扫码关注公众号           扫码咨询技术支持           扫码咨询技术服务
  
客服热线:400-901-9800  客服QQ:4009019800  技术答疑  技术支持  质量反馈  关于我们  联系我们
产品中心-北京博奥森生物技术有限公司
首页 > 产品中心 > 一抗 > 产品信息
HDAC10 Rabbit pAb (bs-2893R)  
订购热线:400-901-9800
订购邮箱:sales@bioss.com.cn
订购QQ:  400-901-9800
技术支持:techsupport@bioss.com.cn
50ul/1180.00元
100ul/1980.00元
200ul/2800.00元
大包装/询价

产品编号 bs-2893R
英文名称 HDAC10 Rabbit pAb
中文名称 组蛋白去乙酰化酶10抗体
别    名 HD 10; HD10; HDAC 10; Histone deacetylase 10; MGC149722; OTTHUMP00000028555; DKFZP761B039; HDA10_HUMAN; Histone deacetylase 10; HD10.  
研究领域 肿瘤  免疫学  发育生物学  信号转导  细胞凋亡  转录调节因子  
抗体来源 Rabbit
克隆类型 Polyclonal
克 隆 号
交叉反应 Human,Mouse,Rat (predicted: Rabbit,Pig,Cow,Horse)
产品应用 IHC-P=1:100-500,IHC-F=1:100-500,IF=1:100-500
not yet tested in other applications.
optimal dilutions/concentrations should be determined by the end user.
理论分子量 71 kDa
检测分子量
细胞定位 细胞核 细胞浆 
性    状 Liquid
浓    度 1mg/ml
免 疫 原 KLH conjugated synthetic peptide derived from human HDAC10: 561-669/669 
亚    型 IgG
纯化方法 affinity purified by Protein A
缓 冲 液 0.01M TBS (pH7.4) with 1% BSA, 0.02% Proclin300 and 50% Glycerol.
保存条件 Shipped at 4℃. Store at -20℃ for one year. Avoid repeated freeze/thaw cycles.
注意事项 This product as supplied is intended for research use only, not for use in human, therapeutic or diagnostic applications.
PubMed PubMed
产品介绍 The enzymes responsible for the reversible acetylation/ deacetylation process of histones are histone acetyltransferases (HATs) and histone deacetylases (HDACs), respectively. HATs act as transcriptional coactivators and HDACs are part of transcriptional corepressor complexes. Mammalian HDACs can be divided into three classes according to sequence homology. Class I consists of the yeast Rpd3 like proteins HDAC1, HDAC2, HDAC3, and HDAC8. Class II consists of the yeast Hda1 like proteins HDAC10, HDAC5, HDAC6, HDAC7, HDAC9, and HDAC10. Class III comprises the yeast Sir2 like proteins. Whereas class I HDACs are ubiquitously expressed, most class II HDACs are tissue specific. HDAC10 is similar to HDAC6, both containing a unique putative second catalytic domain not found in other HDACs. However, this domain is not functional in HDAC10. The deacetylase activity of class II HDACs is regulated by subcellular localization. HDAC10 was localized to both the nucleus and cytoplasm. HDAC10 can deacetylate histones, repress transcription, and interact with HDAC3.

Function:
Responsible for the deacetylation of lysine residues on the N-terminal part of the core histones (H2A, H2B, H3 and H4). Histone deacetylation gives a tag for epigenetic repression and plays an important role in transcriptional regulation, cell cycle progression and developmental events. Histone deacetylases act via the formation of large multiprotein complexes.

Subunit:
Interacts with HDAC2, HDAC3 and NCOR2.

Subcellular Location:
Cytoplasm. Nucleus. Note=Excluded from the nucleoli.

Tissue Specificity:
Ubiquitous. High expression in liver, spleen, pancreas and kidney.

Similarity:
Belongs to the histone deacetylase family. HD type 2 subfamily.

SWISS:
Q969S8

Gene ID:
83933

Database links:

Entrez Gene: 83933 Human

Entrez Gene: 170787 Mouse

Entrez Gene: 362981 Rat

Omim: 608544 Human

SwissProt: Q969S8 Human

SwissProt: Q6P3E7 Mouse

SwissProt: Q569C4 Rat

Unigene: 26593 Human

Unigene: 203954 Mouse

Unigene: 107028 Rat



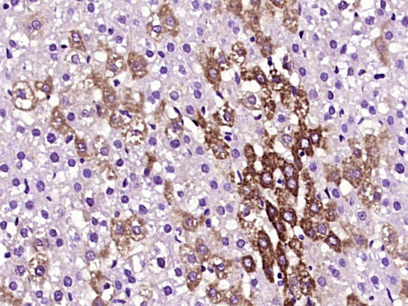
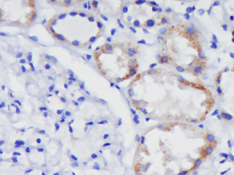
产品图片
Paraformaldehyde-fixed, paraffin embedded (rat brain tissue); Antigen retrieval by boiling in sodium citrate buffer (pH6.0) for 15min; Block endogenous peroxidase by 3% hydrogen peroxide for 20 minutes; Blocking buffer (normal goat serum) at 37°C for 30min; Antibody incubation with (HDAC10) Polyclonal Antibody, Unconjugated (bs-2893R) at 1:400 overnight at 4°C, followed by operating according to SP Kit(Rabbit) (sp-0023) instructionsand DAB staining.
Paraformaldehyde-fixed, paraffin embedded (rat liver tissue); Antigen retrieval by boiling in sodium citrate buffer (pH6.0) for 15min; Block endogenous peroxidase by 3% hydrogen peroxide for 20 minutes; Blocking buffer (normal goat serum) at 37°C for 30min; Antibody incubation with (HDAC10) Polyclonal Antibody, Unconjugated (bs-2893R) at 1:400 overnight at 4°C, followed by operating according to SP Kit(Rabbit) (sp-0023) instructionsand DAB staining.
Paraformaldehyde-fixed, paraffin embedded (Human kidney); Antigen retrieval by boiling in sodium citrate buffer (pH6.0) for 15min; Block endogenous peroxidase by 3% hydrogen peroxide for 20 minutes; Blocking buffer (normal goat serum) at 37°C for 30min; Antibody incubation with (HDAC10) Polyclonal Antibody, Unconjugated (bs-2893R) at 1:400 overnight at 4°C, followed by operating according to SP Kit(Rabbit) (sp-0023) instructionsand DAB staining.
Paraformaldehyde-fixed, paraffin embedded (mouse brain tissue); Antigen retrieval by boiling in sodium citrate buffer (pH6.0) for 15min; Block endogenous peroxidase by 3% hydrogen peroxide for 20 minutes; Blocking buffer (normal goat serum) at 37°C for 30min; Antibody incubation with (HDAC10) Polyclonal Antibody, Unconjugated (bs-2893R) at 1:400 overnight at 4°C, followed by operating according to SP Kit(Rabbit) (sp-0023) instructionsand DAB staining.
版权所有 2004-2026 www.bioss.com.cn 北京博奥森生物技术有限公司
通过国际质量管理体系ISO 9001:2015 GB/T 19001-2016    证书编号: 00124Q34771R2M/1100
通过国际医疗器械-质量管理体系ISO 13485:2016 GB/T 42061-2022     证书编号: CQC24QY20047R0M/1100
京ICP备05066980号-1         京公网安备110107000727号