扫码关注公众号           扫码咨询技术支持           扫码咨询技术服务
  
客服热线:400-901-9800  客服QQ:4009019800  技术答疑  技术支持  质量反馈  关于我们  联系我们
产品中心-北京博奥森生物技术有限公司
首页 > 产品中心 > 一抗 > 产品信息
phospho-Bax (Ser184) Rabbit pAb (bs-3010R)  
订购热线:400-901-9800
订购邮箱:sales@bioss.com.cn
订购QQ:  400-901-9800
技术支持:techsupport@bioss.com.cn
50ul/1180.00元
100ul/1980.00元
200ul/2800.00元
大包装/询价

产品编号 bs-3010R
英文名称 phospho-Bax (Ser184) Rabbit pAb
中文名称 磷酸化Bax抗体
别    名 Bax(phospho S184); Bax(phospho Ser184); p-Bax(S184); p-Bax(Ser184); apoptosis regulator BAX; Apoptosis regulator BAX cytoplasmic isoform beta; Apoptosis regulator BAX membrane isoform alpha; Bax isoform psi; BAX protein cytoplasmic isoform delta; Bax protein cytoplasmic isoform delta. antibody Bax protein cytoplasmic isoform gamma; Bax zeta; Bax-protein; Bcl-2-like protein 4; BCL2 associated X protein; BCL2L4; BAX_HUMAN; Bcl2-L-4.  
Specific References  (5)     |     bs-3010R has been referenced in 5 publications.
[IF=5.52] Park, Ga Bin, et al. "Melphalan-Induced Apoptosis of EBV-Transformed B Cells through Upregulation of TAp73 and XAF1 and Nuclear Import of XPA." The Journal of Immunology (2013): 1203442.  WB ;  Human.  
[IF=3.568] Kyung Hye Lee. et al. Role of ATP5G3 in sodium nitroprusside-induced cell death in cervical carcinoma cells. J BIOCHEM MOL TOXIC. 2022 Dec;:e23267  WB ;  Human.  
[IF=3.23] Daverey, Amita, and Sandeep K. Agrawal. "Curcumin alleviates oxidative stress and mitochondrial dysfunction in astrocytes." Neuroscience 333 (2016): 92-103.  WB ;  Human.  
[IF=3.02] Park, Gabin, et al. "Berberine induces mitochondrial apoptosis of EBV-transformed B cells through p53-mediated regulation of XAF1 and GADD45α." International Journal of Oncology.  WB ;  
[IF=2.39] Gao, Xiu-Fang, et al. "Urocortin-2 suppression of p38-MAPK signaling as an additional mechanism for ischemic cardioprotection." Molecular and Cellular Biochemistry: 1-12.  WB ;  Rat.  
产品类型 磷酸化抗体 
研究领域 肿瘤  细胞生物  神经生物学  信号转导  细胞凋亡  
抗体来源 Rabbit
克隆类型 Polyclonal
克 隆 号
交叉反应 Human,Mouse,Rat,Rabbit (predicted: Pig,Sheep,Cow,Dog)
产品应用 WB=1:500-2000,IHC-P=1:100-500,IHC-F=1:100-500,IF=1:100-500,Flow-Cyt=3μg /test,ELISA=1:5000-10000
not yet tested in other applications.
optimal dilutions/concentrations should be determined by the end user.
理论分子量 21 kDa
检测分子量
细胞定位 细胞浆 细胞膜 
性    状 Liquid
浓    度 1mg/ml
免 疫 原 KLH conjugated Synthesised phosphopeptide derived from human Bax around the phosphorylation site of Ser184: TA(p-S)LT 
亚    型 IgG
纯化方法 affinity purified by Protein A
缓 冲 液 0.01M TBS (pH7.4) with 1% BSA, 0.02% Proclin300 and 50% Glycerol.
保存条件 Shipped at 4℃. Store at -20℃ for one year. Avoid repeated freeze/thaw cycles.
注意事项 This product as supplied is intended for research use only, not for use in human, therapeutic or diagnostic applications.
PubMed PubMed
产品介绍 The protein encoded by this gene belongs to the BCL2 protein family. BCL2 family members form hetero- or homodimers and act as anti- or pro-apoptotic regulators that are involved in a wide variety of cellular activities. This protein forms a heterodimer with BCL2, and functions as an apoptotic activator. This protein is reported to interact with, and increase the opening of, the mitochondrial voltage-dependent anion channel (VDAC), which leads to the loss in membrane potential and the release of cytochrome c. The expression of this gene is regulated by the tumor suppressor P53 and has been shown to be involved in P53-mediated apoptosis. Multiple alternatively spliced transcript variants, which encode different isoforms, have been reported for this gene. [provided by RefSeq, Jul 2008].

Function:
Accelerates programmed cell death by binding to, and antagonizing the apoptosis repressor BCL2 or its adenovirus homolog E1B 19k protein. Under stress conditions, undergoes a conformation change that causes translocation to the mitochondrion membrane, leading to the release of cytochrome c that then triggers apoptosis. Promotes activation of CASP3, and thereby apoptosis.

Subunit:
Homodimer. Forms higher oligomers under stress conditions. Interacts with BCL2L11. Interaction with BCL2L11 promotes BAX oligomerization and association with mitochondrial membranes, with subsequent release of cytochrome c. Forms heterodimers with BCL2, E1B 19K protein, BCL2L1 isoform Bcl-X(L), BCL2L2, MCL1 and A1. Interacts with SH3GLB1 and HN. Interacts with SFN and YWHAZ; the interaction occurs in the cytoplasm. Under stress conditions, JNK-mediated phosphorylation of SFN and YWHAZ, releases BAX to mitochondria. Isoform Sigma interacts with BCL2A1 and BCL2L1 isoform Bcl-X(L). Interacts with RNF144B, which regulates the ubiquitin-dependent stability of BAX. Interacts with CLU under stress conditions that cause a conformation change leading to BAX oligomerization and association with mitochondria. Does not interact with CLU in unstressed cells. Interacts with FAIM2/LFG2.

Subcellular Location:
Isoform Alpha: Mitochondrion membrane; Single-pass membrane protein. Cytoplasm. Note=Colocalizes with 14-3-3 proteins in the cytoplasm. Under stress conditions, undergoes a conformation change that causes release from JNK-phosphorylated 14-3-3 proteins and translocation to the mitochondrion membrane.
Isoform Beta: Cytoplasm.
Isoform Gamma: Cytoplasm.
Isoform Delta: Cytoplasm (Potential).

Tissue Specificity:
Expressed in a wide variety of tissues. Isoform Psi is found in glial tumors. Isoform Alpha is expressed in spleen, breast, ovary, testis, colon and brain, and at low levels in skin and lung. Isoform Sigma is expressed in spleen, breast, ovary, testis, lung, colon, brain and at low levels in skin. Isoform Alpha and isoform Sigma are expressed in pro-myelocytic leukemia, histiocytic lymphoma, Burkitt's lymphoma, T-cell lymphoma, lymphoblastic leukemia, breast adenocarcinoma, ovary adenocarcinoma, prostate carcinoma, prostate adenocarcinoma, lung carcinoma, epidermoid carcinoma, small cell lung carcinoma and colon adenocarcinoma cell lines.

Similarity:
Belongs to the Bcl-2 family.

SWISS:
Q07812

Gene ID:
581

Database links:

Entrez Gene: 581 Human

Entrez Gene: 12028 Mouse

Entrez Gene: 24887 Rat

Omim: 600040 Human

SwissProt: Q07812 Human

SwissProt: Q07813 Mouse

SwissProt: Q63690 Rat

Unigene: 624291 Human

Unigene: 19904 Mouse

Unigene: 10668 Rat



产品图片
Sample: Testis (Mouse) Tissue Lysate at 30 ug Primary: Anti-phospho-Bax (Ser184) (bs-3010R)at 1/300 dilution Secondary: IRDye800CW Goat Anti-Rabbit IgG at 1/20000 dilution Predicted band size: 21 kD Observed band size: 22 kD
Sample:Brain(Mouse) lysate at 30ug; Primary: Anti-phospho-Bax (Ser184) (bs-3010R) at 1:200 dilution; Secondary: HRP conjugated Goat Anti-Rabbit IgG(bs-0295G-HRP) at 1: 5000 dilution; Predicted band size : 21kD Observed band size : 21kD
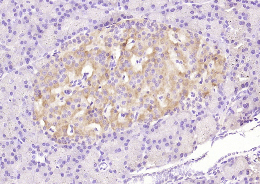
Paraformaldehyde-fixed, paraffin embedded (rat pancreas); Antigen retrieval by boiling in sodium citrate buffer (pH6.0) for 15min; Block endogenous peroxidase by 3% hydrogen peroxide for 20 minutes; Blocking buffer (normal goat serum) at 37°C for 30min; Antibody incubation with (phospho-Bax (Ser184)) Polyclonal Antibody, Unconjugated (bs-3010R) at 1:200 overnight at 4°C, followed by operating according to SP Kit(Rabbit) (sp-0023) instructionsand DAB staining.
Blank control (blue line): HL60 (fixed with 2% paraformaldehyde (10 min) and then permeabilized with 0.1% PBS-Tween for 20 min at room temperature). Primary Antibody (green line): Rabbit Anti-phospho-Bax (Ser184) antibody (bs-3010R),Dilution: 3μg /10^6 cells; Isotype Control Antibody (orange line): Rabbit IgG . Secondary Antibody (white blue line): Goat anti-rabbit IgG-FITC,Dilution: 1μg /test.
phosphopeptide non phosphopeptide
版权所有 2004-2026 www.bioss.com.cn 北京博奥森生物技术有限公司
通过国际质量管理体系ISO 9001:2015 GB/T 19001-2016    证书编号: 00124Q34771R2M/1100
通过国际医疗器械-质量管理体系ISO 13485:2016 GB/T 42061-2022     证书编号: CQC24QY20047R0M/1100
京ICP备05066980号-1         京公网安备110107000727号