扫码关注公众号           扫码咨询技术支持           扫码咨询技术服务
  
客服热线:400-901-9800  客服QQ:4009019800  技术答疑  技术支持  质量反馈  关于我们  联系我们
产品中心-北京博奥森生物技术有限公司
首页 > 产品中心 > 一抗 > 产品信息
phospho-MARCKS (Ser152 + Ser156) Rabbit pAb (bs-3263R)  
订购热线:400-901-9800
订购邮箱:sales@bioss.com.cn
订购QQ:  400-901-9800
技术支持:techsupport@bioss.com.cn
50ul/1180.00元
100ul/1980.00元
200ul/2800.00元
大包装/询价

产品编号 bs-3263R
英文名称 phospho-MARCKS (Ser152 + Ser156) Rabbit pAb
中文名称 磷酸化丙氨酸蛋白激酶C底物Marcks抗体
别    名 MARCKS(phospho S152+S156); p-MARCKS(phospho S152+S156); MARCKS(phospho S159+S163); 80 kDa protein; 80K L; 80K L protein; 80K-L protein; 80KL; 81 kDa protein, light chain; light chain; MACS; MARCKS; MARCS; MARCS_RAT; MGC52672; myristoylated alanine rich C kinase substrate; Myristoylated alanine rich protein kinase C substrate(MARCKS, 80K L); Myristoylated alanine rich protein kinase C substrate; Myristoylated alanine-rich C-kinase substrate; phosphomyristin; PKCSL; PRKCSL; protein kinase C substrate 80 kDa protein light chain; Protein kinase C substrate.  
产品类型 磷酸化抗体 
研究领域 心血管  免疫学  信号转导  激酶和磷酸酶  细胞骨架  
抗体来源 Rabbit
克隆类型 Polyclonal
克 隆 号
交叉反应 Mouse,Rat (predicted: Human,Rabbit,Cow,Chicken,Dog)
产品应用 WB=1:500-2000,IHC-P=1:100-500,IHC-F=1:100-500,IF=1:100-500
not yet tested in other applications.
optimal dilutions/concentrations should be determined by the end user.
理论分子量 30 kDa
检测分子量
细胞定位 细胞浆 细胞膜 
性    状 Liquid
浓    度 1mg/ml
免 疫 原 KLH conjugated synthesised phosphopeptide derived from rat MARCKS around the phosphorylation site of Ser152/156 or Ser159/163(human) : RF(p-S)FKK(p-S)FK 
亚    型 IgG
纯化方法 affinity purified by Protein A
缓 冲 液 0.01M TBS (pH7.4) with 1% BSA, 0.02% Proclin300 and 50% Glycerol.
保存条件 Shipped at 4℃. Store at -20℃ for one year. Avoid repeated freeze/thaw cycles.
注意事项 This product as supplied is intended for research use only, not for use in human, therapeutic or diagnostic applications.
PubMed PubMed
产品介绍 The protein encoded by this gene is a substrate for protein kinase C. It is localized to the plasma membrane and is an actin filament crosslinking protein. Phosphorylation by protein kinase C or binding to calcium-calmodulin inhibits its association with actin and with the plasma membrane, leading to its presence in the cytoplasm. The protein is thought to be involved in cell motility, phagocytosis, membrane trafficking and mitogenesis. [provided by RefSeq, Jul 2008]

Function:
MARCKS is the most prominent cellular substrate for protein kinase C. This protein binds calmodulin, actin, and synapsin. MARCKS is a filamentous (F) actin cross-linking protein.

Subcellular Location:
Cytoplasm, cytoskeleton (Probable). Membrane; Lipid-anchor.

Tissue Specificity:
Highest levels found in spleen and brain. Intermediate levels seen in thymus, ovary, lung and heart. Very low levels seen in kidney, skeletal muscle and liver.

Post-translational modifications:
Phosphorylation by PKC displaces MARCKS from the membrane. It also inhibits the F-actin cross-linking activity.

Similarity:
Belongs to the MARCKS family.

SWISS:
P29966

Gene ID:
4082

Database links:

Entrez Gene: 4082 Human

Entrez Gene: 17118 Mouse

Entrez Gene: 25603 Rat

Omim: 177061 Human

SwissProt: P29966 Human

SwissProt: P26645 Mouse

SwissProt: P30009 Rat

Unigene: 519909 Human

Unigene: 712721 Human

Unigene: 30059 Mouse

Unigene: 9560 Rat



MARCKS是一种分子量为32kDa的膜内蛋白,在组织中广泛表达,但主要高表达在脑内的轴突、小直径的树突和树突棘.
产品图片
Sample: Spleen (Mouse) Lysate at 40 ug Cerebrum (Mouse) Lysate at 40 ug Cerebellum (Mouse) Lysate at 40 ug Primary: Anti- Phospho-MARCKS (Ser152 + Ser156) (bs-3263R) at 1/1000 dilution Secondary: IRDye800CW Goat Anti-Rabbit IgG at 1/20000 dilution Predicted band size: 30 kD Observed band size: 30 kD
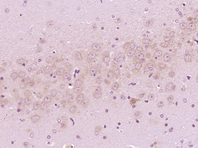
Paraformaldehyde-fixed, paraffin embedded (Rat Cerebellum); Antigen retrieval by boiling in sodium citrate buffer (pH6.0) for 15min; Block endogenous peroxidase by 3% hydrogen peroxide for 20 minutes; Blocking buffer (normal goat serum) at 37°C for 30min; Antibody incubation with (Phospho-MARCKS (Ser152 + Ser156)) Polyclonal Antibody, Unconjugated (bs-3263R) at 1:400 overnight at 4°C, followed by operating according to SP Kit(Rabbit) (sp-0023) instructionsand DAB staining.
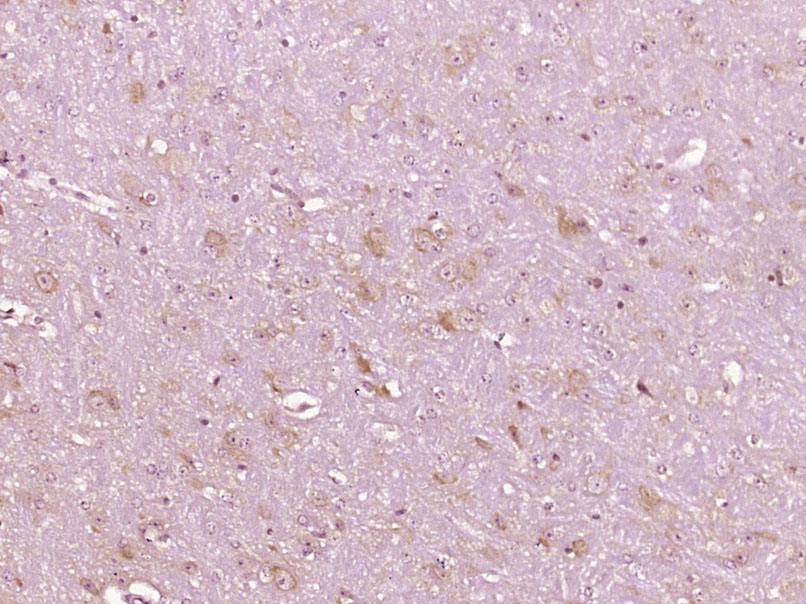
Paraformaldehyde-fixed, paraffin embedded (Rat brain); Antigen retrieval by boiling in sodium citrate buffer (pH6.0) for 15min; Block endogenous peroxidase by 3% hydrogen peroxide for 20 minutes; Blocking buffer (normal goat serum) at 37°C for 30min; Antibody incubation with (Phospho-MARCKS (Ser152 + Ser156)) Polyclonal Antibody, Unconjugated (bs-3263R) at 1:400 overnight at 4°C, followed by operating according to SP Kit(Rabbit) (sp-0023) instructionsand DAB staining.
版权所有 2004-2026 www.bioss.com.cn 北京博奥森生物技术有限公司
通过国际质量管理体系ISO 9001:2015 GB/T 19001-2016    证书编号: 00124Q34771R2M/1100
通过国际医疗器械-质量管理体系ISO 13485:2016 GB/T 42061-2022     证书编号: CQC24QY20047R0M/1100
京ICP备05066980号-1         京公网安备110107000727号