扫码关注公众号           扫码咨询技术支持           扫码咨询技术服务
  
客服热线:400-901-9800  客服QQ:4009019800  技术答疑  技术支持  质量反馈  关于我们  联系我们
产品中心-北京博奥森生物技术有限公司
首页 > 产品中心 > 一抗 > 产品信息
IL-22 Rabbit pAb (bs-2623R)  
订购热线:400-901-9800
订购邮箱:sales@bioss.com.cn
订购QQ:  400-901-9800
技术支持:techsupport@bioss.com.cn
50ul/1180.00元
100ul/1980.00元
200ul/2800.00元
大包装/询价

产品编号 bs-2623R
英文名称 IL-22 Rabbit pAb
中文名称 白介素-22抗体
别    名 Interleukin-22; Il22; Iltif; ILTIFa; MGC129416; MGC129417; IL-10-related T-cell-derived-inducible factor; IL-TIF; ILTIF; IL-TIF alpha; Interleukin-22a; IL-22a; IL 21; IL D110; IL TIF; IL21; IL22; ILD110; interleukin 21; MGC79382; MGC79384; TIFa; TIFIL 23; TIFIL-23; TIFIL23; zcyto18; Cytokine Zcyto18.  
Specific References  (5)     |     bs-2623R has been referenced in 5 publications.
[IF=8.755] Jieying Chen. et al. Nestin+ Peyer's patch resident MSCs enhance healing of inflammatory bowel disease through IL-22-mediated intestinal epithelial repair. CELL PROLIFERAT. 2022 Nov;:e13363  WB ;  Mouse.  
[IF=3.061] Wanzhen Li. et al. Ac2-26 attenuates hepatic ischemia-reperfusion injury in mice via regulating IL-22/IL-22R1/STAT3 signaling. PEERJ. 2022 Sep;10:e14086  WB ;  Mouse.  
[IF=2.09] Huang, Yong-Hong, et al. "Th22 cell accumulation is associated with colorectal cancer development."World Journal of Gastroenterology  IHC-P ;  
[IF=1.42] Karaboga, İhsan, Selim Demirtas, and Turan Karaca. "Investigation of the relationship between the Th17/IL-23 pathway and innate-adaptive immune system in TNBS-induced colitis in rats." Iranian Journal of Basic Medical Sciences 20.8 (2017): 870-879.  WB ;  Rat.  
[IF=0] Zhang, Yan, and Mikhail G. Kolonin. "Cytokine signaling regulating adipose stromal cell trafficking." Adipocyte 5.4 (2016): 369-374.  IHC-P ;  Mouse.  
研究领域 免疫学  
抗体来源 Rabbit
克隆类型 Polyclonal
克 隆 号
交叉反应 Human,Mouse (predicted: Rat,Dog)
产品应用 WB=1:500-2000,IHC-P=1:100-500,IHC-F=1:100-500,IF=1:100-500,Flow-Cyt=1μg /test
not yet tested in other applications.
optimal dilutions/concentrations should be determined by the end user.
理论分子量 17 kDa
检测分子量
细胞定位 分泌型蛋白 
性    状 Liquid
浓    度 1mg/ml
免 疫 原 KLH conjugated synthetic peptide derived from human IL-22: 35-179/179 
亚    型 IgG
纯化方法 affinity purified by Protein A
缓 冲 液 0.01M TBS (pH7.4) with 1% BSA, 0.02% Proclin300 and 50% Glycerol.
保存条件 Shipped at 4℃. Store at -20℃ for one year. Avoid repeated freeze/thaw cycles.
注意事项 This product as supplied is intended for research use only, not for use in human, therapeutic or diagnostic applications.
PubMed PubMed
产品介绍 This gene was identified by its overexpression specifically in herpesvirus samimiri-transformed T cells. The encoded protein is a member of the IL10 family of cytokines. It is a secreted protein and may function as a homodimer. This protein is thought to contribute to the transformed phenotype of T cells after infection by herpesvirus samimiri. [provided by RefSeq].

Function:
Cytokine that contributes to the inflammatory response in vivo.

Subcellular Location:
Secreted.

Similarity:
Belongs to the IL-10 family.

SWISS:
Q9GZX6

Gene ID:
50616

Database links:

Entrez Gene: 50616 Human

Entrez Gene: 50929 Mouse

Entrez Gene: 500836 Rat

Omim: 605330 Human

SwissProt: Q9GZX6 Human

SwissProt: Q9JJY9 Mouse

Unigene: 287369 Human

Unigene: 103585 Mouse

Unigene: 195879 Rat



IL-22是白介素-10家族的成员,主要是由激活的T 淋巴细胞产生的一类重要的细胞因子,除了在Th17细胞中高表达之外,在NK和NKT等细胞中也有表达,在组织损伤修复以及牛皮癣、肝炎、肺炎、肠炎等慢性炎症中发挥重要作用.IL-22是继IL-6和IL-10之后又一个参与炎症反应和代谢调控的细胞因子,IL-22有可能成为干预脂肪肝发生发展的新方法。
产品图片
Sample: A549(Human) Cell Lysate at 30 ug Primary: Anti-IL22 (bs-2623R) at 1/1000 dilution Secondary: IRDye800CW Goat Anti-Rabbit IgG at 1/20000 dilution Predicted band size: 17 kD Observed band size: 19 kD
Sample: Lane 1: 293T (Human) Cell Lysate at 30 ug Lane 2: A549 (Human) Cell Lysate at 30 ug Primary: Anti-IL22 (bs-2623R) at 1/1000 dilution Secondary: IRDye800CW Goat Anti-Rabbit IgG at 1/20000 dilution Predicted band size: 20 kD Observed band size: 18 kD
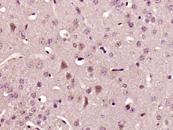
Paraformaldehyde-fixed, paraffin embedded (Mouse brain); Antigen retrieval by boiling in sodium citrate buffer (pH6.0) for 15min; Block endogenous peroxidase by 3% hydrogen peroxide for 20 minutes; Blocking buffer (normal goat serum) at 37°C for 30min; Antibody incubation with (IL22) Polyclonal Antibody, Unconjugated (bs-2623R) at 1:400 overnight at 4°C, followed by a conjugated secondary antibody (sp-0023) for 20 minutes and DAB staining.
Blank control(blue): Mouse liver cells(fixed with 2% paraformaldehyde (10 min) , then permeabilized with 90% ice-cold methanol for 30 min on ice). Primary Antibody: Rabbit Anti-IL22 antibody(bs-2623R), Dilution: 1μg in 100 μL 1X PBS containing 0.5% BSA; Isotype Control Antibody: Rabbit IgG (orange) ,used under the same conditions. Secondary Antibody: Goat anti-rabbit IgG-PE(white blue), Dilution: 1:200 in 1 X PBS containing 0.5% BSA.
版权所有 2004-2026 www.bioss.com.cn 北京博奥森生物技术有限公司
通过国际质量管理体系ISO 9001:2015 GB/T 19001-2016    证书编号: 00124Q34771R2M/1100
通过国际医疗器械-质量管理体系ISO 13485:2016 GB/T 42061-2022     证书编号: CQC24QY20047R0M/1100
京ICP备05066980号-1         京公网安备110107000727号