 
| 产品编号 | bs-3088R | 
| 英文名称 | phospho-Beta catenin (Thr41 + Ser45) Rabbit pAb | 
| 中文名称 | 磷酸化β 连环素蛋白抗体 | 
| 别 名 | CTNB1_HUMAN; Catenin beta-1; catenin beta 1; CTNNB1; Catenin beta; Beta-catenin; CTNNB; OK/SW-cl.35; PRO2286; EVR7; MRD19; NEDSDV; armadillo; βcatenin; β catenin; β-catenin; | 
| 产品类型 | 磷酸化抗体 | 
| 研究领域 | 肿瘤 细胞生物 神经生物学 信号转导 干细胞 细胞凋亡 细胞粘附分子 | 
| 抗体来源 | Rabbit | 
| 克隆类型 | Polyclonal | 
| 克 隆 号 | |
| 交叉反应 | Human,Rat (predicted: Mouse,Rabbit,Pig,Cow,Chicken,Horse) | 
| 产品应用 | IHC-P=1:100-500,IHC-F=1:100-500,IF=1:100-500,Flow-Cyt=1μg /test,ICC/IF=1:100-500 not yet tested in other applications. optimal dilutions/concentrations should be determined by the end user. | 
| 理论分子量 | 86 kDa | 
| 检测分子量 | |
| 细胞定位 | 细胞核 细胞浆 细胞膜 细胞外基质 | 
| 性 状 | Liquid | 
| 浓 度 | 1mg/ml | 
| 免 疫 原 | KLH conjugated Synthesised phosphopeptide derived from human Beta-Catenin around the phosphorylation site of Thr41/Ser45: AT(p-T)TAP(p-S)LS | 
| 亚 型 | IgG | 
| 纯化方法 | affinity purified by Protein A | 
| 缓 冲 液 | 0.01M TBS (pH7.4) with 1% BSA, 0.02% Proclin300 and 50% Glycerol. | 
| 保存条件 | Shipped at 4℃. Store at -20℃ for one year. Avoid repeated freeze/thaw cycles. | 
| 注意事项 | This product as supplied is intended for research use only, not for use in human, therapeutic or diagnostic applications. | 
| PubMed | PubMed | 
| 产品介绍 | The protein encoded by this gene is part of a complex of proteins that constitute adherens junctions (AJs). AJs are necessary for the creation and maintenance of epithelial cell layers by regulating cell growth and adhesion between cells. The encoded protein also anchors the actin cytoskeleton and may be responsible for transmitting the contact inhibition signal that causes cells to stop dividing once the epithelial sheet is complete. Finally, this protein binds to the product of the APC gene, which is mutated in adenomatous polyposis of the colon. Mutations in this gene are a cause of colorectal cancer (CRC), pilomatrixoma (PTR), medulloblastoma (MDB), and ovarian cancer. Three transcript variants encoding the same protein have been found for this gene.[provided by RefSeq, Oct 2009]. Function: Key downstream component of the canonical Wnt signaling pathway. In the absence of Wnt, forms a complex with AXIN1, AXIN2, APC, CSNK1A1 and GSK3B that promotes phosphorylation on N-terminal Ser and Thr residues and ubiquitination of CTNNB1 via BTRC and its subsequent degradation by the proteasome. In the presence of Wnt ligand, CTNNB1 is not ubiquitinated and accumulates in the nucleus, where it acts as a coactivator for transcription factors of the TCF/LEF family, leading to activate Wnt responsive genes. Involved in the regulation of cell adhesion. Acts as a negative regulator of centrosome cohesion. Involved in the CDK2/PTPN6/CTNNB1/CEACAM1 pathway of insulin internalization. Blocks anoikis of malignant kidney and intestinal epithelial cells and promotes their anchorage-independent growth by down-regulating DAPK2. Disrupts PML function and PML-NB formation by inhibiting RANBP2-mediated sumoylation of PML. Subunit: Two separate complex-associated pools are found in the cytoplasm. The majority is present as component of an E-cadherin/ catenin adhesion complex composed of at least E-cadherin/CDH1 and beta-catenin/CTNNB1, and possibly alpha-catenin/CTNNA1; the complex is located to adherens junctions. The stable association of CTNNA1 is controversial as CTNNA1 was shown not to bind to F-actin when assembled in the complex. Alternatively, the CTNNA1-containing complex may be linked to F-actin by other proteins such as LIMA1. Another cytoplasmic pool is part of a large complex containing AXIN1, AXIN2, APC, CSNK1A1 and GSK3B that promotes phosphorylation on N-terminal Ser and Thr residues and ubiquitination of CTNNB1 via BTRC and its subsequent degradation by the proteasome. Wnt-dependent activation of DVL antagonizes the action of GSK3B. When GSK3B activity is inhibited the complex dissociates, CTNNB1 is dephosphorylated and is no longer targeted for destruction. The stabilized protein translocates to the nucleus, where it binds TCF/LEF-1 family members, TBP, BCL9 and possibly also RUVBL1 and CHD8. Binds CTNNBIP and EP300. CTNNB1 forms a ternary complex with LEF1 and EP300 that is disrupted by CTNNBIP1 binding (By similarity). Interacts with TAX1BP3 (via the PDZ domain); this interaction inhibits the transcriptional activity of CTNNB1 (By similarity). Interacts with AJAP1, BAIAP1, CARM1, CTNNA3, CXADR and PCDH11Y. Binds SLC9A3R1. Interacts with GLIS2 and MUC1. Interacts with SLC30A9. Interacts with XIRP1 (By similarity). Interacts directly with AXIN1; the interaction is regulated by CDK2 phosphorylation of AXIN1 (By similarity). Interacts with SCRIB (By similarity). Interacts with PTPRU (via the cytoplasmic juxtamembrane domain). Interacts with EMD. Interacts with TNIK and TCF7L2. Interacts with SESTD1 and TRPC4. Interacts with CAV1. Interacts with TRPV4. The TRPV4 and CTNNB1 complex can interact with CDH1. Interacts with VCL (By similarity). Interacts with PTPRJ. Interacts with PKT7 and CDK2. Interacts with FAT1 (via the cytoplasmic domain) (By similarity). Interacts with NANOS1 and NDRG2. Interacts with isoform 1 of NEK2. Interacts with both isoform 1 and isoform 2 of CDK5. Interacts with PTK6. Interacts with SOX7; this interaction may lead to proteasomal degradation of active CTNNB1 and thus inhibition of Wnt/beta-catenin-stimulated transcription. Identified in a complex with HINT1 and MITF. Interacts with FHIT. The CTNNB1 and TCF4 complex interacts with PML (isoform PML-4). Interacts with FERMT2. Identified in a complex with TCF4 and FERMT2. Subcellular Location: Cytoplasm. Nucleus. Cytoplasm, cytoskeleton. Cell junction, adherens junction. Cell junction. Cell membrane. Cytoplasm, cytoskeleton, centrosome. Cytoplasm, cytoskeleton, spindle pole. Note=Cytoplasmic when it is unstabilized (high level of phosphorylation) or bound to CDH1. Translocates to the nucleus when it is stabilized (low level of phosphorylation). Interaction with GLIS2 and MUC1 promotes nuclear translocation. Interaction with EMD inhibits nuclear localization. The majority of beta-catenin is localized to the cell membrane. In interphase, colocalizes with CROCC between CEP250 puncta at the proximal end of centrioles, and this localization is dependent on CROCC and CEP250. In mitosis, when NEK2 activity increases, it localizes to centrosomes at spindle poles independent of CROCC. Co-localizes with CDK5 in the cell-cell contacts and plasma membrane of undifferentiated and differentiated neuroblastoma cells. Tissue Specificity: Expressed in several hair follicle cell types: basal and peripheral matrix cells, and cells of the outer and inner root sheaths. Expressed in colon. Present in cortical neurons (at protein level). Post-translational modifications: Phosphorylation at Ser-552 by AMPK promotes stabilizion of the protein, enhancing TCF/LEF-mediated transcription. Phosphorylation by GSK3B requires prior phosphorylation of Ser-45 by another kinase. Phosphorylation proceeds then from Thr-41 to Ser-37 and Ser-33. Phosphorylated by NEK2. EGF stimulates tyrosine phosphorylation. Phosphorylation on Tyr-654 decreases CDH1 binding and enhances TBP binding. Phosphorylated on Ser-33 and Ser-37 by HIPK2. This phosphorylation triggers proteasomal degradation. Phosphorylation on Ser-191 and Ser-246 by CDK5. Phosphorylation by CDK2 regulates insulin internalization. Phosphorylation by PTK6 at Tyr-64, Tyr-142, Tyr-331 and/or Tyr-333 with the predominant site at Tyr-64 is not essential for inhibition of transcriptional activity. Ubiquitinated by the SCF(BTRC) E3 ligase complex when phosphorylated by GSK3B, leading to its degradation. Ubiquitinated by a E3 ubiquitin ligase complex containing UBE2D1, SIAH1, CACYBP/SIP, SKP1, APC and TBL1X, leading to its subsequent proteasomal degradation (By similarity). S-nitrosylation at Cys-619 within adherens junctions promotes VEGF-induced, NO-dependent endothelial cell permeability by disrupting interaction with E-cadherin, thus mediating disassembly adherens junctions. DISEASE: Colorectal cancer (CRC) [MIM:114500]: A complex disease characterized by malignant lesions arising from the inner wall of the large intestine (the colon) and the rectum. Genetic alterations are often associated with progression from premalignant lesion (adenoma) to invasive adenocarcinoma. Risk factors for cancer of the colon and rectum include colon polyps, long-standing ulcerative colitis, and genetic family history. Note=The gene represented in this entry may be involved in disease pathogenesis. Note=Activating mutations in CTNNB1 have oncogenic activity resulting in tumor development. Somatic mutations are found in various tumor types, including colon cancers, ovarian and prostate carcinomas, hepatoblastoma (HB), hepatocellular carcinoma (HCC). HBs are malignant embryonal tumors mainly affecting young children in the first three years of life. Pilomatrixoma (PTR) [MIM:132600]: Common benign skin tumor. Note=The disease is caused by mutations affecting the gene represented in this entry. Medulloblastoma (MDB) [MIM:155255]: Malignant, invasive embryonal tumor of the cerebellum with a preferential manifestation in children. Note=The gene represented in this entry may be involved in disease pathogenesis. Ovarian cancer (OC) [MIM:167000]: The term ovarian cancer defines malignancies originating from ovarian tissue. Although many histologic types of ovarian tumors have been described, epithelial ovarian carcinoma is the most common form. Ovarian cancers are often asymptomatic and the recognized signs and symptoms, even of late-stage disease, are vague. Consequently, most patients are diagnosed with advanced disease. Note=Disease susceptibility is associated with variations affecting the gene represented in this entry. Note=A chromosomal aberration involving CTNNB1 is found in salivary gland pleiomorphic adenomas, the most common benign epithelial tumors of the salivary gland. Translocation t(3;8)(p21;q12) with PLAG1. Mesothelioma, malignant (MESOM) [MIM:156240]: An aggressive neoplasm of the serosal lining of the chest. It appears as broad sheets of cells, with some regions containing spindle-shaped, sarcoma-like cells and other regions showing adenomatous patterns. Pleural mesotheliomas have been linked to exposure to asbestos. Note=The gene represented in this entry may be involved in disease pathogenesis. Similarity: Belongs to the beta-catenin family. Contains 12 ARM repeats. SWISS: P35222 Gene ID: 1499 Database links: Entrez Gene: 1499 Human Entrez Gene: 12387 Mouse Omim: 116806 Human SwissProt: P35222 Human SwissProt: Q02248 Mouse Unigene: 476018 Human Unigene: 291928 Mouse Unigene: 112601 Rat 细胞粘附蛋白(Call Adhesion Protein) β连环素蛋白β-catenin是一种多功能的蛋白质,能链接E-\N-,钙粘附分子具有参与细胞粘附和介导信号转导的双重功能,并与肿瘤的发生发展及浸润密切相关。 在正常个体中,β-catenin和钙黏蛋白形成复合体,介导同型细胞的粘附,维持细胞的稳定;同时,β-catenin作为Wnt/β-catenin信号通路的关键成员在介导信号转导过程中调控细胞的增殖和凋亡。 在恶性肿瘤中,β-catenin的表达呈现明显的异质性,促使细胞异常增殖,还可使细胞之间的黏附性减弱,侵袭性增强。 | 
| 产品图片 | 
Paraformaldehyde-fixed, paraffin embedded (human gastric carcinoma); Antigen retrieval by boiling in sodium citrate buffer (pH6.0) for 15min; Block endogenous peroxidase by 3% hydrogen peroxide for 20 minutes; Blocking buffer (normal goat serum) at 37°C for 30min; Antibody incubation with (Phospho-Beta Catenin (Thr41 + Ser45)) Polyclonal Antibody, Unconjugated (bs-3088R) at 1:200 overnight at 4°C, followed by operating according to SP Kit(Rabbit) (sp-0023) instructionsand DAB staining.
 
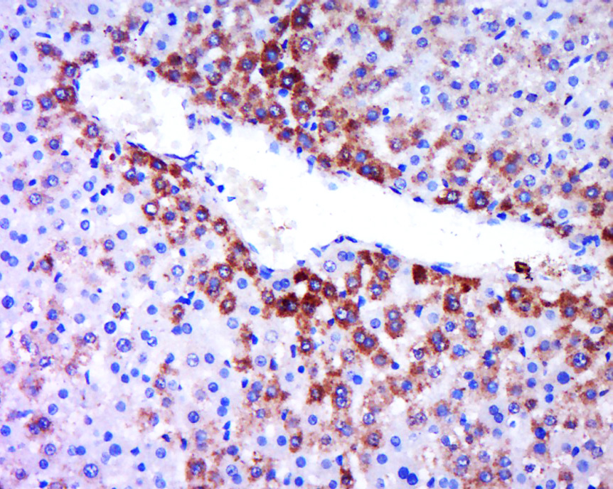
Paraformaldehyde-fixed, paraffin embedded (rat liver); Antigen retrieval by boiling in sodium citrate buffer (pH6.0) for 15min; Block endogenous peroxidase by 3% hydrogen peroxide for 20 minutes; Blocking buffer (normal goat serum) at 37°C for 30min; Antibody incubation with (Catenin beta-1) Polyclonal Antibody, Unconjugated (bs-3088R) at 1:400 overnight at 4°C, followed by a conjugated secondary (sp-0023) for 20 minutes and DAB staining. 
 
Tissue/cell: human kidney tissue; 4% Paraformaldehyde-fixed and paraffin-embedded; 
Antigen retrieval: citrate buffer ( 0.01M, pH 6.0 ), Boiling bathing for 15min; Block endogenous peroxidase by 3% Hydrogen peroxide for 30min; Blocking buffer (normal goat serum,C-0005) at 37℃ for 20 min; 
Incubation: Anti-Phospho-Beta Catenin (Thr41/Ser45) Polyclonal Antibody, Unconjugated (bs-3088R) 1:200, overnight at 4°C, followed by conjugation to the secondary antibody(SP-0023) and DAB(C-0010) staining
 
Hela cell; 4% Paraformaldehyde-fixed; Triton X-100 at room temperature for 20 min; Blocking buffer (normal goat serum, C-0005) at 37°C for 20 min; Antibody incubation with (Phospho-Beta Catenin (Thr41 + Ser45)) polyclonal Antibody, Unconjugated (bs-3088R) 1:100, 90 minutes at 37°C; followed by a conjugated Goat Anti-Rabbit IgG antibody at 37°C for 90 minutes, DAPI (blue, C02-04002) was used to stain the cell nuclei.
 
Blank control(blue): Hela (fixed with 2% paraformaldehyde (10 min), then permeabilized with 0.3%tritionx-100 for 5 min at room temperature).  Primary Antibody:Rabbit Anti-Phospho-Beta Catenin (Thr41 + Ser45)antibody (bs-3088R,Green); Dilution: 1μg in 100 μL 1X PBS containing 0.5% BSA;   Isotype Control Antibody: Rabbit IgG(orange) ,used under the same conditions );   Secondary Antibody: Goat anti-rabbit IgG-FITC), Dilution: 1:200 in 1 X PBS containing 0.5% BSA.
 | 
| 1、抗体溶解方法 | |
| 2、抗体修复方式 | |
| 3、常用试剂的配制 | |
| 4、免疫组化操作步骤 | |
| 5、免疫组化问题解答 | |
| 6、Western Blotting 操作步骤 | |
| 7、Western Blotting 问题解答 | |
| 8、关于肽链的设计 | |
| 9、多肽的溶解与保存 | |
| 10、酶标抗体效价测定程序 | |