扫码关注公众号           扫码咨询技术支持           扫码咨询技术服务
  
客服热线:400-901-9800  客服QQ:4009019800  技术答疑  技术支持  质量反馈  人才招聘  关于我们  联系我们
产品中心-北京博奥森生物技术有限公司
首页 > 产品中心 > 一抗 > 产品信息
phospho-RPS6 (Ser235+Ser236) Rabbit pAb (bs-3388R)  
订购热线:400-901-9800
订购邮箱:sales@bioss.com.cn
订购QQ:  400-901-9800
技术支持:techsupport@bioss.com.cn
50ul/1180.00元
100ul/1980.00元
200ul/2800.00元
大包装/询价

产品编号 bs-3388R
英文名称 phospho-RPS6 (Ser235+Ser236) Rabbit pAb
中文名称 磷酸化S6核糖体蛋白抗体
别    名 RPS6 (phospho-S235/S236); p-RPS6; phospho-RPS6; RPS6 (phospho-Ser235/Ser236); S6; eS6; RS6_HUMAN; RPS6; 40S ribosomal protein S6; Phosphoprotein NP33; RS6_RAT;   
产品类型 磷酸化抗体 
研究领域 染色质和核信号  表观遗传学  
抗体来源 Rabbit
克隆类型 Polyclonal
克 隆 号
交叉反应 Human,Mouse,Rat
产品应用 WB=1:500-2000,IHC-P=1:200-800,IHC-F=1:200-800,IF=1:200-800
not yet tested in other applications.
optimal dilutions/concentrations should be determined by the end user.
理论分子量 27 kDa
检测分子量 34
细胞定位 细胞核 细胞浆 
性    状 Liquid
浓    度 1mg/ml
免 疫 原 KLH conjugated Synthesised phosphopeptide derived from human RPS6 around the phosphorylation site of Ser235/236: RL(p-S)(p-S)LR 
亚    型 IgG
纯化方法 affinity purified by Protein A
缓 冲 液 0.01M TBS (pH7.4) with 1% BSA, 0.02% Proclin300 and 50% Glycerol.
保存条件 Shipped at 4℃. Store at -20℃ for one year. Avoid repeated freeze/thaw cycles.
注意事项 This product as supplied is intended for research use only, not for use in human, therapeutic or diagnostic applications.
PubMed PubMed
产品介绍 Ribosomes, the organelles that catalyze protein synthesis, consist of a small 40S subunit and a large 60S subunit. Together these subunits are composed of 4 RNA species and approximately 80 structurally distinct proteins. This gene encodes a cytoplasmic ribosomal protein that is a component of the 40S subunit. The protein belongs to the S6E family of ribosomal proteins. It is the major substrate of protein kinases in the ribosome, with subsets of five C-terminal serine residues phosphorylated by different protein kinases. Phosphorylation is induced by a wide range of stimuli, including growth factors, tumor-promoting agents, and mitogens. Dephosphorylation occurs at growth arrest. The protein may contribute to the control of cell growth and proliferation through the selective translation of particular classes of mRNA. As is typical for genes encoding ribosomal proteins, there are multiple processed pseudogenes of this gene dispersed through the genome. [provided by RefSeq, Jul 2008]

Function:
May play an important role in controlling cell growth and proliferation through the selective translation of particular classes of mRNA.

Post-translational modifications:
Ribosomal protein S6 is the major substrate of protein kinases in eukaryote ribosomes. The phosphorylation is stimulated by growth factors, tumor promoting agents, and mitogens. It is dephosphorylated at growth arrest. Phosphrylated at Ser-235 and Ser-236 by RPS6KA1 and RPS6KA3; phosphorylation at these sites facilitates the assembly of the preinitiation complex.

Similarity:
Belongs to the ribosomal protein S6e family.

SWISS:
P62753

Gene ID:
6194

Database links:

Entrez Gene: 6194 Human

Entrez Gene: 20104 Mouse

Entrez Gene: 667739 Mouse

Entrez Gene: 29304 Rat

Omim: 180460 Human

SwissProt: P62753 Human

SwissProt: P62754 Mouse

SwissProt: P62755 Rat

Unigene: 408073 Human

Unigene: 379007 Mouse

Unigene: 425090 Mouse

Unigene: 34341 Rat



产品图片
Hela (H) cells were treated with or without Anisomycin (250ng/ml) for 30 min, 25 μg total protein per lane of cell lysates (see on figure) probed with Phospho-RPS6 (Ser235+Ser236) polyclonal antibody, unconjugated (bs-3388R) at 1:1000 dilution and 4°C overnight incubation. Followed by conjugated secondary antibody incubation at r.t. for 60 min.
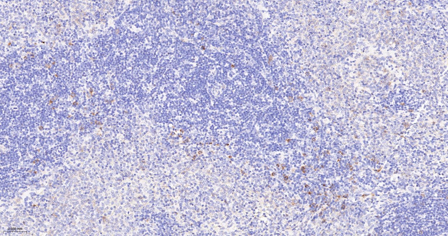
Paraformaldehyde-fixed, paraffin embedded Human Tonsil; Antigen retrieval by boiling in sodium citrate buffer (pH6.0) for 15 min; The section was incubated with phospho-RPS6 (Ser235+Ser236) Polyclonal Antibody, Unconjugated (bs-3388R) at 1:400 overnight at 4°C, followed by conjugation to the bs-0295G-HRP and DAB (C-0010) staining.
Paraformaldehyde-fixed, paraffin embedded Human Lung Cancer; Antigen retrieval by boiling in sodium citrate buffer (pH6.0) for 15 min; The section was incubated with phospho-RPS6 (Ser235+Ser236) Polyclonal Antibody, Unconjugated (bs-3388R) at 1:400 overnight at 4°C, followed by conjugation to the bs-0295G-HRP and DAB (C-0010) staining.
Paraformaldehyde-fixed, paraffin embedded Rat Colon; Antigen retrieval by boiling in sodium citrate buffer (pH6.0) for 15 min; The section was incubated with phospho-RPS6 (Ser235+Ser236) Polyclonal Antibody, Unconjugated (bs-3388R) at 1:400 overnight at 4°C, followed by conjugation to the bs-0295G-HRP and DAB (C-0010) staining.
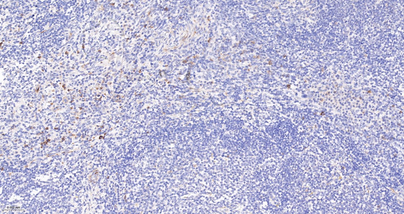
Paraformaldehyde-fixed, paraffin embedded Human Spleen; Antigen retrieval by boiling in sodium citrate buffer (pH6.0) for 15 min; The section was incubated with phospho-RPS6 (Ser235+Ser236) Polyclonal Antibody, Unconjugated (bs-3388R) at 1:400 overnight at 4°C, followed by conjugation to the bs-0295G-HRP and DAB (C-0010) staining.
Paraformaldehyde-fixed, paraffin embedded Rat Spleen; Antigen retrieval by boiling in sodium citrate buffer (pH6.0) for 15 min; The section was incubated with phospho-RPS6 (Ser235+Ser236) Polyclonal Antibody, Unconjugated (bs-3388R) at 1:400 overnight at 4°C, followed by conjugation to the bs-0295G-HRP and DAB (C-0010) staining.
Paraformaldehyde-fixed, paraffin embedded Mouse Spleen; Antigen retrieval by boiling in sodium citrate buffer (pH6.0) for 15 min; The section was incubated with phospho-RPS6 (Ser235+Ser236) Polyclonal Antibody, Unconjugated (bs-3388R) at 1:400 overnight at 4°C, followed by conjugation to the bs-0295G-HRP and DAB (C-0010) staining.
版权所有 2004-2026 www.bioss.com.cn 北京博奥森生物技术有限公司
通过国际质量管理体系ISO 9001:2015 GB/T 19001-2016    证书编号: 00124Q34771R2M/1100
通过国际医疗器械-质量管理体系ISO 13485:2016 GB/T 42061-2022     证书编号: CQC24QY20047R0M/1100
京ICP备05066980号-1         京公网安备110107000727号