扫码关注公众号           扫码咨询技术支持           扫码咨询技术服务
  
客服热线:400-901-9800  客服QQ:4009019800  技术答疑  技术支持  质量反馈  人才招聘  关于我们  联系我们
产品中心-北京博奥森生物技术有限公司
首页 > 产品中心 > 一抗 > 产品信息
SPHK1 Rabbit pAb (bs-2652R)  
订购热线:400-901-9800
订购邮箱:sales@bioss.com.cn
订购QQ:  400-901-9800
技术支持:techsupport@bioss.com.cn
50ul/1180.00元
100ul/1980.00元
200ul/2800.00元
大包装/询价

产品编号 bs-2652R
英文名称 SPHK1 Rabbit pAb
中文名称 鞘氨醇激酶1抗体
别    名 SPHK; 1110006G24Rik; Sk1; Spk1; SPHK1_HUMAN; SPHK1; SK 1; SPK 1; Acetyltransferase SPHK1; 2.7.1.91; SPK; SPHK1_MOUSE; SPHK1_RAT;   
Specific References  (9)     |     bs-2652R has been referenced in 9 publications.
[IF=11.743] Harlé Guillaume. et al. Macroautophagy in lymphatic endothelial cells inhibits T cell–mediated autoimmunity. J Exp Med. 2021 Jun;218(6):e20201776.  WB ;  Mouse.  
[IF=6.208] Christopher D. Carlucci. et al. Resveratrol Protects against Skin Inflammation through Inhibition of Mast Cell, Sphingosine Kinase-1, Stat3 and NF-κB p65 Signaling Activation in Mice. INT J MOL SCI. 2023 Jan;24(7):6707  WB ;  Mouse.  
[IF=4.29] Tran, Hai B., et al. "Cigarette smoke inhibits efferocytosis via deregulation of sphingosine kinase signaling: reversal with exogenous S1P and the S1P analogue FTY720." Journal of Leukocyte Biology (2016): jlb-3A1015.  Human.  
[IF=3.612] Hai B. Tran. et al. Dysregulated zinc and sphingosine-1-phosphate signaling in pulmonary hypertension: Potential effects by targeting of bone morphogenetic protein receptor type 2 in pulmonary microvessels. 2021 Aug 15  IF ;  Rat.  
[IF=3.53] Tani, Kohsuke, Keiji Tabuchi, and Akira Hara. "Hair Cell Loss Induced by Sphingosine and a Sphingosine Kinase Inhibitor in the Rat Cochlea."Neurotoxicity research 29.1 (2016): 35-46.  WB, IF(ICC) ;  Rat.  
[IF=2.89] Tran, Hai B., et al. "Disrupted epithelial/macrophage crosstalk via Spinster homologue 2-mediated S1P signaling may drive defective macrophage phagocytic function in COPD." PloS one 12.11 (2017): e0179577.  IF(ICC) ;  Human.  
[IF=2.822] Zhang,et al.The Role of Tumor-Associated Ingredients in Serum on Antitumor Immunity.(2017) Drug Design Development and Therapy. 1:.  ELISA ;  Mouse.  
[IF=2.8] Tran H et al. Enhanced inflammasome activation and reduced sphingosine-1 phosphate S1P signalling in a respiratory mucoobstructive disease model. J Inflamm (Lond) . 2020 Apr 21;17:16.  IF ;  mouse.  
[IF=2.014] Li YAO. et al. Osthole attenuates pulmonary arterial hypertension by the regulation of sphingosine 1-phosphate in rats. Chin J Nat Medicines. 2020 Apr;18:308  WB ;  Rat.  
研究领域 肿瘤  细胞生物  信号转导  细胞凋亡  激酶和磷酸酶  细胞分化  
抗体来源 Rabbit
克隆类型 Polyclonal
克 隆 号
交叉反应 Mouse,Rat (predicted: Human,Rabbit,Cow,Dog)
产品应用 WB=1:500-2000,IHC-P=1:100-500,IHC-F=1:100-500,IF=1:100-500
not yet tested in other applications.
optimal dilutions/concentrations should be determined by the end user.
理论分子量 42-52 kDa
细胞定位 细胞核 细胞浆 细胞膜 
性    状 Liquid
浓    度 1mg/ml
免 疫 原 KLH conjugated synthetic peptide derived from human SPHK1: 1-100/384 
亚    型 IgG
纯化方法 affinity purified by Protein A
缓 冲 液 0.01M TBS (pH7.4) with 1% BSA, 0.02% Proclin300 and 50% Glycerol.
保存条件 Shipped at 4℃. Store at -20℃ for one year. Avoid repeated freeze/thaw cycles.
注意事项 This product as supplied is intended for research use only, not for use in human, therapeutic or diagnostic applications.
PubMed PubMed
产品介绍 The protein encoded by this gene catalyzes the phosphorylation of sphingosine to form sphingosine-1-phosphate (S1P), a lipid mediator with both intra- and extracellular functions. Intracellularly, S1P regulates proliferation and survival, and extracellularly, it is a ligand for cell surface G protein-coupled receptors. This protein, and its product S1P, play a key role in TNF-alpha signaling and the NF-kappa-B activation pathway important in inflammatory, antiapoptotic, and immune processes. Alternatively spliced transcript variants encoding different isoforms have been found for this gene. [provided by RefSeq, Sep 2011]

Function:
Catalyzes the phosphorylation of sphingosine to form sphingosine 1-phosphate (SPP), a lipid mediator with both intra-and extracellular functions. Also acts on D-erythro-sphingosine and to a lesser extent sphinganine, but not other lipids, such as D,L-threo-dihydrosphingosine, N,N-dimethylsphingosine, diacylglycerol, ceramide, or phosphatidylinositol.

Tissue Specificity:
Widely expressed with highest levels in adult liver, kidney, heart and skeletal muscle.

Similarity:
Contains 1 DAGKc domain.

SWISS:
Q9NYA1

Gene ID:
8877

Database links:

Entrez Gene: 8877 Human

Entrez Gene: 20698 Mouse

Entrez Gene: 170897 Rat

Omim: 603730 Human

SwissProt: Q9NYA1 Human

SwissProt: Q8CI15 Mouse

SwissProt: Q91V26 Rat

Unigene: 68061 Human

Unigene: 20944 Mouse

Unigene: 18522 Rat



SPHK1参与鞘氨醇代谢、G蛋白偶联受体蛋白信号转导途径,有抗细胞凋亡的作用,可被蛋白激酶C激活,参与细胞内信号转导级联、钙介导信号转导、调控细胞生长迁移、调控血管生成及成纤维细胞增殖。
产品图片
Sample: Heart (Mouse) Lysate at 30 ug Primary: Anti- SPHK1 (bs-2652R) at 1/300 dilution Secondary: IRDye800CW Goat Anti-Rabbit IgG at 1/20000 dilution Predicted band size: 52 kD Observed band size: 52kD
Sample: Lane 1: Mouse Pancreas tissue lysates Lane 2: Mouse Lung tissue lysates Lane 3: Rat Kidney tissue lysates Primary: Anti-SPHK1 (bs-2652R) at 1/1000 dilution Secondary: IRDye800CW Goat Anti-Rabbit IgG at 1/20000 dilution Predicted band size: 42-52 kDa Observed band size: 50 kDa
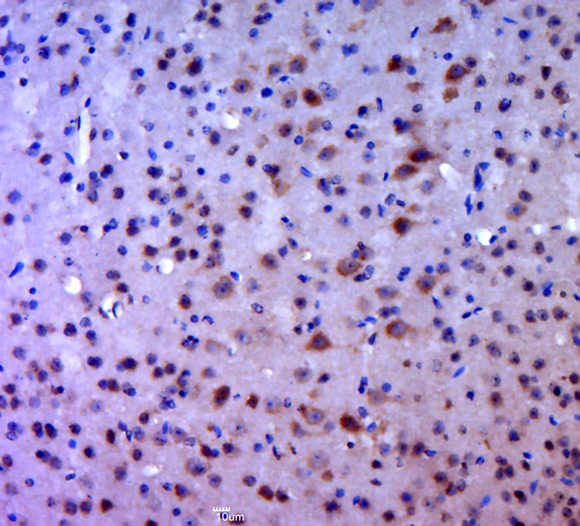
Paraformaldehyde-fixed, paraffin embedded (mouse brain tissue); Antigen retrieval by boiling in sodium citrate buffer (pH6.0) for 15min; Block endogenous peroxidase by 3% hydrogen peroxide for 20 minutes; Blocking buffer (normal goat serum) at 37°C for 30min; Antibody incubation with (SPHK1) Polyclonal Antibody, Unconjugated (bs-2652R) at 1:400 overnight at 4°C, followed by a conjugated secondary (sp-0023) for 20 minutes and DAB staining.
版权所有 2004-2026 www.bioss.com.cn 北京博奥森生物技术有限公司
通过国际质量管理体系ISO 9001:2015 GB/T 19001-2016    证书编号: 00124Q34771R2M/1100
通过国际医疗器械-质量管理体系ISO 13485:2016 GB/T 42061-2022     证书编号: CQC24QY20047R0M/1100
京ICP备05066980号-1         京公网安备110107000727号