扫码关注公众号           扫码咨询技术支持           扫码咨询技术服务
  
客服热线:400-901-9800  客服QQ:4009019800  技术答疑  技术支持  质量反馈  关于我们  联系我们
产品中心-北京博奥森生物技术有限公司
首页 > 产品中心 > 一抗 > 产品信息
Smad3 Rabbit pAb (bs-3484R)  
订购热线:400-901-9800
订购邮箱:sales@bioss.com.cn
订购QQ:  400-901-9800
技术支持:techsupport@bioss.com.cn
50ul/1180.00元
100ul/1980.00元
200ul/2800.00元
大包装/询价

产品编号 bs-3484R
英文名称 Smad3 Rabbit pAb
中文名称 细胞信号转导分子SMAD3抗体
别    名 hMAD 3; hSMAD3; HSPC193; JV15 2; JV152; MAD(mothers against decapentaplegic Drosophila) homolog 3; MAD3; MADH 3; MADH3; Mothers against decapentaplegic homolog 3; Mothers against DPP homolog 3; SMA and MAD related protein 3; SMAD 3; SMAD; SMAD-3; SMAD3_HUMAN.  
Specific References  (33)     |     bs-3484R has been referenced in 33 publications.
[IF=6.388] Yu-jie Lu. et al. Ligustilide attenuates airway remodeling in COPD mice by covalently binding to MH2 domain of Smad3 in pulmonary epithelium, disrupting the Smad3-SARA interaction. PHYTOTHER RES. 2022 Oct;:  IF, IHC ;  Mouse,Human.  
[IF=6.1] Cuifang Chang. et al. The orphan GPR50 receptor interacting with TβRI induces G1/S-phase cell cycle arrest via Smad3-p27/p21 in BRL-3A cells. BIOCHEM PHARMACOL. 2022 Aug;202:115117  WB ;  Rat.  
[IF=5.895] Guangning Kou. et al. Sesamin Activates Skeletal Muscle FNDC5 Expression and Increases Irisin Secretion via the SIRT1 Signaling Pathway. J AGR FOOD CHEM. 2022;XXXX(XXX):XXX-XXX  WB ;  Mouse.  
[IF=5.846] Yifan Zhang. et al. MiR-208b/miR-21 Promotes the Progression of Cardiac Fibrosis Through the Activation of the TGF-β1/Smad-3 Signaling Pathway: An in vitro and in vivo Study. FRONT CARDIOVASC MED. 2022; 9: 924629  WB ;  Rat.  
[IF=5.714] Han B et al. Deltamethrin induces liver fibrosis in quails via activation of the TGF-β1/Smad signaling pathway. Environ Pollut. 2019 Dec 23;259:113870.  WB ;  quail.  
[IF=5.589] Lv Y et al. Imidacloprid-induced liver fibrosis in quails via activation of the TGF-β1/Smad pathway. Sci Total Environ. 2019 Dec 6;705:135915.  WB ;  Quail.  
[IF=5.068] Chen XY et al. Pulsed Magnetic Field Stimuli Can Promote Chondrogenic Differentiation of Superparamagnetic Iron Oxide Nanoparticles-Labeled Mesenchymal Stem Cells in Rats.(2018) J Biomed Nanotechnol. 14(12):2135-2145.  WB ;  Rat.  
[IF=4.545] Han X et al. The intervention effect of nicotine on cervical fibroblast-myofibroblast differentiation in lipopolysaccharide-induced preterm birth model through activating the TGF-β1/Smad3 pathwayBiomed Pharmacother.2020 Dec 24;134:111135.  WB ;  Mouse.  
[IF=4.42] Gao, Lili, et al. "Glycyrrhizic acid alleviates bleomycin-induced pulmonary fibrosis in rats." Frontiers in pharmacology 6 (2015).  WB ;  Rat.  
[IF=4.225] Yang Fan. et al. Catalpol Protects Against Pulmonary Fibrosis Through Inhibiting TGF-β1/Smad3 and Wnt/β-Catenin Signaling Pathways. Front Pharmacol. 2021 Jan;11:2472  WB,IHC ;  Rat.  
[IF=4.171] Yi Chen. et al. The essential oil from the raw and vinegar processed Rhizoma Curcumae ameliorate CCl4-incuded liver fibrosis: integrating network pharmacology and molecular mechanism evaluation. 2021 Mar 17  WB ;  Rat.  
[IF=4.096] Weimin Lin. et al. SESN3 Inhibited SMAD3 to Relieve Its Suppression for MiR-124, Thus Regulating Pre-Adipocyte Adipogenesis. Genes-Basel. 2021 Dec;12(12):1852  IP ;  Pig.  
[IF=3.819] Wu L et al. Intragastric administration of dahuang zhechong pill modulates TGF-β1/smad signaling pathway in murine model of experimental silicosis.  WB ;  mouse.  
[IF=3.571] Zheng HX et al. Cyanidin-3-glucoside from Black Rice Ameliorates Diabetic Nephropathy via Reducing Blood Glucose, Suppressing Oxidative Stress and Inflammation, and Regulating Transforming Growth Factor β1/Smad Expression. J Agric Food Chem. 2020 Apr 15;68(15):4399-4410.  IHC-P ;  Rat.  
[IF=3.342] Feng Wang. et al. Metformin reduces myogenic contracture and myofibrosis induced by rat knee joint immobilization via AMPK-mediated inhibition of TGF-β1/Smad signaling pathway. CONNECT TISSUE RES. 2022 Jun 20  WB ;  Rat.  
[IF=3.13] Zhang, Wen-feng, et al. "Angelica polysaccharides inhibit the growth and promote the apoptosis of U251 glioma cells in vitro and in vivo." Phytomedicine (2017).  WB ;  Human.  
[IF=3.082] Fei Yin. et al. Effect of Human Umbilical Cord Mesenchymal Stem Cells Transfected with HGF on TGF-β1/Smad Signaling Pathway in Carbon Tetrachloride-Induced Liver Fibrosis Rats. Stem Cells Dev. 2020 Oct;29(21):1395-1406  IHC ;  Rat.  
[IF=3.06] Yan Y et al. Inhibition of TGF-β Signaling in Gliomas by the Flavonoid Diosmetin Isolated from Dracocephalum peregrinum L. Molecules. 2020 Jan 2;25(1). pii: E192.  WB ;  Human.  
[IF=3.03] Zhou et al. Effects of Zearalenone Exposure on the TGF-β1/Smad3 Signaling Pathway and the Expression of Proliferation or Apoptosis Related Genes of Post-Weaning Gilts. (2018) Toxins.(Basel). 10  WB ;  Porcine.  
[IF=2.82] Wang et al. Epigallocatechin-3-gallate attenuates unilateral ureteral obstruction-induced renal interstitial fibrosis in mice. (2015) J.Histochem.Cytochem. 63:270-9  WB ;  Mouse.  
[IF=2.81] Hu et al. Hydroxysafflor Yellow A Ameliorates Renal Fibrosis by Suppressing TGF-β1-Induced Epithelial-to-Mesenchymal Transition. (2016) PLoS.On. 11:e0153409  WB ;  Mouse.  
[IF=2.73] Wahsh, Eman, et al. "The vitamin D receptor agonist, Calcipotriol, modulates fibrogenic pathways mitigating liver fibrosis in-vivo: An experimental study."European Journal of Pharmacology (2016).  IHC-P ;  Mouse.  
[IF=2.728] Xijuan Liu et al. Chondrocyte suppression is mediated by miR‐129‐5p via GDF11/SMAD3 signaling in developmental dysplasia of the hip. J Orthop Res. 2020 Dec;38(12):2559-2572.  WB/IHC ;  Rabbit.  
[IF=2.66] Wang et al. Effects of Tongxinluo on myocardial fibrosis in diabetic rats. (2016) J.Chin.Med.Assoc. 79:130-6  IHC ;  Rat.  
[IF=2.65] Wu Zhiqiang. et al. Jinlian Xiaodu Decoction Protects against Bleomycin-Induced Pulmonary Fibrosis in Rats. EVID-BASED COMPL ALT. 2022;2022:4206364  WB ;  Rat.  
[IF=2.63] Zhang Peng. et al. Study on the Mechanism of Bu-Shen-He-Mai Granules in Improving Renal Damage of Ageing Spontaneously Hypertensive Rats by Regulating Th17 Cell/Tregs Balance. EVID-BASED COMPL ALT. 2022;2022:8315503  WB ;  Rat.  
[IF=2.571] Tang et al. Salidroside protects against bleomycin-induced pulmonary fibrosis: activation of Nrf2-antioxidant signaling, and inhibition of NF-κB and TGF-β1/Smad-2/-3 pathways. (2016) Cell.Stress.Chaperones. 21:239-49  WB ;  Rat.  
[IF=2.35] Liu, Yanhua, et al. "RUNX3 modulates hypoxia-induced endothelial-to-mesenchymal transition of human cardiac microvascular endothelial cells." International Journal of Molecular Medicine (2017).  WB ;  Human.  
[IF=2.34] Zhou et al. Induced pluripotent stem cell-conditioned medium suppresses pulmonary fibroblast-to-myofibroblast differentiation via the inhibition of TGF-β1/Smad pathway. (2018) Int.J.Mol.Med. 41:473-484  WB ;  Human.  
[IF=2.014] Sheng-Nan ZHOU. et al. Early intervention with Di-Dang Decoction prevents macrovascular fibrosis in diabetic rats by regulating the TGF-β1/Smad signalling pathway. Chin J Nat Medicines. 2020 Aug;18:612  WB ;  Rat.  
研究领域 肿瘤  细胞生物  免疫学  信号转导  干细胞  细胞凋亡  生长因子和激素  转录调节因子  
抗体来源 Rabbit
克隆类型 Polyclonal
克 隆 号
交叉反应 Human,Mouse,Rat (predicted: Rabbit,Pig,Cow,Chicken)
产品应用 WB=1:500-2000,IHC-P=1:100-500,IHC-F=1:100-500,IF=1:100-500,Flow-Cyt=1ug/Test,ICC/IF=1:100-500
not yet tested in other applications.
optimal dilutions/concentrations should be determined by the end user.
理论分子量 47 kDa
检测分子量
细胞定位 细胞核 细胞浆 
性    状 Liquid
浓    度 1mg/ml
免 疫 原 KLH conjugated synthetic peptide derived from human Smad3: 31-80/425 
亚    型 IgG
纯化方法 affinity purified by Protein A
缓 冲 液 0.01M TBS (pH7.4) with 1% BSA, 0.02% Proclin300 and 50% Glycerol.
保存条件 Shipped at 4℃. Store at -20℃ for one year. Avoid repeated freeze/thaw cycles.
注意事项 This product as supplied is intended for research use only, not for use in human, therapeutic or diagnostic applications.
PubMed PubMed
产品介绍 Smad3 is a 50 kDa member of a family of proteins that act as key mediators of TGF beta superfamily signaling in cell proliferation, differentiation and development. The Smad family is divided into three subclasses: receptor regulated Smads, activin/TGF beta receptor regulated (Smad2 and 3) or BMP receptor regulated (Smad 1, 5, and 8); the common partner, (Smad4) that functions via its interaction to the various Smads; and the inhibitory Smads, (Smad6 and 7). Activated Smad3 oligomerizes with Smad4 upon TGF beta stimulation and translocates as a complex into the nucleus, allowing its binding to DNA and transcription factors. Phosphorylation of the two TGF beta dependent serines 423 and 425 in the C terminus of Smad3 is critical for Smad3 transcriptional activity and TGF beta signaling.

Function:
Receptor-regulated SMAD (R-SMAD) that is an intracellular signal transducer and transcriptional modulator activated by TGF-beta (transforming growth factor) and activin type 1 receptor kinases. Binds the TRE element in the promoter region of many genes that are regulated by TGF-beta and, on formation of the SMAD3/SMAD4 complex, activates transcription. Also can form a SMAD3/SMAD4/JUN/FOS complex at the AP-1/SMAD site to regulate TGF-beta-mediated transcription. Has an inhibitory effect on wound healing probably by modulating both growth and migration of primary keratinocytes and by altering the TGF-mediated chemotaxis of monocytes. This effect on wound healing appears to be hormone-sensitive. Regulator of chondrogenesis and osteogenesis and inhibits early healing of bone fractures (By similarity). Positively regulates PDPK1 kinase activity by stimulating its dissociation from the 14-3-3 protein YWHAQ which acts as a negative regulator.

Subunit:
Monomer; in the absence of TGF-beta. Homooligomer; in the presence of TGF-beta. Heterotrimer; forms a heterotrimer in the presence of TGF-beta consisting of two molecules of C-terminally phosphorylated SMAD2 or SMAD3 and one of SMAD4 to form the transcriptionally active SMAD2/SMAD3-SMAD4 complex. Interacts with TGFBR1. Part of a complex consisting of AIP1, ACVR2A, ACVR1B and SMAD3. Interacts with AIP1, TGFB1I1, TTRAP, FOXL2, PML, PRDM16, HGS and WWP1. Interacts (via MH2 domain) with CITED2 (via C-terminus) (By similarity). Interacts with NEDD4L; the interaction requires TGF-beta stimulation (By similarity). Interacts (via the MH2 domain) with ZFYVE9. Interacts with HDAC1, VDR, TGIF and TGIF2, RUNX3, CREBBP, SKOR1, SKOR2, SNON, ATF2, SMURF2 and TGFB1I1. Interacts with DACH1; the interaction inhibits the TGF-beta signaling. Forms a complex with SMAD2 and TRIM33 upon addition of TGF-beta. Found in a complex with SMAD3, RAN and XPO4. Interacts in the complex directly with XPO4. Interacts (via the MH2 domain) with LEMD3; the interaction represses SMAD3 transcriptional activity through preventing the formation of the heteromeric complex with SMAD4 and translocation to the nucleus. Interacts with RBPMS. Interacts (via MH2 domain) with MECOM. Interacts with WWTR1 (via its coiled-coil domain). Interacts (via the linker region) with EP300 (C-terminal); the interaction promotes SMAD3 acetylation and is enhanced by TGF-beta phosphorylation in the C-terminal of SMAD3. This interaction can be blocked by competitive binding of adenovirus oncoprotein E1A to the same C-terminal site on EP300, which then results in partially inhibited SMAD3/SMAD4 transcriptional activity. Interacts with SKI; the interaction represses SMAD3 transcriptional activity. Component of the multimeric complex SMAD3/SMAD4/JUN/FOS which forms at the AP1 promoter site; required for syngernistic transcriptional activity in response to TGF-beta. Interacts (via an N-terminal domain) with JUN (via its basic DNA binding and leucine zipper domains); this interaction is essential for DNA binding and cooperative transcriptional activity in response to TGF-beta. Interacts with PPM1A; the interaction dephosphorylates SMAD3 in the C-terminal SXS motif leading to disruption of the SMAD2/3-SMAD4 complex, nuclear export and termination of TGF-beta signaling. Interacts (dephosphorylated form via the MH1 and MH2 domains) with RANBP3 (via its C-terminal R domain); the interaction results in the export of dephosphorylated SMAD3 out of the nucleus and termination of the TGF-beta signaling. Interacts with MEN1. Interacts with IL1F7. Interaction with CSNK1G2. Interacts with PDPK1 (via PH domain).

Subcellular Location:
Cytoplasm. Nucleus. Note=Cytoplasmic and nuclear in the absence of TGF-beta. On TGF-beta stimulation, migrates to the nucleus when complexed with SMAD4. Through the action of the phosphatase PPM1A, released from the SMAD2/SMAD4 complex, and exported out of the nucleus by interaction with RANBP1. Co-localizes with LEMD3 at the nucleus inner membrane. MAPK-mediated phosphorylation appears to have no effect on nuclear import. PDPK1 prevents its nuclear translocation in response to TGF-beta.

Post-translational modifications:
Phosphorylated on serine and threonine residues. Enhanced phosphorylation in the linker region on Thr-179, Ser-204 and Ser-208 on EGF AND TGF-beta treatment. Ser-208 is the main site of MAPK-mediated phosphorylation. CDK-mediated phosphorylation occurs in a cell-cycle dependent manner and inhibits both the transcriptional activity and antiproliferative functions of SMAD3. This phosphorylation is inhibited by flavopiridol. Maximum phosphorylation at the G(1)/S junction. Also phosphorylated on serine residues in the C-terminal SXS motif by TGFBR1 and ACVR1. TGFBR1-mediated phosphorylation at these C-terminal sites is required for interaction with SMAD4, nuclear location and transactivational activity, and appears to be a prerequisite for the TGF-beta mediated phosphorylation in the linker region. Dephosphorylated in the C-terminal SXS motif by PPM1A. This dephosphorylation disrupts the interaction with SMAD4, promotes nuclear export and terminates TGF-beta-mediated signaling. Phosphorylation at Ser-418 by CSNK1G2/CK1 promotes ligand-dependent ubiquitination and subsequent proteasome degradation, thus inhibiting SMAD3-mediated TGF-beta responses. Phosphorylated by PDPK1.
Acetylation in the nucleus by EP300 in the MH2 domain regulates positively its transcriptional activity and is enhanced by TGF-beta.
Ubiquitinated.

DISEASE:
Defects in SMAD3 may be a cause of colorectal cancer (CRC) [MIM:114500].
Defects in SMAD3 are the cause of Loeys-Dietz syndrome type 1C (LDS1C) [MIM:613795]. LDS1C is an aortic aneurysm syndrome with widespread systemic involvement. The disorder is characterized by the triad of arterial tortuosity and aneurysms, hypertelorism, and bifid uvula or cleft palate. Patients with LDS1C also manifest early-onset osteoarthritis. They lack craniosynostosis and mental retardation.

Similarity:
Belongs to the dwarfin/SMAD family.
Contains 1 MH1 (MAD homology 1) domain.
Contains 1 MH2 (MAD homology 2) domain.

SWISS:
P84022

Gene ID:
4088

Database links:

Entrez Gene: 4088 Human

Entrez Gene: 17127 Mouse

Entrez Gene: 25631 Rat

Omim: 603109 Human

SwissProt: P84022 Human

SwissProt: Q8BUN5 Mouse

SwissProt: P84025 Rat

Unigene: 727986 Human

Unigene: 7320 Mouse

Unigene: 10636 Rat



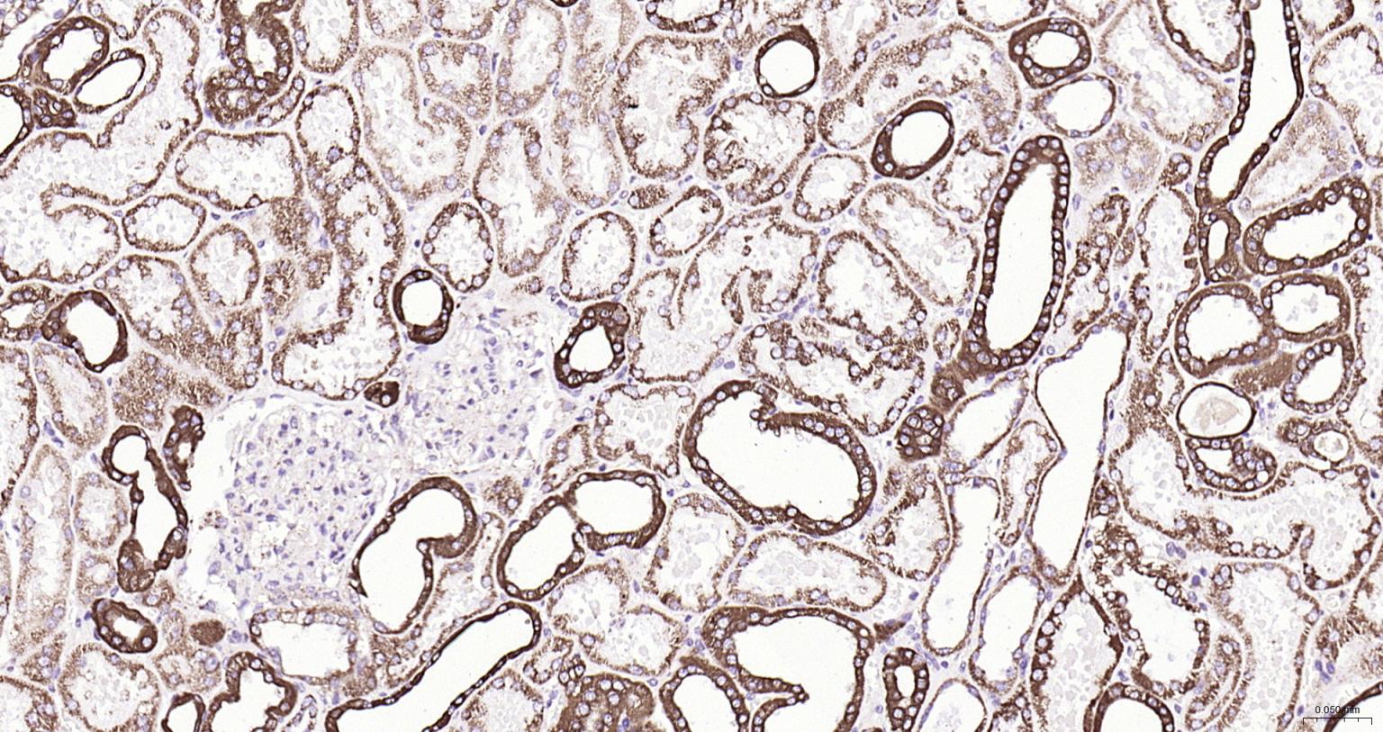
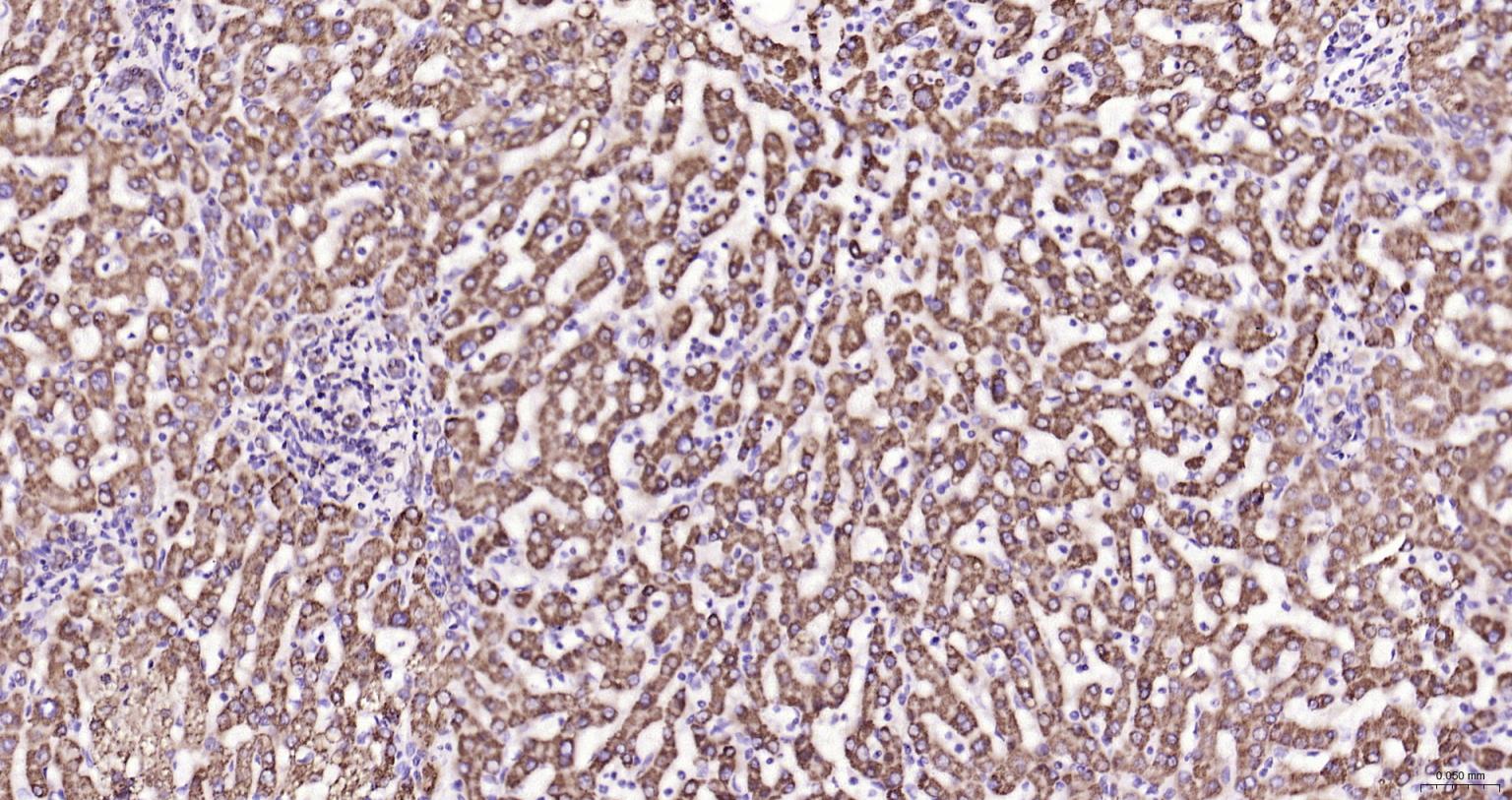
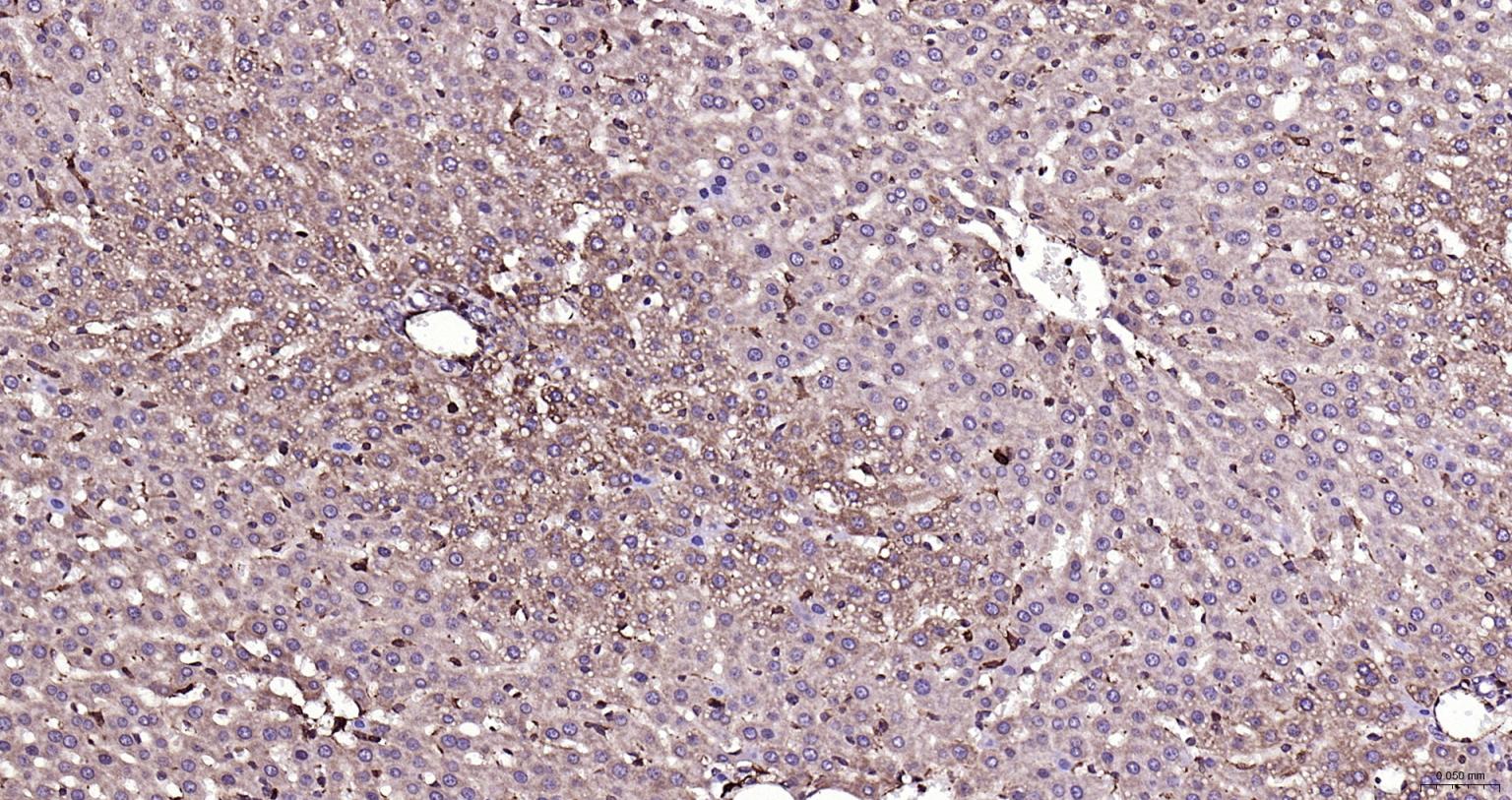
产品图片
Sample: Lane 1: Cerebrum (Mouse) Lysate at 40 ug Lane 2: Heart (Mouse) Lysate at 40 ug Lane 3: Testis (Mouse) Lysate at 40 ug Lane 4: Skin (Mouse) Lysate at 40 ug Lane 5: Kidney (Mouse) Lysate at 40 ug Lane 6: Cerebrum (Rat) Lysate at 40 ug Lane 7: Testis (Rat) Lysate at 40 ug Lane 8: Kidney (Rat) Lysate at 40 ug Lane 9: Huvec (Human) Cell Lysate at 30 ug Lane 10: A549 (Human) Cell Lysate at 30 ug Lane 11: Hela (Human) Cell Lysate at 30 ug Lane 12: HT1080 (Human) Cell Lysate at 30 ug Lane 13: A431 (Human) Cell Lysate at 30 ug Primary: Anti-Smad3 (bs-3484R) at 1/1000 dilution Secondary: IRDye800CW Goat Anti-Rabbit IgG at 1/20000 dilution Predicted band size: 52 kD Observed band size: 54 kD
Tissue/cell: mouse lymphoma tissue; 4% Paraformaldehyde-fixed and paraffin-embedded; Antigen retrieval: citrate buffer ( 0.01M, pH 6.0 ), Boiling bathing for 15min; Block endogenous peroxidase by 3% Hydrogen peroxide for 30min; Blocking buffer (normal goat serum,C-0005) at 37℃ for 20 min; Incubation: Anti-Smad3 Polyclonal Antibody, Unconjugated(bs-3484R) 1:200, overnight at 4°C, followed by conjugation to the secondary antibody(SP-0023) and DAB(C-0010) staining
Hela cell; 4% Paraformaldehyde-fixed; Triton X-100 at room temperature for 20 min; Blocking buffer (normal goat serum, C-0005) at 37°C for 20 min; Antibody incubation with (Smad3) polyclonal Antibody, Unconjugated (bs-3484R) 1:100, 90 minutes at 37°C; followed by a conjugated Goat Anti-Rabbit IgG antibody at 37°C for 90 minutes, DAPI (blue, C02-04002) was used to stain the cell nuclei.
Blank control: Hela. Primary Antibody (green line): Rabbit Anti-Smad3 antibody (bs-3484R) Dilution: 1μg /10^6 cells; Isotype Control Antibody (orange line): Rabbit IgG . Secondary Antibody : Goat anti-rabbit IgG-AF647 Dilution: 1μg /test. Protocol The cells were fixed with 4% PFA (10min at room temperature)and then permeabilized with 90% ice-cold methanol for 20 min at -20℃. The cells were then incubated in 5%BSA to block non-specific protein-protein interactions for 30 min at room temperature .Cells stained with Primary Antibody for 30 min at room temperature. The secondary antibody used for 40 min at room temperature. Acquisition of 20,000 events was performed.
Blank control (Black line): HUVEC (Black). Primary Antibody (green line): Rabbit Anti-Smad3 antibody (bs-3484R) Dilution: 1μg /10^6 cells; Isotype Control Antibody (orange line): Rabbit IgG . Secondary Antibody (white blue line): Goat anti-rabbit IgG-AF647 Dilution: 1μg /test. Protocol The cells were fixed with 4% PFA (10min at room temperature)and then permeabilized with 90% ice-cold methanol for 20 min at room temperature. The cells were then incubated in 5%BSA to block non-specific protein-protein interactions for 30 min at room temperature .Cells stained with Primary Antibody for 30 min at room temperature. The secondary antibody used for 40 min at room temperature. Acquisition of 20,000 events was performed.
版权所有 2004-2026 www.bioss.com.cn 北京博奥森生物技术有限公司
通过国际质量管理体系ISO 9001:2015 GB/T 19001-2016    证书编号: 00124Q34771R2M/1100
通过国际医疗器械-质量管理体系ISO 13485:2016 GB/T 42061-2022     证书编号: CQC24QY20047R0M/1100
京ICP备05066980号-1         京公网安备110107000727号