扫码关注公众号           扫码咨询技术支持           扫码咨询技术服务
  
客服热线:400-901-9800  客服QQ:4009019800  技术答疑  技术支持  质量反馈  人才招聘  关于我们  联系我们
产品中心-北京博奥森生物技术有限公司
首页 > 产品中心 > 一抗 > 产品信息
phospho-Nrf2 (Ser40) Rabbit pAb (bs-2013R)  
订购热线:400-901-9800
订购邮箱:sales@bioss.com.cn
订购QQ:  400-901-9800
技术支持:techsupport@bioss.com.cn
50ul/1180.00元
100ul/1980.00元
200ul/2800.00元
大包装/询价

产品编号 bs-2013R
英文名称 phospho-Nrf2 (Ser40) Rabbit pAb
中文名称 磷酸化核因子2相关因子2(Ser40)抗体
别    名 NFE2L2 | NRF2 (phospho-S40); p-NRF2; phospho-NRF2; p-NFE2L2; NFE2L2 | NRF2 (phospho-Ser40); HEBP1; IMDDHH; NRF2; Nrf-2; NF2L2_HUMAN; NFE2L2; NF-E2-related factor 2; NFE2-related factor 2; Nuclear factor, erythroid derived 2, like 2;   
Specific References  (48)     |     bs-2013R has been referenced in 48 publications.
[IF=9.274] Wiebke Sachs. et al. Distinct Modes of Balancing Glomerular Cell Proteostasis in Mucolipidosis Type II and III Prevent Proteinuria. J Am Soc Nephrol. 2020 Aug;31(8):1796-1814  WB,IF ;  Mouse.  
[IF=8.071] Ming Qi. et al. Ellagic acid ameliorates paraquat-induced liver injury associated with improved gut microbial profile. Environ Pollut. 2022 Jan;293:118572  WB ;  Pig.  
[IF=7.446] Jianbing Wu. et al. Design, Synthesis, and Biological Evaluation of Organic Nitrite (NO2–) Donors as Potential Anticerebral Ischemia Agents. J Med Chem. 2021;XXXX(XXX):XXX-XXX  IHC ;  Rat.  
[IF=7.376] Ziling Wang. et al. Ginsenoside Rg1 prevents bone marrow mesenchymal stem cell senescence via NRF2 and PI3K/Akt signaling. Free Radical Bio Med. 2021 Aug;:  WB ;  Mouse.  
[IF=7.376] Ziling Wang. et al. Ginsenoside Rg1 prevents bone marrow mesenchymal stem cell senescence via NRF2 and PI3K/Akt signaling. Free Radical Bio Med. 2021 Aug;:  WB ;  Mouse.  
[IF=7.19] Mo, Chunfen, et al. "The Crosstalk between Nrf2 and AMPK Pathways Is Important for the Anti-inflammatory Effect of Berberine in LPS-Stimulated Macrophages and Endotoxin-Shocked Mice."?Antioxidants & redox signaling?ja (2013).  
[IF=7.129] Jie Luo. et al. Copper nanoparticles lead to reproductive dysfunction by affecting key enzymes of ovarian hormone synthesis and metabolism in female rats. ECOTOX ENVIRON SAFE. 2023 Apr;254:114704  WB ;  Rat.  
[IF=6.922] Yunxiao Zhong. et al. Nrf2 Inhibits the Progression of Parkinson’s Disease by Upregulating AABR07032261.5 to Repress Pyroptosis. J Inflamm Res. 2022 Feb;15:669-685  WB ;  Rat.  
[IF=6.819] Kim, Da-Eun. et al. Plk2-mediated phosphorylation and translocalization of Nrf2 activates anti-inflammation through p53/Plk2/p21cip1 signaling in acute kidney injury. CELL BIOL TOXICOL. 2022 Jul;:1-21  WB ;  Rat.  
[IF=6.656] Ye Yang. et al. Neocryptotanshinone protects against myocardial ischemia-reperfusion injury by promoting autolysosome degradation of protein aggregates via the ERK1/2-Nrf2-LAMP2 pathway. PHYTOMEDICINE. 2023 Feb;110:154625  WB ;  Rat.  
[IF=6.388] Rui Ji. et al. Carnosol inhibits KGN cells oxidative stress and apoptosis and attenuates polycystic ovary syndrome phenotypes in mice through Keap1-mediated Nrf2/HO-1 activation. PHYTOTHER RES. 2023 Feb;:  WB ;  Mouse,Human.  
[IF=6.205] Michelle L. Kerns. et al. Pathogenic and therapeutic role for NRF2 signaling in ultraviolet light–induced skin pigmentation. Jci Insight. 2020 Oct 15; 5(20): e139342  IF,IHC ;  Human, Mouse.  
[IF=5.74] Santofimia-Castaño, Patricia, et al. "Melatonin induces the expression of Nrf2-regulated antioxidant enzymes via PKC and Ca 2+ influx activation in mouse pancreatic acinar cells." Free Radical Biology and Medicine (2015).  Rat.  
[IF=5.27] Lee, Bao-Hong, et al. "Dimerumic acid attenuates receptor for advanced glycation endproduct (RAGE) signal to inhibit inflammation and diabetes mediated by Nrf2 activation and promoted methylglyoxal metabolism into D-lactate acid" Free Radical Biology and Medicine  WB ;  Human, Mouse.  
[IF=5.27] Lee, Bao-Hong, et al. "Ankaflavin: A natural novel PPAR?? agonist up-regulated Nrf2 to attenuate methylglyoxal (MG)-induced diabetes< i> in vivo."Free Radical Biology and Medicine (2012).y  WB ;  Rat.  
[IF=5.201] Marina K et al. Mesenchymal Stem Cells Early Response to Low-Dose Ionizing RadiationFront Cell Dev Biol.2020 Dec 14;8:584497.  FCM ;  Human.  
[IF=5.187] Ana L. Vivinetto. et al. Myelin-associated glycoprotein activation triggers glutamate uptake by oligodendrocytes in vitro and contributes to ameliorate glutamate-mediated toxicity in vivo. Bba-Mol Basis Dis. 2022 Apr;1868:166324  IF ;  Rat.  
[IF=5.03] Yen, Ting-Lin, et al. "Andrographolide stimulates p38 MAPK-Nrf2-HO-1 signaling in primary cerebral endothelial cells for definite protection against ischemic stroke in rats." Translational Research (2016).  WB ;  Mouse.  
[IF=4.925] Xueling Zhang. et al. Type 2 Diabetes Mellitus Makes Corneal Endothelial Cells Vulnerable to Ultraviolet A-Induced Oxidative Damage Via Decreased DJ-1/Nrf2/NQO1 Pathway. INVEST OPHTH VIS SCI. 2022 Nov;63(12):25-25  WB ;  Human.  
[IF=4.716] Gong H et al. Nrf2-SHP Cascade-Mediated STAT3 Inactivation Contributes to AMPK-Driven Protection Against Endotoxic Inflammation. Front Immunol. 2020 Mar 10;11:414.  WB ;  Mouse.  
[IF=4.556] Jong Ik Jeonet al. Bacteroides fragilis Enterotoxin Induces Sulfiredoxin-1 Expression in Intestinal Epithelial Cell Lines Through a Mitogen-Activated Protein Kinases- and Nrf2-Dependent Pathway, Leading to the Suppression of Apoptosis. Int J Mol Sci . 2020 Jul 29;21(15):5383.  WB ;  Human.  
[IF=4.48] Cárdeno, Ana, et al. "Squalene targets pro-and anti-inflammatory mediators and pathways to modulate over-activation of neutrophils, monocytes and macrophages." Journal of Functional Foods 14 (2015): 779-790.  WB ;  Human.  
[IF=4.412] Ning Zhou. et al. Protective Effect of Resveratrol on Immortalized Duck Intestinal Epithelial Cells Exposed to H2O2. MOLECULES. 2022 Jan;27(11):3542  WB ;  Duck.  
[IF=4.315] Hao Huang. et al. Maintaining blood retinal barrier homeostasis to attenuate retinal ischemia-reperfusion injury by targeting the KEAP1/NRF2/ARE pathway with lycopene. Cell Signal. 2021 Dec;88:110153  WB,IF ;  Human.  
[IF=4.29] Ghosh, Anindya, et al. "Insulin Inhibits Nrf2 Gene Expression via Heterogeneous Nuclear Ribonucleoprotein F/K in Diabetic Mice." Endocrinology 158.4 (2017): 903-919.  WB ;  Mouse.  
[IF=4.119] Cheng-You Lu. et al. Calycosin alleviates H2O2-induced astrocyte injury by restricting oxidative stress through the Akt/Nrf2/HO-1 signaling pathway. 2022 Jan 06  WB ;  Rat.  
[IF=4.109] Jhong-Kuei Chen. et al. Artemisia argyi extract ameliorates IL-17A-induced inflammatory response by regulation of NF-κB and Nrf2 expression in HIG-82 synoviocytes. ENVIRON TOXICOL. 2022 Aug;:  WB ;  Rabbit.  
[IF=3.961] Ghosh et al. Insulin Inhibits Nrf2 Gene Expression via Heterogeneous Nuclear Ribonucleoprotein F/K in Diabetic Mice. (2017) Endocrinology. 158:903-919  WB ;  Mouse.  
[IF=3.85] Kim, Mi-Hwi, et al. "EX4 stabilizes and activates Nrf2 via PKCδ, contributing to the prevention of oxidative stress-induced pancreatic beta cell damage." Toxicology and Applied Pharmacology (2016).  WB ;  Rat.  
[IF=3.73] Ko, Su Hyuk, et al. "Bacteroides fragilis Enterotoxin Upregulates Heme Oxygenase-1 in Intestinal Epithelial Cells via a Mitogen-Activated Protein Kinases-and NF-κB-Dependent Pathway, Leading to Modulation of Apoptosis." Infection and Immunity (2016): IAI-00191.  IF(ICC) ;  Mouse.  
产品类型 磷酸化抗体 
研究领域 免疫学  染色质和核信号  细胞凋亡  转录调节因子  激酶和磷酸酶  
抗体来源 Rabbit
克隆类型 Polyclonal
克 隆 号
交叉反应 Human
产品应用 WB=1:500-2000,IHC-P=1:100-500,IHC-F=1:100-500,IF=1:100-500,Flow-Cyt=1μg/Test,ICC/IF=1:100-500
not yet tested in other applications.
optimal dilutions/concentrations should be determined by the end user.
理论分子量 68 kDa
检测分子量 100
细胞定位 细胞核 细胞浆 
性    状 Liquid
浓    度 1mg/ml
免 疫 原 KLH conjugated Synthesised phosphopeptide derived from human Nrf2 around the phosphorylation site of Ser40: DF(p-S)QR 
亚    型 IgG
纯化方法 affinity purified by Protein A
缓 冲 液 0.01M TBS (pH7.4) with 1% BSA, 0.02% Proclin300 and 50% Glycerol.
保存条件 Shipped at 4℃. Store at -20℃ for one year. Avoid repeated freeze/thaw cycles.
注意事项 This product as supplied is intended for research use only, not for use in human, therapeutic or diagnostic applications.
PubMed PubMed
产品介绍 Nuclear factor erythroid 2-related factor 2 (Nrf2) is a transcription factor which regulates the expression of many detoxification and antioxidant enzymes. Nrf2 can potentially play a significant role in adaptive responses to oxidative stress. Nrf2 belongs to the Cap N Collar (CNC-bZIP) subfamily of basic /leucine zipper (bZIP) transcription factors.

Function:
Transcription activator that binds to antioxidant response (ARE) elements in the promoter regions of target genes. Important for the coordinated up-regulation of genes in response to oxidative stress. May be involved in the transcriptional activation of genes of the beta-globin cluster by mediating enhancer activity of hypersensitive site 2 of the beta-globin locus control region.

Subunit:
Heterodimer. Forms a ternary complex with PGAM5 and KEAP1. May bind DNA with an unknown protein. Interacts via its leucine-zipper domain with the coiled-coil domain of PMF1.

Subcellular Location:
Cytoplasm, cytosol. Nucleus. Note=Cytosolic under unstressed conditions, translocates into the nucleus upon induction by electrophilic agents.

Tissue Specificity:
Widely expressed. Highest expression in adult muscle, kidney, lung, liver and in fetal muscle.

Post-translational modifications:
Phosphorylation of Ser-40 by PKC in response to oxidative stress dissociates NFE2L2 from its cytoplasmic inhibitor KEAP1, promoting its translocation into the nucleus.

Similarity:
Belongs to the bZIP family. CNC subfamily.
Contains 1 bZIP domain.

SWISS:
Q16236

Gene ID:
4780

Database links:

Entrez Gene: 4780 Human

Omim: 600492 Human

SwissProt: Q16236 Human



产品图片
25 ug total protein per lane of various lysates (see on figure) probed with phospho-Nrf2 (Ser40) polyclonal antibody, unconjugated (bs-2013R) at 1:1000 dilution and 4°C overnight incubation. Followed by conjugated secondary antibody incubation at r.t. for 60 min.
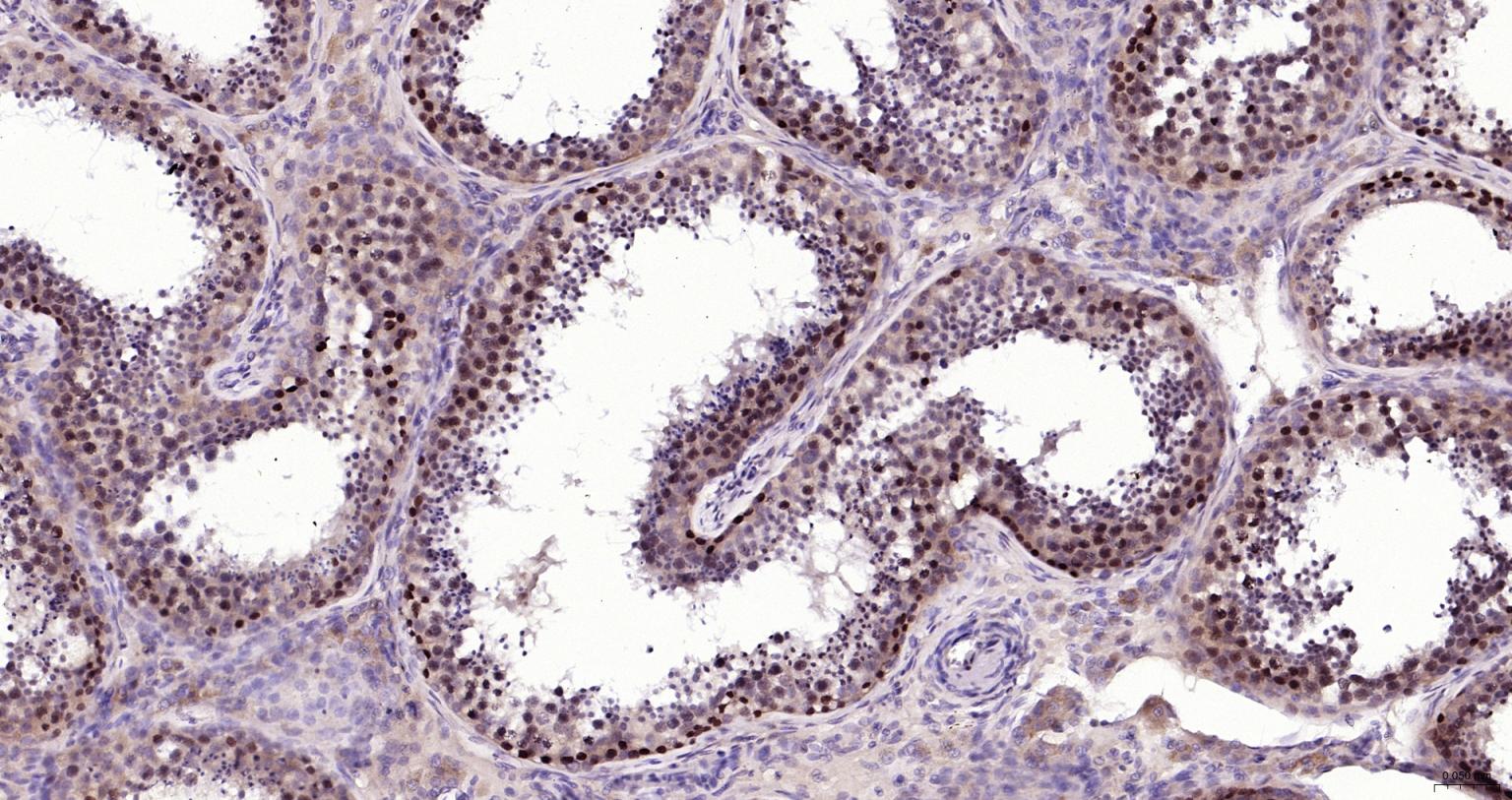
Paraformaldehyde-fixed, paraffin embedded Human Testicles; Antigen retrieval by boiling in sodium citrate buffer (pH6.0) for 15 min; The section was incubated with phospho-Nrf2 (Ser40) Polyclonal Antibody, Unconjugated (bs-2013R) at 1:200 overnight at 4°C, followed by conjugation to the bs-0295G-HRP and DAB (C-0010) staining.
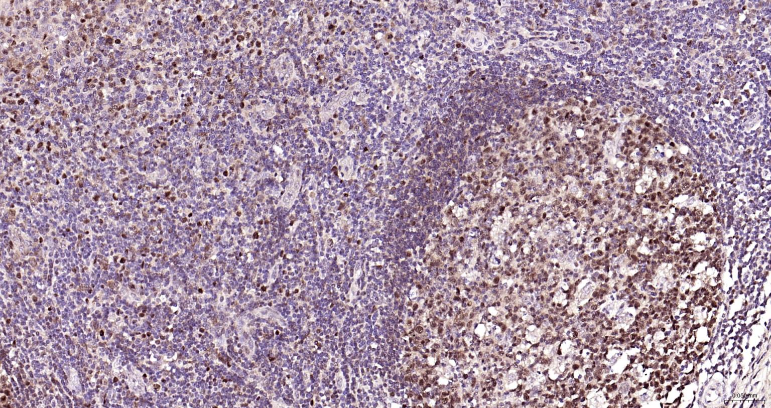
Paraformaldehyde-fixed, paraffin embedded Human Tonsil; Antigen retrieval by boiling in sodium citrate buffer (pH6.0) for 15 min; The section was incubated with phospho-Nrf2 (Ser40) Polyclonal Antibody, Unconjugated (bs-2013R) at 1:200 overnight at 4°C, followed by conjugation to the bs-0295G-HRP and DAB (C-0010) staining.
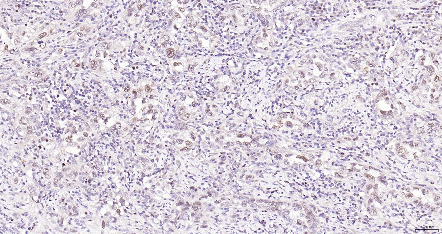
Paraformaldehyde-fixed, paraffin embedded Human Cervical Cancer; Antigen retrieval by boiling in sodium citrate buffer (pH6.0) for 15 min; The section was incubated with phospho-Nrf2 (Ser40) Polyclonal Antibody, Unconjugated (bs-2013R) at 1:200 overnight at 4°C, followed by conjugation to the bs-0295G-HRP and DAB (C-0010) staining.
HeLa cell; 4% Paraformaldehyde-fixed; Triton X-100 at room temperature for 20 min; Blocking buffer (normal goat serum, C-0005) at 37°C for 20 min; Antibody incubation with (phospho-Nrf2 (Ser40)) polyclonal Antibody, Unconjugated (bs-2013R) 1:100, 90 minutes at 37°C; followed by a conjugated Goat Anti-Rabbit IgG antibody at 37°C for 90 minutes, DAPI (blue, C02-04002) was used to stain the cell nuclei.
Blank control:HeLa. Primary Antibody (green line): Rabbit Anti-phospho-Nrf2 (Ser40) antibody (bs-2013R) Dilution: 1ug/Test; Secondary Antibody : Goat anti-rabbit IgG-BF488 Dilution: 0.5ug/Test. Protocol The cells were fixed with 4% PFA (10min at room temperature)and then permeabilized with 90% ice-cold methanol for 20 min at -20℃.The cells were then incubated in 5%BSA to block non-specific protein-protein interactions for 30 min at room temperature .Cells stained with Primary Antibody for 30 min at room temperature. The secondary antibody used for 40 min at room temperature. Acquisition of 20,000 events was performed.
版权所有 2004-2026 www.bioss.com.cn 北京博奥森生物技术有限公司
通过国际质量管理体系ISO 9001:2015 GB/T 19001-2016    证书编号: 00124Q34771R2M/1100
通过国际医疗器械-质量管理体系ISO 13485:2016 GB/T 42061-2022     证书编号: CQC24QY20047R0M/1100
京ICP备05066980号-1         京公网安备110107000727号