扫码关注公众号           扫码咨询技术支持           扫码咨询技术服务
  
客服热线:400-901-9800  客服QQ:4009019800  技术答疑  技术支持  质量反馈  关于我们  联系我们
产品中心-北京博奥森生物技术有限公司
首页 > 产品中心 > 一抗 > 产品信息
Angiotensin II Type 1 Receptor Rabbit pAb (bs-2097R)  
订购热线:400-901-9800
订购邮箱:sales@bioss.com.cn
订购QQ:  400-901-9800
技术支持:techsupport@bioss.com.cn
50ul/1180.00元
100ul/1980.00元
200ul/2800.00元
大包装/询价

产品编号 bs-2097R
英文名称 Angiotensin II Type 1 Receptor Rabbit pAb
中文名称 血管紧张素Ⅱ-1型受体抗体
别    名 AG2S; Agtr 1; Agtr1; Agtr1a; AGTR1B; Angiotensin II receptor type 1; AT-1B; AT-1r; AT1; At1a; AT1AR; AT1B; AT1BR; AT2R1; AT2R1A; AT2R1B; HAT1R; Type 1 angiotensin II receptor; AGTR1_HUMAN; Type-1 angiotensin II receptor; Angiotensin II type-1 receptor; AT1R; Ang II; Angiotensin II receptor type 1; Angiotensin receptor 1; Angiotensin receptor 1B; AT 1B; AT1; AT1R.  
研究领域 心血管  生长因子和激素  新陈代谢  
抗体来源 Rabbit
克隆类型 Polyclonal
克 隆 号
交叉反应 Mouse,Rat (predicted: Human,Rabbit,Cow)
产品应用 IHC-P=1:100-500,IHC-F=1:100-500,IF=1:100-500
not yet tested in other applications.
optimal dilutions/concentrations should be determined by the end user.
理论分子量 39 kDa
检测分子量
细胞定位 细胞膜 
性    状 Liquid
浓    度 1mg/ml
免 疫 原 KLH conjugated synthetic peptide derived from human AT1R: 201-300/359 <Cytoplasmic>
亚    型 IgG
纯化方法 affinity purified by Protein A
缓 冲 液 0.01M TBS (pH7.4) with 1% BSA, 0.02% Proclin300 and 50% Glycerol.
保存条件 Shipped at 4℃. Store at -20℃ for one year. Avoid repeated freeze/thaw cycles.
注意事项 This product as supplied is intended for research use only, not for use in human, therapeutic or diagnostic applications.
PubMed PubMed
产品介绍 Angiotensin II is a potent vasopressor hormone and a primary regulator of aldosterone secretion. It is an important effector controlling blood pressure and volume in the cardiovascular system. It acts through at least two types of receptors. This gene encodes the type 1 receptor which is thought to mediate the major cardiovascular effects of angiotensin II. This gene may play a role in the generation of reperfusion arrhythmias following restoration of blood flow to ischemic or infarcted myocardium. It was previously thought that a related gene, denoted as AGTR1B, existed; however, it is now believed that there is only one type 1 receptor gene in humans. At least five transcript variants have been described for this gene. Additional variants have been described but their full-length nature has not been determined. The entire coding sequence is contained in the terminal exon and is present in all transcript variants. [provided by RefSeq].

Function:
Receptor for angiotensin II. Mediates its action by association with G proteins that activate a phosphatidylinositol-calcium second messenger system.

Subunit:
Interacts with MAS1 (Probable). Interacts with ARRB1.

Subcellular Location:
Cell membrane; Multi-pass membrane protein.

Tissue Specificity:
Liver, lung, adrenal and adrenocortical adenomas.

Post-translational modifications:
C-terminal Ser or Thr residues may be phosphorylated.

DISEASE:
Renal tubular dysgenesis (RTD) [MIM:267430]: Autosomal recessive severe disorder of renal tubular development characterized by persistent fetal anuria and perinatal death, probably due to pulmonary hypoplasia from early-onset oligohydramnios (the Potter phenotype). Note=The disease is caused by mutations affecting the gene represented in this entry.

Similarity:
Belongs to the G-protein coupled receptor 1 family.

SWISS:
P30556

Gene ID:
185

Database links:

Entrez Gene: 185 Human

Entrez Gene: 11607 Mouse

Entrez Gene: 11608 Mouse

Entrez Gene: 24180 Rat

Entrez Gene: 81638 Rat

Omim: 106165 Human

SwissProt: P30556 Human

SwissProt: P29754 Mouse

SwissProt: P29755 Mouse

SwissProt: P25095 Rat

SwissProt: P29089 Rat

Unigene: 477887 Human

Unigene: 728754 Human



AT1-受体:血管紧张素Ⅱ-1型受体抗体,主要用于心血管病方面的研究。
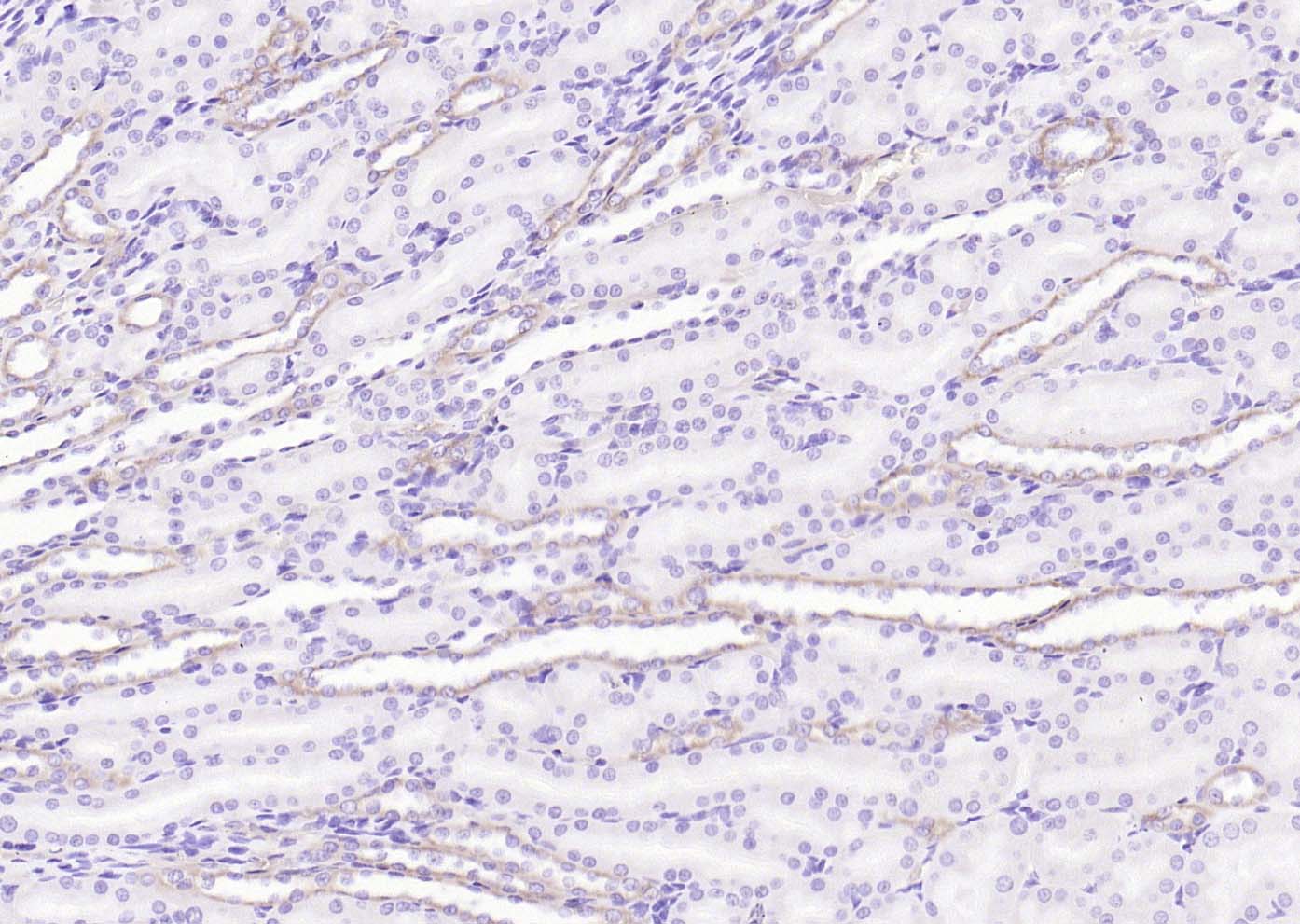
产品图片
Paraformaldehyde-fixed, paraffin embedded (rat kidney); Antigen retrieval by boiling in sodium citrate buffer (pH6.0) for 15min; Block endogenous peroxidase by 3% hydrogen peroxide for 20 minutes; Blocking buffer (normal goat serum) at 37°C for 30min; Antibody incubation with (Angiotensin II Type 1 Receptor) Polyclonal Antibody, Unconjugated (bs-2097R) at 1:200 overnight at 4°C, followed by operating according to SP Kit(Rabbit) (sp-0023) instructionsand DAB staining.
Paraformaldehyde-fixed, paraffin embedded (mouse kidney); Antigen retrieval by boiling in sodium citrate buffer (pH6.0) for 15min; Block endogenous peroxidase by 3% hydrogen peroxide for 20 minutes; Blocking buffer (normal goat serum) at 37°C for 30min; Antibody incubation with (Angiotensin II Type 1 Receptor) Polyclonal Antibody, Unconjugated (bs-2097R) at 1:200 overnight at 4°C, followed by operating according to SP Kit(Rabbit) (sp-0023) instructionsand DAB staining.
版权所有 2004-2026 www.bioss.com.cn 北京博奥森生物技术有限公司
通过国际质量管理体系ISO 9001:2015 GB/T 19001-2016    证书编号: 00124Q34771R2M/1100
通过国际医疗器械-质量管理体系ISO 13485:2016 GB/T 42061-2022     证书编号: CQC24QY20047R0M/1100
京ICP备05066980号-1         京公网安备110107000727号