扫码关注公众号           扫码咨询技术支持           扫码咨询技术服务
  
客服热线:400-901-9800  客服QQ:4009019800  技术答疑  技术支持  质量反馈  关于我们  联系我们
产品中心-北京博奥森生物技术有限公司
首页 > 产品中心 > 一抗 > 产品信息
DTNB Rabbit pAb (bs-3548R)  
订购热线:400-901-9800
订购邮箱:sales@bioss.com.cn
订购QQ:  400-901-9800
技术支持:techsupport@bioss.com.cn
50ul/1180.00元
100ul/1980.00元
200ul/2800.00元
大包装/询价

产品编号 bs-3548R
英文名称 DTNB Rabbit pAb
中文名称 肌萎缩Dystrobrevin β蛋白抗体
别    名 beta dystrobrevin; beta-dystrobrevin; DTN B; DTN-B; Dtnb; DTNB_HUMAN; Dystrobrevin beta; MGC17163; MGC57126.  
研究领域 细胞生物  免疫学  信号转导  细胞骨架  
抗体来源 Rabbit
克隆类型 Polyclonal
克 隆 号
交叉反应 Rat (predicted: Human,Mouse,Rabbit,Cow,Chicken,Dog,Horse)
产品应用 IHC-P=1:100-500,IHC-F=1:100-500,IF=1:100-500
not yet tested in other applications.
optimal dilutions/concentrations should be determined by the end user.
理论分子量 71 kDa
检测分子量
细胞定位 细胞浆 
性    状 Liquid
浓    度 1mg/ml
免 疫 原 KLH conjugated synthetic peptide derived from human DTNB: 261-370/627 
亚    型 IgG
纯化方法 affinity purified by Protein A
缓 冲 液 0.01M TBS (pH7.4) with 1% BSA, 0.02% Proclin300 and 50% Glycerol.
保存条件 Shipped at 4℃. Store at -20℃ for one year. Avoid repeated freeze/thaw cycles.
注意事项 This product as supplied is intended for research use only, not for use in human, therapeutic or diagnostic applications.
PubMed PubMed
产品介绍 Dystrobrevin beta is a component of the dystrophin-associated protein complex and interacts with dystrophin short form DP71, syntrophins SNTG1 and SNTG2. It localizes to the sarcolemma and its disruption is associated with various forms of muscular dystrophy. 4 isoforms produced by alternative splicing have been identified.

Subunit:
Interacts with dystrophin short form DP71 and syntrophins SNTG1 and SNTG2. Binds dystrobrevin binding protein 1 (By similarity).

Subcellular Location:
Cytoplasm.

Tissue Specificity:
Highly expressed in brain, kidney and pancreas.

Similarity:
Belongs to the dystrophin family. Dystrobrevin subfamily.
Contains 1 ZZ-type zinc finger.

SWISS:
O60941

Gene ID:
1838

Database links:

Entrez Gene: 1838 Human

Entrez Gene: 13528 Mouse

Omim: 602415 Human

SwissProt: O60941 Human

SwissProt: O70585 Mouse

Unigene: 307720 Human

Unigene: 286202 Mouse



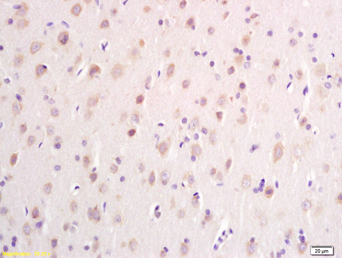
产品图片
Tissue/cell: rat brain tissue; 4% Paraformaldehyde-fixed and paraffin-embedded; Antigen retrieval: citrate buffer ( 0.01M, pH 6.0 ), Boiling bathing for 15min; Block endogenous peroxidase by 3% Hydrogen peroxide for 30min; Blocking buffer (normal goat serum,C-0005) at 37℃ for 20 min; Incubation: Anti-DTNB Polyclonal Antibody, Unconjugated(bs-3548R) 1:200, overnight at 4°C, followed by conjugation to the secondary antibody(SP-0023) and DAB(C-0010) staining
版权所有 2004-2026 www.bioss.com.cn 北京博奥森生物技术有限公司
通过国际质量管理体系ISO 9001:2015 GB/T 19001-2016    证书编号: 00124Q34771R2M/1100
通过国际医疗器械-质量管理体系ISO 13485:2016 GB/T 42061-2022     证书编号: CQC24QY20047R0M/1100
京ICP备05066980号-1         京公网安备110107000727号