扫码关注公众号           扫码咨询技术支持           扫码咨询技术服务
  
客服热线:400-901-9800  客服QQ:4009019800  技术答疑  技术支持  质量反馈  人才招聘  关于我们  联系我们
产品中心-北京博奥森生物技术有限公司
首页 > 产品中心 > 一抗 > 产品信息
Regucalcin Rabbit pAb (bs-2665R)  
订购热线:400-901-9800
订购邮箱:sales@bioss.com.cn
订购QQ:  400-901-9800
技术支持:techsupport@bioss.com.cn
50ul/1180.00元
100ul/1980.00元
200ul/2800.00元
大包装/询价

产品编号 bs-2665R
英文名称 Regucalcin Rabbit pAb
中文名称 衰老标记蛋白30抗体
别    名 GNL; HEL-S-41; RC; SMP30; RGN_HUMAN; RGN; Gluconolactonase (GNL); Senescence marker protein 30 (SMP-30); Q5JRR5_HUMAN; regucalcin; regucalcin (senescence marker protein-30); senescence marker protein-30; gluconolactonase  
研究领域 细胞生物  信号转导  结合蛋白  
抗体来源 Rabbit
克隆类型 Polyclonal
交叉反应 Human,Mouse,Rat (predicted: Rabbit,Pig,Cow,Chicken,Dog,Horse)
产品应用 WB=1:500-2000,IHC-P=1:100-500,IHC-F=1:100-500,IF=1:100-500,Flow-Cyt=2ug/Test
not yet tested in other applications.
optimal dilutions/concentrations should be determined by the end user.
理论分子量 33kDa
检测分子量 33
细胞定位 细胞浆 
性    状 Liquid
浓    度 1mg/ml
免 疫 原 KLH conjugated synthetic peptide derived from human Regucalcin: 65-160/299 
亚    型 IgG
纯化方法 affinity purified by Protein A
缓 冲 液 0.01M TBS (pH7.4) with 1% BSA, 0.02% Proclin300 and 50% Glycerol.
保存条件 Shipped at 4℃. Store at -20℃ for one year. Avoid repeated freeze/thaw cycles.
注意事项 This product as supplied is intended for research use only, not for use in human, therapeutic or diagnostic applications.
PubMed PubMed
产品介绍 Regucalcin is a Ca2+ binding protein that is encoded by a highly conserved gene in vertebrate species. Regucalcin is greatly expressed in liver and kidney cortex, and the expression is mediated through a Ca2+ signaling mechanism with AP1 and NFI-A1 as transcriptional factors. It plays a multifunctional role as a regulatory protein in intracellular signaling processes in the cytoplasm and nucleus of cells including the maintenance of intracellular Ca2+ homeostasis, the regulation of various Ca2+ dependent protein kinases and tyrosine kinases, protein phosphatases, nitric oxide (NO) synthase, and the suppression of nuclear DNA and RNA syntheses. Regucalcin has suppressive effects on cell proliferation, cell death and apoptosis, and is suggested to play a physiologic role in the maintenance of cellular homeostasis.

Function:
Gluconolactonase with low activity towards other sugar lactones, including gulonolactone and galactonolactone. Can also hydrolyze diisopropyl phosphorofluoridate and phenylacetate (in vitro). Calcium-binding protein. Modulates Ca(2+) signaling, and Ca(2+)-dependent cellular processes and enzyme activities.

Subunit:
Monomer.

Subcellular Location:
Cytoplasm.

Similarity:
Belongs to the SMP-30/CGR1 family.

SWISS:
Q5JRR5

Gene ID:
9104

Database links:

Entrez Gene: 9104 Human

Omim: 300212 Human

SwissProt: Q15493 Human

SwissProt: Q5JRR5 Human

Unigene: 77854 Human



产品图片
Sample: Liver (Mouse) Lysate at 40 ug Primary: Anti-Regucalcin (bs-2665R) at 1/300 dilution Secondary: IRDye800CW Goat Anti-Rabbit IgG at 1/20000 dilution Predicted band size: 33 kD Observed band size: 33 kD
Paraformaldehyde-fixed, paraffin embedded (mouse adrenal gland); Antigen retrieval by boiling in sodium citrate buffer (pH6.0) for 15min; Block endogenous peroxidase by 3% hydrogen peroxide for 20 minutes; Blocking buffer (normal goat serum) at 37°C for 30min; Incubation with (Regucalcin) Polyclonal Antibody, Unconjugated (bs-2665R) at 1:200 overnight at 4°C, followed by operating according to SP Kit(Rabbit) (sp-0023) instructionsand DAB staining.
Paraformaldehyde-fixed, paraffin embedded (rat adrenal gland); Antigen retrieval by boiling in sodium citrate buffer (pH6.0) for 15min; Block endogenous peroxidase by 3% hydrogen peroxide for 20 minutes; Blocking buffer (normal goat serum) at 37°C for 30min; Incubation with (Regucalcin) Polyclonal Antibody, Unconjugated (bs-2665R) at 1:200 overnight at 4°C, followed by operating according to SP Kit(Rabbit) (sp-0023) instructionsand DAB staining.
Paraformaldehyde-fixed, paraffin embedded (human kidney); Antigen retrieval by boiling in sodium citrate buffer (pH6.0) for 15min; Block endogenous peroxidase by 3% hydrogen peroxide for 20 minutes; Blocking buffer (normal goat serum) at 37°C for 30min; Incubation with (Regucalcin) Polyclonal Antibody, Unconjugated (bs-2665R) at 1:200 overnight at 4°C, followed by operating according to SP Kit(Rabbit) (sp-0023) instructionsand DAB staining.
Paraformaldehyde-fixed, paraffin embedded (rat kidney); Antigen retrieval by boiling in sodium citrate buffer (pH6.0) for 15min; Block endogenous peroxidase by 3% hydrogen peroxide for 20 minutes; Blocking buffer (normal goat serum) at 37°C for 30min; Incubation with (Regucalcin) Polyclonal Antibody, Unconjugated (bs-2665R) at 1:200 overnight at 4°C, followed by operating according to SP Kit(Rabbit) (sp-0023) instructionsand DAB staining.
Paraformaldehyde-fixed, paraffin embedded (human liver); Antigen retrieval by boiling in sodium citrate buffer (pH6.0) for 15min; Block endogenous peroxidase by 3% hydrogen peroxide for 20 minutes; Blocking buffer (normal goat serum) at 37°C for 30min; Incubation with (Regucalcin) Polyclonal Antibody, Unconjugated (bs-2665R) at 1:200 overnight at 4°C, followed by operating according to SP Kit(Rabbit) (sp-0023) instructionsand DAB staining.
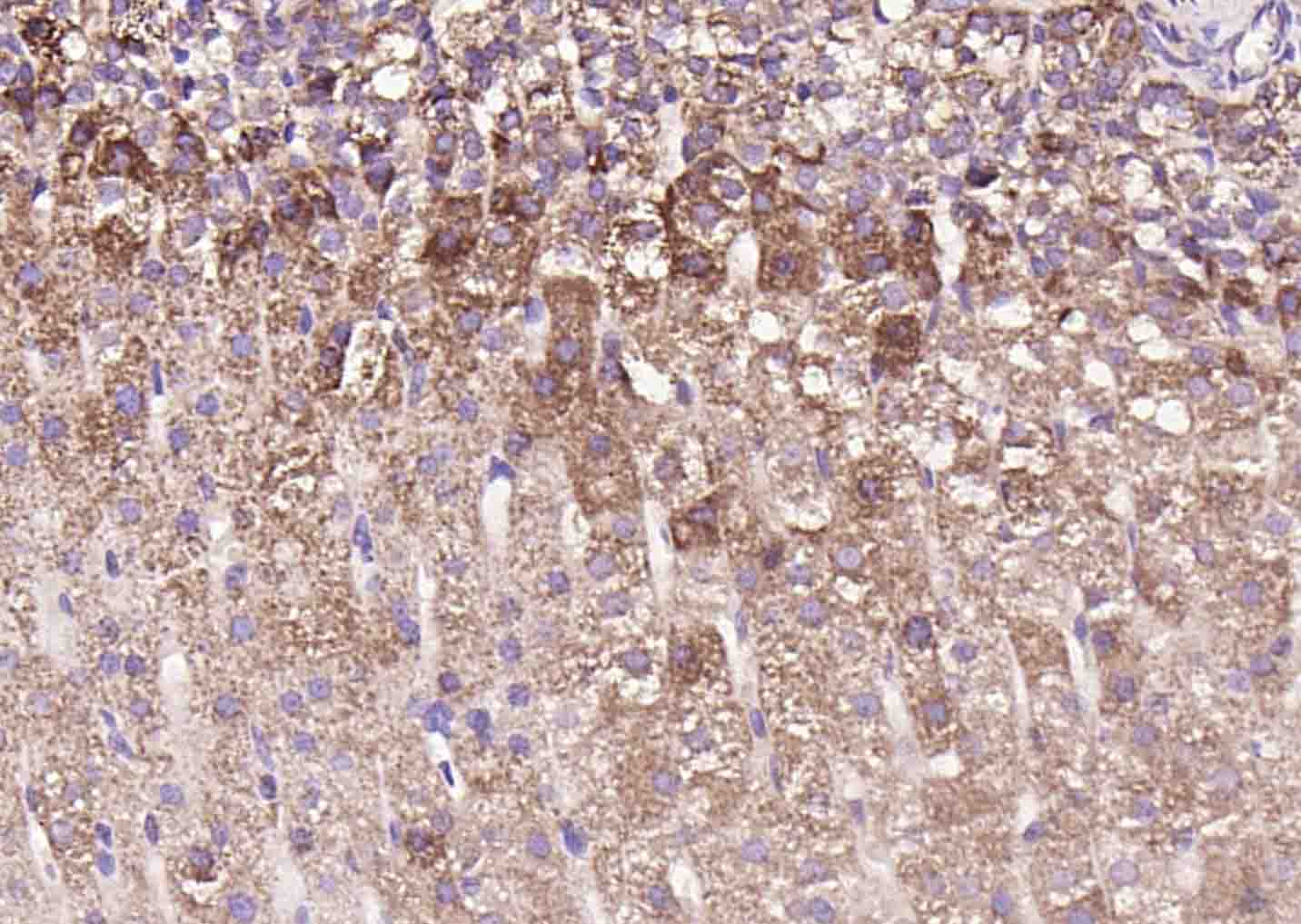
Paraformaldehyde-fixed, paraffin embedded (Rat brain); Antigen retrieval by boiling in sodium citrate buffer (pH6.0) for 15min; Block endogenous peroxidase by 3% hydrogen peroxide for 20 minutes; Blocking buffer (normal goat serum) at 37°C for 30min; Antibody incubation with (Regucalcin) Polyclonal Antibody, Unconjugated (bs-2665R) at 1:400 overnight at 4°C, followed by operating according to SP Kit(Rabbit) (sp-0023) instructionsand DAB staining.
Blank control(black line):HepG2. Primary Antibody (green line): Rabbit Anti-Regucalcin antibody (bs-2665R) Dilution:2ug/Test; Secondary Antibody(white blue line): Goat anti-rabbit IgG-AF488 Dilution: 0.5ug/Test. Isotype control(orange line): Normal Rabbit IgG Protocol The cells were fixed with 4% PFA (10min at room temperature)and then permeabilized with 90% ice-cold methanol for 20 min at -20℃, The cells were then incubated in 5%BSA to block non-specific protein-protein interactions for 30 min at room temperature .Cells stained with Primary Antibody for 30 min at room temperature. The secondary antibody used for 40 min at room temperature. Acquisition of 20,000 events was performed.
版权所有 2004-2026 www.bioss.com.cn 北京博奥森生物技术有限公司
通过国际质量管理体系ISO 9001:2015 GB/T 19001-2016    证书编号: 00124Q34771R2M/1100
通过国际医疗器械-质量管理体系ISO 13485:2016 GB/T 42061-2022     证书编号: CQC24QY20047R0M/1100
京ICP备05066980号-1         京公网安备110107000727号