扫码关注公众号           扫码咨询技术支持           扫码咨询技术服务
  
客服热线:400-901-9800  客服QQ:4009019800  技术答疑  技术支持  质量反馈  关于我们  联系我们
产品中心-北京博奥森生物技术有限公司
首页 > 产品中心 > 一抗 > 产品信息
phospho-B-Raf (Ser602) Rabbit pAb (bs-3374R)  
订购热线:400-901-9800
订购邮箱:sales@bioss.com.cn
订购QQ:  400-901-9800
技术支持:techsupport@bioss.com.cn
50ul/1180.00元
100ul/1980.00元
200ul/2800.00元
大包装/询价

产品编号 bs-3374R
英文名称 phospho-B-Raf (Ser602) Rabbit pAb
中文名称 磷酸化B-Raf抗体
别    名 B Raf(phospho S602); p-B Raf(phospho S602); BRAF_HUMAN; Serine/threonine-protein kinase B-raf; EC:2.7.11.1; BRAF1; RAFB1; Proto-oncogene B-Raf; p94; v-Raf murine sarcoma viral oncogene homolog B1; B-Raf proto-oncogene, serine/threonine kinase; NS7; B-raf; B-RAF1; BRAF-1; 94 kDa B raf protein;  
产品类型 磷酸化抗体 
研究领域 肿瘤  免疫学  信号转导  细胞凋亡  转录调节因子  激酶和磷酸酶  
抗体来源 Rabbit
克隆类型 Polyclonal
克 隆 号
交叉反应 Mouse,Rat (predicted: Human,Rabbit,Pig,Cow,Chicken,Dog,Horse)
产品应用 IHC-P=1:100-500,IHC-F=1:100-500,IF=1:100-500
not yet tested in other applications.
optimal dilutions/concentrations should be determined by the end user.
理论分子量 94 kDa
检测分子量
细胞定位 细胞核 细胞浆 细胞膜 
性    状 Liquid
浓    度 1mg/ml
免 疫 原 KLH conjugated Synthesised phosphopeptide derived from human B-Raf around the phosphorylation site of Ser602: VK(p-S)RW 
亚    型 IgG
纯化方法 affinity purified by Protein A
缓 冲 液 0.01M TBS (pH7.4) with 1% BSA, 0.02% Proclin300 and 50% Glycerol.
保存条件 Shipped at 4℃. Store at -20℃ for one year. Avoid repeated freeze/thaw cycles.
注意事项 This product as supplied is intended for research use only, not for use in human, therapeutic or diagnostic applications.
PubMed PubMed
产品介绍 This gene encodes a protein belonging to the RAF family of serine/threonine protein kinases. This protein plays a role in regulating the MAP kinase/ERK signaling pathway, which affects cell division, differentiation, and secretion. Mutations in this gene, most commonly the V600E mutation, are the most frequently identified cancer-causing mutations in melanoma, and have been identified in various other cancers as well, including non-Hodgkin lymphoma, colorectal cancer, thyroid carcinoma, non-small cell lung carcinoma, hairy cell leukemia and adenocarcinoma of lung. Mutations in this gene are also associated with cardiofaciocutaneous, Noonan, and Costello syndromes, which exhibit overlapping phenotypes. A pseudogene of this gene has been identified on the X chromosome. [provided by RefSeq, Aug 2017]

Function:
Involved in the transduction of mitogenic signals from the cell membrane to the nucleus. May play a role in the postsynaptic responses of hippocampal neuron.

Subunit:
Monomer. Homodimer. Heterodimerizes with RAF1, and the heterodimer possesses a highly increased kinase activity compared to the respective homodimers or monomers. Heterodimerization is mitogen-regulated and enhanced by 14-3-3 proteins. MAPK1/ERK2 activation can induce a negative feedback that promotes the dissociation of the heterodimer by phosphorylating BRAF at Thr-753. Found in a complex with at least BRAF, HRAS1, MAP2K1, MAPK3 and RGS14. Interacts with RIT1. Interacts (via N-terminus) with RGS14 (via RBD domains); the interaction mediates the formation of a ternary complex with RAF1, a ternary complex inhibited by GNAI1 (By similarity). Interacts with DGKH.

Subcellular Location:
Nucleus. Cytoplasm. Cell membrane.

Tissue Specificity:
Brain and testis.

Post-translational modifications:
Phosphorylation at Ser-365 by SGK1 inhibits its activity.
Methylation at Arg-671 decreases stability and kinase activity.
Ubiquitinated by RNF149; which leads to proteasomal degradation.

DISEASE:
Note=Defects in BRAF are found in a wide range of cancers.
Defects in BRAF may be a cause of colorectal cancer (CRC) [MIM:114500].
Defects in BRAF are involved in lung cancer (LNCR) [MIM:211980]. LNCR is a common malignancy affecting tissues of the lung. The most common form of lung cancer is non-small cell lung cancer (NSCLC) that can be divided into 3 major histologic subtypes: squamous cell carcinoma, adenocarcinoma, and large cell lung cancer. NSCLC is often diagnosed at an advanced stage and has a poor prognosis.
Defects in BRAF are involved in non-Hodgkin lymphoma (NHL) [MIM:605027]. NHL is a cancer that starts in cells of the lymph system, which is part of the body's immune system. NHLs can occur at any age and are often marked by enlarged lymph nodes, fever and weight loss.
Defects in BRAF are a cause of cardiofaciocutaneous syndrome (CFC syndrome) [MIM:115150]; also known as cardio-facio-cutaneous syndrome. CFC syndrome is characterized by a distinctive facial appearance, heart defects and mental retardation. Heart defects include pulmonic stenosis, atrial septal defects and hypertrophic cardiomyopathy. Some affected individuals present with ectodermal abnormalities such as sparse, friable hair, hyperkeratotic skin lesions and a generalized ichthyosis-like condition. Typical facial features are similar to Noonan syndrome. They include high forehead with bitemporal constriction, hypoplastic supraorbital ridges, downslanting palpebral fissures, a depressed nasal bridge, and posteriorly angulated ears with prominent helices. The inheritance of CFC syndrome is autosomal dominant.
Defects in BRAF are the cause of Noonan syndrome type 7 (NS7) [MIM:613706]. Noonan syndrome is a disorder characterized by facial dysmorphic features such as hypertelorism, a downward eyeslant and low-set posteriorly rotated ears. Other features can include short stature, a short neck with webbing or redundancy of skin, cardiac anomalies, deafness, motor delay and variable intellectual deficits.
Defects in BRAF are the cause of LEOPARD syndrome type 3 (LEOPARD3) [MIM:613707]. LEOPARD3 is a disorder characterized by lentigines, electrocardiographic conduction abnormalities, ocular hypertelorism, pulmonic stenosis, abnormalities of genitalia, retardation of growth, and sensorineural deafness.
Note=A chromosomal aberration involving BRAF is found in pilocytic astrocytomas. A tandem duplication of 2 Mb at 7q34 leads to the expression of a KIAA1549-BRAF fusion protein with a constitutive kinase activity and inducing cell transformation.

Similarity:
Belongs to the protein kinase superfamily. TKL Ser/Thr protein kinase family. RAF subfamily.
Contains 1 phorbol-ester/DAG-type zinc finger.
Contains 1 protein kinase domain.
Contains 1 RBD (Ras-binding) domain.

SWISS:
P15056

Gene ID:
673

Database links:

Entrez Gene: 673 Human

Entrez Gene: 109880 Mouse

Entrez Gene: 114486 Rat

SwissProt: P15056 Human

SwissProt: P28028 Mouse



BRAF蛋白是有丝分裂原活化的蛋白激酶/细胞外信号调节激酶途径蛋白。正常的B-Raf蛋白的功能是传递来自细胞膜的信号,在Ras-Raf-MEK-ERK信号转导调节途径中有着重要的作用。
BRAF是一种在癌细胞的生长和存活中起到关键作用的蛋白质,并且在大多数恶性黑素瘤患者和少数结肠癌、乳腺癌和肺癌患者中发生突变,目前BRAF也用于恶性黑素瘤和肿瘤的研究。
产品图片
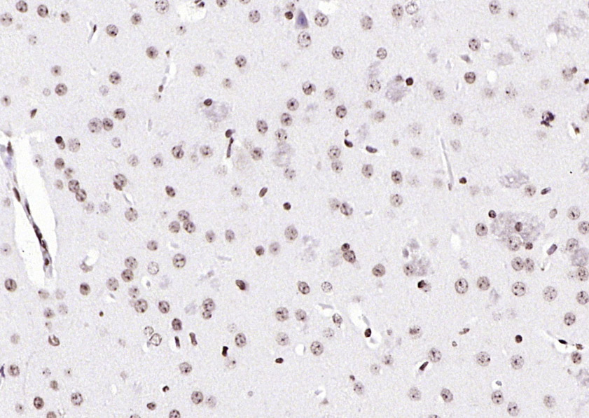
Tissue/cell: rat brain tissue; 4% Paraformaldehyde-fixed and paraffin-embedded; Antigen retrieval: citrate buffer ( 0.01M, pH 6.0 ), Boiling bathing for 15min; Block endogenous peroxidase by 3% Hydrogen peroxide for 30min; Blocking buffer (normal goat serum,C-0005) at 37℃ for 20 min; Incubation: Anti-phospho-B-Raf(Ser602) Polyclonal Antibody, Unconjugated(bs-3374R) 1:200, overnight at 4°C, followed by conjugation to the secondary antibody(SP-0023) and DAB(C-0010) staining
Paraformaldehyde-fixed, paraffin embedded (mouse placenta); Antigen retrieval by boiling in sodium citrate buffer (pH6.0) for 15min; Block endogenous peroxidase by 3% hydrogen peroxide for 20 minutes; Blocking buffer (normal goat serum) at 37°C for 30min; Antibody incubation with (phospho-B-Raf (Ser602)) Polyclonal Antibody, Unconjugated (bs-3374R) at 1:200 overnight at 4°C, followed by operating according to SP Kit(Rabbit) (sp-0023) instructionsand DAB staining.
Paraformaldehyde-fixed, paraffin embedded (mouse brain); Antigen retrieval by boiling in sodium citrate buffer (pH6.0) for 15min; Block endogenous peroxidase by 3% hydrogen peroxide for 20 minutes; Blocking buffer (normal goat serum) at 37°C for 30min; Antibody incubation with (phospho-B-Raf (Ser602)) Polyclonal Antibody, Unconjugated (bs-3374R) at 1:200 overnight at 4°C, followed by operating according to SP Kit(Rabbit) (sp-0023) instructionsand DAB staining.
Paraformaldehyde-fixed, paraffin embedded (rat kidney); Antigen retrieval by boiling in sodium citrate buffer (pH6.0) for 15min; Block endogenous peroxidase by 3% hydrogen peroxide for 20 minutes; Blocking buffer (normal goat serum) at 37°C for 30min; Antibody incubation with (phospho-B-Raf (Ser602)) Polyclonal Antibody, Unconjugated (bs-3374R) at 1:200 overnight at 4°C, followed by operating according to SP Kit(Rabbit) (sp-0023) instructionsand DAB staining.
Paraformaldehyde-fixed, paraffin embedded (mouse testis); Antigen retrieval by boiling in sodium citrate buffer (pH6.0) for 15min; Block endogenous peroxidase by 3% hydrogen peroxide for 20 minutes; Blocking buffer (normal goat serum) at 37°C for 30min; Antibody incubation with (phospho-B-Raf (Ser602)) Polyclonal Antibody, Unconjugated (bs-3374R) at 1:200 overnight at 4°C, followed by operating according to SP Kit(Rabbit) (sp-0023) instructionsand DAB staining.
Paraformaldehyde-fixed, paraffin embedded (rat testis); Antigen retrieval by boiling in sodium citrate buffer (pH6.0) for 15min; Block endogenous peroxidase by 3% hydrogen peroxide for 20 minutes; Blocking buffer (normal goat serum) at 37°C for 30min; Antibody incubation with (phospho-B-Raf (Ser602)) Polyclonal Antibody, Unconjugated (bs-3374R) at 1:200 overnight at 4°C, followed by operating according to SP Kit(Rabbit) (sp-0023) instructionsand DAB staining.
Paraformaldehyde-fixed, paraffin embedded (rat brain); Antigen retrieval by boiling in sodium citrate buffer (pH6.0) for 15min; Block endogenous peroxidase by 3% hydrogen peroxide for 20 minutes; Blocking buffer (normal goat serum) at 37°C for 30min; Antibody incubation with (phospho-B-Raf (Ser602)) Polyclonal Antibody, Unconjugated (bs-3374R) at 1:200 overnight at 4°C, followed by operating according to SP Kit(Rabbit) (sp-0023) instructionsand DAB staining.
版权所有 2004-2026 www.bioss.com.cn 北京博奥森生物技术有限公司
通过国际质量管理体系ISO 9001:2015 GB/T 19001-2016    证书编号: 00124Q34771R2M/1100
通过国际医疗器械-质量管理体系ISO 13485:2016 GB/T 42061-2022     证书编号: CQC24QY20047R0M/1100
京ICP备05066980号-1         京公网安备110107000727号