扫码关注公众号           扫码咨询技术支持           扫码咨询技术服务
  
客服热线:400-901-9800  客服QQ:4009019800  技术答疑  技术支持  质量反馈  关于我们  联系我们
产品中心-北京博奥森生物技术有限公司
首页 > 产品中心 > 一抗 > 产品信息
phospho-IKK alpha/beta (Ser176 + Ser180) Rabbit pAb (bs-3237R)  
订购热线:400-901-9800
订购邮箱:sales@bioss.com.cn
订购QQ:  400-901-9800
技术支持:techsupport@bioss.com.cn
50ul/1180.00元
100ul/1980.00元
200ul/2800.00元
大包装/询价

产品编号 bs-3237R
英文名称 phospho-IKK alpha/beta (Ser176 + Ser180) Rabbit pAb
中文名称 磷酸化KB抑制蛋白激酶α/β抗体
别    名 IKK alpha(phospho S176+S180); p-IKK alpha(phospho S176+S180); I Kappa B Kinase alpha; IKKalpha; IKK alpha; IkappaB kinase; IkB kinase alpha subunit; IKBKA; IKK 1; IKK A; IKK a kinase; IKK1; IKKA; Inhibitor Of Kappa Light Polypeptide Gene Enhancer In B Cells; Inhibitor Of Nuclear Factor Kappa B Kinase alpha Subunit; NFKBIKA; Nuclear Factor Kappa B Inhibitor Kinase alpha; Nuclear factor NF kappa B inhibitor kinase alpha; Nuclear factor NFkappaB inhibitor kinase alpha; Nuclear Factor Of Kappa Light Chain Gene Enhancer In B Cells Inhibitor; TCF16; CHUK1; CHUK; Conserved Helix Loop Helix Ubiquitous Kinase; Conserved helix loop ubiquitous kinase; I Kappa B Kinase 1; IKKA_HUMAN.I kappa B kinase 2; I kappa B kinase beta; IkBKB; IKK 2; IKK B; IKK beta; IKK2; IKKB; Inhibitor of kappa light chain gene enhancer in B cells; Inhibitor of kappa light polypeptide gene enhancer in B cells; Inhibitor of kappa light polypeptide gene enhancer in B cells kinase beta; Inhibitor of nuclear factor kappa B kinase beta subunit; Inhibitor of nuclear factor kappa B kinase subunit beta; MGC131801; NFKBIKB; Nuclear factor NF kappa B inhibitor kinase beta; Nuclear factor of kappa light chain gene enhancer in B cells inhibitor; IKKB_HUMAN.  
Specific References  (9)     |     bs-3237R has been referenced in 9 publications.
[IF=10.753] Ya-Nan Gao. et al. Aflatoxin M1 and ochratoxin A induce a competitive endogenous RNA regulatory network of intestinal immunosuppression by whole-transcriptome analysis. SCI TOTAL ENVIRON. 2022 Sep;:158777  WB ;  Human.  
[IF=9.038] Xuting Liu. et al. Amorphous silica nanoparticles induce inflammation via activation of NLRP3 inflammasome and HMGB1/TLR4/MYD88/NF-kb signaling pathway in HUVEC cells. J Hazard Mater. 2021 Feb;404:124050  WB ;  Human.  
[IF=5.34] Dan Li. et al. Piperazine ferulate attenuates gentamicin-induced acute kidney injury via the NF-κB/NLRP3 pathway. Phytomedicine. 2022 Feb;:154021  WB ;  Rat.  
[IF=4.664] Chung-Jen Chiang. et al. Diabetes-induced cardiomyopathy is ameliorated by heat-killed Lactobacillus reuteri GMNL-263 in diabetic rats via the repression of the toll-like receptor 4 pathway. 2021 Feb 08  WB ;  Rat.  
[IF=4.556] Bobae Kimet al. B-Cell-Activating Factor Depletion Ameliorates Aging-Dependent Insulin Resistance via Enhancement of Thermogenesis in Adipose Tissues. Int J Mol Sci . 2020 Jul 20;21(14):5121.  WB ;  mouse.  
[IF=2.7] Zhao, Hongyu, et al. "Betulin attenuates kidney injury in septic rats through inhibiting TLR4/NF-κB signaling pathway."Life Sciences (2016).  WB ;  Rat.  
[IF=2.663] Zhang R et al. Fufang-Zhenzhu-Tiaozhi Capsule reduces restenosis via the downregulation of NF-kappaB and inflammatory factors in rabbits.(2018) Lipids Health Dis.17(1):272.  WB ;  Rabbit.  
[IF=2.55] Ma, Zhihong, et al. "Paeoniflorin alleviates non-alcoholic steatohepatitis in rats: Involvement with the ROCK/NF-κB pathway." International Immunopharmacology 38 (2016): 377-384.  WB ;  Rat.  
[IF=1.35] Gao, Wenyan, et al. "Indirubin ameliorates dextran sulfate sodium-induced ulcerative colitis in mice through the inhibition of inflammation and the induction of Foxp3-expressing regulatory T cells." Acta Histochemica (2016).  WB ;  Mouse.  
产品类型 磷酸化抗体 
研究领域 肿瘤  细胞生物  免疫学  信号转导  转录调节因子  激酶和磷酸酶  细胞粘附分子  
抗体来源 Rabbit
克隆类型 Polyclonal
克 隆 号
交叉反应 Human,Mouse (predicted: Rat,Pig,Cow,Chicken,Dog,Horse)
产品应用 IHC-P=1:100-500,IHC-F=1:100-500,IF=1:100-500,Flow-Cyt=1ug/Test,ICC/IF=1:100-500
not yet tested in other applications.
optimal dilutions/concentrations should be determined by the end user.
理论分子量 85/87 kDa
检测分子量
细胞定位 细胞核 细胞浆 
性    状 Liquid
浓    度 1mg/ml
免 疫 原 KLH conjugated synthesised phosphopeptide derived from human IKK alpha/beta around the phosphorylation site of Ser176/Ser180: QG(p-S)LCT(p-S)FV 
亚    型 IgG
纯化方法 affinity purified by Protein A
缓 冲 液 0.01M TBS (pH7.4) with 1% BSA, 0.02% Proclin300 and 50% Glycerol.
保存条件 Shipped at 4℃. Store at -20℃ for one year. Avoid repeated freeze/thaw cycles.
注意事项 This product as supplied is intended for research use only, not for use in human, therapeutic or diagnostic applications.
PubMed PubMed
产品介绍 Nuclear factor kappa B (NFkB) is a ubiquitous transcription factor and an essential mediator of gene expression during activation of immune and inflammatory responses. NFkB mediates the expression of a great variety of genes in response to extracellular stimuli including IL1, TNF alpha, and bacterial product LPS. NFkB is associated with IkB proteins in the cell cytoplasm, which inhibit NFkB activity. IKK is a serine protein kinase, and the IKK complex contains alpha and beta subunits (IKK alpha and IKK beta). IKK alpha and IKK beta interact with each other and both are essential for NFkB activation. IKK alpha specifically phosphorylates IkBa. IKKa is expressed in variety of human tissues.

Function:
Serine kinase that plays an essential role in the NF-kappa-B signaling pathway which is activated by multiple stimuli such as inflammatory cytokines, bacterial or viral products, DNA damages or other cellular stresses. Acts as part of the canonical IKK complex in the conventional pathway of NF-kappa-B activation and phosphorylates inhibitors of NF-kappa-B on serine residues. These modifications allow polyubiquitination of the inhibitors and subsequent degradation by the proteasome. In turn, free NF-kappa-B is translocated into the nucleus and activates the transcription of hundreds of genes involved in immune response, growth control, or protection against apoptosis. Negatively regulates the pathway by phosphorylating the scaffold protein TAXBP1 and thus promoting the assembly of the A20/TNFAIP3 ubiquitin-editing complex (composed of A20/TNFAIP3, TAX1BP1, and the E3 ligases ITCH and RNF11). Therefore, CHUK plays a key role in the negative feedback of NF-kappa-B canonical signaling to limit inflammatory gene activation. As part of the non-canonical pathway of NF-kappa-B activation, the MAP3K14-activated CHUK/IKKA homodimer phosphorylates NFKB2/p100 associated with RelB, inducing its proteolytic processing to NFKB2/p52 and the formation of NF-kappa-B RelB-p52 complexes. In turn, these complexes regulate genes encoding molecules involved in B-cell survival and lymphoid organogenesis. Participates also in the negative feedback of the non-canonical NF-kappa-B signaling pathway by phosphorylating and destabilizing MAP3K14/NIK. Within the nucleus, phosphorylates CREBBP and consequently increases both its transcriptional and histone acetyltransferase activities. Modulates chromatin accessibility at NF-kappa-B-responsive promoters by phosphorylating histones H3 at 'Ser-10' that are subsequently acetylated at 'Lys-14' by CREBBP. Additionally, phosphorylates the CREBBP-interacting protein NCOA3.

Subunit:
Component of the I-kappa-B-kinase (IKK) core complex consisting of CHUK, IKBKB and IKBKG; probably four alpha/CHUK-beta/IKBKB dimers are associated with four gamma/IKBKG subunits. The IKK core complex seems to associate with regulatory or adapter proteins to form a IKK-signalosome holo-complex. The IKK complex associates with TERF2IP/RAP1, leading to promote IKK-mediated phosphorylation of RELA/p65. Part of a complex composed of NCOA2, NCOA3, CHUK/IKKA, IKBKB, IKBKG and CREBBP. Part of a 70-90 kDa complex at least consisting of CHUK/IKKA, IKBKB, NFKBIA, RELA, IKBKAP and MAP3K14. Directly interacts with IKK-gamma/NEMO and TRPC4AP (By similarity). May interact with TRAF2. Interacts with NALP2. May interact with MAVS/IPS1. Interacts with ARRB1 and ARRB2. Interacts with NLRC5; prevents CHUK phosphorylation and kinase activity. Interacts with PIAS1; this interaction induces PIAS1 phosphorylation.

Subcellular Location:
Cytoplasm. Nucleus. Note=Shuttles between the cytoplasm and the nucleus.

Tissue Specificity:
IKK beta: Highly expressed in heart, placenta, skeletal muscle, kidney, pancreas, spleen, thymus, prostate, testis and peripheral blood.
IKK alpha: Widely expressed.

Post-translational modifications:
Phosphorylated by MAP3K14/NIK, AKT and to a lesser extent by MEKK1, and dephosphorylated by PP2A. Autophosphorylated.
Acetylation of Thr-179 by Yersinia yopJ prevents phosphorylation and activation, thus blocking the I-kappa-B signaling pathway.

DISEASE:
Defects in CHUK are the cause of cocoon syndrome (COCOS) [MIM:613630]; also known as fetal encasement syndrome. COCOS is a lethal syndrome characterized by multiple fetal malformations including defective face and seemingly absent limbs, which are bound to the trunk and encased under the skin.

Similarity:
Belongs to the protein kinase superfamily. Ser/Thr protein kinase family. I-kappa-B kinase subfamily.
Contains 1 protein kinase domain.

SWISS:
O15111

Gene ID:
1147

Database links:

Entrez Gene: 1147 Human

Entrez Gene: 309361 Rat

Omim: 600664 Human

SwissProt: O15111 Human

SwissProt: Q60680 Mouse

Unigene: 198998 Human

Unigene: 3996 Mouse



产品图片
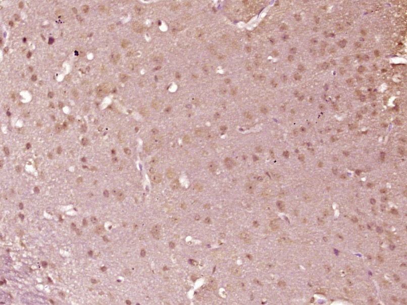
Paraformaldehyde-fixed, paraffin embedded (mouse brain); Antigen retrieval by boiling in sodium citrate buffer (pH6.0) for 15min; Block endogenous peroxidase by 3% hydrogen peroxide for 20 minutes; Blocking buffer (normal goat serum) at 37°C for 30min; Antibody incubation with (Phospho-IKK alpha,beta (Ser176 + Ser180)) Polyclonal Antibody, Unconjugated (bs-3237R) at 1:200 overnight at 4°C, followed by operating according to SP Kit(Rabbit) (sp-0023) instructionsand DAB staining.
Paraformaldehyde-fixed, paraffin embedded (Mouse brain); Antigen retrieval by boiling in sodium citrate buffer (pH6.0) for 15min; Block endogenous peroxidase by 3% hydrogen peroxide for 20 minutes; Blocking buffer (normal goat serum) at 37°C for 30min; Antibody incubation with (Phospho-IKK alpha/beta (Ser176 + Ser180)) Polyclonal Antibody, Unconjugated (bs-3237R) at 1:400 overnight at 4°C, followed by operating according to SP Kit(Rabbit) (sp-0023) instructionsand DAB staining.
Hela cell; 4% Paraformaldehyde-fixed; Triton X-100 at room temperature for 20 min; Blocking buffer (normal goat serum, C-0005) at 37°C for 20 min; Antibody incubation with (Phospho-IKK alpha/beta (Ser176 + Ser180)) polyclonal Antibody, Unconjugated (bs-3237R) 1:100, 90 minutes at 37°C; followed by a conjugated Goat Anti-Rabbit IgG antibody at 37°C for 90 minutes, DAPI (blue, C02-04002) was used to stain the cell nuclei.
Blank control(black line):NIH/3T3. Primary Antibody (green line): Rabbit Anti-Phospho-IKK alpha/beta (Ser176 + Ser180) antibody (bs-3237R) Dilution:1ug/Test; Secondary Antibody(white blue line): Goat anti-rabbit IgG-AF488 Dilution: 0.5ug/Test. Isotype control(orange line): Normal Rabbit IgG Protocol The cells were fixed with 4% PFA (10min at room temperature)and then permeabilized with 90% ice-cold methanol for 20 min at -20℃, The cells were then incubated in 5%BSA to block non-specific protein-protein interactions for 30 min at room temperature .Cells stained with Primary Antibody for 30 min at room temperature. The secondary antibody used for 40 min at room temperature. Acquisition of 20,000 events was performed.
版权所有 2004-2026 www.bioss.com.cn 北京博奥森生物技术有限公司
通过国际质量管理体系ISO 9001:2015 GB/T 19001-2016    证书编号: 00124Q34771R2M/1100
通过国际医疗器械-质量管理体系ISO 13485:2016 GB/T 42061-2022     证书编号: CQC24QY20047R0M/1100
京ICP备05066980号-1         京公网安备110107000727号