 
| 产品编号 | bs-2677R | 
| 英文名称 | LRP1 Rabbit pAb | 
| 中文名称 | 低密度脂蛋白受体相关蛋白1抗体 | 
| 别 名 | A2MR; alpha 2 macroglobulin receptor; alpha 2MR; APOER; Apolipoprotein E receptor; APR; CD 91; CD91; CD91 antigen; Low density lipoprotein receptor related protein 1; Low density lipoprotein related protein 1; LRP 1; LRP 515; LRP 85; LRP; LRP ICD; LRP1 protein; LRP515; LRP1_HUMAN. | 
|  | Specific References  (1)     |     bs-2677R has been referenced in 1 publications. 
[IF=4.044] Tetsuya Shimokawa. et al. Prosaposin in the rat oviductal epithelial cells. 2020 Nov 26  IF ;  Rat.   | 
| 研究领域 | 肿瘤 心血管 细胞生物 免疫学 神经生物学 信号转导 转录调节因子 合成与降解 Alzheimer's | 
| 抗体来源 | Rabbit | 
| 克隆类型 | Polyclonal | 
| 克 隆 号 | |
| 交叉反应 | Human,Mouse (predicted: Rat,Rabbit,Pig,Sheep,Cow,Dog) | 
| 产品应用 | IHC-P=1:100-500,IHC-F=1:100-500,IF=1:100-500,Flow-Cyt=1μg /test not yet tested in other applications. optimal dilutions/concentrations should be determined by the end user. | 
| 理论分子量 | 85/515 kDa | 
| 检测分子量 | |
| 细胞定位 | 细胞核 细胞浆 细胞膜 | 
| 性 状 | Liquid | 
| 浓 度 | 1mg/ml | 
| 免 疫 原 | KLH conjugated synthetic peptide derived from human LRP1: 4451-4545/4545 <Cytoplasmic> | 
| 亚 型 | IgG | 
| 纯化方法 | affinity purified by Protein A | 
| 缓 冲 液 | 0.01M TBS (pH7.4) with 1% BSA, 0.02% Proclin300 and 50% Glycerol. | 
| 保存条件 | Shipped at 4℃. Store at -20℃ for one year. Avoid repeated freeze/thaw cycles. | 
| 注意事项 | This product as supplied is intended for research use only, not for use in human, therapeutic or diagnostic applications. | 
| PubMed | PubMed | 
| 产品介绍 | This gene encodes a member of the low-density lipoprotein receptor family of proteins. The encoded preproprotein is proteolytically processed by furin to generate 515 kDa and 85 kDa subunits that form the mature receptor (PMID: 8546712). This receptor is involved in several cellular processes, including intracellular signaling, lipid homeostasis, and clearance of apoptotic cells. In addition, the encoded protein is necessary for the alpha 2-macroglobulin-mediated clearance of secreted amyloid precursor protein and beta-amyloid, the main component of amyloid plaques found in Alzheimer patients. Expression of this gene decreases with age and has been found to be lower than controls in brain tissue from Alzheimer's disease patients. [provided by RefSeq, Oct 2015] Function: Endocytic receptor involved in endocytosis and in phagocytosis of apoptotic cells. Required for early embryonic development. Involved in cellular lipid homeostasis. Involved in the plasma clearance of chylomicron remnants and activated LRPAP1 (alpha 2-macroglobulin), as well as the local metabolism of complexes between plasminogen activators and their endogenous inhibitors. May modulate cellular events, such as APP metabolism, kinase-dependent intracellular signaling, neuronal calcium signaling as well as neurotransmission. Functions as a receptor for Pseudomonas aeruginosa exotoxin A. Subcellular Location: Cell membrane. Membrane, coated pit and Cytoplasm. Nucleus. After cleavage, the intracellular domain (LRPICD) is detected both in the cytoplasm and in the nucleus. Tissue Specificity: Most abundant in liver, brain and lung. Post-translational modifications: Cleaved into a 85 kDa membrane-spanning subunit (LRP-85) and a 515 kDa large extracellular domain (LRP-515) that remains non-covalently associated. Gamma-secretase-dependent cleavage of LRP-85 releases the intracellular domain from the membrane. The N-terminus is blocked. Phosphorylated on serine and threonine residues. Phosphorylated on tyrosine residues upon stimulation with PDGF. Tyrosine phosphorylation promotes interaction with SHC1. Similarity: Belongs to the LDLR family. Contains 22 EGF-like domains. Contains 31 LDL-receptor class A domains. Contains 34 LDL-receptor class B repeats. SWISS: Q07954 Gene ID: 4035 Database links: Entrez Gene: 4035 Human Entrez Gene: 16971 Mouse SwissProt: Q07954 Human SwissProt: Q91ZX7 Mouse | 
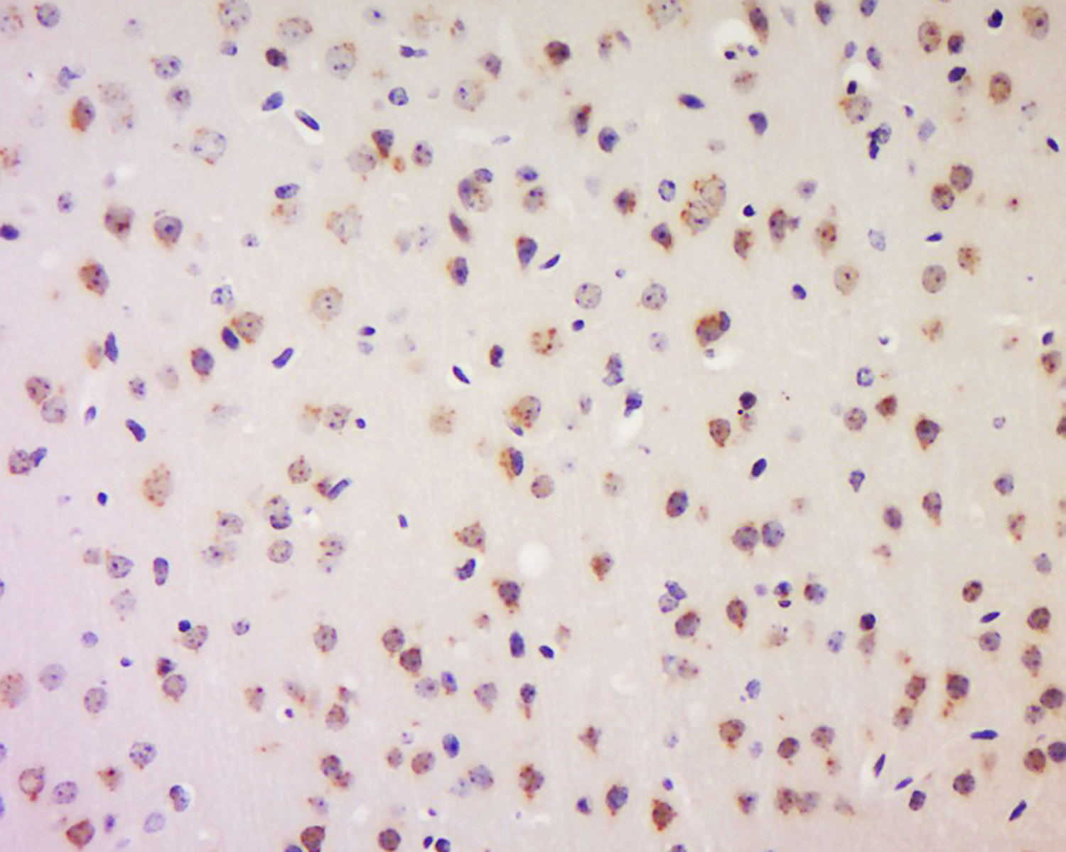
| 产品图片 | 
Tissue/cell: Mouse brain tissue; 4% Paraformaldehyde-fixed and paraffin-embedded; 
Antigen retrieval: citrate buffer ( 0.01M, pH 6.0 ), Boiling bathing for 15min; Block endogenous peroxidase by 3% Hydrogen peroxide for 30min; Blocking buffer (normal goat serum,C-0005) at 37℃ for 20 min; 
Incubation: Anti-LRP1 Polyclonal Antibody, Unconjugated(bs-2677R) 1:200, overnight at 4°C, followed by conjugation to the secondary antibody(SP-0023) and DAB(C-0010) staining
 
Tissue/cell: Mouse lung carcinoma; 4% Paraformaldehyde-fixed and paraffin-embedded; 
Antigen retrieval: citrate buffer ( 0.01M, pH 6.0 ), Boiling bathing for 15min; Block endogenous peroxidase by 3% Hydrogen peroxide for 30min; Blocking buffer (normal goat serum,C-0005) at 37℃ for 20 min; 
Incubation: Anti-LRP1 Polyclonal Antibody, Unconjugated(bs-2677R) 1:200, overnight at 4°C, followed by conjugation to the secondary antibody(SP-0023) and DAB(C-0010) staining
 
Blank control(blue):U937 (fixed with 2% paraformaldehyde (10 min)).  Primary Antibody:Rabbit Anti-LRP1 antibody(bs-2677R), Dilution: 1μg in 100 μL 1X PBS containing 0.5% BSA;   Isotype Control Antibody: Rabbit IgG(orange) ,used under the same conditions );   Secondary Antibody: Goat anti-rabbit IgG-PE(white blue), Dilution: 1:200 in 1 X PBS containing 0.5% BSA.
 | 
| 1、抗体溶解方法 | |
| 2、抗体修复方式 | |
| 3、常用试剂的配制 | |
| 4、免疫组化操作步骤 | |
| 5、免疫组化问题解答 | |
| 6、Western Blotting 操作步骤 | |
| 7、Western Blotting 问题解答 | |
| 8、关于肽链的设计 | |
| 9、多肽的溶解与保存 | |
| 10、酶标抗体效价测定程序 | |