  技术答疑  技术支持  质量反馈  关于我们  联系我们
产品中心-北京博奥森生物技术有限公司
首页 > 产品中心 > 一抗 > 产品信息
phospho-Histone H3 (Ser10) Rabbit pAb (bs-3186R)  
订购热线:400-901-9800
订购邮箱:sales@bioss.com.cn
订购QQ:  400-901-9800
技术支持:techsupport@bioss.com.cn
50ul/1180.00元
100ul/1980.00元
200ul/2800.00元
大包装/询价

产品编号 bs-3186R
英文名称 phospho-Histone H3 (Ser10) Rabbit pAb
中文名称 磷酸化组蛋白H3抗体
别    名 Histone H3(phospho S10); phospho-Histone H3(Ser10); Histone H3(phospho-Ser10); Histone H3(p-Ser10); Histone H3(phospho-S10); H3 histone family member E pseudogene; H3F3; HIST3H3; Histone H3 3 pseudogene; Histone H3; H3S; Histone H3-I/H3-II; Major histone H3; H3F; Histone H3/a; Histone H3/b; Histone H3/c; Histone H3/d; Histone H3/f; Histone H3/h; Histone H3/i; Histone H3/j; Histone H3/k; Histone H3/l; H31_HUMAN.  Histone H3.1
Specific References  (1)     |     bs-3186R has been referenced in 1 publications.
[IF=4.966] Hui Zhen. et al. The Wnt/Ca2+ signaling pathway is essential for the regeneration of GABAergic neurons in planarian Dugesia japonica. Faseb J. 2020 Dec;34(12):16567-16580  IHC ;  Planarians.  
产品类型 磷酸化抗体 
研究领域 肿瘤  免疫学  染色质和核信号  信号转导  转录调节因子  细胞类型标志物  表观遗传学  
抗体来源 Rabbit
克隆类型 Polyclonal
克 隆 号
交叉反应 Human,Rat (predicted: Mouse,Rabbit,Pig,Cow,Fruit Fly)
产品应用 IHC-P=1:100-500,IHC-F=1:100-500,IF=1:100-500,Flow-Cyt=0.2μg/Test
not yet tested in other applications.
optimal dilutions/concentrations should be determined by the end user.
理论分子量 15 kDa
检测分子量
细胞定位 细胞核 
性    状 Liquid
浓    度 1mg/ml
免 疫 原 KLH conjugated synthesised phosphopeptide derived from human Histone H3 around the phosphorylation site of Ser10: RK(p-S)TG 
亚    型 IgG
纯化方法 affinity purified by Protein A
缓 冲 液 0.01M TBS (pH7.4) with 1% BSA, 0.02% Proclin300 and 50% Glycerol.
保存条件 Shipped at 4℃. Store at -20℃ for one year. Avoid repeated freeze/thaw cycles.
注意事项 This product as supplied is intended for research use only, not for use in human, therapeutic or diagnostic applications.
PubMed PubMed
产品介绍 Histones are basic nuclear proteins that are responsible for the nucleosome structure of the chromosomal fiber in eukaryotes. Nucleosomes consist of approximately 146 bp of DNA wrapped around a histone octamer composed of pairs of each of the four core histones (H2A, H2B, H3, and H4). The chromatin fiber is further compacted through the interaction of a linker histone, H1, with the DNA between the nucleosomes to form higher order chromatin structures. This gene is intronless and encodes a replication-dependent histone that is a member of the histone H3 family. Transcripts from this gene lack polyA tails; instead, they contain a palindromic termination element. This gene is located separately from the other H3 genes that are in the histone gene cluster on chromosome 6p22-p21.3. [provided by RefSeq, Aug 2015]

Function:
Core component of nucleosome. Nucleosomes wrap and compact DNA into chromatin, limiting DNA accessibility to the cellular machineries which require DNA as a template. Histones thereby play a central role in transcription regulation, DNA repair, DNA replication and chromosomal stability. DNA accessibility is regulated via a complex set of post-translational modifications of histones, also called histone code, and nucleosome remodeling. H3 is deposited into chromatin exclusively through a DNA replication-coupled pathway that can be associated with either DNA duplication or DNA repair synthesis during meiotic homologous recombination.

Subunit:
The nucleosome is a histone octamer containing two molecules each of H2A, H2B, H3 and H4 assembled in one H3-H4 heterotetramer and two H2A-H2B heterodimers. The octamer wraps approximately 147 bp of DNA. Interacts with GCN5, whereby H3S10ph increases histone-protein interactions. Interacts with PDD1 and PDD3.

Subcellular Location:
Nucleus. Chromosome. Note=Localizes to both the large, transcriptionally active, somatic macronucleus (MAC) and the small, transcriptionally inert, germ line micronucleus (MIC).

Post-translational modifications:
Phosphorylated to form H3S10ph. H3S10ph promotes subsequent H3K14ac formation by GCN5. H3S10ph is only found in the mitotically dividing MIC, but not in the amitotically dividing MAC. H3S10ph is correlated with chromosome condensation during mitotic or meiotic micronuclear divisions.
Acetylation of histone H3 leads to transcriptional activation. H3K14ac formation by GCN5 is promoted by H3S10ph. H3K9acK14ac is the preferred acetylated form of newly synthesized H3. Acetylation occurs almost exclusively in the MAC.
Methylated to form H3K4me. H3K4me is only found in the transcriptionally active MAC. Methylated to form H3K9me in developing MACs during conjugation, when genome-wide DNA elimination occurs. At this stage, H3K9me specifically occurs on DNA sequences being eliminated (IES), probably targeted by small scan RNAs (scnRNAs) bound to IES, and is required for efficient IES elimination. H3K9me is required for the interaction with the chromodomains of PDD1 and PDD3.
The full-length protein H3S (slow migrating) is converted to H3F (fast migrating) by proteolytic removal of the first 6 residues. H3F is unique to MIC, and processing seems to occur regularly each generation at a specific point in the cell cycle.

Similarity:
Belongs to the histone H3 family.

SWISS:
Q71DI3

Gene ID:
8968

Database links:

Entrez Gene: 8350 Human

Entrez Gene: 8351 Human

Entrez Gene: 8352 Human

Entrez Gene: 8353 Human

Entrez Gene: 8354 Human

Entrez Gene: 8355 Human

Entrez Gene: 8356 Human

Entrez Gene: 8357 Human

Entrez Gene: 8358 Human

Entrez Gene: 8968 Human

Entrez Gene: 260423 Mouse

Entrez Gene: 319148 Mouse

Entrez Gene: 319149 Mouse

Entrez Gene: 319150 Mouse

Entrez Gene: 319151 Mouse

Entrez Gene: 319152 Mouse

Entrez Gene: 319153 Mouse

Entrez Gene: 360198 Mouse

Entrez Gene: 97908 Mouse

Entrez Gene: 100364501 Rat

Entrez Gene: 100365669 Rat

Entrez Gene: 291159 Rat

Entrez Gene: 314977 Rat

Entrez Gene: 364716 Rat

Entrez Gene: 679950 Rat

Entrez Gene: 679994 Rat

Entrez Gene: 680511 Rat

Entrez Gene: 680599 Rat

Entrez Gene: 682330 Rat

Entrez Gene: 691496 Rat

SwissProt: P68431 Human

SwissProt: P84243 Human

SwissProt: Q16695 Human

SwissProt: Q6NXT2 Human

SwissProt: Q71DI3 Human

SwissProt: P68433 Mouse

SwissProt: P84228 Mouse

SwissProt: Q6LED0 Rat



组蛋白的基因非常保守,在亲缘关系较远的种属中,四种组蛋白(H2A、H2A、H3、H4)氨基酸序列都非常相似,如海胆组织H3的氨基酸序列与来自小牛胸腺的H3的氨基酸序列间只有一个氨基酸的差异,小牛胸腺的H3的氨基酸序列与豌豆的H3也很相似。组蛋白是细胞核内的一种碱性核蛋白,抗组蛋白抗体即是以组蛋白为靶抗原的一种自身,是抗核抗体的一种。分子量:16-18KDa。主要与药物性红斑狼疮、系统性红斑狼疮、类风湿关节炎有关。
产品图片
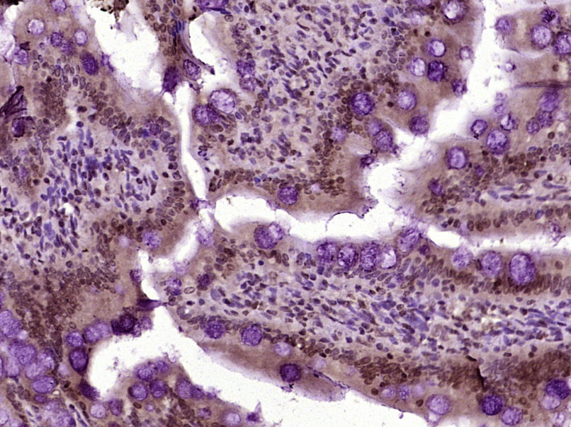
Paraformaldehyde-fixed, paraffin embedded (Rat colon); Antigen retrieval by boiling in sodium citrate buffer (pH6.0) for 15min; Block endogenous peroxidase by 3% hydrogen peroxide for 20 minutes; Blocking buffer (normal goat serum) at 37°C for 30min; Antibody incubation with (Phospho-Histone H3 (Ser10)) Polyclonal Antibody, Unconjugated (bs-3186R) at 1:400 overnight at 4°C, followed by operating according to SP Kit(Rabbit) (sp-0023) instructionsand DAB staining.
Paraformaldehyde-fixed, paraffin embedded (Human kidney); Antigen retrieval by boiling in sodium citrate buffer (pH6.0) for 15min; Block endogenous peroxidase by 3% hydrogen peroxide for 20 minutes; Blocking buffer (normal goat serum) at 37°C for 30min; Antibody incubation with (Phospho-Histone H3 (Ser10)) Polyclonal Antibody, Unconjugated (bs-3186R) at 1:400 overnight at 4°C, followed by operating according to SP Kit(Rabbit) (sp-0023) instructionsand DAB staining.
Paraformaldehyde-fixed, paraffin embedded (Human breast carcinoma); Antigen retrieval by boiling in sodium citrate buffer (pH6.0) for 15min; Block endogenous peroxidase by 3% hydrogen peroxide for 20 minutes; Blocking buffer (normal goat serum) at 37°C for 30min; Antibody incubation with (Phospho-Histone H3 (Ser10)) Polyclonal Antibody, Unconjugated (bs-3186R) at 1:400 overnight at 4°C, followed by operating according to SP Kit(Rabbit) (sp-0023) instructionsand DAB staining.
Blank control (blue line): Hela(fixed with 70% ethanol (Overnight at 4℃) and then permeabilized with 90% ice-cold methanol for 30 min on ice). Primary Antibody (green line): Rabbit Anti-Phospho-Histone H3 (Ser10) antibody (bs-3186R),Dilution: 0.2μg /10^6 cells; Isotype Control Antibody (orange line): Rabbit IgG . Secondary Antibody (white blue line): Goat anti-rabbit IgG-FITC,Dilution: 1μg /test.
Blank control:U-87MG. Primary Antibody (green line): Rabbit Anti-Phospho-Histone H3 antibody (bs-3186R) Dilution: 1μg /10^6 cells; Isotype Control Antibody (orange line): Rabbit IgG . Secondary Antibody : Goat anti-rabbit IgG-AF647 Dilution: 1μg /test. Protocol The cells were fixed with 4% PFA (10min at room temperature)and then permeabilized with 90% ice-cold methanol for 20 min at-20℃. The cells were then incubated in 5%BSA to block non-specific protein-protein interactions for 30 min at at room temperature .Cells stained with Primary Antibody for 30 min at room temperature. The secondary antibody used for 40 min at room temperature. Acquisition of 20,000 events was performed.
Blank control:Hela. Primary Antibody (green line): Rabbit Anti-Histone H3 (Di Methyl K36) antibody (bs-3186R-FITC) Dilution: 2μg /10^6 cells; Isotype Control Antibody (orange line): Rabbit IgG . Protocol The cells were fixed with 4% PFA (10min at room temperature)and then permeabilized with 90% ice-cold methanol for 20 min at -20℃. The cells were then incubated in 5%BSA to block non-specific protein-protein interactions for 30 min at room temperature .Cells stained with Primary Antibody for 30 min at room temperature. Acquisition of 20,000 events was performed.
版权所有 2004-2026 www.bioss.com.cn 北京博奥森生物技术有限公司
通过国际质量管理体系ISO 9001:2015 GB/T 19001-2016    证书编号: 00124Q34771R2M/1100
通过国际医疗器械-质量管理体系ISO 13485:2016 GB/T 42061-2022     证书编号: CQC24QY20047R0M/1100
京ICP备05066980号-1         京公网安备110107000727号