扫码关注公众号           扫码咨询技术支持           扫码咨询技术服务
  
客服热线:400-901-9800  客服QQ:4009019800  技术答疑  技术支持  质量反馈  关于我们  联系我们
产品中心-北京博奥森生物技术有限公司
首页 > 产品中心 > 一抗 > 产品信息
TAK1 Rabbit pAb (bs-3585R)  
订购热线:400-901-9800
订购邮箱:sales@bioss.com.cn
订购QQ:  400-901-9800
技术支持:techsupport@bioss.com.cn
50ul/1180.00元
100ul/1980.00元
200ul/2800.00元
大包装/询价

产品编号 bs-3585R
英文名称 TAK1 Rabbit pAb
中文名称 转化生长因子β活化激酶1
别    名 MAP3K7; Mitogen-activated protein kinase kinase kinase 7; Transforming growth factor-beta-activated kinase 1; TGF-beta-activated kinase 1; MAP3K 7; MAPKKK7; Mitogen activated protein kinase kinase kinase 7; TAK1; TGF beta activated kinase 1; TGF1a; Transforming growth factor beta activated kinase 1; M3K7_HUMAN; Map3k7; MEKK7; TGF-beta-activated kinase 1; TGF1a; Transforming growth factor-beta-activated kinase 1.  
Specific References  (11)     |     bs-3585R has been referenced in 11 publications.
[IF=16.988] Wu Yutong. et al. Osteoclast-Derived Apoptotic Bodies Inhibit Naive Cd8 T Cell Activation via Siglec15 Promoting Breast Cancer Secondary Metastasis. Cell Reports Medicine. 2022 Nov 03  WB, IHC ;  Mouse.  
[IF=5.23] Zhao, Yong, et al. "Hydrogen Sulfide and/or Ammonia Reduces Spermatozoa Motility through AMPK/AKT Related Pathways." Scientific Reports 6 (2016): 37884.  WB ;  Pig.  
[IF=5.195] Yuxi Liang. et al. The crude extract from the flowers of Trollius chinensis Bunge exerts anti-influenza virus effects through modulation of the TLR3 signaling pathway. J ETHNOPHARMACOL. 2023 Jan;300:115743  WB ;  Mouse.  
[IF=5.156] Li, Muzhe. et al. Effects of adenovirus-mediated knockdown of IRAK4 on synovitis in the osteoarthritis rabbit model. Arthritis Res Ther. 2021 Dec;23(1):1-12  WB ;  Rabbits.  
[IF=4.414] Sun, Xuehua. et al. Exogenous TIPE2 Inhibit TAK1 to Improve Inflammation and Neuropathic Pain Induced by Sciatic Nerve Injury Through Inactivating NF-κB and JNK. NEUROCHEM RES. 2022 Jul;:1-11  IF ;  Rat.  
[IF=4.36] Hong Zhao. et al. Protective effect of flavonoids extract of Hippophae rhamnoides L. on alcoholic fatty liver disease through regulating intestinal flora and inhibiting TAK1/p38MAPK/p65NF-κB pathway. J Ethnopharmacol. 2022 Jun;292:115225  WB ;  Mouse.  
[IF=4.2] Zhang, Weidong, et al. "Decrease in male mouse fertility by hydrogen sulfide and/or ammonia can Be inheritable." Chemosphere (2017).  IHC-P ;  Mouse.  
[IF=3.86] Chu, Meiqiang, et al. "MicroRNA-126 participates in lipid metabolism in mammary epithelial cells." Molecular and Cellular Endocrinology (2017).  WB ;  Human.  
[IF=3.85] Wang, Yandi, et al. "Regulation of steroid hormones and energy status with cysteamine and its effect on spermatogenesis." Toxicology and Applied Pharmacology (2016).  IHC-P ;  Sheep.  
[IF=2.53] Ji, Kaiyuan, et al. "MicroRNA 143‐5p regulates alpaca melanocyte migration, proliferation, and melanogenesis." Experimental dermatology (2017).  WB ;  Other Species.  
[IF=1.984] Liang Y et al. Astragalus Membranaceus Treatment Protects Raw264. 7 Cells from Influenza Virus by Regulating G1 Phase and the TLR3-Mediated Signaling Pathway. Evid Based Complement Alternat Med. 2019 Dec 31;2019:2971604.  WB ;  Mouse&canine.  
研究领域 肿瘤  免疫学  信号转导  细胞凋亡  转录调节因子  激酶和磷酸酶  
抗体来源 Rabbit
克隆类型 Polyclonal
克 隆 号
交叉反应 Human,Mouse,Rat (predicted: Rabbit,Pig,Sheep,Cow,Chicken,Horse)
产品应用 WB=1:500-2000,IHC-P=1:100-500,IHC-F=1:100-500,IF=1:100-500,Flow-Cyt=1μg/Test
not yet tested in other applications.
optimal dilutions/concentrations should be determined by the end user.
理论分子量 67 kDa
检测分子量
细胞定位 细胞浆 细胞膜 
性    状 Liquid
浓    度 1mg/ml
免 疫 原 KLH conjugated KLH conjugated synthetic peptide derived from human MAP3K7: 521-605/605 
亚    型 IgG
纯化方法 affinity purified by Protein A
缓 冲 液 0.01M TBS (pH7.4) with 1% BSA, 0.02% Proclin300 and 50% Glycerol.
保存条件 Shipped at 4℃. Store at -20℃ for one year. Avoid repeated freeze/thaw cycles.
注意事项 This product as supplied is intended for research use only, not for use in human, therapeutic or diagnostic applications.
PubMed PubMed
产品介绍 The protein encoded by this gene is a member of the serine/threonine protein kinase family. This kinase mediates the signaling transduction induced by TGF beta and morphogenetic protein (BMP), and controls a variety of cell functions including transcription regulation and apoptosis. In response to IL-1, this protein forms a kinase complex including TRAF6, MAP3K7P1/TAB1 and MAP3K7P2/TAB2; this complex is required for the activation of nuclear factor kappa B. This kinase can also activate MAPK8/JNK, MAP2K4/MKK4, and thus plays a role in the cell response to environmental stresses. Four alternatively spliced transcript variants encoding distinct isoforms have been reported. [provided by RefSeq, Jul 2008]

Function:
Serine/threonine kinase which acts as an essential component of the MAP kinase signal transduction pathway. Plays an important role in the cascades of cellular responses evoked by changes in the environment. Mediates signal transduction of TRAF6, various cytokines including interleukin-1 (IL-1), transforming growth factor-beta (TGFB), TGFB-related factors like BMP2 and BMP4, toll-like receptors (TLR), tumor necrosis factor receptor CD40 and B-cell receptor (BCR). Ceramides are also able to activate MAP3K7/TAK1. Once activated, acts as an upstream activator of the MKK/JNK signal transduction cascade and the p38 MAPK signal transduction cascade through the phosphorylation and activation of several MAP kinase kinases like MAP2K1/MEK1, MAP2K3/MKK3, MAP2K6/MKK6 and MAP2K7/MKK7. These MAP2Ks in turn activate p38 MAPKs, c-jun N-terminal kinases (JNKs) and I-kappa-B kinase complex (IKK). Both p38 MAPK and JNK pathways control the transcription factors activator protein-1 (AP-1), while nuclear factor-kappa B is activated by IKK. MAP3K7 activates also IKBKB and MAPK8/JNK1 in response to TRAF6 signaling and mediates BMP2-induced apoptosis. In osmotic stress signaling, plays a major role in the activation of MAPK8/JNK1, but not that of NF-kappa-B. Promotes TRIM5 capsid-specific restriction activity.

Subunit:
Binds both upstream activators and downstream substrates in multimolecular complexes. Interacts with TAB1/MAP3K7IP1 and TAB2/MAP3K7IP2. Identified in the TRIKA2 complex composed of MAP3K7, TAB1/MAP3K7IP1 and TAB2/MAP3K7IP2. Interacts with PPM1L. Interaction with PP2A and PPP6C leads to its repressed activity. Interacts with TRAF6 and TAB1/MAP3K7IP1; during IL-1 signaling. Interacts with TAOK1 and TAOK2; interaction with TAOK2 interferEs with MAP3K7 interaction with IKKA, thus preventing NF-kappa-B activation. Interacts with WDR34 (via WD domains). Interacts with RBCK1. Interacts with CYLD.

Subcellular Location:
Cytoplasm. Cell membrane; Peripheral membrane protein; Cytoplasmic side. Note=Although the majority of MAP3K7/TAK1 is found in the cytosol, when complexed with TAB1/MAP3K7IP1 and TAB2/MAP3K7IP2, it is also localized at the cell membrane.

Tissue Specificity:
Isoform 1A is the most abundant in ovary, skeletal muscle, spleen and blood mononuclear cells. Isoform 1B is highly expressed in brain, kidney and small intestine. Isoform 1C is the major form in prostate. Isoform 1D is the less abundant form.

Post-translational modifications:
Association with TAB1/MAP3K7IP1 promotes autophosphorylation and subsequent activation. Association with TAB2/MAP3K7IP2, itself associated with free unanchored Lys-63 polyubiquitin chain, promotes autophosphorylation and subsequent activation of MAP3K7. Dephosphorylation at Thr-187 by PP2A and PPP6C leads to inactivation.
Ubiquitinated, leading to proteasomal degradation. Requires 'Lys-63'-linked polyubiquitination for autophosphorylation and subsequent activation. 'Lys-63'-linked ubiquitination does not lead to proteasomal degradation. Deubiquitinated by CYLD, a protease that selectively cleaves 'Lys-63'-linked ubiquitin chains.

Similarity:
Belongs to the protein kinase superfamily. STE Ser/Thr protein kinase family. MAP kinase kinase kinase subfamily.
Contains 1 protein kinase domain.

SWISS:
O43318

Gene ID:
6885

Database links:

Entrez Gene: 6885 Human

Entrez Gene: 26409 Mouse

Entrez Gene: 313121 Rat

Omim: 602614 Human

SwissProt: O43318 Human

SwissProt: Q62073 Mouse

SwissProt: P0C8E4 Rat

Unigene: 722892 Human

Unigene: 258589 Mouse

Unigene: 24019 Rat



产品图片
Sample: Lane 1: MCF-7 (Human) Cell Lysate at 30 ug Lane 2: Hela (Human) Cell Lysate at 30 ug Primary: Anti- TAK1 (bs-3585R) at 1/1000 dilution Secondary: IRDye800CW Goat Anti-Rabbit IgG at 1/20000 dilution Predicted band size: 78 kD Observed band size: 75 kD
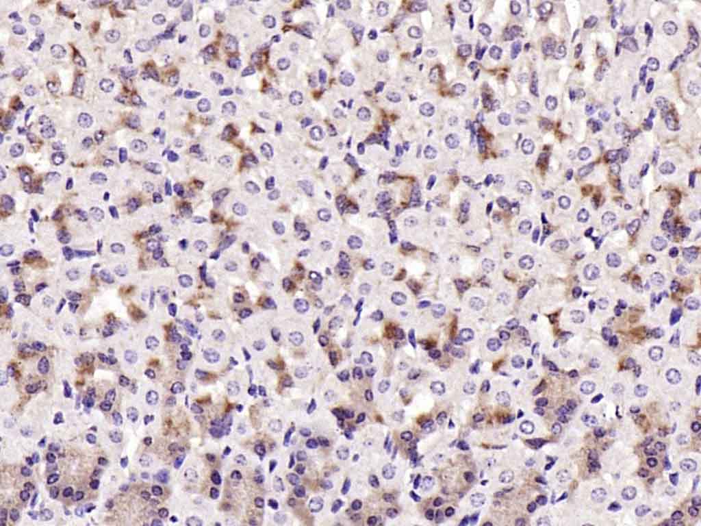
Paraformaldehyde-fixed, paraffin embedded (mouse stomach); Antigen retrieval by boiling in sodium citrate buffer (pH6.0) for 15min; Block endogenous peroxidase by 3% hydrogen peroxide for 20 minutes; Blocking buffer (normal goat serum) at 37°C for 30min; Antibody incubation with (TAK1) Polyclonal Antibody, Unconjugated (bs-3585R) at 1:200 overnight at 4°C, followed by operating according to SP Kit(Rabbit) (sp-0023) instructionsand DAB staining.
Paraformaldehyde-fixed, paraffin embedded (rat stomach); Antigen retrieval by boiling in sodium citrate buffer (pH6.0) for 15min; Block endogenous peroxidase by 3% hydrogen peroxide for 20 minutes; Blocking buffer (normal goat serum) at 37°C for 30min; Antibody incubation with (TAK1) Polyclonal Antibody, Unconjugated (bs-3585R) at 1:200 overnight at 4°C, followed by operating according to SP Kit(Rabbit) (sp-0023) instructionsand DAB staining.
Tissue/cell: rat brain tissue; 4% Paraformaldehyde-fixed and paraffin-embedded; Antigen retrieval: citrate buffer ( 0.01M, pH 6.0 ), Boiling bathing for 15min; Block endogenous peroxidase by 3% Hydrogen peroxide for 30min; Blocking buffer (normal goat serum,C-0005) at 37℃ for 20 min; Incubation: Anti-TAK1/MAP3K7 Polyclonal Antibody, Unconjugated(bs-3585R) 1:200, overnight at 4°C, followed by conjugation to the secondary antibody(SP-0023) and DAB(C-0010) staining
Blank control: K562. Primary Antibody (green line): Rabbit Anti-TAK1 antibody (bs-3585R) Dilution: 1μg /10^6 cells; Isotype Control Antibody (orange line): Rabbit IgG . Secondary Antibody : Goat anti-rabbit IgG-FITC Dilution: 1μg /test. Protocol The cells were fixed with 4% PFA (10min at room temperature)and then permeabilized with 0.1%PBST for 20 min at room temperature. The cells were then incubated in 5%BSA to block non-specific protein-protein interactions for 30 min at room temperature .Cells stained with Primary Antibody for 30 min at room temperature. The secondary antibody used for 40 min at room temperature. Acquisition of 20,000 events was performed.
版权所有 2004-2026 www.bioss.com.cn 北京博奥森生物技术有限公司
通过国际质量管理体系ISO 9001:2015 GB/T 19001-2016    证书编号: 00124Q34771R2M/1100
通过国际医疗器械-质量管理体系ISO 13485:2016 GB/T 42061-2022     证书编号: CQC24QY20047R0M/1100
京ICP备05066980号-1         京公网安备110107000727号