扫码关注公众号           扫码咨询技术支持           扫码咨询技术服务
  
客服热线:400-901-9800  客服QQ:4009019800  技术答疑  技术支持  质量反馈  关于我们  联系我们
产品中心-北京博奥森生物技术有限公司
首页 > 产品中心 > 一抗 > 产品信息
phospho-YAP1 (Ser127) Rabbit pAb (bs-3475R)  
订购热线:400-901-9800
订购邮箱:sales@bioss.com.cn
订购QQ:  400-901-9800
技术支持:techsupport@bioss.com.cn
50ul/1180.00元
100ul/1980.00元
200ul/2800.00元
大包装/询价

产品编号 bs-3475R
英文名称 phospho-YAP1 (Ser127) Rabbit pAb
中文名称 磷酸化原癌基因Yes相关蛋白1抗体
别    名 YAP1(phospho Ser127); YAP1(phospho S127); 65 kDa Yes associated protein; YAp 1; YAP 65; YAP; YAP2; YAP65; Yes associated protein 1 65kDa; Yes associated protein 1; Yes associated protein 2; YKI; Transcriptional coactivator YAP1; Yes-associated protein 1; Protein yorkie homolog; Yes-associated protein YAP65 homolog; YAP1_HUMAN.  
Specific References  (4)     |     bs-3475R has been referenced in 4 publications.
[IF=8.724] Yonggang Lv. et al. Three-dimensional decellularized tumor extracellular matrices with different stiffness as bioengineered tumor scaffolds. Bioact Mater. 2021 Sep;6:2767  WB ;  Human.  
[IF=5.589] Gao R et al. PM2.5-associated nitro-PAH exposure promotes tumor cell metastasis through Hippo-YAPmediated transcriptional regulation. Sci Total Environ. 2019 Aug 15;678:611-617.  WB ;  Human.  
[IF=4.174] Zhao, Boyuan. et al. Shear stress regulates the migration of suspended breast cancer cells by nuclear lamina protein A/C and large tumor suppressor through yes-associated protein. Hum Cell. 2022 Jan;:1-16  WB ;  Human.  
[IF=3.327] Liu J et al. Obesity Potentiates Esophageal Squamous Cell Carcinoma Growth and Invasion by AMPK-YAP PathwayJ Immunol Res.2020 Dec 10;2020:6765474.  WB ;  Mouse.  
产品类型 磷酸化抗体 
研究领域 肿瘤  细胞生物  免疫学  信号转导  干细胞  细胞凋亡  转录调节因子  
抗体来源 Rabbit
克隆类型 Polyclonal
克 隆 号
交叉反应 Human (predicted: Mouse,Rat,Rabbit,Chicken,Dog,Horse)
产品应用 IHC-P=1:100-500,IHC-F=1:100-500,IF=1:100-500
not yet tested in other applications.
optimal dilutions/concentrations should be determined by the end user.
理论分子量 55 kDa
检测分子量
细胞定位 细胞核 细胞浆 
性    状 Liquid
浓    度 1mg/ml
免 疫 原 KLH conjugated Synthesised phosphopeptide derived from human YAP around the phosphorylation site of Ser127: AH(p-S)SP 
亚    型 IgG
纯化方法 affinity purified by Protein A
缓 冲 液 0.01M TBS (pH7.4) with 1% BSA, 0.02% Proclin300 and 50% Glycerol.
保存条件 Shipped at 4℃. Store at -20℃ for one year. Avoid repeated freeze/thaw cycles.
注意事项 This product as supplied is intended for research use only, not for use in human, therapeutic or diagnostic applications.
PubMed PubMed
产品介绍 This gene encodes the human ortholog of chicken YAP protein which binds to the SH3 domain of the Yes proto-oncogene product. This protein contains a WW domain that is found in various structural, regulatory and signaling molecules in yeast, nematode, and mammals, and may be involved in protein-protein interaction. [provided by RefSeq].

Function:
Transcriptional regulator which can act both as a coactivator and a corepressor and is the critical downstream regulatory target in the Hippo signaling pathway that plays a pivotal role in organ size control and tumor suppression by restricting proliferation and promoting apoptosis (PubMed:17974916, PubMed:18280240, PubMed:18579750, PubMed:21364637). The core of this pathway is composed of a kinase cascade wherein STK3/MST2 and STK4/MST1, in complex with its regulatory protein SAV1, phosphorylates and activates LATS1/2 in complex with its regulatory protein MOB1, which in turn phosphorylates and inactivates YAP1 oncoprotein and WWTR1/TAZ (PubMed:18158288). Plays a key role in tissue tension and 3D tissue shape by regulating cortical actomyosin network formation. Acts via ARHGAP18, a Rho GTPase activating protein that suppresses F-actin polymerization (PubMed:25778702). Plays a key role to control cell proliferation in response to cell contact. Phosphorylation of YAP1 by LATS1/2 inhibits its translocation into the nucleus to regulate cellular genes important for cell proliferation, cell death, and cell migration (PubMed:18158288). The presence of TEAD transcription factors are required for it to stimulate gene expression, cell growth, anchorage-independent growth, and epithelial mesenchymal transition (EMT) induction.
Isoform 2: Isoform 2 and isoform 3 can activate the C-terminal fragment (CTF) of ERBB4 (isoform 3).

Subunit:
Binds to the SH3 domain of the YES kinase. Binds to WBP1 and WBP2. Binds, in vitro, through the WW1 domain, to neural isoforms of ENAH that contain the PPSY motif (By similarity). The phosphorylated form interacts with YWHAB. Interacts (via WW domains) with LATS1 (via PPxY motif 2). Interacts with LATS2. Isoform 2 and isoform 3 interact (via WW domain 1) with isoform 3 of ERBB4 (via PPxY motif 2). Interacts with TEAD1, TEAD2, TEAD3 and TEAD4. Interacts with TP73. Interacts with RUNX1. Interacts with HCK.

Subcellular Location:
Cytoplasm. Nucleus. Both phosphorylation and cell density can regulate its subcellular localization. Phosphorylation sequesters it in the cytoplasm by inhibiting its translocation into the nucleus. At low density, predominantly nuclear and is translocated to the cytoplasm at high density.

Tissue Specificity:
Increased expression seen in some liver and prostate cancers. Isoforms lacking the transactivation domain found in striatal neurons of patients with Huntington disease (at protein level).

Post-translational modifications:
Phosphorylated by LATS1 and LATS2; leading to cytoplasmic translocation and inactivation. Phosphorylated by ABL1; leading to YAP1 stabilization, enhanced interaction with TP73 and recruitment onto proapoptotic genes; in response to DNA damage.

Similarity:
Belongs to the YORKIE family.
Contains 2 WW domains.

SWISS:
P46937

Gene ID:
10413

Database links:

Entrez Gene: 10413 Human

Omim: 606608 Human

SwissProt: P46937 Human

Unigene: 503692 Human



产品图片
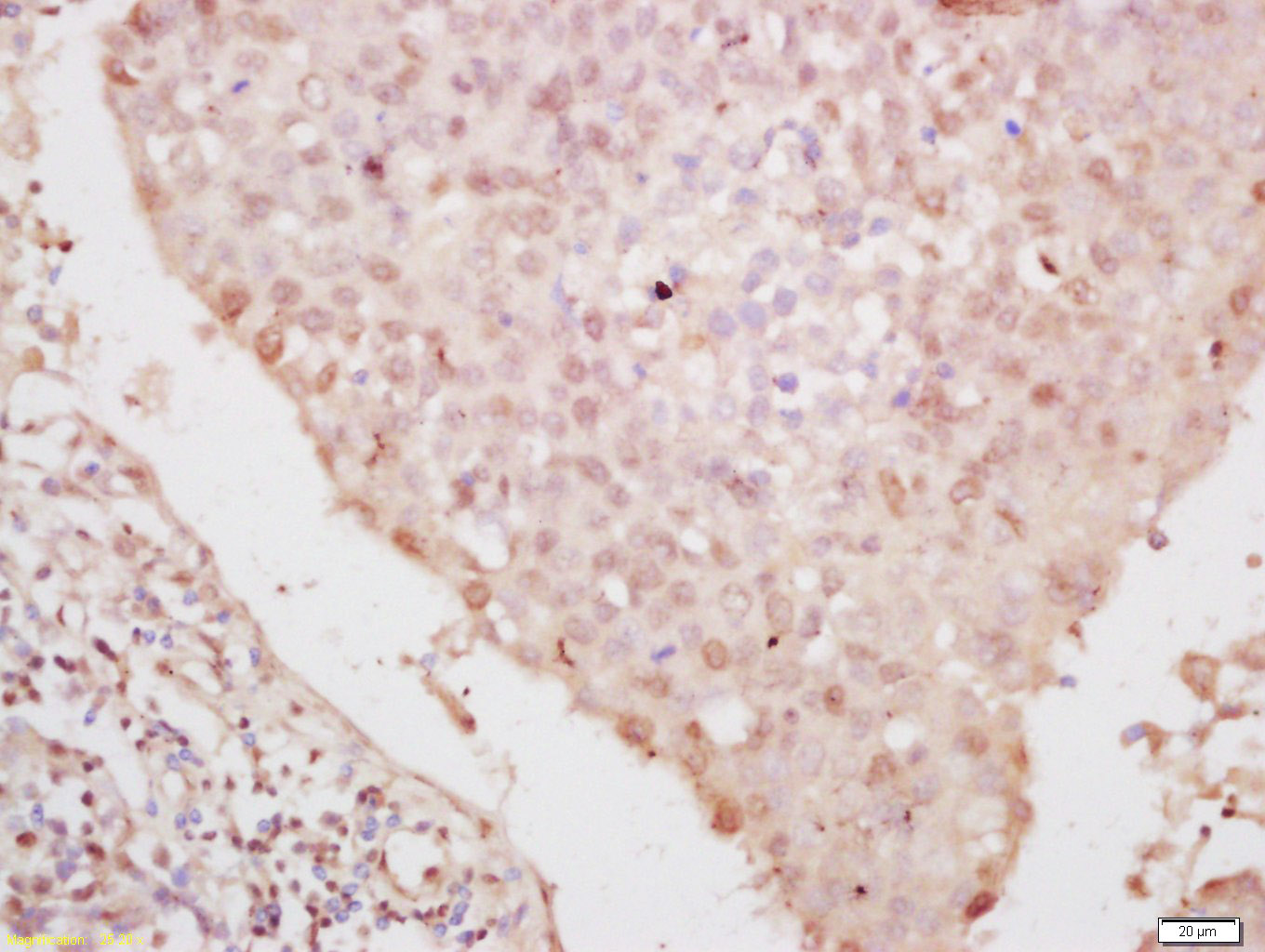
Tissue/cell: human lung cancer; 4% Paraformaldehyde-fixed and paraffin-embedded; Antigen retrieval: citrate buffer ( 0.01M, pH 6.0 ), Boiling bathing for 15min; Block endogenous peroxidase by 3% Hydrogen peroxide for 30min; Blocking buffer (normal goat serum,C-0005) at 37℃ for 20 min; Incubation: Anti-Phospho-YAP1 (Ser127) Polyclonal Antibody, Unconjugated(bs-3475R) 1:200, overnight at 4°C, followed by conjugation to the secondary antibody(SP-0023) and DAB(C-0010) staining
Tissue/cell: human bladder carcinoma; 4% Paraformaldehyde-fixed and paraffin-embedded; Antigen retrieval: citrate buffer ( 0.01M, pH 6.0 ), Boiling bathing for 15min; Block endogenous peroxidase by 3% Hydrogen peroxide for 30min; Blocking buffer (normal goat serum,C-0005) at 37℃ for 20 min; Incubation: Anti-Phospho-YAP1(Ser127) Polyclonal Antibody, Unconjugated(bs-3475R) 1:200, overnight at 4°C, followed by conjugation to the secondary antibody(SP-0023) and DAB(C-0010) staining
版权所有 2004-2026 www.bioss.com.cn 北京博奥森生物技术有限公司
通过国际质量管理体系ISO 9001:2015 GB/T 19001-2016    证书编号: 00124Q34771R2M/1100
通过国际医疗器械-质量管理体系ISO 13485:2016 GB/T 42061-2022     证书编号: CQC24QY20047R0M/1100
京ICP备05066980号-1         京公网安备110107000727号