扫码关注公众号           扫码咨询技术支持           扫码咨询技术服务
  
客服热线:400-901-9800  客服QQ:4009019800  技术答疑  技术支持  质量反馈  人才招聘  关于我们  联系我们
产品中心-北京博奥森生物技术有限公司
首页 > 产品中心 > 一抗 > 产品信息
Insulin Rabbit pAb (bs-0855R)  
订购热线:400-901-9800
订购邮箱:sales@bioss.com.cn
订购QQ:  400-901-9800
技术支持:techsupport@bioss.com.cn
50ul/1180.00元
100ul/1980.00元
200ul/2800.00元
大包装/询价

产品编号 bs-0855R
英文名称 Insulin Rabbit pAb
中文名称 胰岛素抗体
别    名 IDDM; IDDM1; IDDM2; ILPR; IRDN; MODY10; PNDM4; Ins-1; Ins2-rs1; Ins-2; InsII; Mody; Mody4; INS_HUMAN; INS; INS1_MOUSE; Ins1; INS1_RAT; INS_PIG;   
Specific References  (1)     |     bs-0855R has been referenced in 1 publications.
[IF=5.705] Sun HD et al. Electrochemical sandwich immunoassay for insulin detection based on the use of gold nanoparticle-modified MoS 2 nanosheets and the hybridization chain reaction. Microchimica Acta,2018 186(1).  sandwich immunoreaction ;  
研究领域 肿瘤  心血管  细胞生物  神经生物学  信号转导  生长因子和激素  糖尿病  内分泌病  新陈代谢  
抗体来源 Rabbit
克隆类型 Polyclonal
克 隆 号
交叉反应 Human,Mouse,Rat
产品应用 WB=1:500-2000,IHC-P=1:100-500,IHC-F=1:100-500,IF=1:100-500
not yet tested in other applications.
optimal dilutions/concentrations should be determined by the end user.
理论分子量 5.8/12 kDa
检测分子量 26
细胞定位 分泌型蛋白 
性    状 Liquid
浓    度 1mg/ml
免 疫 原 Recombinant human insulin 
亚    型 IgG
纯化方法 affinity purified by Protein A
缓 冲 液 0.01M TBS (pH7.4) with 1% BSA, 0.02% Proclin300 and 50% Glycerol.
保存条件 Shipped at 4℃. Store at -20℃ for one year. Avoid repeated freeze/thaw cycles.
注意事项 This product as supplied is intended for research use only, not for use in human, therapeutic or diagnostic applications.
PubMed PubMed
产品介绍 Insulin is a pancreatic hormone that regulates glucose and is involved in the synthesis of protein and fat. It increases cell permeability to monosaccharides, amino acids and fatty acids. It accelerates glycolysis, the pentose phosphate cycle, and glycogen synthesis in liver. Heterodimer of a B chain and an A chain linked by two disulfide bonds.Belongs to the insulin family. The insulin-link growth factors, IGF-I and IGF-II (also desinated somatomedin C and multiplication stimulating activator, respectvely), share approximatly 76% sequence identity and are 50% related to pro-insulin.IGF-I and IGF-II are nonglycosylated, single chain proteins of 70 and 76 amino acids in length, respectivelly. IGF-I functions as an autocrine regulator of growth in vaious, whereas the function of IGF-II is less well defined.

Function:
Insulin decreases blood glucose concentration. It increases cell permeability to monosaccharides, amino acids and fatty acids. It accelerates glycolysis, the pentose phosphate cycle, and glycogen synthesis in liver.

Subunit:
Heterodimer of a B chain and an A chain linked by two disulfide bonds.

Subcellular Location:
Secreted.

DISEASE:
Hyperproinsulinemia, familial (FHPRI) [MIM:176730]: An autosomal dominant condition characterized by elevated levels of serum proinsulin-like material. Note=The disease is caused by mutations affecting the gene represented in this entry.
Diabetes mellitus, insulin-dependent, 2 (IDDM2) [MIM:125852]: A multifactorial disorder of glucose homeostasis that is characterized by susceptibility to ketoacidosis in the absence of insulin therapy. Clinical fetaures are polydipsia, polyphagia and polyuria which result from hyperglycemia-induced osmotic diuresis and secondary thirst. These derangements result in long-term complications that affect the eyes, kidneys, nerves, and blood vessels. Note=The disease is caused by mutations affecting the gene represented in this entry.
Diabetes mellitus, permanent neonatal (PNDM) [MIM:606176]: A rare form of diabetes distinct from childhood-onset autoimmune diabetes mellitus type 1. It is characterized by insulin-requiring hyperglycemia that is diagnosed within the first months of life. Permanent neonatal diabetes requires lifelong therapy. Note=The disease is caused by mutations affecting the gene represented in this entry.
Maturity-onset diabetes of the young 10 (MODY10) [MIM:613370]: A form of diabetes that is characterized by an autosomal dominant mode of inheritance, onset in childhood or early adulthood (usually before 25 years of age), a primary defect in insulin secretion and frequent insulin-independence at the beginning of the disease. Note=The disease is caused by mutations affecting the gene represented in this entry.

Similarity:
Belongs to the insulin family.

SWISS:
P01308

Gene ID:
3630

Database links:

Entrez Gene: 3630 Human

Entrez Gene: 280829 Cow

Entrez Gene: 16333 Mouse

Entrez Gene: 16334 Mouse

Entrez Gene: 24505 Rat

Entrez Gene: 397415 Pig

SwissProt: P01308 Human

SwissProt: P01325 Mouse

SwissProt: P01322 Rat

SwissProt: P01315 Pig




胰岛素(Isulin)胰岛素抗体是胰岛细胞分泌得一种激素,可以减底血糖浓度。此抗体和人胰岛素反应,并与大多数哺乳类动物的胰岛素有交叉反应,主要用于胰岛细胞瘤的功能性研究。
产品图片
Sample: Lane 1: Recombinant human Insulin protein, N-Trx-His(bs-42257P) Primary: Anti-Insulin (bs-0855R) at 1/1000 dilution Secondary: IRDye800CW Goat Anti-Rabbit IgG at 1/20000 dilution Predicted band size: 12 kDa Observed band size: 26 kDa
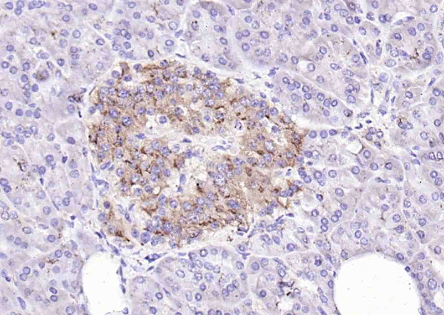
Paraformaldehyde-fixed, paraffin embedded (mouse pancreas); Antigen retrieval by boiling in sodium citrate buffer (pH6.0) for 15min; Block endogenous peroxidase by 3% hydrogen peroxide for 20 minutes; Blocking buffer (normal goat serum) at 37°C for 30min; Incubation with (Insulin) Polyclonal Antibody, Unconjugated (bs-0855R) at 1:200 overnight at 4°C, followed by operating according to SP Kit(Rabbit) (sp-0023) instructionsand DAB staining.
Paraformaldehyde-fixed, paraffin embedded (human pancreas); Antigen retrieval by boiling in sodium citrate buffer (pH6.0) for 15min; Block endogenous peroxidase by 3% hydrogen peroxide for 20 minutes; Blocking buffer (normal goat serum) at 37°C for 30min; Incubation with (Insulin) Polyclonal Antibody, Unconjugated (bs-0855R) at 1:200 overnight at 4°C, followed by operating according to SP Kit(Rabbit) (sp-0023) instructionsand DAB staining.
Paraformaldehyde-fixed, paraffin embedded (rat pancreas); Antigen retrieval by boiling in sodium citrate buffer (pH6.0) for 15min; Block endogenous peroxidase by 3% hydrogen peroxide for 20 minutes; Blocking buffer (normal goat serum) at 37°C for 30min; Incubation with (Insulin) Polyclonal Antibody, Unconjugated (bs-0855R) at 1:200 overnight at 4°C, followed by operating according to SP Kit(Rabbit) (sp-0023) instructionsand DAB staining.
版权所有 2004-2026 www.bioss.com.cn 北京博奥森生物技术有限公司
通过国际质量管理体系ISO 9001:2015 GB/T 19001-2016    证书编号: 00124Q34771R2M/1100
通过国际医疗器械-质量管理体系ISO 13485:2016 GB/T 42061-2022     证书编号: CQC24QY20047R0M/1100
京ICP备05066980号-1         京公网安备110107000727号